Tnk1 Antibody - BSA Free

Images

 
Staining of human lymph node shows no positivity in germinal center cells as expected.
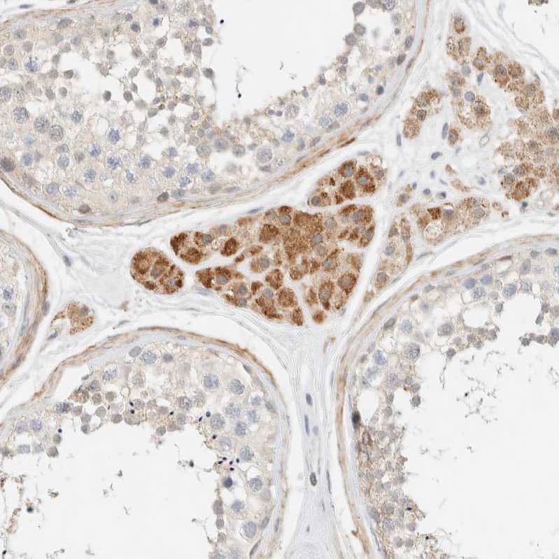
Staining of human testis shows moderate cytoplasmic positivity in Leydig cells.
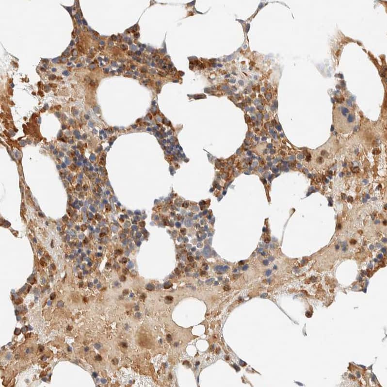
Staining of human bone marrow shows moderate cytoplasmic positivity in hematopoietic cells.
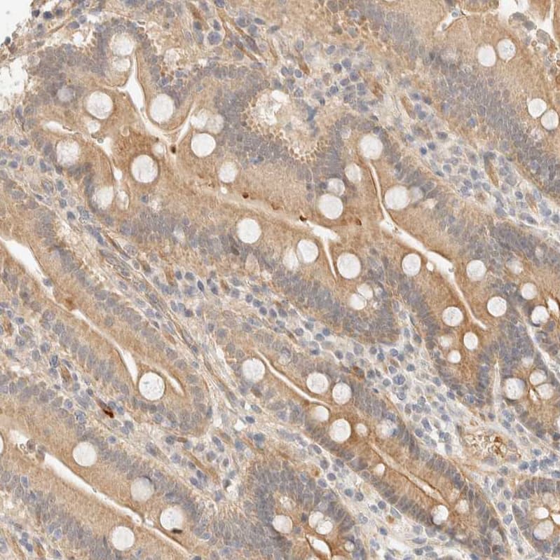
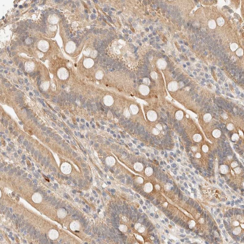
Staining of human duodenum shows weak cytoplasmic positivity in glandular cells.

Product Details

Summary
Reactivity HuSpecies Glossary
Applications IHC
Clonality
Polyclonal
Host
Rabbit
Conjugate
Unconjugated
Format
BSA Free

Order Details

View Available Formulations
Catalog# & Formulation Size Price

Tnk1 Antibody - BSA Free Summary

Description
Novus Biologicals Rabbit Tnk1 Antibody - BSA Free (NBP1-86477) is a polyclonal antibody validated for use in IHC. All Novus Biologicals antibodies are covered by our 100% guarantee.
Immunogen
This antibody was developed against Recombinant Protein corresponding to amino acids: PSEACCVRDVTEPGALRMETGDPITVIEGSPDSTIWKGQNGRTFKVGSFPASAVTLADAGGLPATRPVHRGTPARGDQHPGSIDGDRKKANLWDAPPARGQRRNMPLERMKGISRSLESVLSLG
Isotype
IgG
Clonality
Polyclonal
Host
Rabbit
Gene
TNK1
Purity
Immunogen affinity purified
Innovator's Reward
Test in a species/application not listed above to receive a full credit towards a future purchase.

Applications/Dilutions

Dilutions
  • Immunohistochemistry 1:20 - 1:50
  • Immunohistochemistry-Paraffin 1:20 - 1:50
Application Notes
For IHC-Paraffin, HIER pH 6 retrieval is recommended.
Control Peptide
Tnk1 Protein (NBP1-86477PEP)

Packaging, Storage & Formulations

Storage
Store at 4C short term. Aliquot and store at -20C long term. Avoid freeze-thaw cycles.
Buffer
PBS (pH 7.2) and 40% Glycerol
Preservative
0.02% Sodium Azide
Purity
Immunogen affinity purified

Alternate Names for Tnk1 Antibody - BSA Free

  • CD38 negative kinase 1
  • EC 2.7.10
  • EC 2.7.10.2
  • MGC46193
  • non-receptor tyrosine-protein kinase TNK1
  • tyrosine kinase, non-receptor, 1

Background

TNK1 - tyrosine kinase, non-receptor, 1

Limitations

This product is for research use only and is not approved for use in humans or in clinical diagnosis. Primary Antibodies are guaranteed for 1 year from date of receipt.

Customers Who Viewed This Item Also Viewed...

AF2747
Species: Mu
Applications: ELISA(Cap), ELISA(Det), ELISA(Sta), IHC, IP, WB
MSCTC0
Species: Mu, Rt
Applications: ELISA
NBP1-86658
Species: Hu, Mu, Rt
Applications: IHC,  IHC-P, Simple Western, WB
NBP3-04896
Species: Hu, Mu, Rt
Applications: WB
NBP2-29460
Species: Pm, Pm-Cm, Hu, Pm, RM
Applications: Flow, ICC/IF, IHC,  IHC-P, ISH
NB110-60531
Species: Hu, Mu, Rt(-)
Applications: CyTOF-ready, ELISA, Flow-IC, Flow, ICC/IF, IHC,  IHC-P, IP, WB
NBP1-81500
Species: Hu
Applications: IHC,  IHC-P
NBP2-19782
Species: Hu
Applications: ICC/IF, IHC,  IHC-P, WB
NBP1-89102
Species: Hu
Applications: ICC/IF, IHC,  IHC-P, WB
AF1513
Species: Mu
Applications: CyTOF-ready, Flow, IHC, IP, Simple Western, WB
NBP3-10693
Species: Hu
Applications: WB
NBP1-28467
Species: Hu
Applications: IHC,  IHC-P, PEP-ELISA, WB
MAB5699
Species: Hu
Applications: IHC
AF3457
Species: Hu
Applications: ICC, WB
AF3846
Species: Hu, Mu, Rt
Applications: IHC, WB
H00056731-M02
Species: Hu
Applications: ELISA, ICC/IF, WB
H00010188-D01P
Species: Hu
Applications: ICC/IF, WB

Publications for Tnk1 Antibody (NBP1-86477) (0)

There are no publications for Tnk1 Antibody (NBP1-86477).
By submitting your publication information earn gift cards and discounts for future purchases.

Reviews for Tnk1 Antibody (NBP1-86477) (0)

There are no reviews for Tnk1 Antibody (NBP1-86477). By submitting a review you will receive an Amazon e-Gift Card or Novus Product Discount.
  • Review with no image -- $10/€7/£6/$10 CAD/¥70 Yuan/¥1110 Yen
  • Review with an image -- $25/€18/£15/$25 CAD/¥150 Yuan/¥2500 Yen

Product General Protocols

Find general support by application which include: protocols, troubleshooting, illustrated assays, videos and webinars.

FAQs for Tnk1 Antibody (NBP1-86477) (0)

There are no specific FAQs related to this product. Read our general customer & technical service FAQs.

Secondary Antibodies

 

Isotype Controls

Additional Tnk1 Products

Array NBP1-86477

Research Areas for Tnk1 Antibody (NBP1-86477)

Find related products by research area.

Blogs on Tnk1

There are no specific blogs for Tnk1, but you can read our latest blog posts.

Customers Who Bought This Also Bought

Contact Information

Product PDFs

Calculators

Concentration Calculator

The concentration calculator allows you to quickly calculate the volume, mass or concentration of your vial. Simply enter your mass, volume, or concentration values for your reagent and the calculator will determine the rest.

=
÷

Review this Product

Be the first to review our Tnk1 Antibody - BSA Free and receive a gift card or discount.

Bioinformatics

Gene Symbol TNK1