TIMP-2 Antibody (SPM356) - Azide and BSA Free

Images

 
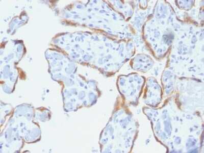
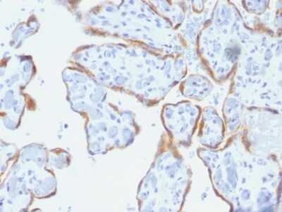
Immunohistochemistry-Paraffin: TIMP-2 Antibody (SPM356) - Azide and BSA Free [NBP2-54554] - Formalin-fixed, paraffin-embedded human Placenta stained with TIMP2 Monoclonal Antibody (SPM356).

Product Details

Summary
Reactivity Hu, Mu, Rt, Bv, Gp, Rb, ZeSpecies Glossary
Applications WB, Flow, ICC/IF, IHC, CyTOF-ready
Clone
SPM356
Clonality
Monoclonal
Host
Mouse
Conjugate
Unconjugated
Format
Azide and BSA Free
Concentration
1 mg/ml

Order Details

TIMP-2 Antibody (SPM356) - Azide and BSA Free Summary

Description
1.0 mg/ml of antibody purified from Bioreactor Concentrate by Protein A/G. Prepared in 10mM PBS WITHOUT BSA & azide. Also available at 200 ug/ml WITH BSA & azide (NBP2-53348).

Antibody with azide - store at 2 to 8C. Antibody without azide - store at -20 to -80C.
Immunogen
A synthetic peptide from the N-terminus of human TIMP-2 protein (aa56-66) (DSGNDIYGNPI) (Uniprot: P16035)
Localization
Cytoplasm and Cell Surface
Specificity
It recognizes a protein of 21kDa, identified as tissue inhibitor of metalloproteinases-2 (TIMP-2). It is closely related to TIMP-1 and shows the highest binding affinity to both the latent (pro) and active forms of 72kDa Type IV collagenase (also known as MMP-2 or gelatinase A). It also has affinity for the active form of 92kDa Type IV collagenase (also known as MMP-9 or gelatinase B). TIMP-2 inhibits the proteolytic invasiveness of tumor cells and normal placental trophoblast cells.
Isotype
IgG2a Kappa
Clonality
Monoclonal
Host
Mouse
Gene
TIMP2
Purity
Protein A or G purified
Innovator's Reward
Test in a species/application not listed above to receive a full credit towards a future purchase.

Applications/Dilutions

Dilutions
  • CyTOF-ready
  • Flow (Intracellular)
  • Flow Cytometry 0.5 - 1 ug/million cells
  • Immunocytochemistry/ Immunofluorescence 0.5 - 1 ug/ml
  • Immunohistochemistry
  • Immunohistochemistry-Paraffin 1 - 2 ug/ml
  • Western Blot 0.5 - 1 ug/ml
Application Notes
Immunohistochemistry (Formalin-fixed): 1-2ug/ml for 30 minutes at RT. Staining of formalin-fixed tissues requires heating tissue sections in 10mM Tris with 1mM EDTA, pH 9.0, for 45 min at 95C followed by cooling at RT for 20 minutes.
Optimal dilution for a specific application should be determined.
Theoretical MW
21 kDa.
Disclaimer note: The observed molecular weight of the protein may vary from the listed predicted molecular weight due to post translational modifications, post translation cleavages, relative charges, and other experimental factors.

Packaging, Storage & Formulations

Storage
Store at -20 to -80C. Avoid freeze-thaw cycles.
Buffer
10 mM PBS
Preservative
No Preservative
Concentration
1 mg/ml
Purity
Protein A or G purified

Alternate Names for TIMP-2 Antibody (SPM356) - Azide and BSA Free

  • CSC-21Ktissue inhibitor of metalloproteinase 2
  • metalloproteinase inhibitor 2
  • TIMP metallopeptidase inhibitor 2
  • TIMP2
  • TIMP-2
  • Tissue inhibitor of metalloproteinases 2

Background

The TIMP2 gene is a member of the TIMP gene family. The proteins encoded by this gene family are natural inhibitors of the matrix metalloproteinases, a group of peptidases involved in degradation of the extracellular matrix. In addition to an inhibitory role a

Limitations

This product is for research use only and is not approved for use in humans or in clinical diagnosis. Primary Antibodies are guaranteed for 1 year from date of receipt.

Customers Who Viewed This Item Also Viewed...

DTM100
Species: Hu
Applications: ELISA
MMP200
Species: Ca, Hu, Mu, Po, Rt
Applications: ELISA
DMP900
Species: Hu
Applications: ELISA
MAB9181
Species: Hu
Applications: CyTOF-ready, Flow, IHC, IP, WB
DMP300
Species: Hu
Applications: ELISA
973-TM
Species: Hu
Applications: InhibAct
MAB901
Species: Hu
Applications: IHC, IP, KO, Neut, WB
DVE00
Species: Hu
Applications: ELISA
DM1300
Species: Hu
Applications: ELISA
DMP700
Species: Hu
Applications: ELISA
1310-SE
Species: Hu
Applications: EnzAct
M6000B
Species: Mu
Applications: ELISA
NBP1-19773
Species: Hu, Mu, Rt
Applications: ELISA, ICC/IF, IHC, IHC-Fr,  IHC-P, WB
908-MP
Species: Hu
Applications: EnzAct
DTM400
Species: Hu
Applications: ELISA

Publications for TIMP-2 Antibody (NBP2-54554) (0)

There are no publications for TIMP-2 Antibody (NBP2-54554).
By submitting your publication information earn gift cards and discounts for future purchases.

Reviews for TIMP-2 Antibody (NBP2-54554) (0)

There are no reviews for TIMP-2 Antibody (NBP2-54554). By submitting a review you will receive an Amazon e-Gift Card or Novus Product Discount.
  • Review with no image -- $10/€7/£6/$10 CAD/¥70 Yuan/¥1110 Yen
  • Review with an image -- $25/€18/£15/$25 CAD/¥150 Yuan/¥2500 Yen

Product General Protocols

Find general support by application which include: protocols, troubleshooting, illustrated assays, videos and webinars.

Video Protocols

WB Video Protocol
ICC/IF Video Protocol

FAQs for TIMP-2 Antibody (NBP2-54554) (0)

There are no specific FAQs related to this product. Read our general customer & technical service FAQs.

Secondary Antibodies

 

Isotype Controls

Additional TIMP-2 Products

Research Areas for TIMP-2 Antibody (NBP2-54554)

Find related products by research area.

Blogs on TIMP-2.

Suppressing breast cancer metastasis: The role of hypoxia-induced RhoB expression and activation
By Jamshed Arslan, Pharm. D., PhD. The Ras homologous (Rho) GTPase family of signaling molecules has over 20 members, which typically cycle between active (GTP-bound) and inactive (GDP-bound) states. These small GTPa...  Read full blog post.

Customers Who Bought This Also Bought

Contact Information

Product PDFs

Calculators

Concentration Calculator

The concentration calculator allows you to quickly calculate the volume, mass or concentration of your vial. Simply enter your mass, volume, or concentration values for your reagent and the calculator will determine the rest.

=
÷

Review this Product

Be the first to review our TIMP-2 Antibody (SPM356) - Azide and BSA Free and receive a gift card or discount.

Bioinformatics

Gene Symbol TIMP2