TIMM44 Antibody - BSA Free

Images

 
Immunocytochemistry/ Immunofluorescence: TIMM44 Antibody [NBP1-86941] - Staining of human cell line A-431 shows localization to mitochondria. Antibody staining is shown in green.
Immunohistochemistry-Paraffin: TIMM44 Antibody [NBP1-86941] - Staining of human gastrointestinal shows moderate to strong granular cytoplasmic positivity in glandular cells.
Immunohistochemistry-Paraffin: TIMM44 Antibody [NBP1-86941] - Staining of human cerebral cortex shows strong cytoplasmic positivity in neurons.
Immunohistochemistry-Paraffin: TIMM44 Antibody [NBP1-86941] - Staining of human testis shows moderate to strong cytoplasmic positivity in cells in seminiferous ducts.
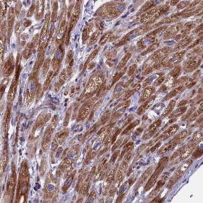
Immunohistochemistry-Paraffin: TIMM44 Antibody [NBP1-86941] - Staining of human heart muscle shows strong cytoplasmic positivity in cardiomyocytes.
Orthogonal Strategies: Western Blot: TIMM44 Antibody [NBP1-86941] - Analysis in human cell lines PC-3 and HeLa. Corresponding RNA-seq data are presented for the same cell lines. Loading control: Anti-HSP90B1.
Analysis in mouse cell line NIH-3T3 and rat cell line NBT-II.
Genetic Strategies: Analysis in Caco-2 cells transfected with control siRNA, target specific siRNA probe #1 and #2, using Anti-TIMM44 antibody. Remaining relative intensity is presented. Loading control: ...read more
Genetic Strategies: Analysis in U2OS cells transfected with control siRNA, target specific siRNA probe #1 and #2, using Anti-TIMM44 antibody. Remaining relative intensity is presented

Product Details

Summary
Reactivity Hu, Mu, RtSpecies Glossary
Applications WB, ICC/IF, IHC, KD
Clonality
Polyclonal
Host
Rabbit
Conjugate
Unconjugated
Format
BSA Free

Order Details

View Available Formulations
Catalog# & Formulation Size Price

TIMM44 Antibody - BSA Free Summary

Description
Novus Biologicals Rabbit TIMM44 Antibody - BSA Free (NBP1-86941) is a polyclonal antibody validated for use in IHC, WB and ICC/IF. Anti-TIMM44 Antibody: Cited in 1 publication. All Novus Biologicals antibodies are covered by our 100% guarantee.
Immunogen
This antibody was developed against Recombinant Protein corresponding to amino acids: EVLRKKLGELTGTVKESLHEVSKSDLGRKIKEGVEEAAKTAKQSAESVSKGGEKLGRTAAFRALSQGVESVKKEIDDSVLGQTGPYRRPQRLRKRTEFAGDKF
Isotype
IgG
Clonality
Polyclonal
Host
Rabbit
Gene
TIMM44
Purity
Immunogen affinity purified
Innovator's Reward
Test in a species/application not listed above to receive a full credit towards a future purchase.

Applications/Dilutions

Dilutions
  • Immunocytochemistry/ Immunofluorescence 0.25-2 ug/ml
  • Immunohistochemistry 1:200 - 1:500
  • Immunohistochemistry-Paraffin 1:200 - 1:500
  • Knockdown Validated
  • Western Blot 0.04-0.4 ug/ml
Application Notes
For IHC-Paraffin, HIER pH 6 retrieval is recommended. ICC/IF Fixation Permeabilization: Use PFA/Triton X-100.
Control Peptide
TIMM44 Protein (NBP1-86941PEP)
Publications
Read Publication using
NBP1-86941 in the following applications:

  • WB
    1 publication

Packaging, Storage & Formulations

Storage
Store at 4C short term. Aliquot and store at -20C long term. Avoid freeze-thaw cycles.
Buffer
PBS (pH 7.2) and 40% Glycerol
Preservative
0.02% Sodium Azide
Purity
Immunogen affinity purified

Alternate Names for TIMM44 Antibody - BSA Free

  • MIMT44
  • mitochondrial import inner membrane translocase subunit TIM44
  • mitochondrial inner membrane translocase
  • TIM44DKFZp686H05241
  • translocase of inner mitochondrial membrane 44 homolog (yeast)

Background

Essential component of the PAM complex, a complex required for the translocation of transit peptide-containing proteins from the inner membrane into the mitochondrial matrix in an ATP-dependent manner. Recruits mitochondrial HSP70 to drive protein translocation into the matrix using ATP as an energy source

Limitations

This product is for research use only and is not approved for use in humans or in clinical diagnosis. Primary Antibodies are guaranteed for 1 year from date of receipt.

Customers Who Viewed This Item Also Viewed...

H00010431-P01
Species: Hu
Applications: ELISA, AP, PA, PAGE, WB
NBP1-81696
Species: Hu, Mu, Rt
Applications: ICC/IF, IHC,  IHC-P, WB
NBP1-80681
Species: Hu
Applications: ICC/IF, IHC,  IHC-P, WB
NBP2-32559
Species: Hu
Applications: ICC/IF, IHC,  IHC-P, WB
NBP1-31470
Species: Bv, Hu, Mu, Rt
Applications: ELISA, Flow, ICC/IF, IHC,  IHC-P, WB
NB100-2559
Species: Hu
Applications: IHC,  IHC-P, PEP-ELISA, WB
NBP3-35489
Species: Hu, Mu, Rt
Applications: ELISA, ICC/IF, WB
NBP2-37956
Species: Hu
Applications: ICC/IF, IHC,  IHC-P
NBP1-30865
Species: Hu
Applications: IHC,  IHC-P, WB
NBP1-98528
Species: Hu
Applications: WB
NBP1-92298
Species: Hu
Applications: ICC/IF, IHC,  IHC-P, WB
H00001719-M01
Species: Hu, Mu, Rt, Ye
Applications: ELISA, ICC/IF, S-ELISA, WB
NBP3-32621
Species: Hu, Mu, Rt
Applications: Flow, ICC/IF, IHC,  IHC-P, WB
NBP2-38289
Species: Hu
Applications: ICC/IF, IHC,  IHC-P, WB
NBP3-33021
Species: Hu, Mu, Rt
Applications: ICC/IF, IHC,  IHC-P, WB
NBP2-45570
Species: Hu, Mu, Rt
Applications: Flow, IHC,  IHC-P, WB
AF6457
Species: Hu
Applications: WB
NBP1-86941
Species: Hu, Mu, Rt
Applications: WB, ICC/IF, IHC, KD

Publications for TIMM44 Antibody (NBP1-86941)(1)

We have publications tested in 1 confirmed species: Human.

We have publications tested in 1 application: WB.


Filter By Application
WB
(1)
All Applications
Filter By Species
Human
(1)
All Species

Reviews for TIMM44 Antibody (NBP1-86941) (0)

There are no reviews for TIMM44 Antibody (NBP1-86941). By submitting a review you will receive an Amazon e-Gift Card or Novus Product Discount.
  • Review with no image -- $10/€7/£6/$10 CAD/¥70 Yuan/¥1110 Yen
  • Review with an image -- $25/€18/£15/$25 CAD/¥150 Yuan/¥2500 Yen

Product General Protocols

Find general support by application which include: protocols, troubleshooting, illustrated assays, videos and webinars.

Video Protocols

WB Video Protocol
ICC/IF Video Protocol

FAQs for TIMM44 Antibody (NBP1-86941) (0)

There are no specific FAQs related to this product. Read our general customer & technical service FAQs.

Secondary Antibodies

 

Isotype Controls

Additional TIMM44 Products

Research Areas for TIMM44 Antibody (NBP1-86941)

Find related products by research area.

Blogs on TIMM44.

New Players in the Mitophagy Game
By Christina Towers, PhD Mitochondrial turn over via the lysosome, otherwise known as mitophagy, involves engulfment of mitochondria into double membrane autophagosomes and subsequent fusion with lysosomes. Much is al...  Read full blog post.

Customers Who Bought This Also Bought

Contact Information

Product PDFs

Calculators

Concentration Calculator

The concentration calculator allows you to quickly calculate the volume, mass or concentration of your vial. Simply enter your mass, volume, or concentration values for your reagent and the calculator will determine the rest.

=
÷

Review this Product

Be the first to review our TIMM44 Antibody - BSA Free and receive a gift card or discount.

Bioinformatics

Gene Symbol TIMM44