Thrombopoietin/THPO Antibody

Images

 
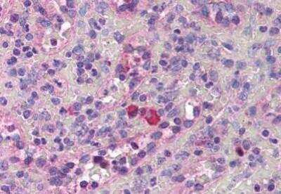
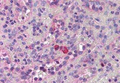
Immunohistochemistry-Paraffin: Thrombopoietin/THPO Antibody [NBP1-02531] - Staining of human spleen tissue after heat-induced antigen retrieval. Antibody concentration 10 ug/ml.

Product Details

Summary
Product Discontinued
View other related Thrombopoietin/THPO Primary Antibodies

Order Details


    • Catalog Number
      NBP1-02531
    • Availability
      Product Discontinued

    Can't find what you are looking for? Use our Antibody Concierge Service & we will help you locate your antibody!

    Or feel free to contact us for alternative products.

Thrombopoietin/THPO Antibody Summary

Immunogen
Synthetic peptide from human THPO / Thrombopoietin.
Specificity
Amino acids 35 to 50 of human THPO
Isotype
IgG
Clonality
Polyclonal
Host
Rabbit
Gene
THPO
Purity
Protein G purified
Innovator's Reward
Test in a species/application not listed above to receive a full credit towards a future purchase.

Applications/Dilutions

Dilutions
  • ELISA 1:1000
  • Immunohistochemistry 10 ug/ml
  • Immunohistochemistry-Paraffin 10 ug/ml
Application Notes
IHC: NBP1-02531 was validated for use in immunohistochemistry on a panel of 21 formalin-fixed, paraffin-embedded (FFPE) human tissues after heat induced antigen retrieval in pH 6.0 citrate buffer. After incubation with the primary antibody, slides were incubated with biotinylated secondary antibody, followed by alkaline phosphatase-streptavidin and chromogen. The stained slides were evaluated by a pathologist to confirm staining specificity.

Packaging, Storage & Formulations

Storage
Store at 4C short term. Aliquot and store at -20C long term. Avoid freeze-thaw cycles.
Buffer
PBS
Preservative
0.09% Sodium Azide
Concentration
1.0 mg/ml
Purity
Protein G purified

Alternate Names for Thrombopoietin/THPO Antibody

  • Megakaryocyte colony-stimulating factor
  • Megakaryocyte growth and development factor
  • megakaryocyte stimulating factor
  • MGDF
  • MGDFC-mpl ligand
  • MKCSF
  • MK-CSF
  • ML
  • MPL ligand
  • MPLLG
  • MPLLGMGC163194
  • Myeloproliferative leukemia virus oncogene ligand
  • THCYT1
  • THPO
  • thrombopoietin nirs variant 1
  • Thrombopoietin
  • Tpo
  • TPOMKCSF

Background

Thrombopoietin is a humoral growth factor that is necessary for megakaryocyte proliferation and maturation, as well as for thrombopoiesis. This protein is the ligand for MLP/cMPL, the product of myeloproliferative leukemia virus oncogene. Alternatively spliced transcript variants encoding distinct isoforms have been reported.

Limitations

This product is for research use only and is not approved for use in humans or in clinical diagnosis. Primary Antibodies are guaranteed for 1 year from date of receipt.

Customers Who Viewed This Item Also Viewed...

AF1016
Species: Hu
Applications: Neut, Simple Western, WB
255-SC
Species: Hu
Applications: BA
203-IL
Species: Hu
Applications: BA
M6000B
Species: Mu
Applications: ELISA
AF4117
Species: Rt
Applications: IHC, WB
MEP00B
Species: Mu
Applications: ELISA
NBP2-34294
Species: Hu, Mu, Rt
Applications: Flow, IHC,  IHC-P
427-FL
Species: Mu
Applications: BA
D1100
Species: Hu
Applications: ELISA
MAB414
Species: Mu
Applications: ELISA(Cap), ELISA(Det), ELISA(Sta), Neut, WB
7954-GM/CF
Species: Hu
Applications: BA
NBP2-59451
Species: Hu
Applications: ELISA, Flow, ICC/IF, MiAr, Simple Western, WB
MAB414
Species: Mu
Applications: ELISA(Cap), ELISA(Det), ELISA(Sta), Neut, WB
DTM100
Species: Hu
Applications: ELISA
7954-GM/CF
Species: Hu
Applications: BA
NBP3-07388
Species: Hu
Applications: Flow, ICC/IF, IHC,  IHC-P
NBP2-59376
Species: Hu, Mu, Rt
Applications: ICC/IF, IHC,  IHC-P, IP, WB
H00004598-M02
Species: Hu
Applications: ELISA, IHC,  IHC-P, S-ELISA, WB
MAB7616
Species: Hu
Applications: CyTOF-ready, Flow, WB

Publications for Thrombopoietin/THPO Antibody (NBP1-02531) (0)

There are no publications for Thrombopoietin/THPO Antibody (NBP1-02531).
By submitting your publication information earn gift cards and discounts for future purchases.

Reviews for Thrombopoietin/THPO Antibody (NBP1-02531) (0)

There are no reviews for Thrombopoietin/THPO Antibody (NBP1-02531). By submitting a review you will receive an Amazon e-Gift Card or Novus Product Discount.
  • Review with no image -- $10/€7/£6/$10 CAD/¥70 Yuan/¥1110 Yen
  • Review with an image -- $25/€18/£15/$25 CAD/¥150 Yuan/¥2500 Yen

Product General Protocols

Find general support by application which include: protocols, troubleshooting, illustrated assays, videos and webinars.

FAQs for Thrombopoietin/THPO Antibody (NBP1-02531) (0)

There are no specific FAQs related to this product. Read our general customer & technical service FAQs.

Contact Information

Product PDFs

Calculators

Concentration Calculator

The concentration calculator allows you to quickly calculate the volume, mass or concentration of your vial. Simply enter your mass, volume, or concentration values for your reagent and the calculator will determine the rest.

=
÷

Review this Product

Be the first to review our Thrombopoietin/THPO Antibody and receive a gift card or discount.

Bioinformatics

Gene Symbol THPO
Entrez
Uniprot