Thrombomodulin/BDCA-3 Antibody (JB48-23)

Images

 
Western Blot: Thrombomodulin/BDCA-3 Antibody (JB48-23) [NBP2-75683] - Analysis of Thrombomodulin on A431 cell using anti-Thrombomodulin antibody at 1/500 dilution.
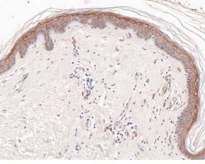
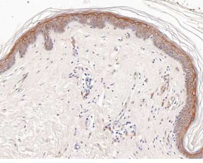
Immunohistochemistry-Paraffin: Thrombomodulin/BDCA-3 Antibody (JB48-23) [NBP2-75683] - Analysis of paraffin-embedded human skin tissue with Rabbit anti-Thrombomodulin/BDCA-3 antibody washed with ddH2O and PBS, and then ...read more
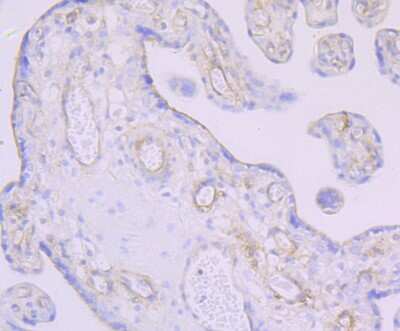
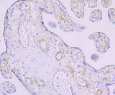
Immunohistochemistry-Paraffin: Thrombomodulin/BDCA-3 Antibody (JB48-23) [NBP2-75683] - Analysis of paraffin-embedded human placenta tissue using anti-Thrombomodulin antibody. Counter stained with hematoxylin.
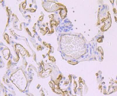
Immunohistochemistry-Paraffin: Thrombomodulin/BDCA-3 Antibody (JB48-23) [NBP2-75683] - Analysis of paraffin-embedded human lung cancer tissue using anti-Thrombomodulin antibody. Counter stained with hematoxylin.
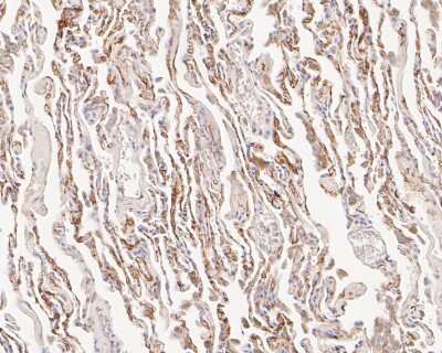
Immunohistochemistry-Paraffin: Thrombomodulin/BDCA-3 Antibody (JB48-23) [NBP2-75683] - Analysis of paraffin-embedded human lung tissue with Rabbit anti-Thrombomodulin/BDCA-3 antibody washed with ddH2O and PBS, and then ...read more

Product Details

Summary
Product Discontinued
View other related Thrombomodulin/BDCA-3 Primary Antibodies

Order Details


    • Catalog Number
      NBP2-75683
    • Availability
      Product Discontinued

    Can't find what you are looking for? Use our Antibody Concierge Service & we will help you locate your antibody!

    Or feel free to contact us for alternative products.

Thrombomodulin/BDCA-3 Antibody (JB48-23) Summary

Additional Information
Recombinant Monoclonal Antibody.
Immunogen
Synthetic peptide within Human Thrombomodulin/BDCA-3 aa 526-575 / 575. (SwissProt: P07204 Human)
Localization
Membrane.
Isotype
IgG
Clonality
Monoclonal
Host
Rabbit
Gene
THBD
Purity
Protein A purified
Innovator's Reward
Test in a species/application not listed above to receive a full credit towards a future purchase.

Applications/Dilutions

Dilutions
  • Immunohistochemistry
  • Immunohistochemistry-Paraffin 1:50-1:200
  • Immunoprecipitation 1:10-1:50
  • Western Blot 1:500-1:2000
Theoretical MW
60 kDa.
Disclaimer note: The observed molecular weight of the protein may vary from the listed predicted molecular weight due to post translational modifications, post translation cleavages, relative charges, and other experimental factors.

Packaging, Storage & Formulations

Storage
Store at 4C short term. Aliquot and store at -20C long term. Avoid freeze-thaw cycles.
Buffer
TBS (pH7.4), 0.05% BSA, 40% Glycerol
Preservative
0.05% Sodium Azide
Concentration
1 mg/ml
Purity
Protein A purified

Alternate Names for Thrombomodulin/BDCA-3 Antibody (JB48-23)

  • BDCA3
  • BDCA-3
  • CD141 antigen
  • CD141
  • Fetomodulin
  • THBD
  • THRM
  • Thrombomodulin
  • TM

Background

CD141/Thrombomodulin is an exclusively endothelial cell surface glycoprotein that forms a 1:1 complex with thrombin. Binding of thrombin to this high affinity receptor alters its specificity toward several substrates. The complex activates protein C approximately 1000 times faster than thrombin alone. Activated protein C degrades clotting factors V and VIII; thus, thrombomodulin converts thrombin into a physiologic anticoagulant. Thrombomodulin is also found in the circulatory and urinary systems, the physiologic significance of this is obscure.

Limitations

This product is for research use only and is not approved for use in humans or in clinical diagnosis. Primary Antibodies are guaranteed for 1 year from date of receipt.

Customers Who Viewed This Item Also Viewed...

H00005555-P01
Species: Hu
Applications: ELISA, AP, PA, PAGE, WB
NB600-586
Species: Ca, Fe, Hu, Mu
Applications: Dual ISH-IHC, ICC/IF, IHC, IHC-Fr,  IHC-P
NBP1-58268
Species: Hu, Mu
Applications: IHC,  IHC-P, WB
NBP1-19773
Species: Hu, Mu, Rt
Applications: ELISA, ICC/IF, IHC, IHC-Fr,  IHC-P, WB
DTPA00
Species: Hu
Applications: ELISA
AF1267
Species: Hu
Applications: IP, Neut, WB
AF2245
Species: Hu
Applications: CyTOF-ready, Flow, IHC, WB
NB600-930
Species: Hu, Rt
Applications: ELISA, WB
DTFP10
Species: Hu
Applications: ELISA
AF4885
Species: Mu
Applications: IP, WB
AF6036
Species: Hu
Applications: IHC, WB
BBA16
Species: Hu
Applications: ELISA(Cap), ELISA(Det), ELISA(Sta), Flow, ICC, IHC, IP, WB
NB100-91662
Species: Hu, Mu, Rt
Applications: Flow, ICC/IF, IHC,  IHC-P, Simple Western, WB
M6000B
Species: Mu
Applications: ELISA
DY1707
Species: Hu
Applications: ELISA
2914-HT
Species: Hu
Applications: BA

Publications for Thrombomodulin/BDCA-3 Antibody (NBP2-75683) (0)

There are no publications for Thrombomodulin/BDCA-3 Antibody (NBP2-75683).
By submitting your publication information earn gift cards and discounts for future purchases.

Reviews for Thrombomodulin/BDCA-3 Antibody (NBP2-75683) (0)

There are no reviews for Thrombomodulin/BDCA-3 Antibody (NBP2-75683). By submitting a review you will receive an Amazon e-Gift Card or Novus Product Discount.
  • Review with no image -- $10/€7/£6/$10 CAD/¥70 Yuan/¥1110 Yen
  • Review with an image -- $25/€18/£15/$25 CAD/¥150 Yuan/¥2500 Yen

Product General Protocols

Find general support by application which include: protocols, troubleshooting, illustrated assays, videos and webinars.

Video Protocols

WB Video Protocol

FAQs for Thrombomodulin/BDCA-3 Antibody (NBP2-75683) (0)

There are no specific FAQs related to this product. Read our general customer & technical service FAQs.

Secondary Antibodies

 

Isotype Controls

Additional Thrombomodulin/BDCA-3 Products

Research Areas for Thrombomodulin/BDCA-3 Antibody (NBP2-75683)

Find related products by research area.

Blogs on Thrombomodulin/BDCA-3.

Thrombomodulin - A multifunctional protein with roles in inflammation and coagulation
Thrombomodulin, also known as BDCA-3, is a glycosylated transmembrane protein present on the surface of vascular endothelial cells. Thrombomodulin is a high-affinity receptor for thrombin, a key protein in the coagulation cascade. Formation of the...  Read full blog post.

Contact Information

Product PDFs

Calculators

Concentration Calculator

The concentration calculator allows you to quickly calculate the volume, mass or concentration of your vial. Simply enter your mass, volume, or concentration values for your reagent and the calculator will determine the rest.

=
÷

Review this Product

Be the first to review our Thrombomodulin/BDCA-3 Antibody (JB48-23) and receive a gift card or discount.

Bioinformatics

Gene Symbol THBD