TGN38 Antibody (JF1-024)

Images

 
Western Blot: TGN38 Antibody (JF1-024) [NBP2-67193] - Analysis of TGN38 on different lysates. Proteins were transferred to a PVDF membrane and blocked with 5% BSA in PBS for 1 hour at room temperature. The primary ...read more
Immunohistochemistry-Paraffin: TGN38 Antibody (JF1-024) [NBP2-67193] - Analysis of paraffin-embedded human liver tissue using anti-TGN38 antibody. The section was pre-treated using heat mediated antigen retrieval with ...read more
Western Blot: TGN38 Antibody (JF1-024) [NBP2-67193] - Analysis of TGN46 on NIH/3T3 cells lysates using anti-TGN46 antibody at 1/1,000 dilution.
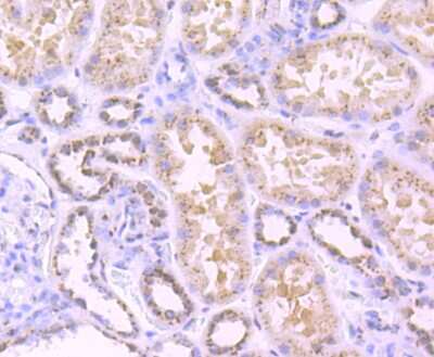
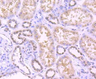
Immunohistochemistry-Paraffin: TGN38 Antibody (JF1-024) [NBP2-67193] - Analysis of paraffin-embedded human kidney tissue using anti-TGN46 antibody. Counter stained with hematoxylin.

Product Details

Summary
Product Discontinued
View other related TGN38 Primary Antibodies

Order Details


    • Catalog Number
      NBP2-67193
    • Availability
      Product Discontinued

    Can't find what you are looking for? Use our Antibody Concierge Service & we will help you locate your antibody!

    Or feel free to contact us for alternative products.

TGN38 Antibody (JF1-024) Summary

Additional Information
Recombinant Monoclonal Antibody.
Immunogen
Synthetic peptide within Human TGN38 aa 43-79 / 437L5L562:L576. (SwissProt: O43493 Human; SwissProt: Q62314 Mouse)
Localization
Cell membrane, Golgi apparatus.
Isotype
IgG
Clonality
Monoclonal
Host
Rabbit
Gene
TGOLN2
Purity
Protein A purified
Innovator's Reward
Test in a species/application not listed above to receive a full credit towards a future purchase.

Applications/Dilutions

Dilutions
  • Immunohistochemistry
  • Immunohistochemistry-Paraffin 1:50-1:200
  • Immunoprecipitation 1:50-1:100
  • Western Blot 1:1000-1:2000

Packaging, Storage & Formulations

Storage
Store at 4C short term. Aliquot and store at -20C long term. Avoid freeze-thaw cycles.
Buffer
TBS (pH7.4), 0.05% BSA, 40% Glycerol
Preservative
0.05% Sodium Azide
Concentration
1 mg/ml
Purity
Protein A purified

Alternate Names for TGN38 Antibody (JF1-024)

  • TGN38
  • TGN46
  • TGN46TGN38 homolog
  • TGN48MGC14722
  • TGN51
  • TGN5148, 51kD isoforms)
  • Tgoln1
  • Tgoln2
  • trans-golgi network protein 2
  • Trans-Golgi network protein TGN51
  • Ttgn1

Background

TGN38, also known as TGN46, is localized primarily in the Trans-Golgi network. TGN38 has been reported as being the best available marker for human trans-Golgi network

Limitations

This product is for research use only and is not approved for use in humans or in clinical diagnosis. Primary Antibodies are guaranteed for 1 year from date of receipt.

Customers Who Viewed This Item Also Viewed...

NBP2-34294
Species: Hu, Mu, Rt
Applications: Flow, IHC,  IHC-P
NBP2-53420
Species: Hu, Mu, Rt
Applications: Flow, ICC/IF, IHC,  IHC-P, WB
NB100-1903
Species: Ca, Ha, Hu, Mu, Po, Pm, Rt
Applications: B/N, Flow, ICC/IF, IHC,  IHC-P, IP, WB
NBP1-49533
Species: Hu, Mu, Pl, Rt
Applications: Flow-IC, Flow, ICC/IF, IHC,  IHC-P, KD, WB
2914-HT
Species: Hu
Applications: BA
NBP2-67471
Species: Hu, Mu, Rt
Applications: ICC/IF, IHC,  IHC-P, WB
NB120-19294
Species: Hu, Mu, Rt
Applications: ICC/IF, IHC,  IHC-P, WB
NBP2-04024
Species: Hu
Applications: ICC/IF, IP, WB
NBP2-38528
Species: Hu
Applications: ICC/IF, IHC,  IHC-P, WB
7268-CT
Species: Hu
Applications: BA
NB300-514
Species: Bv, Hu, Mu, Pm, Rt
Applications: CyTOF-ready, ELISA, Flow, ICC/IF, IHC,  IHC-P, IP, WB
NB100-524
Species: Hu, Mu
Applications: Flow-IC, Flow, ICC/IF, IHC, IHC-Fr,  IHC-P, IP, WB
NBP2-79843
Species: Hu
Applications: CyTOF-ready, ELISA, Flow, ICC/IF, IHC,  IHC-P, PA, WB
AF1029
Species: Mu
Applications: ICC, IHC, IP, WB
NBP2-50037
Species: Hu, Mu, Rt
Applications: ICC/IF, IHC, KO, WB
NBP1-30914
Species: Ha, Hu, Mu, Rt
Applications: ICC/IF, IHC,  IHC-P, IM, WB
NBP2-92832
Species: Hu, Mu
Applications: ICC/IF, WB
NBP2-67193
Species: Hu, Mu
Applications: WB, IHC, IP

Publications for TGN38 Antibody (NBP2-67193) (0)

There are no publications for TGN38 Antibody (NBP2-67193).
By submitting your publication information earn gift cards and discounts for future purchases.

Reviews for TGN38 Antibody (NBP2-67193) (0)

There are no reviews for TGN38 Antibody (NBP2-67193). By submitting a review you will receive an Amazon e-Gift Card or Novus Product Discount.
  • Review with no image -- $10/€7/£6/$10 CAD/¥70 Yuan/¥1110 Yen
  • Review with an image -- $25/€18/£15/$25 CAD/¥150 Yuan/¥2500 Yen

Product General Protocols

Find general support by application which include: protocols, troubleshooting, illustrated assays, videos and webinars.

Video Protocols

WB Video Protocol

FAQs for TGN38 Antibody (NBP2-67193) (0)

There are no specific FAQs related to this product. Read our general customer & technical service FAQs.

Secondary Antibodies

 

Isotype Controls

Additional TGN38 Products

Array NBP2-67193

Research Areas for TGN38 Antibody (NBP2-67193)

Find related products by research area.

Blogs on TGN38

There are no specific blogs for TGN38, but you can read our latest blog posts.

Contact Information

Product PDFs

Calculators

Concentration Calculator

The concentration calculator allows you to quickly calculate the volume, mass or concentration of your vial. Simply enter your mass, volume, or concentration values for your reagent and the calculator will determine the rest.

=
÷

Review this Product

Be the first to review our TGN38 Antibody (JF1-024) and receive a gift card or discount.

Bioinformatics

Gene Symbol TGOLN2