Teneurin-4 Antibody [Unconjugated]

Images

 
Western blot shows lysates of SH‑SY5Y human neuroblastoma cell line and L‑929 mouse fibroblast cell line. PVDF membrane was probed with 1 µg/mL of Sheep Anti-Human/Mouse/Rat Teneurin‑4 Antigen ...read more
Western blot shows lysates of Rat cortical stem cell. PVDF membrane was probed with 1 µg/mL of Sheep Anti-Human/Mouse/Rat Teneurin‑4 Antigen Affinity-purified Polyclonal Antibody (Catalog # AF6320) followed by ...read more
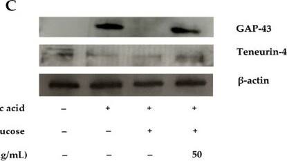
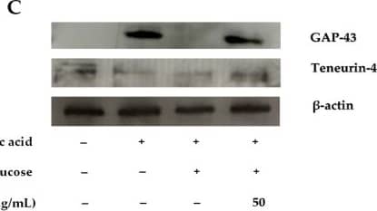
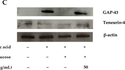
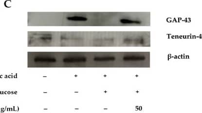
The effect of fraction ACH3 on neurite outgrowth (A). MTT assay was performed to clarify the effect of fraction ACH3 on cell viability (B). GAP-43 and Teneurin4 expression shown in a representative Western blot (C). ...read more
The effect of fraction ACH3 on neurite outgrowth (A). MTT assay was performed to clarify the effect of fraction ACH3 on cell viability (B). GAP-43 and Teneurin4 expression shown in a representative Western blot (C). ...read more

Product Details

Summary
Reactivity Hu, Mu, RtSpecies Glossary
Applications WB
Clonality
Polyclonal
Host
Sheep
Conjugate
Unconjugated
Concentration
LYOPH

Order Details

Teneurin-4 Antibody [Unconjugated] Summary

Immunogen
E. coli-derived recombinant human Teneurin-4
Lys61-Lys340
Accession # Q6N022
Specificity
Detects human, mouse, and rat Teneurin-4 in Western blots and human Teneurin-4 in direct ELISAs. In direct ELISAs, approximately 5% cross‑reactivity with recombinant human (rh) Teneurin-1 is observed, and less than 1% cross-reactivity with rhTeneurin-2 and rhTeneurin-3 is observed.
Source
N/A
Isotype
IgG
Clonality
Polyclonal
Host
Sheep
Gene
TENM4
Purity Statement
Antigen Affinity-purified
Innovator's Reward
Test in a species/application not listed above to receive a full credit towards a future purchase.

Applications/Dilutions

Dilutions
  • Western Blot 1 ug/mL
Publications
Read Publications using
AF6320 in the following applications:

Packaging, Storage & Formulations

Storage
Use a manual defrost freezer and avoid repeated freeze-thaw cycles.
  • 12 months from date of receipt, -20 to -70 °C as supplied.
  • 1 month, 2 to 8 °C under sterile conditions after reconstitution.
  • 6 months, -20 to -70 °C under sterile conditions after reconstitution.
Buffer
Lyophilized from a 0.2 μm filtered solution in PBS with Trehalose. *Small pack size (SP) is supplied either lyophilized or as a 0.2 µm filtered solution in PBS.
Preservative
No Preservative
Concentration
LYOPH
Reconstitution Instructions
Reconstitute at 0.2 mg/mL in sterile PBS.

Notes

This product is produced by and ships from R&D Systems, Inc., a Bio-Techne brand.

Alternate Names for Teneurin-4 Antibody [Unconjugated]

  • Doc4
  • ODZ4
  • Tenascin-M4
  • Teneurin4
  • Teneurin-4
  • Ten-M4
  • TNM4

Background

Teneurin-4 (also Ten-m4, Doc4 and tenascin-M4) is a 250-300 kDa member of the tenascin family, teneurin subfamily of transmembrane (TM) molecules. It is a covalently-linked homodimer that is widely expressed in the embryo, and in adult, participates in cell-to-cell adhesion, and may communicate ER stress levels. Human Teneurin-4 is a 2769 amino acid (aa) type II TM glycoprotein. It contains a 345 aa cytoplasmic region (aa 1-345), plus a 2403 aa extracellular domain (ECD) (aa 367‑2769). The ECD possesses eight sequential EGF-like domains (aa 561-831), five NHL repeats, each of which form a beta -propeller (aa 1216-1566), and 23 YD/TyrAsp-containing repeats that bind carbohydrates. C-terminal cleavage generates a short 5 kDa, 41 aa peptide (aa 2726-2766) termed TCAP-1 that shows bioactivity. Teneurin-4 is hypothesized to form heterodimers with other teneurins. Over aa 61-340, human Teneurin-4 shares 95% aa identity with mouse Teneurin-4.

Limitations

This product is for research use only and is not approved for use in humans or in clinical diagnosis. Primary Antibodies are guaranteed for 1 year from date of receipt.

Customers Who Viewed This Item Also Viewed...

AF6324
Species: Hu
Applications: WB
NBP2-81974
Species: Hu, Mu, Rt
Applications: ELISA, ICC/IF, IHC,  IHC-P, WB
NB110-68136
Species: Fe, Hu, Mu, Rt
Applications: CyTOF-ready, ELISA, Flow-IC, Flow, ICC/IF, IHC, IHC-Fr,  IHC-P, WB
NBP2-67327
Species: Hu, Mu, Rt
Applications: Flow, ICC/IF, IHC,  IHC-P, IP, WB
NB600-1335
Species: Hu, Mu, Pm, Rt
Applications: ChIP, ELISA, Flow, GS, ICC/IF, IHC,  IHC-P, IP, KD, Simple Western, WB
236-EG
Species: Hu
Applications: BA
NB100-91662
Species: Hu, Mu, Rt
Applications: Flow, ICC/IF, IHC,  IHC-P, Simple Western, WB
7310-GH
Species: Hu
Applications: EnzAct
NBP2-46617
Species: Hu, Mu, Rt
Applications: ICC/IF, IHC,  IHC-P, WB
NB100-2688
Species: Hu
Applications: Flow-CS, Flow, ICC/IF, IHC, IHC-Fr,  IHC-P, IP, KO, WB
AF4578
Species: Hu, Mu, Rt
Applications: IHC, WB
NBP1-91928
Species: Hu
Applications: IHC,  IHC-P, WB
MAB4614
Species: Hu
Applications: CyTOF-ready, Flow, KO
NBP1-89246
Species: Hu
Applications: ICC/IF, IHC,  IHC-P
NBP2-34118
Species: Hu
Applications: IHC,  IHC-P, WB
H00003993-M06
Species: Ca, Dr, Hu
Applications: ELISA, ICC/IF, IHC,  IHC-P, S-ELISA, WB
AF942
Species: Mu
Applications: CyTOF-ready, ICC, IHC, ICFlow, WB

Publications for Teneurin-4 Antibody (AF6320)(5)

We have publications tested in 3 confirmed species: Human, Mouse, Primate - Chlorocebus aethiops (African Green Monkey).

We have publications tested in 1 application: Western Blot.


Filter By Application
Western Blot
(4)
All Applications
Filter By Species
Human
(2)
Mouse
(1)
Primate - Chlorocebus aethiops (African Green Monkey)
(1)
All Species
Showing Publications 1 - 5 of 5.
Publications using AF6320 Applications Species
Kurihara, Y;Kawaguchi, Y;Ohta, Y;Kawasaki, N;Fujita, Y;Takei, K; Nogo Receptor Antagonist LOTUS Promotes Neurite Outgrowth through Its Interaction with Teneurin-4 Cells 2024-08-17 [PMID: 39195260] (Western Blot, Primate - Chlorocebus aethiops (African Green Monkey)) Western Blot Primate - Chlorocebus aethiops (African Green Monkey)
N Pattaracho, N Sornkaew, W Warayanon, P Rangsinth, C Sillapacha, W Vongthip, S Chuchawank, A Prasansukl, T Tencomnao Aquilaria crassna Leaf Extract Ameliorates Glucose-Induced Neurotoxicity In Vitro and Improves Lifespan in Caenorhabditis elegans Nutrients, 2022-09-05;14(17):. 2022-09-05 [PMID: 36079924] (Western Blot, Human) Western Blot Human
G Peppino, F Riccardo, M Arigoni, E Bolli, G Barutello, F Cavallo, E Quaglino Role and Involvement of TENM4 and miR-708 in Breast Cancer Development and Therapy Cells, 2022-01-05;11(1):. 2022-01-05 [PMID: 35011736] (Western Blot, Human) Western Blot Human
Roberto Ruiu, Giuseppina Barutello, Maddalena Arigoni, Federica Riccardo, Laura Conti, Giulia Peppino et al. Identification of TENM4 as a Novel Cancer Stem Cell-Associated Molecule and Potential Target in Triple Negative Breast Cancer Cancers (Basel) 2/20/2021 [PMID: 33672732]
N Apóstolo, SN Smukowski, J Vanderlind, G Condomitti, V Rybakin, J Ten Bos, L Trobiani, S Portegies, KM Vennekens, NV Gounko, D Comoletti, KD Wierda, JN Savas, J de Wit Synapse type-specific proteomic dissection identifies IgSF8 as a hippocampal CA3 microcircuit organizer Nat Commun, 2020-10-14;11(1):5171. 2020-10-14 [PMID: 33057002] (Western Blot, Mouse) Western Blot Mouse

Reviews for Teneurin-4 Antibody (AF6320) (0)

There are no reviews for Teneurin-4 Antibody (AF6320). By submitting a review you will receive an Amazon e-Gift Card or Novus Product Discount.
  • Review with no image -- $10/€7/£6/$10 CAD/¥70 Yuan/¥1110 Yen
  • Review with an image -- $25/€18/£15/$25 CAD/¥150 Yuan/¥2500 Yen

Product General Protocols

Find general support by application which include: protocols, troubleshooting, illustrated assays, videos and webinars.

Video Protocols

WB Video Protocol

FAQs for Teneurin-4 Antibody (AF6320) (0)

There are no specific FAQs related to this product. Read our general customer & technical service FAQs.

Customers Who Bought This Also Bought

Contact Information

Product PDFs

Calculators

Concentration Calculator

The concentration calculator allows you to quickly calculate the volume, mass or concentration of your vial. Simply enter your mass, volume, or concentration values for your reagent and the calculator will determine the rest.

=
÷

Review this Product

Be the first to review our Teneurin-4 Antibody [Unconjugated] and receive a gift card or discount.

Bioinformatics

Gene Symbol TENM4
Uniprot