Tenascin C Antibody (578) [Unconjugated]

Images

 
Tenascin C was detected in immersion fixed U-118 MG human glioblastoma/astrocytoma cell line using Rat Anti-Human/Mouse Tenascin C Monoclonal Antibody (Catalog # MAB2138) at 10 µg/mL for 3 hours at room temperature. ...read more
P62 mediates selective autophagic degradation of TNC.a Immunoblot of MDA-MB-231-WT or MDA-MB-231-Atg5KO#4 cells treated with EBSS for the indicated time points. b HEK293T cells were transfected with Flag-tagged p62, ...read more
TNC is overexpressed in autophagy-deficient TNBC cells and inhibits T-cell priming. A The Top10 KEGG pathways enriched for commonly upregulated proteins in MDA-MB-231-Atg5KO#4 cells and MEF-Atg5−/− cells compared to ...read more
Blockade of TNC sensitizes checkpoint blockade immunotherapy in vitro.a MDA-MB-231-Atg5KO#4 cells were pre-treated with anti-TNC (10 µg per ml) or anti-PD-L1 (10 µg/ml) for 2 h, then co-cultured with ...read more

Product Details

Summary
Reactivity Hu, MuSpecies Glossary
Applications WB, B/N, ICC/IF
Clone
578
Clonality
Monoclonal
Host
Rat
Conjugate
Unconjugated
Concentration
LYOPH

Order Details

Tenascin C Antibody (578) [Unconjugated] Summary

Immunogen
Mouse immature astrocyte-derived Tenascin C
Specificity
Detect human and mouse Tenascin C in Western blots.
Source
N/A
Isotype
IgG2a
Clonality
Monoclonal
Host
Rat
Gene
TNC
Purity Statement
Protein A or G purified from hybridoma culture supernatant
Endotoxin Note
<0.10 EU per 1 μg of the antibody by the LAL method.
Innovator's Reward
Test in a species/application not listed above to receive a full credit towards a future purchase.

Applications/Dilutions

Dilutions
  • Immunocytochemistry 8-25 ug/mL
  • Neutralization 1 ug/mL
  • Western Blot
Reviewed Applications
Read 4 Reviews rated 4.3
using
MAB2138 in the following applications:

Publications
Read Publications using
MAB2138 in the following applications:

Packaging, Storage & Formulations

Storage
Use a manual defrost freezer and avoid repeated freeze-thaw cycles.
  • 12 months from date of receipt, -20 to -70 °C as supplied.
  • 1 month, 2 to 8 °C under sterile conditions after reconstitution.
  • 6 months, -20 to -70 °C under sterile conditions after reconstitution.
Buffer
Lyophilized from a 0.2 μm filtered solution in PBS with Trehalose. *Small pack size (SP) is supplied either lyophilized or as a 0.2 µm filtered solution in PBS.
Preservative
No Preservative
Concentration
LYOPH
Reconstitution Instructions
Reconstitute at 0.5 mg/mL in sterile PBS.

Notes

This product is produced by and ships from R&D Systems, Inc., a Bio-Techne brand.

Alternate Names for Tenascin C Antibody (578) [Unconjugated]

  • 150-225
  • Cytotactin
  • Glioma-associated-extracellular matrix antigen
  • GMEM
  • GP 150-225
  • hexabrachion (tenascin C, cytotactin)
  • hexabrachion (tenascin)
  • Hexabrachion
  • HXB
  • HXBcytotactin
  • JI
  • MGC167029
  • Myotendinous antigen
  • neuronectin
  • Tenascin C
  • Tenascin J1
  • tenascin
  • tenascin-C isoform 14/AD1/16
  • Tenascin-C
  • TNC
  • TN-C
  • TNGP

Background

Tenascin C, also known as hexabrachion, cytotactin, neuronectin, GMEM, JI, myotendinous antigen, glioma-associated-extracellular matrix antigen, and GP 150‑225, is a member of the Tenascin family of extracellular matrix proteins. It is secreted as a disulfide-linked homohexamer whose subunits can vary in size from approximately 200 kDa to over 300 kDa due to differences in glycosylation (1). Rotary-shadowed electron micrographs of the purified molecule show six strands joined to one another at one end in a globular domain with each arm terminating in a knob-like structure (2, 3). The human Tenascin C monomer is synthesized as a precursor with a 22 amino acid (aa) signal sequence and a 2179 aa mature chain. The mature chain consists of a coiled-coil region (aa 118‑145), followed by
15 EGF‑like domains, 15 fibronectin type-III domains, and a fibrinogen C-terminal domain. In addition, there are 23 potential sites of N‑linked glycosylation. Alternative splicing within the fibronectin type-III repeats produces six isoforms for human Tenascin C. Mature human Tenascin C (isoform 1) shares 84% aa sequence identity with mature mouse Tenascin C. In the developing embryo, Tenascin C is expressed during neural, skeletal, and vascular morphogenesis (1, 2). In the adult, it virtually disappears with continued basal expression detectable only in tendon-associated tissues (1, 2). However, great up-regulation in expression occurs in tissues undergoing remodeling processes seen during wound repair and neovascularization or in pathological states such as inflammation or tumorigenesis (1, 4, 5). Biologically, Tenascin C functions as an adhesion-modulatory extracellular matrix protein (1, 4‑8). Specifically, it antagonizes the adhesive effects of fibronectin, and impacts the ability of fibroblasts to deposit and contract the matrix by affecting the morphology and signaling pathways of adherent cells (5‑7). Tenascin C acts by blocking syndecan-4 binding at the edges of the wound and by suppressing fibronectin-mediated activation of RhoA and focal adhesion kinase (FAK) (4‑8). Tenascin C thus promotes epidermal cell migration and proliferation during wound repair.

  1. Hsia, H.C. and J.E. Schwarzbauer (2005) J. Biol. Chem. 280:26641.
  2. Nies, D.E. et al. (1991) J. Biol. Chem. 266:2818.
  3. Erickson, H.P and J.L. Iglesias (1984) Nature 311:267.
  4. Orend, G. et al. (2003) Oncogene 22:3917.
  5. Wenk, M.B. et al. (2000) J. Cell Biol. 150:913.
  6. Midwood, K.S. et al. (2004) Mol. Biol. Cell 15:5670.
  7. Midwood, K.S. and J. E. Schwarzbauer (2002) Mol. Biol. Cell 13:3601.
  8. Hsia, H.C. and J.E. Schwarzbauer (2006) J. Surg. Res. 136:92.

Limitations

This product is for research use only and is not approved for use in humans or in clinical diagnosis. Primary Antibodies are guaranteed for 1 year from date of receipt.

Customers Who Viewed This Item Also Viewed...

NBP1-91258
Species: Bv, Ca, Eq, Fe, Hu, Mu, Po, Rt
Applications: ICC/IF, IHC, IHC-Fr,  IHC-P, Simple Western, WB
NB600-586
Species: Ca, Fe, Hu, Mu
Applications: Dual ISH-IHC, ICC/IF, IHC, IHC-Fr,  IHC-P
MAB7616
Species: Hu
Applications: CyTOF-ready, Flow, WB
MAB1624
Species: Mu, Rt
Applications: IHC, WB
NB100-2737
Species: Hu
Applications: ICC/IF, IHC, IP, WB
NBP1-28872
Species: Hu
Applications: ELISA, ICC/IF, IHC, IHC-Fr,  IHC-P, WB
NBP1-87822
Species: Hu, Mu, Rt
Applications: ICC/IF, IHC,  IHC-P, KD, WB
NBP1-88899
Species: Hu
Applications: IHC,  IHC-P
137-PS
Species: Hu
Applications: BA
AF6999
Species: Hu
Applications: IHC, Simple Western, WB
NBP2-67416
Species: Hu, Mu, Rt
Applications: ICC/IF, IHC,  IHC-P, WB
AF3627
Species: Hu
Applications: WB
7268-CT
Species: Hu
Applications: BA
NBP2-79843
Species: Hu
Applications: CyTOF-ready, ELISA, Flow, ICC/IF, IHC,  IHC-P, PA, WB
AF3398
Species: Hu, Mu, Rt
Applications: ICC, KO, Simple Western, WB
NB100-524
Species: Hu, Mu
Applications: Flow-IC, Flow, ICC/IF, IHC, IHC-Fr,  IHC-P, IP, WB
236-EG
Species: Hu
Applications: BA
AF231
Species: Hu
Applications: CyTOF-ready, Dual ISH-IHC, ELISA(Cap), ELISA(Det), ELISA(Sta), Flow, ICC, IHC, IP, Simple Western, WB

Publications for Tenascin C Antibody (MAB2138)(33)

We have publications tested in 3 confirmed species: Human, Mouse, Transgenic Mouse.

We have publications tested in 9 applications: Flow Cytometry, Functional Assay, IHC, IHC-Fr, IHC-P, Immunocytochemistry, Immunohistochemistry, Neutralization, Western Blot.


Filter By Application
Flow Cytometry
(1)
Functional Assay
(1)
IHC
(9)
IHC-Fr
(1)
IHC-P
(2)
Immunocytochemistry
(1)
Immunohistochemistry
(2)
Neutralization
(5)
Western Blot
(3)
All Applications
Filter By Species
Human
(7)
Mouse
(16)
Transgenic Mouse
(1)
All Species
Showing Publications 1 - 10 of 33. Show All 33 Publications.
Publications using MAB2138 Applications Species
Chen, S;Lin, Y;Yang, H;Li, Z;Li, S;Chen, D;Hao, W;Zhang, S;Chao, H;Zhang, J;Wang, J;Li, Z;Li, X;Zhan, Z;Liu, H; A CD26+ tendon stem progenitor cell population contributes to tendon repair and heterotopic ossification Nature communications 2025-01-16 [PMID: 39820504] (Neutralization, Mouse) Neutralization Mouse
Hartmann, HA;Loberg, MA;Xu, GJ;Schwarzkopf, AC;Chen, SC;Phifer, CJ;Caroland, K;Chen, HC;Diaz, D;Tigue, ML;Hesterberg, AB;Gallant, JN;Shaddy, SM;Sheng, Q;Netterville, JL;Rohde, SL;Solórzano, CC;Bischoff, LA;Baregamian, N;Hurley, PJ;Murphy, BA;Choe, JH;Huang, EC;Ye, F;Lee, E;Weiss, VL; Tenascin-C potentiates Wnt signaling in thyroid cancer bioRxiv : the preprint server for biology 2024-11-06 [PMID: 39574628] (Western Blot, Human) Western Blot Human
García-Martín, A;Prados, ME;Lastres-Cubillo, I;Ponce-Diaz, FJ;Cerero, L;Garrido-Rodríguez, M;Navarrete, C;Pineda, R;Rodríguez, AB;Muñoz, I;Moya, J;Medeot, A;Moreno, JA;Chacón, A;García-Revillo, J;Muñoz, E; Etrinabdione (VCE-004.8), a B55? activator, promotes angiogenesis and arteriogenesis in critical limb ischemia Journal of translational medicine 2024-11-06 [PMID: 39506809] (Immunohistochemistry, Mouse) Immunohistochemistry Mouse
Yonemura, A;Semba, T;Zhang, J;Fan, Y;Yasuda-Yoshihara, N;Wang, H;Uchihara, T;Yasuda, T;Nishimura, A;Fu, L;Hu, X;Wei, F;Kitamura, F;Akiyama, T;Yamashita, K;Eto, K;Iwagami, S;Iwatsuki, M;Miyamoto, Y;Matsusaki, K;Yamasaki, J;Nagano, O;Saya, H;Song, S;Tan, P;Baba, H;Ajani, JA;Ishimoto, T; Mesothelial cells with mesenchymal features enhance peritoneal dissemination by forming a protumorigenic microenvironment Cell reports 2023-12-30 [PMID: 38232734] (Immunocytochemistry, Mouse) Immunocytochemistry Mouse
Charly Abi-Ghanem, Deepa Jonnalagadda, Jerold Chun, Yasuyuki Kihara, Barbara Ranscht CAQK, a peptide associating with extracellular matrix components targets sites of demyelinating injuries Frontiers in Cellular Neuroscience 8/22/2022 [PMID: 36072569]
Y Xue, C Lyu, A Taylor, A Van Ee, A Kiemen, Y Choi, N Khavanian, D Henn, C Lee, L Hwang, E Wier, S Wang, S Lee, A Li, C Kirby, G Wang, PH Wu, D Wirtz, LA Garza, SK Reddy Mechanical tension mobilizes Lgr6+ epidermal stem cells to drive skin growth Science Advances, 2022-04-27;8(17):eabl8698. 2022-04-27 [PMID: 35476447] (Immunohistochemistry, Mouse) Immunohistochemistry Mouse
HW Cheng, U Mörbe, M Lütge, C Engetschwi, L Onder, M Novkovic, C Gil-Cruz, C Perez-Shib, T Hehlgans, E Scandella, B Ludewig Intestinal fibroblastic reticular cell niches control innate lymphoid cell homeostasis and function Nature Communications, 2022-04-19;13(1):2027. 2022-04-19 [PMID: 35440118] (IHC, Mouse) IHC Mouse
R Bernasconi, K Thriene, E Romero-Fer, C Gretzmeier, T Kühl, M Maler, P Nauroy, S Kleiser, AC Rühl-Muth, M Stumpe, D Kiritsi, SF Martin, B Hinz, L Bruckner-T, J Dengjel, A Nyström Pro-inflammatory immunity supports fibrosis advancement in epidermolysis bullosa: intervention with Ang-(1-7) Embo Molecular Medicine, 2021-08-30;0(0):e14392. 2021-08-30 [PMID: 34459121] (IHC, Western Blot, Human, Mouse) IHC, Western Blot Human, Mouse
Bich Vu, Glauco R. Souza, Jörn Dengjel Scaffold-free 3D cell culture of primary skin fibroblasts induces profound changes of the matrisome Matrix Biology Plus 8/1/2021 [PMID: 34435183]
Zihao Li, Siwen Chen, Haowen Cui, Xiang Li, Dongying Chen, Wenjun Hao et al. Tenascin-C-mediated suppression of extracellular matrix adhesion force promotes entheseal new bone formation through activation of Hippo signalling in ankylosing spondylitis Annals of the Rheumatic Diseases 2021-07-01 [PMID: 33858850] (Neutralization, Mouse, Transgenic Mouse) Neutralization Mouse, Transgenic Mouse
Show All 33 Publications.

Reviews for Tenascin C Antibody (MAB2138) (4) 4.34

Average Rating: 4.3
(Based on 4 reviews)
We have 4 reviews tested in 2 species: Human, Mouse.

Reviews using MAB2138:
Filter by Applications
 IHC-P
(1)
WB
(1)
IHC-Fr
(1)
IF
(1)
All Applications
Filter by Species
Human
(2)
Mouse
(2)
All Species
Images Ratings Applications Species Date Details
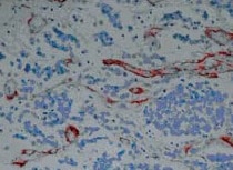
Immunohistochemistry-Paraffin Tenascin C MAB2138
Enlarge
5
reviewed by:
Verified Customer
 IHC-P Human 09/25/2021
View

Summary

ApplicationImmunohistochemistry-Paraffin
Sample TestedSkin tumor,tumor tissue
SpeciesHuman
Lot578

Comments

Comments***Bio-Techne Response: This review was submitted through the legacy Novus Innovators Program, reflecting a new species or application tested on a primary antibody.***
Western Blot Tenascin C MAB2138
Enlarge
4
reviewed by:
Verified Customer
WB Human 06/17/2019
View

Summary

ApplicationWestern Blot
Sample TestedSVG-A immortalized astrocytes
SpeciesHuman
LotKLC0718021
Immunohistochemistry-Frozen Tenascin C MAB2138
Enlarge
4
reviewed by:
Kirsten Hattermann-Koch
IHC-Fr Mouse 03/11/2019
View

Summary

ApplicationImmunohistochemistry-Frozen
Sample TestedMouse brain
SpeciesMouse
LotKLC0718021
Immunofluorescence Tenascin C MAB2138
Enlarge
4
reviewed by:
Andrew White
IF Mouse 12/11/2015
View

Summary

ApplicationImmunofluorescence
Sample TestedMouse skin (hair follicle)
SpeciesMouse

Product General Protocols

Find general support by application which include: protocols, troubleshooting, illustrated assays, videos and webinars.

Video Protocols

WB Video Protocol

FAQs for Tenascin C Antibody (MAB2138). (Showing 1 - 1 of 1 FAQs).

  1. One of our clients is looking for antibodies against tenascin C and fibronectin that could be used for FFPE rat tissues. These antibodies should exclusively recognize tenascin C and fibronectin and do not cross react with each other. Can you inform me if you have these antibodies?
    • Here is a link to Tenascin C antibodies we have validated in rat tissues for IHC-P Here are antibodies we have validated in fibronectin in rat tissues for IHC-P

Customers Who Bought This Also Bought

Contact Information

Product PDFs

Calculators

Concentration Calculator

The concentration calculator allows you to quickly calculate the volume, mass or concentration of your vial. Simply enter your mass, volume, or concentration values for your reagent and the calculator will determine the rest.

=
÷

Recent Reviews

4.3
5
1
4
3
3
0
2
0
1
0

Verified Customer
09/25/2021
Application:  IHC-P
Species: Human

Verified Customer
06/17/2019
Application: WB
Species: Human

Kirsten Hattermann-Koch
03/11/2019
Application: IHC-Fr
Species: Mouse

Bioinformatics

Gene Symbol TNC