TdT Antibody (rDNTT/6909) - Azide and BSA Free

Images

 
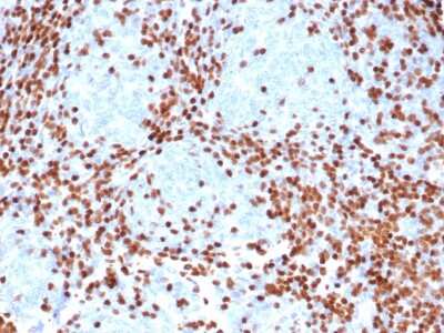
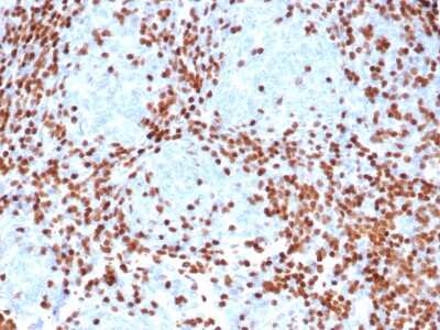
Immunohistochemistry-Paraffin: TdT Antibody (rDNTT/6909) - Azide and BSA Free [NBP3-14198] - Formalin-fixed, paraffin-embedded human thymus stained with TdT antibody (rDNTT/6909).

Product Details

Summary
Reactivity HuSpecies Glossary
Applications ELISA, IHC
Clone
rDNTT/6909
Clonality
Monoclonal
Host
Mouse
Conjugate
Unconjugated
Format
Azide and BSA Free
Concentration
1 mg/ml

Order Details

TdT Antibody (rDNTT/6909) - Azide and BSA Free Summary

Description
1.0 mg/ml of antibody purified from Bioreactor Concentrate by Protein A/G. Prepared in 10mM PBS WITHOUT BSA & azide. Also available at 200 ug/ml WITH BSA & azide (NBP3-13871).

Antibody with azide - store at 2 to 8C. Antibody without azide - store at -20 to -80 C.
Additional Information
Recombinant Monoclonal Antibody
Immunogen
Recombinant fragment (around aa1-100) of human TdT protein (exact sequence is proprietary) (Uniprot: P04053)
Localization
Nucleus
Marker
Acute Lymphoblastic Leukemia Marker
Isotype
IgG1 Kappa
Clonality
Monoclonal
Host
Mouse
Gene
DNTT
Purity
Protein A or G purified
Innovator's Reward
Test in a species/application not listed above to receive a full credit towards a future purchase.

Applications/Dilutions

Dilutions
  • ELISA 2-4 ug/ml
  • Immunohistochemistry-Paraffin 1-2 ug/ml
Application Notes
ELISA: use this antibody at 2-4ug/ml. For coating, order this antibody without BSA

Immunohistochemistry (Formalin-fixed): 1-2ug/ml for 30 minutes at RT. Staining of formalin-fixed tissues requires heating tissue sections in 10mM Tris with 1mM EDTA, pH 9.0, for 45 min at 95C followed by cooling at RT for 20 minutes
Theoretical MW
58 kDa.
Disclaimer note: The observed molecular weight of the protein may vary from the listed predicted molecular weight due to post translational modifications, post translation cleavages, relative charges, and other experimental factors.

Packaging, Storage & Formulations

Storage
Store at -20 to -80C. Avoid freeze-thaw cycles.
Buffer
10mM PBS
Preservative
No Preservative
Concentration
1 mg/ml
Purity
Protein A or G purified

Alternate Names for TdT Antibody (rDNTT/6909) - Azide and BSA Free

  • deoxynucleotidyltransferase, terminal
  • DNTT
  • EC 2.7.7
  • EC 2.7.7.31
  • nucleosidetriphosphate:DNA deoxynucleotidylexotransferase
  • TdT
  • TDTDNA nucleotidylexotransferase
  • Terminal addition enzyme
  • Terminal deoxynucleotidyltransferase
  • terminal deoxyribonucleotidyltransferase
  • Terminal transferase

Background

TdT is a nuclear enzyme involved in the recombination of Immunoglobulin and T cell receptor genes. TdT is expressed in early lymphoid cells and by tumor cells in certain classes of acute lymphoid leukemia.

Limitations

This product is for research use only and is not approved for use in humans or in clinical diagnosis. Primary Antibodies are guaranteed for 1 year from date of receipt.

Customers Who Viewed This Item Also Viewed...

AF1126
Species: Mu
Applications: ELISA(Cap), ELISA(Det), ELISA(Sta), IHC, IP, WB
NBP2-79843
Species: Hu
Applications: CyTOF-ready, ELISA, Flow, ICC/IF, IHC,  IHC-P, PA, WB
7268-CT
Species: Hu
Applications: BA
NB100-524
Species: Hu, Mu
Applications: Flow-IC, Flow, ICC/IF, IHC, IHC-Fr,  IHC-P, IP, WB
AF4117
Species: Rt
Applications: IHC, WB
NB100-56098
Species: Ca, Hu, Mu, Rt
Applications: IHC,  IHC-P, IP, WB
NB600-1441
Species: Ca, Hu, Mu, Po
Applications: Flow, ICC/IF, IHC, IHC-Fr,  IHC-P, KD
NBP2-25196
Species: Hu, Mu
Applications: CyTOF-ready, Flow, ICC/IF, In vitro, WB
AF3667
Species: Hu, Mu
Applications: Dual ISH-IHC, ICC, IHC, Simple Western, WB
NBP2-54591
Species: Hu
Applications: CyTOF-ready, Flow, ICC/IF, IHC,  IHC-P, PA
NBP2-37368
Species: Hu
Applications: CyTOF-ready, ELISA, Flow, IMC, IHC,  IHC-P, WB
AF114
Species: Mu
Applications: CyTOF-ready, Flow, ICC, IHC, WB
NBP2-67309
Species: Hu, Rt
Applications: Flow, ICC/IF, IHC,  IHC-P, IP, WB
NB200-103
Species: Hu, Mu, Rt, Xp(-), Ye
Applications: CyTOF-ready, ELISA, Flow-IC, Flow, ICC/IF, IHC, IHC-Fr,  IHC-P, IP, WB
NBP1-87404
Species: Hu, Mu, Rt
Applications: Flow, ICC/IF, IHC,  IHC-P, KD, WB
NB500-106
Species: Ch, Dr, Fi, Hu, Mar, Mu, Po, Pm, Rb, Rt, Ye, Ze
Applications: ChIP, ChIP, ELISA, Flow, ICC/IF, IHC-FrFl, IHC, IHC-Fr,  IHC-P, IP, Simple Western, WB
NBP1-19371
Species: Ca, Hu, Mu, Po, Rb, Rt
Applications: Dual ISH-IHC, Flow, ICC/IF, IHC, IHC-Fr,  IHC-P, Simple Western, WB
NBP3-14198
Species: Hu
Applications: ELISA, IHC

Publications for TdT Antibody (NBP3-14198) (0)

There are no publications for TdT Antibody (NBP3-14198).
By submitting your publication information earn gift cards and discounts for future purchases.

Reviews for TdT Antibody (NBP3-14198) (0)

There are no reviews for TdT Antibody (NBP3-14198). By submitting a review you will receive an Amazon e-Gift Card or Novus Product Discount.
  • Review with no image -- $10/€7/£6/$10 CAD/¥70 Yuan/¥1110 Yen
  • Review with an image -- $25/€18/£15/$25 CAD/¥150 Yuan/¥2500 Yen

Product General Protocols

Find general support by application which include: protocols, troubleshooting, illustrated assays, videos and webinars.

FAQs for TdT Antibody (NBP3-14198) (0)

There are no specific FAQs related to this product. Read our general customer & technical service FAQs.

Secondary Antibodies

 

Isotype Controls

Additional TdT Products

Research Areas for TdT Antibody (NBP3-14198)

Find related products by research area.

Blogs on TdT.

TdT (Terminal Deoxynucleotidyl Transferase)
The enzyme family of DNA polymerases plays a fundamental role in the replication, repair, and recombination of nucleic acid. Its members include DNA Polymerase b (Pol b), DNA Polymerase g (Pol g), and DNA Polymerase m (Pol m). TdT is a very unique and...  Read full blog post.

Customers Who Bought This Also Bought

Contact Information

Product PDFs

Calculators

Concentration Calculator

The concentration calculator allows you to quickly calculate the volume, mass or concentration of your vial. Simply enter your mass, volume, or concentration values for your reagent and the calculator will determine the rest.

=
÷

Review this Product

Be the first to review our TdT Antibody (rDNTT/6909) - Azide and BSA Free and receive a gift card or discount.

Bioinformatics

Gene Symbol DNTT