TBX6 Antibody

Images

 
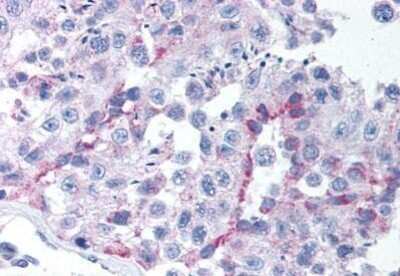
Immunohistochemistry-Paraffin: Tbx6 Antibody [NBP1-02529] - Staining of human testis. Immunohistochemistry of formalin-fixed, paraffin-embedded tissue after heat-induced antigen retrieval. Antibody concentration 10 ...read more

Product Details

Summary
Product Discontinued
View other related TBX6 Primary Antibodies

Order Details


    • Catalog Number
      NBP1-02529
    • Availability
      Product Discontinued

    Can't find what you are looking for? Use our Antibody Concierge Service & we will help you locate your antibody!

    Or feel free to contact us for alternative products.

TBX6 Antibody Summary

Immunogen
Synthetic peptide from human TBX6.
Specificity
Amino acids 361 to 377 of human TBX6
Isotype
IgG
Clonality
Polyclonal
Host
Rabbit
Gene
TBX6
Purity
Protein G purified
Innovator's Reward
Test in a species/application not listed above to receive a full credit towards a future purchase.

Applications/Dilutions

Dilutions
  • ELISA 1:1000
  • Immunohistochemistry 1:10-1:500
  • Immunohistochemistry-Paraffin 10 ug/ml
Application Notes
IHC: NBP1-02529 was validated for use in immunohistochemistry on a panel of 21 formalin-fixed, paraffin-embedded (FFPE) human tissues after heat induced antigen retrieval in pH 6.0 citrate buffer. After incubation with the primary antibody, slides were incubated with biotinylated secondary antibody, followed by alkaline phosphatase-streptavidin and chromogen. The stained slides were evaluated by a pathologist to confirm staining specificity.

Packaging, Storage & Formulations

Storage
Store at 4C short term. Aliquot and store at -20C long term. Avoid freeze-thaw cycles.
Buffer
PBS
Preservative
0.1% Sodium Azide
Concentration
1 mg/ml
Purity
Protein G purified

Alternate Names for TBX6 Antibody

  • DFNB67
  • T-box 6
  • T-box protein 6
  • T-box transcription factor TBX6
  • TBX6

Background

Tbx6 is a member of a phylogenetically conserved family of genes that share a common DNA-binding domain, the T-box. T-box genes encode transcription factors involved in the regulation of developmental processes. This gene is the human ortholog of mouse Tbx6. Knockout experiments in mice indicate that Tbx6 is important for specification of paraxial mesoderm structures. Transcript variants encoding different isoforms have been noted for this gene.

Limitations

This product is for research use only and is not approved for use in humans or in clinical diagnosis. Primary Antibodies are guaranteed for 1 year from date of receipt.

Customers Who Viewed This Item Also Viewed...

NBP2-46076
Species: Hu, Mu, Rt
Applications: IHC,  IHC-P, WB
423-F8
Species: Hu, Mu
Applications: BA
5036-WN
Species: Hu
Applications: BA, BA
NBP2-37424
Species: Hu
Applications: ELISA, WB
NBP2-45731
Species: Ca, Hu, Pm
Applications: IHC,  IHC-P, WB
AF1329
Species: Hu, Mu, Rt
Applications: ChIP, CyTOF-ready, ICC, IHC, ICFlow, Simple Western, WB
AF5026
Species: Mu, Rt
Applications: IHC, WB
314-BP
Species: Hu
Applications: BA, BA
NBP2-44245
Species: Hu, Mu, Rt
Applications: IHC,  IHC-P, WB
H00006910-M01
Species: Fi, Hu, Pm, Mu
Applications: ELISA, ICC/IF, KD, WB
NBP2-49036
Species: Hu
Applications: ChIP-EXO-SEQ, IHC,  IHC-P, WB
AF6166
Species: Hu
Applications: CyTOF-ready, ICC, ICFlow, WB
NBP2-85889
Species: Hu
Applications: WB
NB100-56511
Species: Hu, Mu
Applications: Flow, ICC/IF, IHC, IHC-Fr,  IHC-P, IP, KD, KO, WB
H00006909-M01
Species: Hu
Applications: ELISA, ICC/IF, KD, S-ELISA, WB
AF2444
Species: Hu
Applications: IHC, WB
NBP1-45057
Species: Ca, Hu, Mu, Po, Rt
Applications: ICC/IF, IHC,  IHC-P, WB
NBP1-02529
Species: Hu
Applications: ELISA, IHC

Publications for TBX6 Antibody (NBP1-02529) (0)

There are no publications for TBX6 Antibody (NBP1-02529).
By submitting your publication information earn gift cards and discounts for future purchases.

Reviews for TBX6 Antibody (NBP1-02529) (0)

There are no reviews for TBX6 Antibody (NBP1-02529). By submitting a review you will receive an Amazon e-Gift Card or Novus Product Discount.
  • Review with no image -- $10/€7/£6/$10 CAD/¥70 Yuan/¥1110 Yen
  • Review with an image -- $25/€18/£15/$25 CAD/¥150 Yuan/¥2500 Yen

Product General Protocols

Find general support by application which include: protocols, troubleshooting, illustrated assays, videos and webinars.

FAQs for TBX6 Antibody (NBP1-02529) (0)

There are no specific FAQs related to this product. Read our general customer & technical service FAQs.

Contact Information

Product PDFs

Calculators

Concentration Calculator

The concentration calculator allows you to quickly calculate the volume, mass or concentration of your vial. Simply enter your mass, volume, or concentration values for your reagent and the calculator will determine the rest.

=
÷

Review this Product

Be the first to review our TBX6 Antibody and receive a gift card or discount.

Bioinformatics

Gene Symbol TBX6
Entrez
Uniprot