TACC3 Antibody (OTI6F1) - Azide and BSA Free

Images

 
Western Blot: TACC3 Antibody (OTI6F1) - Azide and BSA Free [NBP2-74436] - HEK293T cells were transfected with the pCMV6-ENTRY control (Left lane) or pCMV6-ENTRY TACC3 (Right lane) cDNA for 48 hrs and lysed. Equivalent ...read more
Immunocytochemistry/ Immunofluorescence: TACC3 Antibody (OTI6F1) - Azide and BSA Free [NBP2-74436] - Staining of COS7 cells transiently transfected by pCMV6-ENTRY TACC3 .
Immunohistochemistry: TACC3 Antibody (OTI6F1) - Azide and BSA Free [NBP2-74436] - Staining of paraffin-embedded Human pancreas tissue using anti-TACC3 mouse monoclonal antibody.
Flow Cytometry: TACC3 Antibody (OTI6F1) - Azide and BSA Free [NBP2-74436] - HEK293T cells transfected with either overexpression plasmid (Red) or empty vector control plasmid (Blue) were immunostaining by anti-TACC3 ...read more
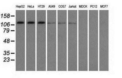
Western Blot: TACC3 Antibody (OTI6F1) - Azide and BSA Free [NBP2-74436] - Analysis of extracts (35ug) from 9 different cell lines by using anti-TACC3 monoclonal antibody.
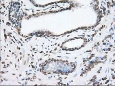
Immunohistochemistry: TACC3 Antibody (OTI6F1) - Azide and BSA Free [NBP2-74436] - Staining of paraffin-embedded Carcinoma of Human prostate tissue using anti-TACC3 mouse monoclonal antibody.
Immunohistochemistry: TACC3 Antibody (OTI6F1) - Azide and BSA Free [NBP2-74436] - Staining of paraffin-embedded Human colon tissue using anti-TACC3 mouse monoclonal antibody.
Immunohistochemistry: TACC3 Antibody (OTI6F1) - Azide and BSA Free [NBP2-74436] - Staining of paraffin-embedded Human Kidney tissue using anti-TACC3 mouse monoclonal antibody.
Immunohistochemistry: TACC3 Antibody (OTI6F1) - Azide and BSA Free [NBP2-74436] - Staining of paraffin-embedded Human liver tissue using anti-TACC3 mouse monoclonal antibody.
Immunohistochemistry: TACC3 Antibody (OTI6F1) - Azide and BSA Free [NBP2-74436] - Staining of paraffin-embedded Human lung tissue using anti-TACC3 mouse monoclonal antibody.
Immunohistochemistry: TACC3 Antibody (OTI6F1) - Azide and BSA Free [NBP2-74436] - Staining of paraffin-embedded Human prostate tissue using anti-TACC3 mouse monoclonal antibody.

Product Details

Summary
Reactivity Hu, Pm, PmSpecies Glossary
Applications WB, Flow, ICC/IF, IHC, CyTOF-ready
Clone
OTI6F1
Clonality
Monoclonal
Host
Mouse
Conjugate
Unconjugated
Format
Azide and BSA Free
Concentration
LYOPH

Order Details

TACC3 Antibody (OTI6F1) - Azide and BSA Free Summary

Description
Novus Biologicals Mouse TACC3 Antibody (OTI6F1) - Azide and BSA Free (NBP2-02619) is a monoclonal antibody validated for use in IHC, WB, Flow and ICC/IF. All Novus Biologicals antibodies are covered by our 100% guarantee.
Immunogen
Full length human recombinant protein of human TACC3(NP_006333) produced in HEK293T cell.
Isotype
IgG1
Clonality
Monoclonal
Host
Mouse
Gene
TACC3
Purity
Immunogen affinity purified
Innovator's Reward
Test in a species/application not listed above to receive a full credit towards a future purchase.

Applications/Dilutions

Dilutions
  • CyTOF-ready
  • Flow Cytometry 1:100
  • Immunocytochemistry/ Immunofluorescence 1:100
  • Immunohistochemistry 1:50
  • Immunohistochemistry-Paraffin
  • Western Blot 1:1000-2000
Theoretical MW
90.2 kDa.
Disclaimer note: The observed molecular weight of the protein may vary from the listed predicted molecular weight due to post translational modifications, post translation cleavages, relative charges, and other experimental factors.

Packaging, Storage & Formulations

Storage
Store at -20C. Avoid freeze-thaw cycles.
Buffer
Lyophilized from PBS (pH 7.3) with 8% Trehalose
Preservative
No Preservative
Concentration
LYOPH
Purity
Immunogen affinity purified
Reconstitution Instructions
we recommend adding 100uL distilled water to a final antibody concentration of about 1 mg/mL. To use this carrier-free antibody for conjugation experiment, we strongly recommend performing another round of desalting process.

Alternate Names for TACC3 Antibody (OTI6F1) - Azide and BSA Free

  • ERIC-1
  • ERIC1ERIC-1
  • MGC117382
  • MGC133242
  • TACC3
  • transforming acidic coiled-coil-containing protein 3
  • transforming, acidic coiled-coil containing protein 3

Background

The function of this gene has not yet been determined; however, it is speculated that it may be involved in cell growth and differentiation. Expression of this gene is up-regulated in some cancer cell lines, and in embryonic day 15 in mice.

Limitations

This product is for research use only and is not approved for use in humans or in clinical diagnosis. Primary Antibodies are guaranteed for 1 year from date of receipt.

Customers Who Viewed This Item Also Viewed...

NB500-182
Species: Hu, Ma, Mu, Rt
Applications: ICC/IF, IP, WB
NBP2-29463
Species: Pm, Hu, Pm, Mu
Applications: Flow, ICC/IF, IHC,  IHC-P, WB
NBP2-46058
Species: Hu
Applications: IHC,  IHC-P, WB
NBP1-51843
Species: Hu, Mu
Applications: ICC/IF, IHC,  IHC-P, Simple Western, WB
NBP2-46057
Species: Hu
Applications: IHC,  IHC-P, WB
AF2408
Species: Hu, Mu
Applications: CyTOF-ready, Flow, ICC, KO, Simple Western, WB
NB100-124
Species: Bv, Ma, Hu, Mu, Pm, Rt, Sh
Applications: ChIP, CHIP-SEQ, GS, IB, ICC/IF, IHC,  IHC-P, IP, WB
MEP00B
Species: Mu
Applications: ELISA
NB100-105
Species: Bv, Ca, Fe, Ma, Hu, Pm, Mu, Po, Pm, Rb, Rt, Sh, Xp
Applications: ChIP, ChIP, ELISA, Flow, GS, IA, IB, ICC/IF, IHC-FrFl, IHC, IHC-Fr,  IHC-P, IP, In vitro, KD, KO, LA, PLA, Simple Western, TCS, WB
MAB7662
Species: Hu
Applications: Flow, ICC, IHC, WB
NBP2-61832
Species: Hu, Pm, Mu, Rt
Applications: ELISA, Flow, ICC/IF, IHC,  IHC-P, WB
NBP2-46085
Species: Hu
Applications: IHC,  IHC-P, WB
NB200-103
Species: Hu, Mu, Rt, Xp(-), Ye
Applications: CyTOF-ready, ELISA, Flow-IC, Flow, ICC/IF, IHC, IHC-Fr,  IHC-P, IP, WB
NBP1-88795
Species: Hu
Applications: IHC,  IHC-P, WB
H00027065-M01
Species: Hu, Rt
Applications: ELISA, ICC/IF, S-ELISA, WB
NBP2-22203
Species: Hu, Pm, Mu, Rt
Applications: ELISA, Flow, ICC/IF, IHC,  IHC-P, WB
NB100-128
Species: Hu, Mu, Rt
Applications: ChIP, GS, ICC/IF, IHC,  IHC-P, WB
NBP2-47572
Species: Hu
Applications: ICC/IF, IHC,  IHC-P
NBP1-51843
Species: Hu, Mu
Applications: ICC/IF, IHC,  IHC-P, Simple Western, WB
NBP2-74436
Species: Hu, Pm, Pm
Applications: WB, Flow, ICC/IF, IHC, CyTOF-ready

Publications for TACC3 Antibody (NBP2-74436) (0)

There are no publications for TACC3 Antibody (NBP2-74436).
By submitting your publication information earn gift cards and discounts for future purchases.

Reviews for TACC3 Antibody (NBP2-74436) (0)

There are no reviews for TACC3 Antibody (NBP2-74436). By submitting a review you will receive an Amazon e-Gift Card or Novus Product Discount.
  • Review with no image -- $10/€7/£6/$10 CAD/¥70 Yuan/¥1110 Yen
  • Review with an image -- $25/€18/£15/$25 CAD/¥150 Yuan/¥2500 Yen

Product General Protocols

Find general support by application which include: protocols, troubleshooting, illustrated assays, videos and webinars.

Video Protocols

WB Video Protocol
ICC/IF Video Protocol

FAQs for TACC3 Antibody (NBP2-74436) (0)

There are no specific FAQs related to this product. Read our general customer & technical service FAQs.

Secondary Antibodies

 

Isotype Controls

Additional TACC3 Products

Research Areas for TACC3 Antibody (NBP2-74436)

Find related products by research area.

Blogs on TACC3

There are no specific blogs for TACC3, but you can read our latest blog posts.

Customers Who Bought This Also Bought

Contact Information

Product PDFs

Calculators

Concentration Calculator

The concentration calculator allows you to quickly calculate the volume, mass or concentration of your vial. Simply enter your mass, volume, or concentration values for your reagent and the calculator will determine the rest.

=
÷

Review this Product

Be the first to review our TACC3 Antibody (OTI6F1) - Azide and BSA Free and receive a gift card or discount.

Bioinformatics

Gene Symbol TACC3