T-box 19 Antibody (CL6251) - Azide and BSA Free

Images

 
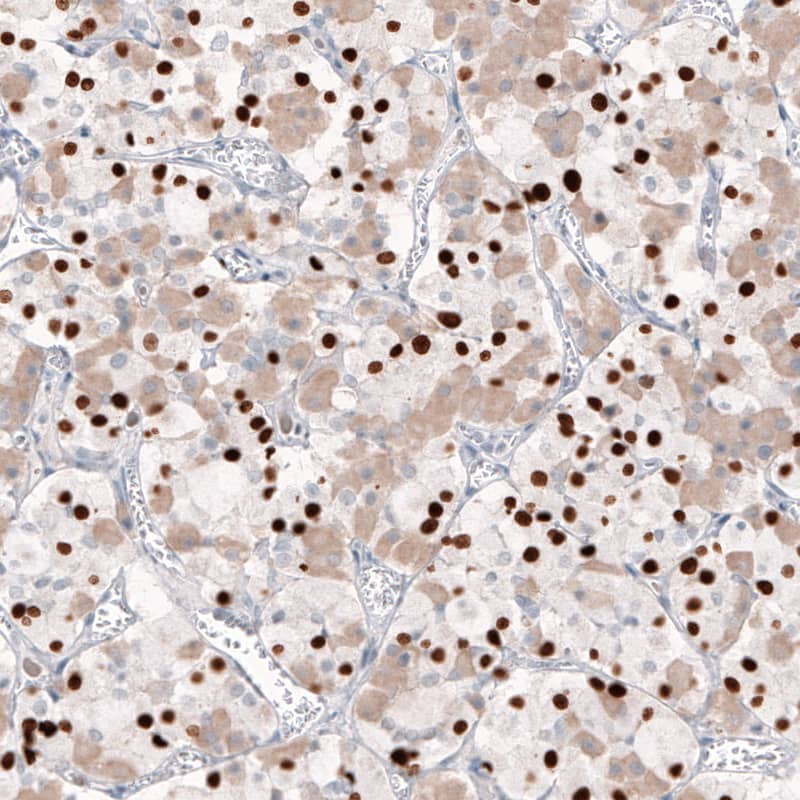
Staining of human pituitary gland shows strong nuclear immunoreactivity in a subset of cells in the adenohypophysis.
Staining of human tonsil shows absence of immunoreactivity as expected (negative control).

Product Details

Summary
Reactivity HuSpecies Glossary
Applications IHC
Clone
CL6251
Clonality
Monoclonal
Host
Mouse
Conjugate
Unconjugated
Format
Azide and BSA Free
Concentration
LYOPH

Order Details

T-box 19 Antibody (CL6251) - Azide and BSA Free Summary

Description
Novus Biologicals Mouse T-box 19 Antibody (CL6251) - Azide and BSA Free (NBP2-61438) is a monoclonal antibody validated for use in IHC. All Novus Biologicals antibodies are covered by our 100% guarantee.
Immunogen
This antibody was generated using a recombinant protein sequence of O60806, with the exact immunogen sequence remaining proprietary.
Isotype
IgG1
Clonality
Monoclonal
Host
Mouse
Gene
TBX19
Purity
Protein A purified
Innovator's Reward
Test in a species/application not listed above to receive a full credit towards a future purchase.

Applications/Dilutions

Dilutions
  • Immunohistochemistry-Paraffin 1:1000 - 1:2500
Application Notes
For IHC-Paraffin, HIER pH 6 retrieval is recommended.

Packaging, Storage & Formulations

Storage
Store at 4C short term. Aliquot and store at -20C long term. Avoid freeze-thaw cycles.
Buffer
Lyophilized from a 0.2 um filtered solution in PBS with Trehalose
Preservative
No Preservative
Concentration
LYOPH
Purity
Protein A purified
Reconstitution Instructions
Centrifuge the vial of lyophilized antibody at 12,000 x g for 20 seconds. Reconstitute by adding sterile, distilled water to achieve a final antibody concentration of 1mg/ml.

Alternate Names for T-box 19 Antibody (CL6251) - Azide and BSA Free

  • dJ747L4.1
  • FLJ26302
  • FLJ34085
  • T-box 19
  • T-box factor, pituitary
  • T-box protein 19
  • T-box transcription factor TBX19
  • TBS 19
  • TBS19
  • TPITFLJ34543

Background

The T-box 19 gene is a member of a phylogenetically conserved family of genes that share a common DNA-binding domain, the T-box. T-box genes encode transcription factors involved in the regulation of developmental processes. Mutations in this gene were found in p

Limitations

This product is for research use only and is not approved for use in humans or in clinical diagnosis. Primary Antibodies are guaranteed for 1 year from date of receipt.

Customers Who Viewed This Item Also Viewed...

NB100-1533
Species: Hu, Mu, Po, Rt, Sh
Applications: Flow, ICC/IF, IHC,  IHC-P, PEP-ELISA, WB
H00005307-M01
Species: Hu
Applications: ELISA, IHC,  IHC-P, IP, KD, S-ELISA, WB
NBP1-92273
Species: Hu, Mu
Applications: IHC,  IHC-P
NBP2-88921
Species: Hu
Applications: ICC/IF, IHC,  IHC-P, WB
AF2746
Species: Hu, Mu
Applications: ICC, WB
NBP1-32252
Species: Hu, Mu
Applications: ICC/IF, IHC,  IHC-P, WB
AF7388
Species: Hu
Applications: IHC
NBP1-89917
Species: Hu
Applications: ICC/IF, IHC,  IHC-P, WB
NBP3-10488
Species: Hu
Applications: WB
NBP1-89090
Species: Hu
Applications: IHC,  IHC-P
AF1445
Species: Mu, Rt
Applications: ELISA(Cap), ELISA(Det), ELISA(Sta), IHC, Neut, Simple Western, WB
NBP3-13352
Species: Mu, Rt
Applications: ICC/IF, IHC,  IHC-P, WB
H00005122-M02
Species: Hu, Mu, Rt
Applications: ELISA, ICC/IF, IHC,  IHC-P, S-ELISA, WB
NBP3-38503
Species: Hu, Mu, Rt
Applications: ELISA, IHC,  IHC-P, WB
NBP1-87109
Species: Hu, Mu
Applications: ICC/IF, IHC,  IHC-P, KD, WB
H00007536-M01
Species: Hu, Mu
Applications: ELISA, ICC/IF, IHC,  IHC-P, IP, WB
H00001392-M02
Species: Hu
Applications: ELISA, IHC,  IHC-P, S-ELISA, WB
NBP2-27561
Species: Ch, Hu, Rt
Applications: IHC,  IHC-P, PEP-ELISA, WB
AF1067
Species: Hu, Mu, Rt
Applications: ELISA, IHC, Neut, WB
AF1067
Species: Hu, Mu, Rt
Applications: ELISA, IHC, Neut, WB

Publications for T-box 19 Antibody (NBP3-43923) (0)

There are no publications for T-box 19 Antibody (NBP3-43923).
By submitting your publication information earn gift cards and discounts for future purchases.

Reviews for T-box 19 Antibody (NBP3-43923) (0)

There are no reviews for T-box 19 Antibody (NBP3-43923). By submitting a review you will receive an Amazon e-Gift Card or Novus Product Discount.
  • Review with no image -- $10/€7/£6/$10 CAD/¥70 Yuan/¥1110 Yen
  • Review with an image -- $25/€18/£15/$25 CAD/¥150 Yuan/¥2500 Yen

Product General Protocols

Find general support by application which include: protocols, troubleshooting, illustrated assays, videos and webinars.

FAQs for T-box 19 Antibody (NBP3-43923) (0)

There are no specific FAQs related to this product. Read our general customer & technical service FAQs.

Customers Who Bought This Also Bought

Contact Information

Product PDFs

Calculators

Concentration Calculator

The concentration calculator allows you to quickly calculate the volume, mass or concentration of your vial. Simply enter your mass, volume, or concentration values for your reagent and the calculator will determine the rest.

=
÷

Review this Product

Be the first to review our T-box 19 Antibody (CL6251) - Azide and BSA Free and receive a gift card or discount.

Bioinformatics

Gene Symbol TBX19