SYT11 Antibody

Images

 
Orthogonal Strategies: Immunohistochemistry-Paraffin: SYT11 Antibody [NBP2-39015] - Analysis in human cerebral cortex and pancreas tissues using NBP2-39015 antibody. Corresponding SYT11 RNA-seq data are presented ...read more
Western Blot: SYT11 Antibody [NBP2-39015] - Analysis in human cell line SCLC-21H.
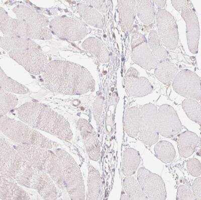
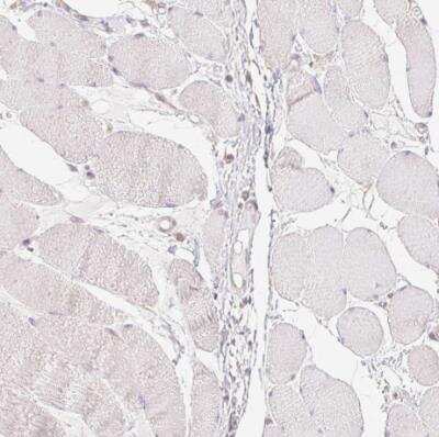
Immunohistochemistry-Paraffin: SYT11 Antibody [NBP2-39015] - Staining of human skeletal muscle shows no positivity in myocytes as expected.
Immunohistochemistry-Paraffin: SYT11 Antibody [NBP2-39015] - Staining of human pancreas shows no positivity in exocrine glandular cells as expected.
Immunohistochemistry-Paraffin: SYT11 Antibody [NBP2-39015] - Staining of human cerebral cortex shows moderate cytoplasmic positivity in neuronal cells.
Immunohistochemistry-Paraffin: SYT11 Antibody [NBP2-39015] - Staining of human cerebellum shows strong cytoplasmic positivity in Purkinje cells.

Product Details

Summary
Product Discontinued
View other related SYT11 Primary Antibodies
Validated by:
       

Orthogonal Strategies

 

Order Details


    • Catalog Number
      NBP2-39015
    • Availability
      Product Discontinued

    Can't find what you are looking for? Use our Antibody Concierge Service & we will help you locate your antibody!

    Or feel free to contact us for alternative products.

SYT11 Antibody Summary

Immunogen
This antibody was developed against a recombinant protein corresponding to amino acids: AEKKQKNPPYKFIHMLKGISIYPETLSNKKKIIKVRRDKDGPGREGGRRNLLVDAAEAGLLSRDKDPRGPSSGS
Isotype
IgG
Clonality
Polyclonal
Host
Rabbit
Gene
SYT11
Purity
Immunogen affinity purified
Innovator's Reward
Test in a species/application not listed above to receive a full credit towards a future purchase.

Applications/Dilutions

Dilutions
  • Immunohistochemistry 1:500 - 1:1000
  • Immunohistochemistry-Paraffin 1:500 - 1:1000
  • Western Blot 0.04-0.4 ug/ml
Application Notes
For IHC-Paraffin, HIER pH 6 retrieval is recommended.

Reactivity Notes

Immunogen displays the following percentage of sequence identity for non-tested species: Mouse (84%), Rat (82%)

Packaging, Storage & Formulations

Storage
Store at 4C short term. Aliquot and store at -20C long term. Avoid freeze-thaw cycles.
Buffer
PBS (pH 7.2) and 40% Glycerol
Preservative
0.02% Sodium Azide
Purity
Immunogen affinity purified

Alternate Names for SYT11 Antibody

  • DKFZp781D015
  • KIAA0080synaptotagmin 12
  • MGC10881
  • MGC17226
  • synaptotagmin XISYT12
  • synaptotagmin-11
  • sytXI

Background

SYT11 may be involved in Ca(2+)-dependent exocytosis of secretory vesicles through Ca(2+) and phospholipid binding to the C2 domain or may serve as Ca(2+) sensors in the process of vesicular trafficking and exocytosis

Limitations

This product is for research use only and is not approved for use in humans or in clinical diagnosis. Primary Antibodies are guaranteed for 1 year from date of receipt.

Customers Who Viewed This Item Also Viewed...

NBP2-15365
Species: Hu, Mu, Rt
Applications: ICC/IF, IHC, IHC-Fr,  IHC-P, S-ELISA, WB
AF4736
Species: Hu
Applications: WB
DDX0191P-100
Species: Ca, Fe, Hu, Mu, Sh
Applications: ICC/IF, IHC,  IHC-P
NB300-268
Species: Bv, Ce, Hu, I, Mu, Pl
Applications: Flow-IC, Flow, ICC/IF, IHC, IHC-Fr,  IHC-P, IP, KO, WB
NBP1-48021
Species: Hu, Mu, Rt
Applications: Flow, ICC/IF, IHC,  IHC-P, WB
NB300-206
Species: Ba, Hu, Mu, Rt
Applications: IHC,  IHC-P, IP, WB
MAB4364
Species: Rt
Applications: ICC, IHC, IP, KO, WB
NBP2-13408
Species: Hu
Applications: ICC/IF, IHC,  IHC-P, WB
NBP3-47176
Species: Hu, Mu
Applications: ELISA, IHC, WB
NBP2-25162
Species: Bv, Eq, Hu, Mu, Po, Rt
Applications: ICC/IF, IHC, PLA, WB
NBP3-16225
Species: Hu, Mu, Rt
Applications: ChIP, ELISA, IHC,  IHC-P, IP, WB
NBP1-81254
Species: Hu, Mu
Applications: ICC/IF, IHC,  IHC-P, WB
NB600-232
Species: Hu, Mu
Applications: ChIP, IHC,  IHC-P, IP, WB
NBP1-89441
Species: Hu
Applications: ICC/IF, IHC,  IHC-P
NBP3-47685
Species: Hu
Applications: ELISA, IHC, WB
NBP2-56179
Species: Hu
Applications: ICC/IF
AF820
Species: Hu, Mu
Applications: ICC, IHC, KO, Simple Western, WB
DPSG10
Species: Hu
Applications: ELISA
3047-CC
Species: Hu
Applications: BA
NBP2-39015
Species: Hu
Applications: WB, IHC

Publications for SYT11 Antibody (NBP2-39015) (0)

There are no publications for SYT11 Antibody (NBP2-39015).
By submitting your publication information earn gift cards and discounts for future purchases.

Reviews for SYT11 Antibody (NBP2-39015) (0)

There are no reviews for SYT11 Antibody (NBP2-39015). By submitting a review you will receive an Amazon e-Gift Card or Novus Product Discount.
  • Review with no image -- $10/€7/£6/$10 CAD/¥70 Yuan/¥1110 Yen
  • Review with an image -- $25/€18/£15/$25 CAD/¥150 Yuan/¥2500 Yen

Product General Protocols

Find general support by application which include: protocols, troubleshooting, illustrated assays, videos and webinars.

Video Protocols

WB Video Protocol

FAQs for SYT11 Antibody (NBP2-39015) (0)

There are no specific FAQs related to this product. Read our general customer & technical service FAQs.

Secondary Antibodies

 

Isotype Controls

Additional SYT11 Products

Research Areas for SYT11 Antibody (NBP2-39015)

Find related products by research area.

Blogs on SYT11

There are no specific blogs for SYT11, but you can read our latest blog posts.

Contact Information

Product PDFs

Calculators

Concentration Calculator

The concentration calculator allows you to quickly calculate the volume, mass or concentration of your vial. Simply enter your mass, volume, or concentration values for your reagent and the calculator will determine the rest.

=
÷

Review this Product

Be the first to review our SYT11 Antibody and receive a gift card or discount.

Bioinformatics

Gene Symbol SYT11
Uniprot