SUMO3 Antibody (JJ087-04)

Images

 
Western Blot: SUMO3 Antibody (JJ087-04) [NBP2-67842] - Western blot analysis of SUMO3 on SW480 cell lysates. Proteins were transferred to a PVDF membrane and blocked with 5% BSA in PBS for 1 hour at room temperature. ...read more
Immunocytochemistry/ Immunofluorescence: SUMO3 Antibody (JJ087-04) [NBP2-67842] - Staining Sumo 2+3 in RH-35 cells (green). The nuclear counter stain is DAPI (blue). Cells were fixed in paraformaldehyde, permeabilised ...read more
Immunohistochemistry-Paraffin: SUMO3 Antibody (JJ087-04) [NBP2-67842] - Analysis of paraffin-embedded mouse large intestine tissue with Rabbit anti-SUMO3 antibody washed with ddH2O and PBS, and then probed with the ...read more
Immunocytochemistry/ Immunofluorescence: SUMO3 Antibody (JJ087-04) [NBP2-67842] - Staining Sumo 2+3 in A549 cells (green). The nuclear counter stain is DAPI (blue). Cells were fixed in paraformaldehyde, permeabilised ...read more
Immunocytochemistry/ Immunofluorescence: SUMO3 Antibody (JJ087-04) [NBP2-67842] - Staining Sumo 2+3 in Hela cells (green). The nuclear counter stain is DAPI (blue). Cells were fixed in paraformaldehyde, permeabilised ...read more
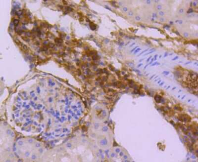
Immunohistochemistry-Paraffin: SUMO3 Antibody (JJ087-04) [NBP2-67842] - Analysis of paraffin-embedded human kidney tissue using anti- Sumo 2+3 antibody. Counter stained with hematoxylin.
Immunohistochemistry-Paraffin: SUMO3 Antibody (JJ087-04) [NBP2-67842] - Analysis of paraffin-embedded mouse kidney tissue using anti- Sumo 2+3 antibody. Counter stained with hematoxylin.
Immunohistochemistry-Paraffin: SUMO3 Antibody (JJ087-04) [NBP2-67842] - Analysis of paraffin-embedded mouse lung tissue using anti- Sumo 2+3 antibody. Counter stained with hematoxylin.
Immunohistochemistry-Paraffin: SUMO3 Antibody (JJ087-04) [NBP2-67842] - Analysis of paraffin-embedded mouse skin tissue using anti- Sumo 2+3 antibody. Counter stained with hematoxylin.
Immunohistochemistry-Paraffin: SUMO3 Antibody (JJ087-04) [NBP2-67842] - Analysis of paraffin-embedded human kidney tissue with Rabbit anti-SUMO3 antibody washed with ddH2O and PBS, and then probed with the primary ...read more
Immunohistochemistry-Paraffin: SUMO3 Antibody (JJ087-04) [NBP2-67842] - Analysis of paraffin-embedded mouse kidney tissue with Rabbit anti-SUMO3 antibody washed with ddH2O and PBS, and then probed with the primary ...read more
Immunohistochemistry-Paraffin: SUMO3 Antibody (JJ087-04) [NBP2-67842] - Analysis of paraffin-embedded rat skin tissue with Rabbit anti-SUMO3 antibody washed with ddH2O and PBS, and then probed with the primary antibody ...read more

Product Details

Summary
Product Discontinued
View other related SUMO3 Primary Antibodies

Order Details


    • Catalog Number
      NBP2-67842
    • Availability
      Product Discontinued

    Can't find what you are looking for? Use our Antibody Concierge Service & we will help you locate your antibody!

    Or feel free to contact us for alternative products.

SUMO3 Antibody (JJ087-04) Summary

Additional Information
Recombinant Monoclonal Antibody.
Immunogen
Synthetic peptide within Human SUMO3 aa 11-60 / 103. (SwissProt: P55854 Human; SwissProt: P61956 Human; SwissProt: P61957 Mouse; SwissProt: Q9Z172 Mouse; SwissProt: P61959 Rat; SwissProt: Q5XIF4 Rat)
Localization
Cytoplasm, Nucleus.
Isotype
IgG
Clonality
Monoclonal
Host
Rabbit
Gene
SUMO3
Purity
Protein A purified
Innovator's Reward
Test in a species/application not listed above to receive a full credit towards a future purchase.

Applications/Dilutions

Dilutions
  • Immunocytochemistry/ Immunofluorescence 1:50-1:200
  • Immunohistochemistry
  • Immunohistochemistry-Paraffin 1:50-1:200
  • Western Blot 1:500-1:1000

Packaging, Storage & Formulations

Storage
Store at 4C short term. Aliquot and store at -20C long term. Avoid freeze-thaw cycles.
Buffer
TBS (pH7.4), 0.05% BSA, 40% Glycerol
Preservative
0.05% Sodium Azide
Concentration
1 mg/ml
Purity
Protein A purified

Alternate Names for SUMO3 Antibody (JJ087-04)

  • SMT3 (suppressor of mif two 3, yeast) homolog 1
  • SMT3 homolog 1
  • SMT3 suppressor of mif two 3 homolog 1
  • SMT3 suppressor of mif two 3 homolog 3 (S. cerevisiae)
  • SMT3 suppressor of mif two 3 homolog 3 (yeast)
  • SMT3A
  • Smt3B
  • SMT3H1
  • SMT3H1small ubiquitin-related modifier 3
  • SUMO-2
  • SUMO3
  • SUMO-3
  • ubiquitin-like protein SMT3A
  • Ubiquitin-like protein SMT3B

Background

SUMO proteins, such as SUMO3, and ubiquitin (see MIM 191339) posttranslationally modify numerous cellular proteins and affect their metabolism and function. However, unlike ubiquitination, which targets proteins for degradation, sumoylation participates in a number of cellular processes, such as nuclear transport, transcriptional regulation, apoptosis, and protein stability (Su and Li, 2002 [PubMed 12383504]).[supplied by OMIM]

Limitations

This product is for research use only and is not approved for use in humans or in clinical diagnosis. Primary Antibodies are guaranteed for 1 year from date of receipt.

Customers Who Viewed This Item Also Viewed...

NBP3-16540
Species: Hu, Mu, Rt
Applications: ICC/IF, IHC,  IHC-P, WB
NBP2-32901
Species: Hu, Rt
Applications: Flow, ICC/IF, IHC,  IHC-P, WB
NB300-812
Species: Hu, Rt
Applications: IHC,  IHC-P, PEP-ELISA, WB
NBP2-02623
Species: Ca, Hu, Mu, Rt
Applications: Flow, ICC/IF, IHC,  IHC-P, WB
NBP2-03852
Species: Hu, Pm, Mu, Pm, Rt
Applications: Flow, ICC/IF, IHC,  IHC-P, WB
NB100-56405
Species: Hu, Mu
Applications: ICC/IF, IHC,  IHC-P, Simple Western, WB
NB120-2938
Species: Bv, Hu, Mu
Applications: IHC,  IHC-P, WB
NB100-59787
Species: Hu, Mu
Applications: Flow, IB, ICC/IF, IHC,  IHC-P, IP, KD, PLA, WB
NBP1-56590
Species: Hu, Rt
Applications: ICC/IF, WB
NB600-1318
Species: Hu, Mu, Rt
Applications: ICC/IF, WB
NB200-103
Species: Hu, Mu, Rt, Xp(-), Ye
Applications: CyTOF-ready, ELISA, Flow-IC, Flow, ICC/IF, IHC, IHC-Fr,  IHC-P, IP, WB
UL-812
Species: Hu, Mu, Rt
Applications: EnzAct
NBP1-89522
Species: Hu, Mu, Rt
Applications: ICC/IF, IHC,  IHC-P, WB
H00026054-M01
Species: Hu, Mu
Applications: ELISA, Flow, ICC/IF, IHC,  IHC-P, IP, S-ELISA, WB
NBP1-89150
Species: Hu
Applications: IHC,  IHC-P, WB
H00011026-M01
Species: Hu
Applications: ELISA, WB
NBP1-31302
Species: Hu, Mu, Rt
Applications: ICC/IF, IHC,  IHC-P, KO, WB
NB100-56603
Species: Ca, Hu, Mu, Pm, Rt
Applications: IHC,  IHC-P, WB
NBP2-03688
Species: Ca, Hu, Pm, Mu, Pm, Rt
Applications: ICC/IF, IHC,  IHC-P, WB
NBP2-67842
Species: Hu, Mu, Rt
Applications: WB, ICC/IF, IHC

Publications for SUMO3 Antibody (NBP2-67842) (0)

There are no publications for SUMO3 Antibody (NBP2-67842).
By submitting your publication information earn gift cards and discounts for future purchases.

Reviews for SUMO3 Antibody (NBP2-67842) (0)

There are no reviews for SUMO3 Antibody (NBP2-67842). By submitting a review you will receive an Amazon e-Gift Card or Novus Product Discount.
  • Review with no image -- $10/€7/£6/$10 CAD/¥70 Yuan/¥1110 Yen
  • Review with an image -- $25/€18/£15/$25 CAD/¥150 Yuan/¥2500 Yen

Product General Protocols

Find general support by application which include: protocols, troubleshooting, illustrated assays, videos and webinars.

Video Protocols

WB Video Protocol
ICC/IF Video Protocol

FAQs for SUMO3 Antibody (NBP2-67842) (0)

There are no specific FAQs related to this product. Read our general customer & technical service FAQs.

Secondary Antibodies

 

Isotype Controls

Additional SUMO3 Products

Array NBP2-67842

Research Areas for SUMO3 Antibody (NBP2-67842)

Find related products by research area.

Blogs on SUMO3

There are no specific blogs for SUMO3, but you can read our latest blog posts.

Contact Information

Product PDFs

Calculators

Concentration Calculator

The concentration calculator allows you to quickly calculate the volume, mass or concentration of your vial. Simply enter your mass, volume, or concentration values for your reagent and the calculator will determine the rest.

=
÷

Review this Product

Be the first to review our SUMO3 Antibody (JJ087-04) and receive a gift card or discount.

Bioinformatics

Gene Symbol SUMO3