STAT6 Antibody (SY02-72)

Images

 
Western Blot: STAT6 Antibody (SY02-72) [NBP2-67445] - Analysis of STAT6 on different lysates using anti-STAT6 antibody at 1/1,000 dilution. Positive control: Lane 1: Hela Lane 2: Raji. Note: bands were detected near the ...read more
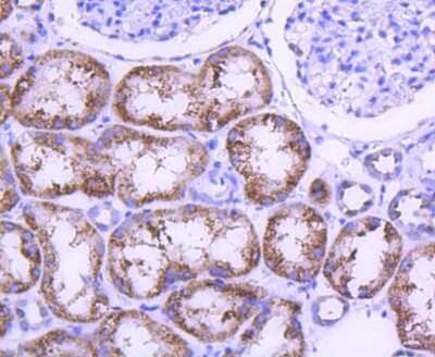
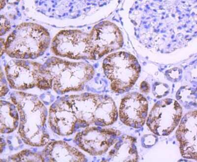
Immunohistochemistry-Paraffin: STAT6 Antibody (SY02-72) [NBP2-67445] - Analysis of paraffin-embedded human kidney tissue using anti-STAT6 antibody. Counter stained with hematoxylin.
Immunocytochemistry/ Immunofluorescence: STAT6 Antibody (SY02-72) [NBP2-67445] - Staining STAT6 in AGS cells (green). The nuclear counter stain is DAPI (blue). Cells were fixed in paraformaldehyde, permeabilised with ...read more
Immunohistochemistry-Paraffin: STAT6 Antibody (SY02-72) [NBP2-67445] - Analysis of paraffin-embedded mouse stomach tissue using anti-STAT6 antibody. Counter stained with hematoxylin.
Immunocytochemistry/ Immunofluorescence: STAT6 Antibody (SY02-72) [NBP2-67445] - Staining STAT6 in Hela cells (green). The nuclear counter stain is DAPI (blue). Cells were fixed in paraformaldehyde, permeabilised with ...read more
Immunocytochemistry/ Immunofluorescence: STAT6 Antibody (SY02-72) [NBP2-67445] - Staining STAT6 in NIH/3T3 cells (green). The nuclear counter stain is DAPI (blue). Cells were fixed in paraformaldehyde, permeabilised ...read more
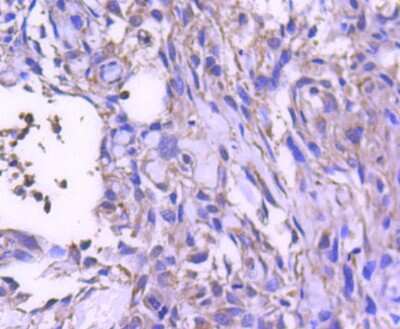
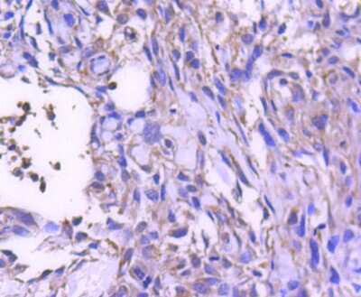
Immunohistochemistry-Paraffin: STAT6 Antibody (SY02-72) [NBP2-67445] - Analysis of paraffin-embedded human breast carcinoma tissue using anti-STAT6 antibody. Counter stained with hematoxylin.
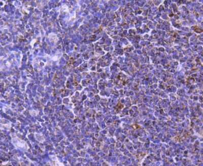
Immunohistochemistry-Paraffin: STAT6 Antibody (SY02-72) [NBP2-67445] - Analysis of paraffin-embedded human tonsil tissue using anti-STAT6 antibody. Counter stained with hematoxylin.
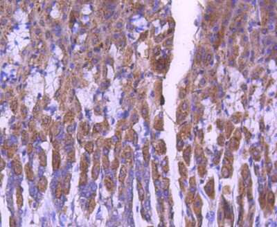
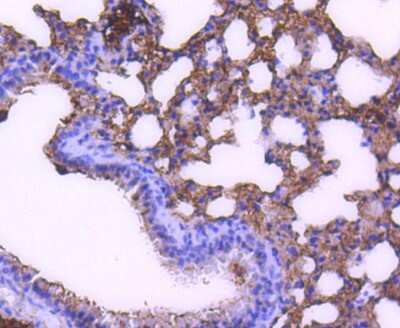
Immunohistochemistry-Paraffin: STAT6 Antibody (SY02-72) [NBP2-67445] - Analysis of paraffin-embedded mouse lung tissue using anti-STAT6 antibody. Counter stained with hematoxylin.

Product Details

Summary
Product Discontinued
View other related STAT6 Primary Antibodies

Order Details


    • Catalog Number
      NBP2-67445
    • Availability
      Product Discontinued

    Can't find what you are looking for? Use our Antibody Concierge Service & we will help you locate your antibody!

    Or feel free to contact us for alternative products.

STAT6 Antibody (SY02-72) Summary

Additional Information
Recombinant Monoclonal Antibody.
Immunogen
Recombinant Protein (SwissProt: P42226 Human; SwissProt: P52633 Mouse)
Localization
Cytoplasm, Nucleus.
Isotype
IgG
Clonality
Monoclonal
Host
Rabbit
Gene
STAT6
Purity
Protein A purified
Innovator's Reward
Test in a species/application not listed above to receive a full credit towards a future purchase.

Applications/Dilutions

Dilutions
  • Immunocytochemistry/ Immunofluorescence 1:50-1:200
  • Immunohistochemistry
  • Immunohistochemistry-Paraffin 1:50-1:200
  • Immunoprecipitation
  • Western Blot 1:500
Theoretical MW
94 kDa.
Disclaimer note: The observed molecular weight of the protein may vary from the listed predicted molecular weight due to post translational modifications, post translation cleavages, relative charges, and other experimental factors.

Packaging, Storage & Formulations

Storage
Store at 4C short term. Aliquot and store at -20C long term. Avoid freeze-thaw cycles.
Buffer
TBS (pH7.4), 0.05% BSA, 40% Glycerol
Preservative
0.05% Sodium Azide
Concentration
1 mg/ml
Purity
Protein A purified

Alternate Names for STAT6 Antibody (SY02-72)

  • D12S1644
  • EC 2.4.1.227
  • EC 2.7.7.6
  • IL-4 Stat
  • IL-4-STAT
  • signal transducer and activator of transcription 6
  • signal transducer and activator of transcription 6, interleukin-4 induced
  • STAT, interleukin-4 induced
  • STAT, interleukin4-induced
  • STAT6
  • STAT6B
  • STAT6C
  • transcription factor IL-4 STAT

Background

Signal Transducer and Activator of Transcription 6 (STAT6) is a member of the Janus family tyrosine kinases (Jak)/ STAT signal transduction pathway and mediates cytokine signaling by IL 4 and IL-13 (1). STAT6 (predicted molecular weight 94kDa) has been found to induce the expression of BCL2L1/BCL-X(L), which is responsible for the anti-apoptotic activity of IL-4. In response to cytokines and growth factors, STAT family members are phosphorylated by the receptor associated kinases, and then form homo- or heterodimers that translocate to the cell nucleus where they act as transcription activators. STAT6 is tyrosine phosphorylated (Tyr641) in response to cellular interaction with IL-4. STAT6 mRNA has been detected in peripheral blood lymphocytes, colon, intestine, ovary, prostate, thymus, spleen, kidney, liver, lung and placenta. STAT6 is critically involved in Th2 and Th9 immune response (2). Loss of STAT6 impairs IL-4 mediated functions including Th2 helper T cell differentiation, expression of cell surface markers, T-cell proliferation, immunoglobulin class switching to IgE, and partial loss of IL-4 mediated proliferation. Diseases associated with STAT6 include malignant hemangiopericytoma and nut allergies.

References

1. Waqas, S. F. H., Ampem, G., & Roszer, T. (2019). Analysis of IL-4/STAT6 Signaling in Macrophages. Methods Mol Biol, 1966, 211-224. doi:10.1007/978-1-4939-9195-2_17

2. Goenka, S., & Kaplan, M. H. (2011). Transcriptional regulation by STAT6. Immunol Res, 50(1), 87-96. doi:10.1007/s12026-011-8205-2

Limitations

This product is for research use only and is not approved for use in humans or in clinical diagnosis. Primary Antibodies are guaranteed for 1 year from date of receipt.

Customers Who Viewed This Item Also Viewed...

6507-IL/CF
Species: Hu
Applications: BA
DY413
Species: Mu
Applications: ELISA
NB400-141
Species: Ha, Hu, Mu
Applications: ICC/IF, IP, WB
485-MI
Species: Mu
Applications: BA
AF2894
Species: Hu, Mu
Applications: CyTOF-ready, ICFlow, Simple Western, WB
NBP1-19371
Species: Ca, Hu, Mu, Po, Rb, Rt
Applications: Dual ISH-IHC, Flow, ICC/IF, IHC, IHC-Fr,  IHC-P, Simple Western, WB
AF2168
Species: Hu, Mu
Applications: ChIP, Simple Western, WB
MAB1799
Species: Hu, Mu, Rt
Applications: ICC, IP, ICFlow, KO, WB
NBP3-11412
Species: Sh
Applications: ELISA, IHC, IHC-Fr, WB
AF1584
Species: Hu, Mu
Applications: CyTOF-ready, ICC, IP, ICFlow, KO, Simple Western, WB
DY417
Species: Mu
Applications: ELISA
202-IL
Species: Hu
Applications: BA
MAB4260
Species: Hu, Mu, Rt
Applications: Simple Western, WB
NBP2-59451
Species: Hu
Applications: ELISA, Flow, ICC/IF, MiAr, Simple Western, WB
M5000
Species: Mu
Applications: ELISA
NB600-922
Species: Ch, Mu
Applications: ELISA, IHC, Single-Cell Western, WB
NB100-56583
Species: Hu, Rb, Rt
Applications: Flow, IHC,  IHC-P, KO, Simple Western, WB
NBP2-37737
Species: Hu, Mu
Applications: ELISA, Flow, ICC/IF, WB

Publications for STAT6 Antibody (NBP2-67445) (0)

There are no publications for STAT6 Antibody (NBP2-67445).
By submitting your publication information earn gift cards and discounts for future purchases.

Reviews for STAT6 Antibody (NBP2-67445) (0)

There are no reviews for STAT6 Antibody (NBP2-67445). By submitting a review you will receive an Amazon e-Gift Card or Novus Product Discount.
  • Review with no image -- $10/€7/£6/$10 CAD/¥70 Yuan/¥1110 Yen
  • Review with an image -- $25/€18/£15/$25 CAD/¥150 Yuan/¥2500 Yen

Product General Protocols

Find general support by application which include: protocols, troubleshooting, illustrated assays, videos and webinars.

Video Protocols

WB Video Protocol
ICC/IF Video Protocol

FAQs for STAT6 Antibody (NBP2-67445) (0)

There are no specific FAQs related to this product. Read our general customer & technical service FAQs.

Secondary Antibodies

 

Isotype Controls

Additional STAT6 Products

Research Areas for STAT6 Antibody (NBP2-67445)

Find related products by research area.

Blogs on STAT6.

Signal Transducer and Activator of Transcription STAT6: More than a Player in Allergic Inflammation
By Jamshed Arslan, Pharm. D., PhD. What is STAT6?The cellular pathway comprising tyrosine kinase Janus Kinase (JAK) and the transcription factor STAT connect extracellular signals from various cytokines, hormones an...  Read full blog post.

Contact Information

Product PDFs

Calculators

Concentration Calculator

The concentration calculator allows you to quickly calculate the volume, mass or concentration of your vial. Simply enter your mass, volume, or concentration values for your reagent and the calculator will determine the rest.

=
÷

Review this Product

Be the first to review our STAT6 Antibody (SY02-72) and receive a gift card or discount.

Bioinformatics

Gene Symbol STAT6