STAT5A Antibody (JJ08-78)

Images

 
Western Blot: STAT5A Antibody (JJ08-78) [NBP2-67871] - Western blot analysis of STAT5A on different lysates. Proteins were transferred to a PVDF membrane and blocked with 5% BSA in PBS for 1 hour at room temperature. ...read more
Immunocytochemistry/ Immunofluorescence: STAT5A Antibody (JJ08-78) [NBP2-67871] - Staining STAT5A+B in RH-35 cells (green). The nuclear counter stain is DAPI (blue). Cells were fixed in paraformaldehyde, permeabilised ...read more
Immunohistochemistry-Paraffin: STAT5A Antibody (JJ08-78) [NBP2-67871] - Analysis of paraffin-embedded mouse brain tissue using anti-STAT5A+B antibody. Counter stained with hematoxylin.
Flow Cytometry: STAT5A Antibody (JJ08-78) [NBP2-67871] - Analysis of NIH/3T3 cells with STAT5A+B antibody at 1/50 dilution (red) compared with an unlabelled control (cells without incubation with primary antibody; ...read more
Western Blot: STAT5A Antibody (JJ08-78) [NBP2-67871] - Analysis of STAT5A+B on different lysates using anti-STAT5A+B antibody at 1/1,000 dilution. Positive control: Lane 1: K562 Lane 2: Jurkat Lane 3: PC-12
Immunocytochemistry/ Immunofluorescence: STAT5A Antibody (JJ08-78) [NBP2-67871] - Staining STAT5A+B in HepG2 cells (green). The nuclear counter stain is DAPI (blue). Cells were fixed in paraformaldehyde, permeabilised ...read more
Immunocytochemistry/ Immunofluorescence: STAT5A Antibody (JJ08-78) [NBP2-67871] - Staining STAT5A+B in NIH/3T3 cells (green). The nuclear counter stain is DAPI (blue). Cells were fixed in paraformaldehyde, permeabilised ...read more
Immunohistochemistry-Paraffin: STAT5A Antibody (JJ08-78) [NBP2-67871] - Analysis of paraffin-embedded human spleen tissue using anti-STAT5A+B antibody. Counter stained with hematoxylin.
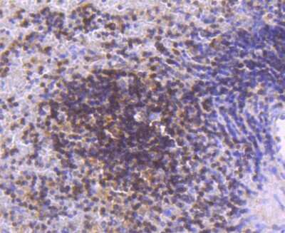
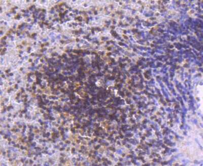
Immunohistochemistry-Paraffin: STAT5A Antibody (JJ08-78) [NBP2-67871] - Analysis of paraffin-embedded human tonsil tissue using anti-STAT5A+B antibody. Counter stained with hematoxylin.

Product Details

Summary
Product Discontinued
View other related STAT5A Primary Antibodies

Order Details


    • Catalog Number
      NBP2-67871
    • Availability
      Product Discontinued

    Can't find what you are looking for? Use our Antibody Concierge Service & we will help you locate your antibody!

    Or feel free to contact us for alternative products.

STAT5A Antibody (JJ08-78) Summary

Additional Information
Recombinant Monoclonal Antibody.
Immunogen
Recombinant protein within mouse STAT5A aa 585-773 / 786. (SwissProt: P42229 Human; SwissProt: P51692 Human; SwissProt: P42230 Mouse; SwissProt: P42232 Mouse; SwissProt: P52632 Rat; SwissProt: Q62771 Rat)
Localization
Nucleus, Cytoplasm.
Isotype
IgG
Clonality
Monoclonal
Host
Rabbit
Gene
STAT5A
Purity
Protein A purified
Innovator's Reward
Test in a species/application not listed above to receive a full credit towards a future purchase.

Applications/Dilutions

Dilutions
  • Flow Cytometry 1:50-1:100
  • Immunocytochemistry/ Immunofluorescence 1:50-1:200
  • Immunohistochemistry
  • Immunohistochemistry-Paraffin 1:50-1:400
  • Immunoprecipitation
  • Western Blot 1:1000-1:2000
Theoretical MW
90 kDa.
Disclaimer note: The observed molecular weight of the protein may vary from the listed predicted molecular weight due to post translational modifications, post translation cleavages, relative charges, and other experimental factors.

Packaging, Storage & Formulations

Storage
Store at 4C short term. Aliquot and store at -20C long term. Avoid freeze-thaw cycles.
Buffer
TBS (pH7.4), 0.05% BSA, 40% Glycerol
Preservative
0.05% Sodium Azide
Concentration
1 mg/ml
Purity
Protein A purified

Alternate Names for STAT5A Antibody (JJ08-78)

  • MGF
  • signal transducer and activator of transcription 5A
  • STAT5
  • STAT5a

Background

Stat5 is part of a 7 protein family known as signal transducer and activator of transcription (STAT) which contributes to signal transduction by cytokine, hormone and growth factor (1). Signal transducer and activator of transcription 5 (Stat5) functions both in signal transduction and activation of transcription. It has been found that cytoplasmic Stat5 is translocated to the nucleus in response to phosphorylation. Stat5 225; tyrosine phosphorylation is activated predominantly by IL2 but also by IL-3, IL-5, IL-7, IL-9, IL-15, G-CSF andGM-CSF(2). Tyrosine phosphorylation is required for DNA-binding activity and dimerization. Serine phosphorylation is also required for maximal transcriptional activity. NCoA-1/SRC-1 acts as a coactivator for both the alpha- and beta-isoforms of Stat5 (3).

Limitations

This product is for research use only and is not approved for use in humans or in clinical diagnosis. Primary Antibodies are guaranteed for 1 year from date of receipt.

Customers Who Viewed This Item Also Viewed...

NBP2-59451
Species: Hu
Applications: ELISA, Flow, ICC/IF, MiAr, Simple Western, WB
MAB1799
Species: Hu, Mu, Rt
Applications: ICC, IP, ICFlow, KO, WB
202-IL
Species: Hu
Applications: BA
AF1445
Species: Mu, Rt
Applications: ELISA(Cap), ELISA(Det), ELISA(Sta), IHC, Neut, Simple Western, WB
AF1584
Species: Hu, Mu
Applications: CyTOF-ready, ICC, IP, ICFlow, KO, Simple Western, WB
NB400-141
Species: Ha, Hu, Mu
Applications: ICC/IF, IP, WB
203-IL
Species: Hu
Applications: BA
MEP00B
Species: Mu
Applications: ELISA
AF2894
Species: Hu, Mu
Applications: CyTOF-ready, ICFlow, Simple Western, WB
291-G1
Species: Hu
Applications: BA
NBP2-22203
Species: Hu, Pm, Mu, Rt
Applications: ELISA, Flow, ICC/IF, IHC,  IHC-P, WB
AF1067
Species: Hu, Mu, Rt
Applications: ELISA, IHC, Neut, WB
AF1230
Species: Hu, Mu, Rt
Applications: IHC, KO, WB
AF887
Species: Hu, Mu, Rt
Applications: CyTOF-ready, IHC, ICFlow, Simple Western, WB
NBP2-37737
Species: Hu, Mu
Applications: ELISA, Flow, ICC/IF, WB
M6000B
Species: Mu
Applications: ELISA
MAB4260
Species: Hu, Mu, Rt
Applications: Simple Western, WB
AF1067
Species: Hu, Mu, Rt
Applications: ELISA, IHC, Neut, WB
NB100-56104
Species: Ca, Hu, Mu, Rt
Applications: IHC, IHC-Fr,  IHC-P, IP, WB
255-SC
Species: Hu
Applications: BA

Publications for STAT5A Antibody (NBP2-67871) (0)

There are no publications for STAT5A Antibody (NBP2-67871).
By submitting your publication information earn gift cards and discounts for future purchases.

Reviews for STAT5A Antibody (NBP2-67871) (0)

There are no reviews for STAT5A Antibody (NBP2-67871). By submitting a review you will receive an Amazon e-Gift Card or Novus Product Discount.
  • Review with no image -- $10/€7/£6/$10 CAD/¥70 Yuan/¥1110 Yen
  • Review with an image -- $25/€18/£15/$25 CAD/¥150 Yuan/¥2500 Yen

Product General Protocols

Video Protocols

WB Video Protocol
ICC/IF Video Protocol

FAQs for STAT5A Antibody (NBP2-67871) (0)

There are no specific FAQs related to this product. Read our general customer & technical service FAQs.

Secondary Antibodies

 

Isotype Controls

Additional STAT5A Products

Research Areas for STAT5A Antibody (NBP2-67871)

Find related products by research area.

Blogs on STAT5A.

Signal Transducer and Activator of Transcription STAT6: More than a Player in Allergic Inflammation
By Jamshed Arslan, Pharm. D., PhD. What is STAT6?The cellular pathway comprising tyrosine kinase Janus Kinase (JAK) and the transcription factor STAT connect extracellular signals from various cytokines, hormones an...  Read full blog post.

Contact Information

Product PDFs

Calculators

Concentration Calculator

The concentration calculator allows you to quickly calculate the volume, mass or concentration of your vial. Simply enter your mass, volume, or concentration values for your reagent and the calculator will determine the rest.

=
÷

Review this Product

Be the first to review our STAT5A Antibody (JJ08-78) and receive a gift card or discount.

Bioinformatics

Gene Symbol STAT5A
Uniprot