Spt6 Antibody

Images

 
Genetic Strategies: Western Blot: Spt6 Antibody [NB100-2582] - siRNA knockdown to confirm the specificity of Spt6 antibody (NB100-2582) in C2C12 myoblasts, WB: 1:2000 dilution. 20 ug whole cell lysate. WB image ...read more
Western Blot: Spt6 Antibody [NB100-2582] - SPT6 Depletion Induces lncRNA Transcription(A) YWHAZ locus showing pre-mRNA (– strand) & PROMPT (+ strand). SPT6 depletion induced lncRNA as shown by ChRNA-seq & mNET-seq ...read more
Whole cell lysate (50 µg) from HEK293T, K-562,HeLa, TCMK-1, and NIH 3T3 cells prepared using NETNlysis buffer. Antibody: Affinity purified rabbit anti-SUPT6Hantibody used for WB at0.04 µg/ml. Detection: ...read more
Whole cell lysate (1.0 mgper IP reaction; 20% of IP loaded) from HEK293T cellsprepared using NETN lysis buffer. Antibodies: Affinitypurified rabbit anti-SUPT6H antibody) used for IP at 6 µg per reaction. SUPT6Hwas also ...read more
Western Blot: Spt6 Antibody [NB100-2582] - SPT6 Depletion Causes H3K36me3 Redistribution(A) Western blots with indicated antibodies 60 hr post-siSPT6 transfection (versus siLuc nonspecific control). EXOSC3 & H3 ...read more
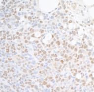
Section of human breast carcinoma.Antibody: Affinity purified rabbit anti- SUPT6H used at a dilution of 1:200 (1µg/ml).Detection: DAB
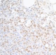
Section of mouse plasmacytoma. Antibody:Affinity purified rabbit anti- SUPT6H used at a dilution of 1:200 (1µg/ml). Detection: DAB

Product Details

Summary
Reactivity Hu, Mu, ChSpecies Glossary
Applications WB, IHC, IP, ChIP, Mycoplasma
Clonality
Polyclonal
Host
Rabbit
Conjugate
Unconjugated
Concentration
0.2 mg/ml
Validated by:
     

Genetic Strategies

   

Order Details

Spt6 Antibody Summary

Description
Novus Biologicals Rabbit Spt6 Antibody (NB100-2582) is a polyclonal antibody validated for use in IHC, WB, IP and ChIP. Anti-Spt6 Antibody: Cited in 19 publications. All Novus Biologicals antibodies are covered by our 100% guarantee.
Immunogen
The immunogen recognized by this antibody maps to a region between residue 425 and 475 of human Suppressor of Ty 6 Homolog using the numbering given in entry NP_003161.2 (GeneID 6830).
Isotype
IgG
Clonality
Polyclonal
Host
Rabbit
Gene
SUPT6H
Purity
Immunogen affinity purified
Innovator's Reward
Test in a species/application not listed above to receive a full credit towards a future purchase.

Applications/Dilutions

Dilutions
  • Chromatin Immunoprecipitation (ChIP) Reported in scientific literature (PMID:23503590).
  • Immunohistochemistry 1:100 to 1:500
  • Immunohistochemistry-Paraffin 1:100 to 1:500
  • Immunoprecipitation 2 - 10 µg/mg lysate
  • Knockdown Validated
  • Western Blot 1:2000-1:10000
Application Notes
Epitope retrieval with citrate buffer pH 6.0 is recommended for FFPE tissue sections.
Control
HeLa Whole Cell Lysate
Reviewed Applications
Read 2 Reviews rated 5
using
NB100-2582 in the following applications:

Publications
Read Publications using
NB100-2582 in the following applications:

Reactivity Notes

Chicken reactivity reported in scientific literature (PMID: 23008333).

Packaging, Storage & Formulations

Storage
Store at 4C. Do not freeze.
Buffer
TBS, 0.1% BSA
Preservative
0.09% Sodium Azide
Concentration
0.2 mg/ml
Purity
Immunogen affinity purified

Alternate Names for Spt6 Antibody

  • emb-5
  • hSPT6
  • KIAA0162MGC87943
  • SPT6HSPT6
  • suppressor of Ty (S.cerevisiae) 6 homolog
  • suppressor of Ty 6 homolog (S. cerevisiae)
  • Tat-cotransactivator 2 protein
  • Tat-CT2 protein
  • transcription elongation factor SPT6

Background

Spt6 is a histone H3-H4 chaperone protein that mediates chromatin reassembly behind RNA polymerase II. Spt6 binds both histone H3 and H4 and deposits them on to DNA, which leads to transcriptional repression of target genes.

Limitations

This product is for research use only and is not approved for use in humans or in clinical diagnosis. Primary Antibodies are guaranteed for 1 year from date of receipt.

Customers Who Viewed This Item Also Viewed...

H00006827-M01
Species: Hu
Applications: ELISA, ICC/IF, WB
NBP1-83508
Species: Hu, Mu, Rt
Applications: ICC/IF, IHC,  IHC-P, WB
NBP2-49349
Species: Hu
Applications: ICC/IF, IHC,  IHC-P
NB500-171
Species: Hu, I, Mu, Rt, Xp, Ye
Applications: ChIP, IB, ICC/IF, IHC,  IHC-P, Single-Cell Western, WB
AF5738
Species: Hu
Applications: ICC, KO, WB
NBP3-13283
Species: Hu, Mu, Rt
Applications: ICC/IF, IHC,  IHC-P, WB
NBP2-94643
Species: Hu, Mu, Rt
Applications: ELISA, IHC,  IHC-P, WB
NB600-274
Species: Hu, Mu
Applications: IHC,  IHC-P, IP, WB (-)
NBP1-30955
Species: Hu, Mu
Applications: ICC/IF, IHC,  IHC-P, WB
H00006919-B02P
Species: Hu
Applications: ICC/IF, WB
NBP1-93707
Species: Hu, Mu, Rt
Applications: ICC/IF, IHC,  IHC-P, WB
H00006920-M08
Species: Hu
Applications: ELISA, ICC/IF, IHC,  IHC-P, WB
NBP1-90014
Species: Hu, Mu, Rt
Applications: ICC/IF, IHC,  IHC-P, WB
NBP2-45731
Species: Ca, Hu, Pm
Applications: IHC,  IHC-P, WB
NBP1-81696
Species: Hu, Mu, Rt
Applications: ICC/IF, IHC,  IHC-P, WB
NB100-116
Species: Hu, Mu, Pm, Rt
Applications: ChIP, ELISA, GS, IB, ICC/IF, IHC, IHC-Fr,  IHC-P, IP, KD, PLA, Simple Western, WB
NB100-60411
Species: Hu, Mu
Applications: ChIP, CHIP-SEQ, IP, KD, KO, WB
NBP2-93891
Species: Hu, Mu, Rt
Applications: WB
NBP2-61879
Species: Hu, Mu
Applications: ELISA, Flow, IHC,  IHC-P, WB
NB100-2582
Species: Hu, Mu, Ch
Applications: WB, IHC, IP, ChIP, Mycoplasma

Publications for Spt6 Antibody (NB100-2582)(21)

We have publications tested in 3 confirmed species: Human, Mouse, Chicken.

We have publications tested in 4 applications: Chemotaxis, IP, KD, WB.


Filter By Application
Chemotaxis
(3)
IP
(3)
KD
(1)
WB
(6)
All Applications
Filter By Species
Human
(5)
Mouse
(4)
Chicken
(1)
All Species
Showing Publications 1 - 10 of 21. Show All 21 Publications.
Publications using NB100-2582 Applications Species
Yu Z, Wang Q, Zhu G et al. Decoding the genomic landscape of chromatin-associated biomolecular condensates bioRxiv 2023-08-25 (WB) WB
Gaballa A, Gebhardt-Wolf A, Krenz B et Al. PAF1c links S-phase progression to immune evasion and MYC function in pancreatic carcinoma Nat Commun 2024-02-16 [PMID: 38365788]
Djakovic L, Hennig T, Reinisch K et al. The HSV-1 ICP22 protein selectively impairs histone repositioning upon Pol II transcription downstream of genes Nature Communications 2023-07-31 [PMID: 37524699]
Lisa-Marie Appel, Vedran Franke, Johannes Benedum, Irina Grishkovskaya, Xué Strobl, Anton Polyansky, Gregor Ammann, Sebastian Platzer, Andrea Neudolt, Anna Wunder, Lena Walch, Stefanie Kaiser, Bojan Zagrovic, Kristina Djinovic-Carugo, Altuna Akalin, Dea Slade The SPOC domain is a phosphoserine binding module that bridges transcription machinery with co- and post-transcriptional regulators Nature Communications 2023-01-11 [PMID: 36631525]
Liu X, Guo Z, Han J et al. The PAF1 complex promotes 3' processing of pervasive transcripts Cell reports 2022-03-15 [PMID: 35294889] (WB, Mouse) WB Mouse
Narain A, Bhandare P, Adhikari B Et Al. Targeted protein degradation reveals a direct role of SPT6 in RNAPII elongation and termination Molecular cell 2021-06-30 [PMID: 34233157] (Chemotaxis) Chemotaxis
Obara E. A. A, Aguilar-Morante D, et al. SPT6-driven error-free DNA repair safeguards genomic stability of glioblastoma cancer stem-like cells. Nat Commun 2020-09-18 [PMID: 32948765] (Chemotaxis, Human) Chemotaxis Human
Lu H, Xie Y, Tran L et al. Chemotherapy-induced S100A10 recruits KDM6A to facilitate OCT4-mediated breast cancer stemness J Clin Invest. 2020-05-19 [PMID: 32427586] (IP, WB, KD, Human) IP, WB, KD Human
Liming Hou, Yating Wang, Yu Liu, Nan Zhang, Ilya Shamovsky, Evgeny Nudler, Bin Tian, Brian David Dynlacht Paf1C regulates RNA polymerase II progression by modulating elongation rate Proceedings of the National Academy of Sciences of the United States of America 2019-07-16 [PMID: 31249142]
Show All 21 Publications.

Reviews for Spt6 Antibody (NB100-2582) (2) 52

Average Rating: 5
(Based on 2 reviews)
We have 2 reviews tested in 2 species: Human, Mouse.

Reviews using NB100-2582:
Filter by Applications
WB
(2)
All Applications
Filter by Species
Human
(1)
Mouse
(1)
All Species
Images Ratings Applications Species Date Details
Western Blot Spt6 NB100-2582
Enlarge
5
reviewed by:
Yongkang Yang
WB Human 03/06/2021
View

Summary

ApplicationWestern Blot
Sample Testedbreast cancer cell line, Sample Amount: 40
SpeciesHuman
LotA2
Western Blot Spt6 NB100-2582
Enlarge
5
reviewed by:
Verified Customer
WB Mouse 04/17/2018
View

Summary

ApplicationWestern Blot
Sample Tested20 ug whole cell lysate,Mouse myoblasts (C2C12 cell lysate)
SpeciesMouse
LotA1

Product General Protocols

Find general support by application which include: protocols, troubleshooting, illustrated assays, videos and webinars.

Video Protocols

WB Video Protocol

FAQs for Spt6 Antibody (NB100-2582) (0)

There are no specific FAQs related to this product. Read our general customer & technical service FAQs.

Control Lysate(s)

Secondary Antibodies

 

Isotype Controls

Additional Spt6 Products

Array NB100-2582

Research Areas for Spt6 Antibody (NB100-2582)

Find related products by research area.

Blogs on Spt6.

Breast cancer stem cells survive chemotherapy through S100A10-ANXA2-SPT6 interaction that epigenetically promotes OCT4-mediated stemness
By Jamshed Arslan, Pharm D, PhDBreast cancer is the most common cancer among women that causes the greatest number of cancer-related deaths worldwide. After radiotherapy or cytotoxic chemotherapy like paclitax...  Read full blog post.

Customers Who Bought This Also Bought

Contact Information

Product PDFs

Calculators

Concentration Calculator

The concentration calculator allows you to quickly calculate the volume, mass or concentration of your vial. Simply enter your mass, volume, or concentration values for your reagent and the calculator will determine the rest.

=
÷

Recent Reviews

5
5
2
4
0
3
0
2
0
1
0

Yongkang Yang
03/06/2021
Application: WB
Species: Human

Verified Customer
04/17/2018
Application: WB
Species: Mouse

Bioinformatics

Gene Symbol SUPT6H
Entrez
Uniprot