SPAG17 Antibody - BSA Free

Images

 
Orthogonal Strategies: Immunohistochemistry-Paraffin: SPAG17 Antibody [NBP1-93840] - Analysis in human fallopian tube and skeletal muscle tissues. Corresponding SPAG17 RNA-seq data are presented for the same ...read more
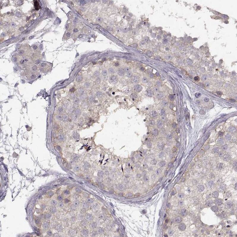
Staining of human testis shows weak to moderate cytoplasmic positivity in spermatids.
Staining of human skeletal muscle shows no positivity in myocytes as expected.
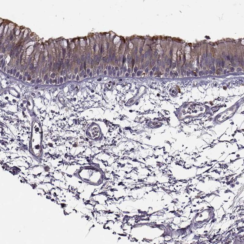
Staining of human fallopian tube shows moderate to strong positivity in cilia in glandular cells.
Orthogonal Strategies: Analysis in human fallopian tube and skeletal muscle tissues using NBP1-93840 antibody. Corresponding SPAG17 RNA-seq data are presented for the same tissues.
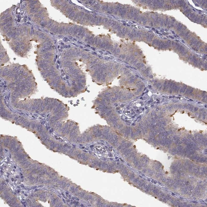
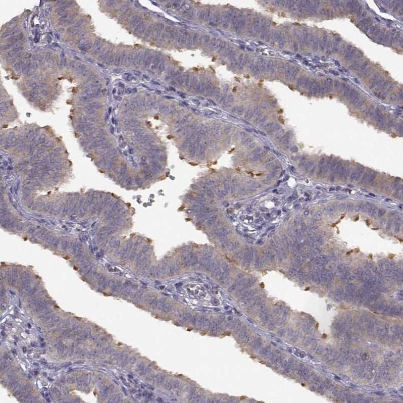
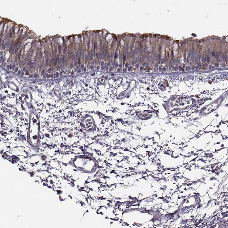
Staining of human bronchus shows moderate to strong positivity in cilia in respiratory epithelial cells.

Product Details

Summary
Reactivity HuSpecies Glossary
Applications IHC
Clonality
Polyclonal
Host
Rabbit
Conjugate
Unconjugated
Format
BSA Free
Validated by:
       

Orthogonal Strategies

 

Order Details

View Available Formulations
Catalog# & Formulation Size Price

SPAG17 Antibody - BSA Free Summary

Description
Novus Biologicals Rabbit SPAG17 Antibody - BSA Free (NBP1-93840) is a polyclonal antibody validated for use in IHC. All Novus Biologicals antibodies are covered by our 100% guarantee.
Immunogen
This antibody was developed against Recombinant Protein corresponding to amino acids: SVPLILHCMLEQVVATEEDLVPPSLREPSPRADGLDHRIAAHIVSLLPSLCLSEREKKNLHDIFLSEEENESKAV
Isotype
IgG
Clonality
Polyclonal
Host
Rabbit
Gene
SPAG17
Purity
Affinity purified
Innovator's Reward
Test in a species/application not listed above to receive a full credit towards a future purchase.

Applications/Dilutions

Dilutions
  • Immunohistochemistry 1:200 - 1:500
  • Immunohistochemistry-Paraffin 1:200 - 1:500
Application Notes
For IHC-Paraffin, HIER pH 6 retrieval is recommended.
Control Peptide
SPAG17 Protein (NBP1-93840PEP)

Reactivity Notes

Immunogen displays the following percentage of sequence identity for non-tested species: Mouse (81%)

Packaging, Storage & Formulations

Storage
Store at 4C short term. Aliquot and store at -20C long term. Avoid freeze-thaw cycles.
Buffer
PBS (pH 7.2) and 40% Glycerol
Preservative
0.02% Sodium Azide
Purity
Affinity purified

Alternate Names for SPAG17 Antibody - BSA Free

  • DKFZp434B0610
  • FLJ34497
  • FLJ44343
  • FLJ44353
  • PF6
  • projection protein PF6 homolog
  • sperm associated antigen 17
  • sperm-associated antigen 17

Limitations

This product is for research use only and is not approved for use in humans or in clinical diagnosis. Primary Antibodies are guaranteed for 1 year from date of receipt.

Customers Who Viewed This Item Also Viewed...

NBP2-36776
Species: Hu
Applications: ICC/IF, IHC,  IHC-P, KD, WB
AF1936
Species: Hu
Applications: IP, WB
MAB1233
Species: Hu
Applications: CyTOF-ready, Flow, ICC, IP
NBP1-26612
Species: Hu
Applications: IP (-), WB
NBP2-44520
Species: Ca(-), Hu, Rt(-)
Applications: Flow-IC, Flow, ICC/IF, IF, IHC,  IHC-P, MI, WB
NBP1-62583
Species: Hu
Applications: WB
NBP3-47902
Species: Hu, Mu, Rt
Applications: ELISA, IHC, WB
NBP2-30949
Species: Hu
Applications: IHC,  IHC-P
NBP1-97512
Species: Mu
Applications: ICC/IF, IHC, IHC-Fr,  IHC-P, IP, WB
NB100-74635
Species: Hu
Applications: IHC,  IHC-P, IP, WB (-)
NBP1-81293
Species: Hu
Applications: ICC/IF, IHC,  IHC-P, KD, WB
NBP1-32870
Species: Ch, Hu
Applications: IHC,  IHC-P, IP, KD, WB
NBP3-48674
Species: Hu, Mu, Rt, Ze
Applications: ICC/IF, IHC,  IHC-P, WB
AF5866
Species: Hu
Applications: IHC, WB
NBP2-93935
Species: Hu, Mu, Rt
Applications: ICC/IF, WB
NBP1-88527
Species: Hu, Mu, Rt
Applications: IHC,  IHC-P, WB
NBP1-80923
Species: Hu, Mu
Applications: IHC,  IHC-P, WB
NBP3-17923
Species: Hu
Applications: IHC,  IHC-P

Publications for SPAG17 Antibody (NBP1-93840) (0)

There are no publications for SPAG17 Antibody (NBP1-93840).
By submitting your publication information earn gift cards and discounts for future purchases.

Reviews for SPAG17 Antibody (NBP1-93840) (0)

There are no reviews for SPAG17 Antibody (NBP1-93840). By submitting a review you will receive an Amazon e-Gift Card or Novus Product Discount.
  • Review with no image -- $10/€7/£6/$10 CAD/¥70 Yuan/¥1110 Yen
  • Review with an image -- $25/€18/£15/$25 CAD/¥150 Yuan/¥2500 Yen

Product General Protocols

Find general support by application which include: protocols, troubleshooting, illustrated assays, videos and webinars.

FAQs for SPAG17 Antibody (NBP1-93840) (0)

There are no specific FAQs related to this product. Read our general customer & technical service FAQs.

Customers Who Bought This Also Bought

Contact Information

Product PDFs

Calculators

Concentration Calculator

The concentration calculator allows you to quickly calculate the volume, mass or concentration of your vial. Simply enter your mass, volume, or concentration values for your reagent and the calculator will determine the rest.

=
÷

Review this Product

Be the first to review our SPAG17 Antibody - BSA Free and receive a gift card or discount.

Bioinformatics

Gene Symbol SPAG17