SOX9 Antibody (SOX9/2398) - Azide and BSA Free

Images

 
Western Blot: SOX9 Antibody (SOX9/2398) - Azide and BSA Free [NBP3-08399] - Western blot analysis of HepG2 cell lysate using SOX9 antibody (SOX9/2398).
Protein Array: SOX9 Antibody (SOX9/2398) - Azide and BSA Free [NBP3-08399] - Analysis of Protein Array containing more than 19,000 full-length human proteins using SOX9 Mouse Monoclonal Antibody (SOX9/2398).
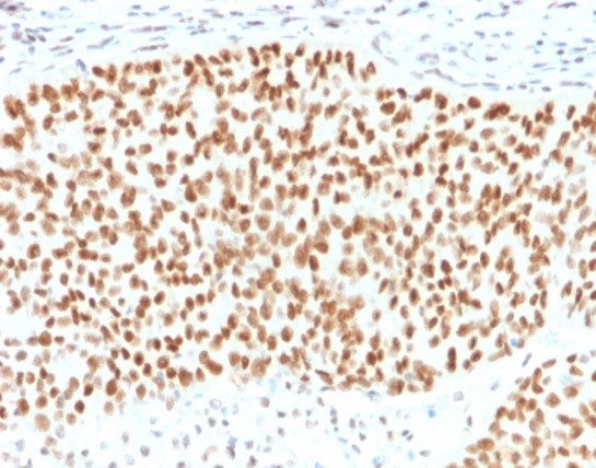
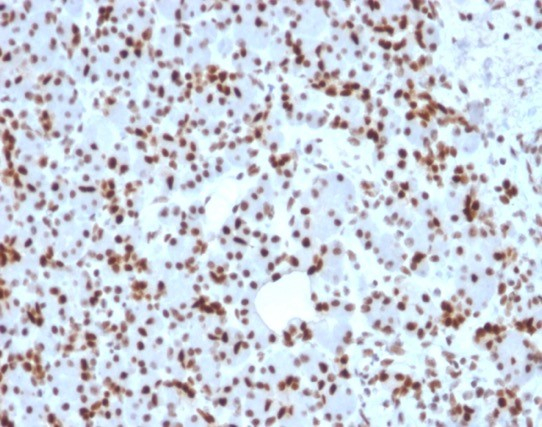
Formalin-fixed, paraffin-embedded human pancreas stained with SOX9 antibody (SOX9/2398). HIER: Tris/EDTA, pH9.0, 45min. Secondary: HRP-polymer, 30min. DAB, 5min.
Formalin-fixed, paraffin-embedded human pancreas stained with SOX9 antibody (SOX9/2398). HIER: Tris/EDTA, pH9.0, 45min. Secondary: HRP-polymer, 30min. DAB, 5min.

Product Details

Summary
Reactivity HuSpecies Glossary
Applications WB, IHC, MA
Clone
SOX9/2398
Clonality
Monoclonal
Host
Mouse
Conjugate
Unconjugated
Format
Azide and BSA Free
Concentration
1 mg/ml

Order Details

SOX9 Antibody (SOX9/2398) - Azide and BSA Free Summary

Description
1.0 mg/ml of antibody purified from Bioreactor Concentrate by Protein A/G. Prepared in 10mM PBS WITHOUT BSA & azide. Also available at 200 ug/ml WITH BSA & azide (NBP3-07659).

Antibody with azide - store at 2 to 8C. Antibody without azide - store at -20 to -80 C.
Immunogen
Recombinant human SOX9 protein fragment (around aa 393-508) (exact sequence is proprietary) (Uniprot: P48436)
Localization
Nuclear
Isotype
IgG1 Kappa
Clonality
Monoclonal
Host
Mouse
Gene
SOX9
Purity
Protein A or G purified
Innovator's Reward
Test in a species/application not listed above to receive a full credit towards a future purchase.

Applications/Dilutions

Dilutions
  • Immunohistochemistry-Paraffin 1-2 ug/ml
  • Protein Array
  • Western Blot
Application Notes
Immunohistochemistry Formalin-fixed: 1-2ug/ml for 30 minutes at RT. Staining of formalin-fixed tissues requires heating tissue sections in 10mM Tris with 1mM EDTA, pH 9.0, for 45 min at 95C followed by cooling at RT for 20 minutes.
Theoretical MW
65 kDa.
Disclaimer note: The observed molecular weight of the protein may vary from the listed predicted molecular weight due to post translational modifications, post translation cleavages, relative charges, and other experimental factors.

Packaging, Storage & Formulations

Storage
Store at -20 to -80C. Avoid freeze-thaw cycles.
Buffer
10 mM PBS
Preservative
No Preservative
Concentration
1 mg/ml
Purity
Protein A or G purified

Alternate Names for SOX9 Antibody (SOX9/2398) - Azide and BSA Free

  • campomelic dysplasia, autosomal sex-reversal
  • CMD 1
  • CMD1
  • CMPD1
  • SOX9
  • SRA1SRY (sex-determining region Y)-box 9 protein
  • SRY (sex determining region Y)-box 9
  • SRY-related HMG-box, gene 9
  • transcription factor SOX-9

Background

SOX9 is a member of the family of SOX (Sry-type highmobility group box) genes that were first identified on the basis of region with high homology to that of Sry (Sex determining region Y). SOX9 is a transcription factor with a high mobility group DNA-binding domain that is expressed in all prechondrocytic and chondrocytic cells during embryonic development in a pattern that close parallels that of the gene for type II collagen. SOX9 is important in neural crest formation, and is involved in regulating subsequent epithelial-mesenchymal transition and migration.

Limitations

This product is for research use only and is not approved for use in humans or in clinical diagnosis. Primary Antibodies are guaranteed for 1 year from date of receipt.

Customers Who Viewed This Item Also Viewed...

NB100-74350
Species: Bv, Ca, Hu, Mu, Po, Rt
Applications: Flow, ICC/IF, IHC, IHC-Fr,  IHC-P, WB
NBP3-41295
Species: Hu
Applications: IHC,  IHC-P, WB
NBP2-88921
Species: Hu
Applications: ICC/IF, IHC,  IHC-P, WB
NB600-844
Species: Ch, Hu, Mu, Rb, Rt
Applications: ICC/IF, IHC, IHC-Fr,  IHC-P, Simple Western, WB
355-BM
Species: Hu, Mu, Rt
Applications: BA
NBP2-20486
Species: Hu, Mu
Applications: ICC/IF, IHC,  IHC-P, IP, WB
PP-H7431-00
Species: Hu
Applications: WB
355-BM
Species: Hu, Mu, Rt
Applications: BA
AF5286
Species: Hu
Applications: WB
AF2864
Species: Hu
Applications: ICC, IHC, WB
AF1230
Species: Hu, Mu, Rt
Applications: IHC, KO, WB
MAB1419
Species: Hu, Rt
Applications: CyTOF-ready, ICC, IHC, ICFlow
291-G1
Species: Hu
Applications: BA
NBP2-22203
Species: Hu, Pm, Mu, Rt
Applications: ELISA, Flow, ICC/IF, IHC,  IHC-P, WB
314-BP
Species: Hu
Applications: BA, BA
NBP1-86149
Species: Hu
Applications: ChIP-EXO-SEQ, IHC,  IHC-P, WB
NBP3-08399
Species: Hu
Applications: WB, IHC, MA

Publications for SOX9 Antibody (NBP3-08399) (0)

There are no publications for SOX9 Antibody (NBP3-08399).
By submitting your publication information earn gift cards and discounts for future purchases.

Reviews for SOX9 Antibody (NBP3-08399) (0)

There are no reviews for SOX9 Antibody (NBP3-08399). By submitting a review you will receive an Amazon e-Gift Card or Novus Product Discount.
  • Review with no image -- $10/€7/£6/$10 CAD/¥70 Yuan/¥1110 Yen
  • Review with an image -- $25/€18/£15/$25 CAD/¥150 Yuan/¥2500 Yen

Product General Protocols

Find general support by application which include: protocols, troubleshooting, illustrated assays, videos and webinars.

Video Protocols

WB Video Protocol

FAQs for SOX9 Antibody (NBP3-08399) (0)

There are no specific FAQs related to this product. Read our general customer & technical service FAQs.

Secondary Antibodies

 

Isotype Controls

Additional SOX9 Products

Research Areas for SOX9 Antibody (NBP3-08399)

Find related products by research area.

Blogs on SOX9.

Role of GFAP in astrocytes: Lessons from induced pluripotent stem cells in Alexander disease patients
By Michalina Hanzel, PhDAlexander disease is a progressive and fatal neurological disease with phenotypes ranging from myelination abnormalities, gait ataxia and megalencephaly to predisposition to seizures. It is an ...  Read full blog post.

Deriving neural precursor cells from human induced pluripotent stem cells
By Jennifer Sokolowski, MD, PhD.Human induced pluripotent stem cells (iPSCs) can be used to create models of human organ systems and are useful for a) ascertaining the mechanisms underlying pathological conditions...  Read full blog post.

The use of a GFP antibody for research applications in transgenic C. elegans, GFP tagged yeast and porcine model
GFP, or green fluorescent protein, is a chemiluminescent protein derived from Aequorea jellyfish that was first discovered by Osamu Shimomura.  It was soon after established that the emission spectra of GFP was right around 509nm, or the ultraviol...  Read full blog post.

SOX9 - Be careful, I can reverse your gender!
SOX9 is a member of the SOX family of HMG DNA-binding domain transcription factors. The protein encoded by this gene recognizes the sequence CCTTGAG along with other members of the HMG-box class DNA-binding proteins. cAMP and protein kinase A (PKA) st...  Read full blog post.

Using the Hif-1 Alpha Antibody in Prostate Cancer Research
The Hypoxia-inducible Factor 1 (HIF1) protein is a heterodimeric transcription factor which plays an important role in mammalian oxygen homeostasis in conditions of hypoxia, or low oxygen concentration. HIF-1 alpha antibody reagents are widely used in...  Read full blog post.

Customers Who Bought This Also Bought

Contact Information

Product PDFs

Calculators

Concentration Calculator

The concentration calculator allows you to quickly calculate the volume, mass or concentration of your vial. Simply enter your mass, volume, or concentration values for your reagent and the calculator will determine the rest.

=
÷

Review this Product

Be the first to review our SOX9 Antibody (SOX9/2398) - Azide and BSA Free and receive a gift card or discount.

Bioinformatics

Gene Symbol SOX9