SOX4 Antibody (SOX4/2540) - Azide and BSA Free

Images

 
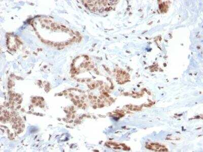
Immunohistochemistry-Paraffin: SOX4 Antibody (SOX4/2540) - Azide and BSA Free [NBP2-79903] - Formalin-fixed, paraffin-embedded human Breast Carcinoma stained with SOX4 Mouse Monoclonal Antibody (SOX4/2540).
Immunohistochemistry-Paraffin: SOX4 Antibody (SOX4/2540) - Azide and BSA Free [NBP2-79903] - Formalin-fixed, paraffin-embedded human Colon Carcinoma stained with SOX4 Mouse Monoclonal Antibody (SOX4/2540).
Protein Array: SOX4 Antibody (SOX4/2540) - Azide and BSA Free [NBP2-79903] - Analysis of Protein Array containing more than 19,000 full-length human proteins using SOX4 Antibody (SOX4/2540). Z- and S- Score: The Z-score ...read more

Product Details

Summary
Reactivity HuSpecies Glossary
Applications IHC, MA
Clone
SOX4/2540
Clonality
Monoclonal
Host
Mouse
Conjugate
Unconjugated
Format
Azide and BSA Free
Concentration
1 mg/ml

Order Details

SOX4 Antibody (SOX4/2540) - Azide and BSA Free Summary

Description
1.0 mg/ml of antibody purified from Bioreactor Concentrate by Protein A/G. Prepared in 10mM PBS WITHOUT BSA & azide. Also available at 200 ug/ml WITH BSA & azide (NBP2-79768).

Antibody with azide - store at 2 to 8C. Antibody without azide - store at -20 to -80C.
Immunogen
Recombinant full-length human SOX4 protein (Uniprot: Q06945)
Localization
Nuclear
Isotype
IgG2b Kappa
Clonality
Monoclonal
Host
Mouse
Gene
SOX4
Purity
Protein A or G purified
Innovator's Reward
Test in a species/application not listed above to receive a full credit towards a future purchase.

Applications/Dilutions

Dilutions
  • Immunohistochemistry 1-2 ug/ml
  • Immunohistochemistry-Paraffin 1-2 ug/ml
  • Protein Array
Application Notes
Immunohistochemistry (Formalin-fixed): 1-2ug/ml for 30 minutes at RT. Staining of formalin-fixed tissues requires heating tissue sections in 10mM Tris with 1mM EDTA, pH 9.0, for 45 min at 95C followed by cooling at RT for 20 minutes.
Optimal dilution for a specific application should be determined.
Theoretical MW
47 kDa.
Disclaimer note: The observed molecular weight of the protein may vary from the listed predicted molecular weight due to post translational modifications, post translation cleavages, relative charges, and other experimental factors.

Packaging, Storage & Formulations

Storage
Store at -20 to -80C. Avoid freeze-thaw cycles.
Buffer
10 mM PBS
Preservative
No Preservative
Concentration
1 mg/ml
Purity
Protein A or G purified

Alternate Names for SOX4 Antibody (SOX4/2540) - Azide and BSA Free

  • ecotropic viral integration site 16
  • EVI16
  • SRY (sex determining region Y)-box 4
  • SRY-related HMG-box gene 4
  • transcription factor SOX-4

Background

SOX4 encodes a member of the SOX (SRY-related HMG-box) family of transcription factors involved in the regulation of embryonic development and in the determination of the cell fate. The encoded protein may act as a transcriptional regulator after forming a protein complex with other proteins, such as syndecan binding protein (syntenin). The protein may function in the apoptosis pathway leading to cell death as well as to tumorigenesis and may mediate downstream effects of parathyroid hormone (PTH) and PTH-related protein (PTHrP) in bone development. The solution structure has been resolved for the HMG-box of a similar mouse protein.

Limitations

This product is for research use only and is not approved for use in humans or in clinical diagnosis. Primary Antibodies are guaranteed for 1 year from date of receipt.

Customers Who Viewed This Item Also Viewed...

NBP2-31371
Species: Hu
Applications: ICC/IF, IHC,  IHC-P, WB
NBP3-41295
Species: Hu
Applications: IHC,  IHC-P, WB
AF2018
Species: Hu, Mu, Rt
Applications: ChIP, ICC, IHC, Simple Western, WB
AF3075
Species: Hu
Applications: ICC, Simple Western, WB
AF4070
Species: Hu
Applications: ICC, WB
AF5286
Species: Hu
Applications: WB
H00006666-Q01
Species: Hu
Applications: ELISA, AP, PA, PAGE, WB
NBP2-32840
Species: Hu, Pm, Mu, Rt
Applications: Flow, ICC/IF, IHC,  IHC-P, WB
AF1924
Species: Hu
Applications: ChIP, ICC, Simple Western, WB
NBP1-86960
Species: Hu
Applications: ChIP-EXO-SEQ, ICC/IF, IHC,  IHC-P, WB
NB200-103
Species: Hu, Mu, Rt, Xp(-), Ye
Applications: CyTOF-ready, ELISA, Flow-IC, Flow, ICC/IF, IHC, IHC-Fr,  IHC-P, IP, WB
BBA10
Species: Hu
Applications: CyTOF-ready, Flow, IHC, IP, KO, Simple Western, WB
NBP2-29463
Species: Pm, Hu, Pm, Mu
Applications: Flow, ICC/IF, IHC,  IHC-P, WB
NB110-68136
Species: Fe, Hu, Mu, Rt
Applications: CyTOF-ready, ELISA, Flow-IC, Flow, ICC/IF, IHC, IHC-Fr,  IHC-P, WB
NBP1-80306
Species: Av, Hu
Applications: ICC/IF, IHC,  IHC-P, KD, WB
H00006934-M06
Species: Hu, Mu
Applications: ELISA, ICC/IF, IHC,  IHC-P, WB
MAB8224
Species: Mu
Applications: CyTOF-ready, ICFlow, WB
NBP2-79903
Species: Hu
Applications: IHC, MA

Publications for SOX4 Antibody (NBP2-79903) (0)

There are no publications for SOX4 Antibody (NBP2-79903).
By submitting your publication information earn gift cards and discounts for future purchases.

Reviews for SOX4 Antibody (NBP2-79903) (0)

There are no reviews for SOX4 Antibody (NBP2-79903). By submitting a review you will receive an Amazon e-Gift Card or Novus Product Discount.
  • Review with no image -- $10/€7/£6/$10 CAD/¥70 Yuan/¥1110 Yen
  • Review with an image -- $25/€18/£15/$25 CAD/¥150 Yuan/¥2500 Yen

Product General Protocols

Find general support by application which include: protocols, troubleshooting, illustrated assays, videos and webinars.

FAQs for SOX4 Antibody (NBP2-79903) (0)

There are no specific FAQs related to this product. Read our general customer & technical service FAQs.

Secondary Antibodies

 

Isotype Controls

Additional SOX4 Products

Research Areas for SOX4 Antibody (NBP2-79903)

Find related products by research area.

Blogs on SOX4.

Bad news for stomach cancer: BAMBI protein inhibits gastric carcinoma via TGF-beta/epithelial-mesenchymal transition signaling
By Jamshed Arslan Pharm.D. Gastric carcinoma is the second leading cause of cancer-related deaths worldwide. One of the key features of gastric carcinoma is acidosis, which promotes growth and metastasis of gastric ...  Read full blog post.

Customers Who Bought This Also Bought

Contact Information

Product PDFs

Calculators

Concentration Calculator

The concentration calculator allows you to quickly calculate the volume, mass or concentration of your vial. Simply enter your mass, volume, or concentration values for your reagent and the calculator will determine the rest.

=
÷

Review this Product

Be the first to review our SOX4 Antibody (SOX4/2540) - Azide and BSA Free and receive a gift card or discount.

Bioinformatics

Gene Symbol SOX4