SNF5 Antibody (CL14017) - Azide and BSA Free

Images

 
Staining of human cerebellum shows moderate nuclear positivity in Purkinje cells.
Staining of human breast cancer (ductal carcinoma) shows strong nuclear positivity in tumor cells.
Staining of human cerebral cortex shows strong nuclear positivity in neurons.
Staining of human ovarian cancer (papillary carcinoma) shows moderate to strong nuclear positivity in tumor cells.
Staining of human ovarian cancer (high grade serous carcinoma) shows moderate to strong nuclear positivity in tumor cells.
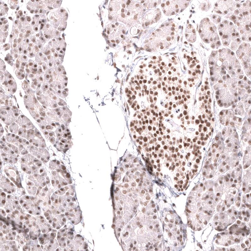
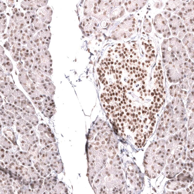
Staining of human pancreas shows strong nuclear positivity in endocrine glandular cells.
Staining of human rectum shows moderate nuclear positivity in glandular and lymphoid cells.
Analysis in human cell line SK-MEL-30.

Product Details

Summary
Reactivity HuSpecies Glossary
Applications WB, IHC
Clone
CL14017
Clonality
Monoclonal
Host
Mouse
Conjugate
Unconjugated
Format
Azide and BSA Free
Concentration
LYOPH

Order Details

SNF5 Antibody (CL14017) - Azide and BSA Free Summary

Description
Novus Biologicals Mouse SNF5 Antibody (CL14017) - Azide and BSA Free (NBP3-24594) is a monoclonal antibody validated for use in IHC and WB. All Novus Biologicals antibodies are covered by our 100% guarantee.
Immunogen
This antibody was generated using a recombinant protein sequence of Q12824, with the exact immunogen sequence remaining proprietary.
Isotype
IgG2a
Clonality
Monoclonal
Host
Mouse
Gene
SMARCB1
Purity
Protein A purified
Innovator's Reward
Test in a species/application not listed above to receive a full credit towards a future purchase.

Applications/Dilutions

Dilutions
  • Immunohistochemistry-Paraffin 1:50-1:200
  • Western Blot 1 ug/ml
Application Notes
For IHC-Paraffin, we recommend using Heat-Induced Epitope Retrieval (HIER) with a pH level of 6. This optimized retrieval method ensures the best results for your experiments.

Packaging, Storage & Formulations

Storage
Store at 4C short term. Aliquot and store at -20C long term. Avoid freeze-thaw cycles.
Buffer
Lyophilized from a 0.2 um filtered solution in PBS with Trehalose
Preservative
No Preservative
Concentration
LYOPH
Purity
Protein A purified
Reconstitution Instructions
Centrifuge the vial of lyophilized antibody at 12,000 x g for 20 seconds. Reconstitute by adding sterile, distilled water to achieve a final antibody concentration of 1mg/ml.

Alternate Names for SNF5 Antibody (CL14017) - Azide and BSA Free

  • BAF47
  • BAF47hSNF5
  • BRG1-associated factor 47
  • hSNFS
  • Ini1
  • INI1RTPS1
  • Integrase interactor 1 protein
  • malignant rhabdoid tumor suppressor
  • RDTSNF5 homolog
  • Sfh1p
  • SNF5
  • SNF5L1
  • Snr1
  • subfamily b, member 1
  • sucrose nonfermenting, yeast, homolog-like 1
  • SWI/SNF related, matrix associated, actin dependent regulator of chromatin
  • SWI/SNF-related matrix-associated actin-dependent regulator of chromatinsubfamily B member 1

Background

SNF5 is encoded by this gene is part of a complex that relieves repressive chromatin structures, allowing the transcriptional machinery to access its targets more effectively. The encoded nuclear protein may also bind to and enhance the DNA joining activity of HIV-1 integrase. This gene has been found to be a tumor suppressor, and mutations in it have been associated with malignant rhabdoid tumors. Two transcript variants encoding different isoforms have been found for this gene.

Limitations

This product is for research use only and is not approved for use in humans or in clinical diagnosis. Primary Antibodies are guaranteed for 1 year from date of receipt.

Customers Who Viewed This Item Also Viewed...

NBP2-61879
Species: Hu, Mu
Applications: ELISA, Flow, IHC,  IHC-P, WB
AF5738
Species: Hu
Applications: ICC, KO, Simple Western, WB
NBP3-13283
Species: Hu, Mu, Rt
Applications: ICC/IF, IHC,  IHC-P, WB
NBP3-12487
Species: Hu, Mu, Rt
Applications: ELISA, IHC,  IHC-P, WB
NB200-106
Species: Mu, Rt
Applications: ELISA, ICC/IF, IHC, IHC-Fr,  IHC-P, WB
NBP2-20415
Species: Hu, Mu, Rt
Applications: ChIP, ICC/IF, IHC,  IHC-P, IP, WB
NB300-223
Species: Bv, Ca, Ch, Eq, Hu, Mu, Po, Rt
Applications: ICC/IF, IHC, IHC-Fr,  IHC-P, WB
NB200-103
Species: Hu, Mu, Rt, Xp(-), Ye
Applications: CyTOF-ready, ELISA, Flow-IC, Flow, ICC/IF, IHC, IHC-Fr,  IHC-P, IP, WB
NBP2-29463
Species: Pm, Hu, Pm, Mu
Applications: Flow, ICC/IF, IHC,  IHC-P, WB
NBP2-32840
Species: Hu, Pm, Mu, Rt
Applications: Flow, ICC/IF, IHC,  IHC-P, WB
NBP1-87757
Species: Hu, Mu, Rt
Applications: ICC/IF, IHC,  IHC-P, IP, KD, WB
NB300-141
Species: Bv, Ch, Eq, Gp, Hu, Mu, Po, Rb, Rt
Applications: ICC/IF, IHC, IHC-Fr,  IHC-P, Simple Western, WB
NB120-22711
Species: Hu, Mu
Applications: ELISA, Flow, ICC/IF, IHC, IHC-Fr,  IHC-P
MAB6495
Species: Hu
Applications: ICC, Simple Western, WB
NBP2-52559
Species: Hu
Applications: CyTOF-ready, ELISA, Flow, IHC,  IHC-P, WB
NB100-64792
Species: Hu
Applications: ELISA, Flow, ICC/IF, IHC, IHC-Fr,  IHC-P, WB
NBP3-42341
Species: Hu, Po, Rt
Applications: IHC,  IHC-P, WB
NBP3-43863
Species: Hu
Applications: WB, IHC

Publications for SNF5 Antibody (NBP3-43863) (0)

There are no publications for SNF5 Antibody (NBP3-43863).
By submitting your publication information earn gift cards and discounts for future purchases.

Reviews for SNF5 Antibody (NBP3-43863) (0)

There are no reviews for SNF5 Antibody (NBP3-43863). By submitting a review you will receive an Amazon e-Gift Card or Novus Product Discount.
  • Review with no image -- $10/€7/£6/$10 CAD/¥70 Yuan/¥1110 Yen
  • Review with an image -- $25/€18/£15/$25 CAD/¥150 Yuan/¥2500 Yen

Product General Protocols

Find general support by application which include: protocols, troubleshooting, illustrated assays, videos and webinars.

Video Protocols

WB Video Protocol

FAQs for SNF5 Antibody (NBP3-43863) (0)

There are no specific FAQs related to this product. Read our general customer & technical service FAQs.

Secondary Antibodies

 

Isotype Controls

Additional SNF5 Products

Research Areas for SNF5 Antibody (NBP3-43863)

Find related products by research area.

Blogs on SNF5.

You can't be without me - SNF5
The protein encoded by SNF5 is a component of the chromatin-remodeling protein complex responsible for relieving repressive chromatin structures by allowing the transcriptional machinery to access targets more effectively. SNF5 has been found to be a ...  Read full blog post.

Customers Who Bought This Also Bought

Contact Information

Product PDFs

Calculators

Concentration Calculator

The concentration calculator allows you to quickly calculate the volume, mass or concentration of your vial. Simply enter your mass, volume, or concentration values for your reagent and the calculator will determine the rest.

=
÷

Review this Product

Be the first to review our SNF5 Antibody (CL14017) - Azide and BSA Free and receive a gift card or discount.

Bioinformatics

Gene Symbol SMARCB1