SMARCC1 Antibody - BSA Free

Images

 
Immunocytochemistry/ Immunofluorescence: SMARCC1 Antibody [NBP2-20415] - Confocal immunofluorescence analysis of paraformaldehyde-fixed HeLa, using SMARCC1 antibody (Green) at 1:500 dilution. Alpha-tubulin filaments are ...read more
Immunohistochemistry-Paraffin: SMARCC1 Antibody [NBP2-20415] - Immunohistochemical analysis of paraffin-embedded C2C12 xenograft, using antibody at 1:500 dilution.
Immunohistochemistry-Paraffin: SMARCC1 Antibody [NBP2-20415] - Immunohistochemical analysis of paraffin-embedded RT2 xenograft, using antibody at 1:500 dilution.
Western Blot: SMARCC1 Antibody [NBP2-20415] - Various whole cell extracts (30 ug) were separated by 5% SDS-PAGE, and the membrane was blotted with SMARCC1 antibody [C2C3], C-term (NBP2-20415) diluted at 1:2000. The ...read more
Immunocytochemistry/ Immunofluorescence: SMARCC1 Antibody [NBP2-20415] - SMARCC1 antibody [C2C3], C-term detects SMARCC1 protein at nucleus by immunofluorescent analysis.Sample: HeLa cells were fixed in 4% ...read more
Genetic Strategies: Western Blot: SMARCC1 Antibody [NBP2-20415] - Wild-type (WT) and SMARCC1 knockout (KO) HeLa cell extracts (30 ug) were separated by 5% SDS-PAGE, and the membrane was blotted with SMARCC1 ...read more
Various whole cell extracts (30 ug) were separated by 5% SDS-PAGE, and the membrane was blotted with SMARCC1 antibody [C2C3], C-term (NBP2-20415) diluted at 1:1000. The HRP-conjugated anti-rabbit IgG antibody was used ...read more
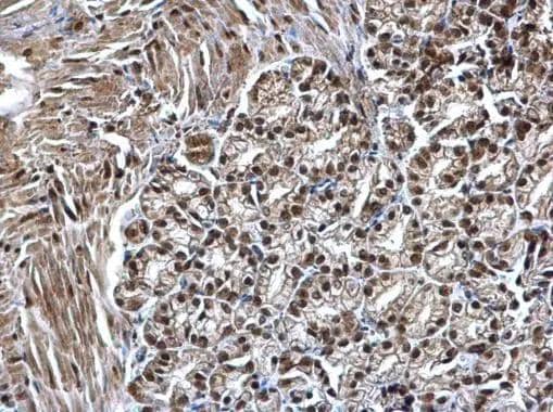
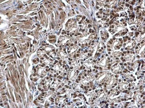
Immunohistochemical analysis of paraffin-embedded BT483 xenograft, using SMARCC1(NBP2-20415) antibody at 1:500 dilution. br>Antigen Retrieval: Trilogy(TM) (EDTA based, pH 8.0) buffer, 15min
SMARCC1 antibody [C2C3], C-term detects SMARCC1 protein at nucleus on rat hind brain by immunohistochemical analysis. Sample: Paraffin-embedded rat hind brain. SMARCC1 antibody [C2C3], C-term (NBP2-20415) dilution: ...read more
SMARCC1 antibody immunoprecipitates SMARCC1 protein in IP experiments. IP Sample: 293T whole cell lysate/extract A : 30 ug whole cell lysate/extract of SMARCC1 protein expressing 293T cells B : Control with 2.5 ug of ...read more
SMARCC1 antibody [C2C3], C-term detects SMARCC1 protein at nucleus on mouse prostate by immunohistochemical analysis. Sample: Paraffin-embedded mouse prostate. SMARCC1 antibody [C2C3], C-term (NBP2-20415) dilution: ...read more
Cross-linked ChIP was performed with MF-7 chromatin extract treated with B-estradiol (10 nM for 45 min) and 5 ug of either control rabbit IgG or anti-SMARCC1 antibody. The precipitated DNA was detected by PCR with ...read more
SMARCC1 antibody [C2C3], C-term detects SMARCC1 protein at nucleus on mouse duodenum by immunohistochemical analysis. Sample: Paraffin-embedded mouse duodenum. SMARCC1 antibody [C2C3], C-term (NBP2-20415) dilution: ...read more

Product Details

Summary
Reactivity Hu, Mu, RtSpecies Glossary
Applications WB, ICC/IF, IHC, IP, ChIP
Clonality
Polyclonal
Host
Rabbit
Conjugate
Unconjugated
Format
BSA Free
Validated by:
     

Genetic Strategies

   

Order Details

SMARCC1 Antibody - BSA Free Summary

Description
Novus Biologicals Rabbit SMARCC1 Antibody - BSA Free (NBP2-20415) is a polyclonal antibody validated for use in IHC, WB, ICC/IF, IP and ChIP. Anti-SMARCC1 Antibody: Cited in 1 publication. All Novus Biologicals antibodies are covered by our 100% guarantee.
Immunogen
Recombinant protein encompassing a sequence within the C-terminus region of human SMARCC1. The exact sequence is proprietary.
Localization
Nucleus
Isotype
IgG
Clonality
Polyclonal
Host
Rabbit
Gene
SMARCC1
Purity
Antigen Affinity-purified
Innovator's Reward
Test in a species/application not listed above to receive a full credit towards a future purchase.

Applications/Dilutions

Dilutions
  • Chromatin Immunoprecipitation (ChIP)
  • Immunocytochemistry/ Immunofluorescence 1:100-1:1000
  • Immunohistochemistry 1:100-1:1000
  • Immunohistochemistry-Paraffin 1:100-1:1000
  • Immunoprecipitation 1:100-1:500
  • Western Blot 1:500-1:20000
Application Notes
ChIP assay Assay-dependent dilution
Theoretical MW
123 kDa.
Disclaimer note: The observed molecular weight of the protein may vary from the listed predicted molecular weight due to post translational modifications, post translation cleavages, relative charges, and other experimental factors.
Publications
Read Publication using
NBP2-20415 in the following applications:

  • WB
    1 publication

Packaging, Storage & Formulations

Storage
Aliquot and store at -20C or -80C. Avoid freeze-thaw cycles.
Buffer
PBS, 20% Glycerol
Preservative
0.025% Proclin 300
Purity
Antigen Affinity-purified

Alternate Names for SMARCC1 Antibody - BSA Free

  • BAF155SWI/SNF-related matrix-associated actin-dependent regulator of chromatinsubfamily C member 1
  • BRG1-associated factor 155
  • chromatin remodeling complex BAF155 subunit
  • CRACC1
  • mammalian chromatin remodeling complex BRG1-associated factor 155
  • Rsc8
  • SRG3
  • subfamily c, member 1
  • SWI/SNF complex 155 kDa subunit
  • SWI/SNF complex subunit SMARCC1
  • SWI/SNF related, matrix associated, actin dependent regulator of chromatin
  • SWI3

Background

The protein encoded by this gene is a member of the SWI/SNF family of proteins, whose members display helicase and ATPase activities and which are thought to regulate transcription of certain genes by altering the chromatin structure around those genes. The encoded protein is part of the large ATP-dependent chromatin remodeling complex SNF/SWI and contains a predicted leucine zipper motif typical of many transcription factors. [provided by RefSeq]

Limitations

This product is for research use only and is not approved for use in humans or in clinical diagnosis. Primary Antibodies are guaranteed for 1 year from date of receipt.

Customers Who Viewed This Item Also Viewed...

AF5738
Species: Hu
Applications: ICC, KO, Simple Western, WB
NBP2-61879
Species: Hu, Mu
Applications: ELISA, Flow, IHC,  IHC-P, WB
NBP1-90014
Species: Hu, Mu, Rt
Applications: ICC/IF, IHC,  IHC-P, WB
NBP3-13283
Species: Hu, Mu, Rt
Applications: ICC/IF, IHC,  IHC-P, WB
NBP1-90017
Species: Hu
Applications: ICC/IF, IHC,  IHC-P, WB
NBP1-88719
Species: Hu, Mu, Rt
Applications: ChIP-EXO-SEQ, ICC/IF, IHC,  IHC-P, WB
NBP1-90012
Species: Hu, Mu, Rt
Applications: ChIP-EXO-SEQ, ICC/IF, IHC,  IHC-P, WB
NBP2-29463
Species: Pm, Hu, Pm, Mu
Applications: Flow, ICC/IF, IHC,  IHC-P, WB
NBP2-76978
Species: Hu, Mu, Rt
Applications: Flow, ICC/IF, IHC,  IHC-P, WB
NB100-56340
Species: Hu, Mu, Rt
Applications: IHC, IHC-Fr,  IHC-P, KO, Simple Western, WB
3047-CC
Species: Hu
Applications: BA
DPSG10
Species: Hu
Applications: ELISA
NB600-232
Species: Hu, Mu
Applications: ChIP, IHC,  IHC-P, IP, WB
NB300-731
Species: Gp, Hu, Mu, Rb, Rt, Sh, Ye
Applications: B/N, ChIP, Flow, GS, ICC/IF, IHC,  IHC-P, IP, WB
H00006604-M01
Species: Hu, Mu
Applications: ELISA, ICC/IF, S-ELISA, WB
NBP1-88932
Species: Hu, Mu
Applications: ICC/IF, IHC,  IHC-P, WB
NBP2-37380
Species: Hu
Applications: CyTOF-ready, ELISA, Flow, IHC,  IHC-P, WB
AF1759
Species: Hu, Mu
Applications: ChIP, ICC, IP, Simple Western, WB
⚠ WARNING: This product can expose you to chemicals including mercury, which is known to the State of California to cause reproductive toxicity with developmental effects.  For more information go to www.P65Warnings.ca.gov.

Publications for SMARCC1 Antibody (NBP2-20415)(1)

We have publications tested in 1 confirmed species: Mouse.

We have publications tested in 1 application: WB.


Filter By Application
WB
(1)
All Applications
Filter By Species
Mouse
(1)
All Species

Reviews for SMARCC1 Antibody (NBP2-20415) (0)

There are no reviews for SMARCC1 Antibody (NBP2-20415). By submitting a review you will receive an Amazon e-Gift Card or Novus Product Discount.
  • Review with no image -- $10/€7/£6/$10 CAD/¥70 Yuan/¥1110 Yen
  • Review with an image -- $25/€18/£15/$25 CAD/¥150 Yuan/¥2500 Yen

Product General Protocols

Find general support by application which include: protocols, troubleshooting, illustrated assays, videos and webinars.

Video Protocols

WB Video Protocol
ICC/IF Video Protocol

FAQs for SMARCC1 Antibody (NBP2-20415) (0)

There are no specific FAQs related to this product. Read our general customer & technical service FAQs.

Secondary Antibodies

 

Isotype Controls

Additional SMARCC1 Products

Research Areas for SMARCC1 Antibody (NBP2-20415)

Find related products by research area.

Blogs on SMARCC1

There are no specific blogs for SMARCC1, but you can read our latest blog posts.

Customers Who Bought This Also Bought

Contact Information

Product PDFs

Calculators

Concentration Calculator

The concentration calculator allows you to quickly calculate the volume, mass or concentration of your vial. Simply enter your mass, volume, or concentration values for your reagent and the calculator will determine the rest.

=
÷

Review this Product

Be the first to review our SMARCC1 Antibody - BSA Free and receive a gift card or discount.

Bioinformatics

Gene Symbol SMARCC1
Uniprot