SMN Antibody (5H1) Summary
| Immunogen |
Purified recombinant fragment of human SMN1 expressed in E. Coli. |
| Isotype |
IgG1 |
| Clonality |
Monoclonal |
| Host |
Mouse |
| Gene |
SMN1 |
| Purity |
Unpurified |
| Innovator's Reward |
Test in a species/application not listed above to receive a full credit towards a future purchase. |
Applications/Dilutions
| Dilutions |
- ELISA 1:10000
- Immunocytochemistry/ Immunofluorescence 1:200 - 1:1000
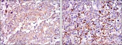
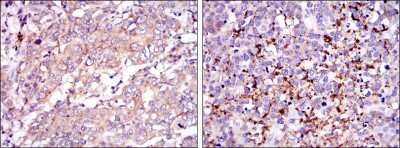
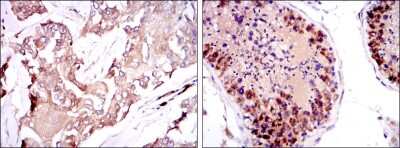
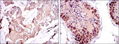
- Immunohistochemistry 1:200 - 1:1000
- Immunohistochemistry-Paraffin 1:200 - 1:1000
- Western Blot 1:500 - 1:2000
|
| Theoretical MW |
39 kDa. Disclaimer note: The observed molecular weight of the protein may vary from the listed predicted molecular weight due to post translational modifications, post translation cleavages, relative charges, and other experimental factors. |
Packaging, Storage & Formulations
| Storage |
Store at 4C short term. Aliquot and store at -20C long term. Avoid freeze-thaw cycles. |
| Buffer |
Ascites |
| Preservative |
0.03% Sodium Azide |
| Purity |
Unpurified |
Alternate Names for SMN Antibody (5H1)
Background
SMN (Gemin 1) is the central component of a large oligomeric complex (SMN complex), including Gemins 2-7, that is necessary and sufficient for the in vivo assembly of Sm proteins onto the small nuclear (sn)RNAs that mediate pre-mRNA splicing. The SMN complex is found in the cytoplasm and nucleus. Within the nucleus, this protein localizes to subnuclear bodies called gems which are found near coiled bodies containing high concentrations of small ribonucleoproteins (snRNPs). Spinal muscular atrophy, a motor neuron disorder, results from reduced levels or a mutation in the Gemin 1 protein.
Limitations
This product is for research use only and is not approved for use in humans or in clinical diagnosis. Primary Antibodies are
guaranteed for 1 year from date of receipt.
Customers Who Viewed This Item Also Viewed...
Species: Hu
Applications: ELISA, ICC/IF, IHC, IHC-P, WB
Species: Hu
Applications: WB
Species: Hu, Mu, Rt
Applications: IHC, IHC-P, WB
Species: Hu, Rt
Applications: CyTOF-ready, ELISA, Flow, ICC/IF, WB
Species: Hu
Applications: ICC/IF, IHC, IHC-P, IP, WB
Species: Bv, Hu, Mu, Rt
Applications: IHC, IHC-P, WB
Species: Hu, Mu, Rt
Applications: ICC/IF, IHC, IHC-P, WB
Species: Bv, Ca, Hu, Mu
Applications: ELISA, ICC/IF, IHC, IP, KD, MiAr, WB
Species: Hu
Applications: ChIP-EXO-SEQ, IHC, IHC-P, WB
Species: Hu, Mu, Rt
Applications: ICC/IF, IHC, IHC-P, KO, WB
Species: Hu
Applications: ICC/IF
Species: Hu
Applications: IHC, IHC-P, WB
Species: Mu
Applications: WB
Species: Hu
Applications: ICC/IF, IHC, IHC-P, IP, WB
Species: Hu, Mu, Rt
Applications: IHC, IHC-P, KD, WB
Species: Bv, Ce, Ch, Dr, Eq, Hu, Mu, Pl, Po, Rt, Y, Ye
Applications: Flow, ICC/IF, IHC-WhMt, IHC, IHC-Fr, IHC-P, KD, WB
Species: Hu
Applications: BA
Species: Hu
Applications: Flow, ICC/IF, PA
Publications for SMN Antibody (NBP2-37594) (0)
There are no publications for SMN Antibody (NBP2-37594).
By submitting your publication information earn gift cards and discounts for future purchases.
Reviews for SMN Antibody (NBP2-37594) (0)
There are no reviews for SMN Antibody (NBP2-37594).
By submitting a review you will receive an Amazon e-Gift Card or Novus Product Discount.
- Review with no image -- $10/€7/£6/$10 CAD/¥70 Yuan/¥1110 Yen
- Review with an image -- $25/€18/£15/$25 CAD/¥150 Yuan/¥2500 Yen
Product General Protocols
Find general support by application which include: protocols, troubleshooting, illustrated assays, videos and webinars.
Video Protocols
FAQs for SMN Antibody (NBP2-37594). (Showing 1 - 1 of 1 FAQ).
-
Could you recommond the Human specific SMN antibody? It will only recognize human SMN, without cross reaction with mouse smn.
- We do not have an SMN antibody that has been validated NOT to work in mouse samples. When an antibody is found to not react with a certain species, we mark the data sheet with a (-) next to the species' name. Unfortunately, the SMN antibodies that do not list mouse have not been tested in mouse, and may react.
Secondary Antibodies
| |
Isotype Controls
|
Additional SMN Products
Research Areas for SMN Antibody (NBP2-37594)
Find related products by research area.
|
Blogs on SMN