SMCP Antibody (OTI6G9) - Azide and BSA Free

Images

 
Western Blot: SMCP Antibody (OTI6G9) - Azide and BSA Free [NBP2-74239] - Analysis of HEK293T cells were transfected with the pCMV6-ENTRY control (Left lane) or pCMV6-ENTRY SMCP.
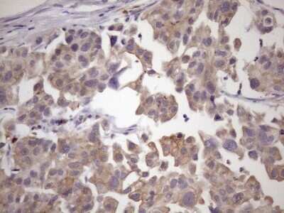
Immunohistochemistry: SMCP Antibody (OTI6G9) - Azide and BSA Free [NBP2-74239] - Analysis of Carcinoma of Human bladder tissue. (Heat-induced epitope retrieval by 1mM EDTA in 10mM Tris buffer (pH8.5) at 120C for 3 min)

Product Details

Summary
Reactivity HuSpecies Glossary
Applications WB, IHC
Clone
OTI6G9
Clonality
Monoclonal
Host
Mouse
Conjugate
Unconjugated
Format
Azide and BSA Free
Concentration
LYOPH

Order Details

SMCP Antibody (OTI6G9) - Azide and BSA Free Summary

Description
Novus Biologicals Mouse SMCP Antibody (OTI6G9) - Azide and BSA Free (NBP2-45888) is a monoclonal antibody validated for use in IHC and WB. All Novus Biologicals antibodies are covered by our 100% guarantee.
Immunogen
Full length human recombinant protein of human SMCP(NP_109588) produced in E.coli.
Isotype
IgG1
Clonality
Monoclonal
Host
Mouse
Gene
SMCP
Purity
Immunogen affinity purified
Innovator's Reward
Test in a species/application not listed above to receive a full credit towards a future purchase.

Applications/Dilutions

Dilutions
  • Immunohistochemistry 1:150
  • Immunohistochemistry-Paraffin
  • Western Blot 1:2000
Theoretical MW
12.6 kDa.
Disclaimer note: The observed molecular weight of the protein may vary from the listed predicted molecular weight due to post translational modifications, post translation cleavages, relative charges, and other experimental factors.

Packaging, Storage & Formulations

Storage
Store at -20C. Avoid freeze-thaw cycles.
Buffer
Lyophilized from PBS (pH 7.3) with 8% Trehalose
Preservative
No Preservative
Concentration
LYOPH
Purity
Immunogen affinity purified
Reconstitution Instructions
we recommend adding 100uL distilled water to a final antibody concentration of about 1 mg/mL. To use this carrier-free antibody for conjugation experiment, we strongly recommend performing another round of desalting process.

Alternate Names for SMCP Antibody (OTI6G9) - Azide and BSA Free

  • HSMCSGEN1
  • MCSMGC26305
  • MCSPMGC26519
  • mitochondrial capsule selenoprotein
  • sperm mitochondria-associated cysteine-rich protein
  • sperm mitochondrial-associated cysteine-rich protein

Background

Sperm mitochondria differ in morphology and subcellular localization from those of somatic cells. They are elongated,flattened, and arranged circumferentially to form a helical coiled sheath in the midpiece of the sperm flagellum. Theprotein encoded by this gene localizes to the capsule associated with the mitochondrial outer membranes and is thoughtto function in the organization and stabilization of the helical structure of the sperm's mitochondrial sheath.(provided by RefSeq)

Limitations

This product is for research use only and is not approved for use in humans or in clinical diagnosis. Primary Antibodies are guaranteed for 1 year from date of receipt.

Customers Who Viewed This Item Also Viewed...

NB100-2688
Species: Hu
Applications: Flow-CS, Flow, ICC/IF, IHC, IHC-Fr,  IHC-P, IP, KO, WB
MAB1455
Species: Hu
Applications: CyTOF-ready, Dual ISH-IHC, ICC, IHC, ICFlow, Simple Western, WB
NBP2-14243
Species: Hu, Mu
Applications: ICC/IF, IHC,  IHC-P, Simple Western, WB
NBP1-86241
Species: Hu
Applications: IHC,  IHC-P, WB
AF5539
Species: Hu, Mu, Rt
Applications: ICC, WB
NBP2-14260
Species: Hu, Mu, Rt
Applications: ICC/IF, IHC,  IHC-P
NBP2-43648
Species: Hu, Mu, Rt, Ze
Applications: ICC/IF, IHC,  IHC-P, WB
NBP2-20383
Species: Hu, Mu
Applications: ICC/IF, IHC,  IHC-P, WB
NBP3-15642
Species: Hu, Mu, Rt
Applications: ICC/IF, IHC,  IHC-P, WB
NBP2-02623
Species: Ca, Hu, Mu, Rt
Applications: Flow, ICC/IF, IHC,  IHC-P, WB
NBP1-90927
Species: Hu
Applications: IHC,  IHC-P, WB
AF1067
Species: Hu, Mu, Rt
Applications: ELISA, IHC, Neut, WB
NBP3-45661
Species: Hu, Mu, Rt
Applications: ELISA, IHC, WB
NBP2-45731
Species: Ca, Hu, Pm
Applications: IHC,  IHC-P, WB
AF3398
Species: Hu, Mu, Rt
Applications: ICC, KO, Simple Western, WB
M6000B
Species: Mu
Applications: ELISA
H00009242-M01
Species: Hu
Applications: ELISA, WB

Publications for SMCP Antibody (NBP2-74239) (0)

There are no publications for SMCP Antibody (NBP2-74239).
By submitting your publication information earn gift cards and discounts for future purchases.

Reviews for SMCP Antibody (NBP2-74239) (0)

There are no reviews for SMCP Antibody (NBP2-74239). By submitting a review you will receive an Amazon e-Gift Card or Novus Product Discount.
  • Review with no image -- $10/€7/£6/$10 CAD/¥70 Yuan/¥1110 Yen
  • Review with an image -- $25/€18/£15/$25 CAD/¥150 Yuan/¥2500 Yen

Product General Protocols

Find general support by application which include: protocols, troubleshooting, illustrated assays, videos and webinars.

Video Protocols

WB Video Protocol

FAQs for SMCP Antibody (NBP2-74239) (0)

There are no specific FAQs related to this product. Read our general customer & technical service FAQs.

Customers Who Bought This Also Bought

Contact Information

Product PDFs

Calculators

Concentration Calculator

The concentration calculator allows you to quickly calculate the volume, mass or concentration of your vial. Simply enter your mass, volume, or concentration values for your reagent and the calculator will determine the rest.

=
÷

Review this Product

Be the first to review our SMCP Antibody (OTI6G9) - Azide and BSA Free and receive a gift card or discount.

Bioinformatics

Gene Symbol SMCP