SMCHD1 Antibody (CL4270) - Azide and BSA Free

Images

 
Staining of human lymph node shows weak to moderate nuclear immunoreactivity in lymphoid cells.
Staining of human skeletal muscle shows no positivity as expected (negative control).
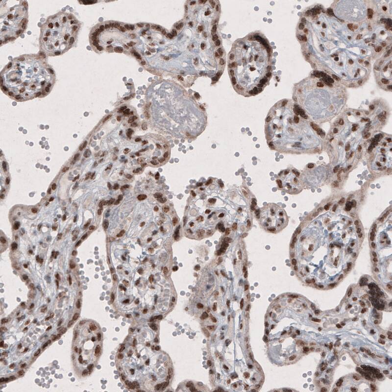
Staining of human placenta shows strong nuclear immunoreactivity in trophoblast.
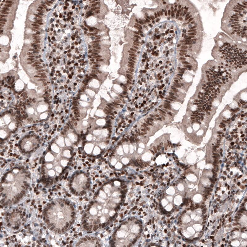
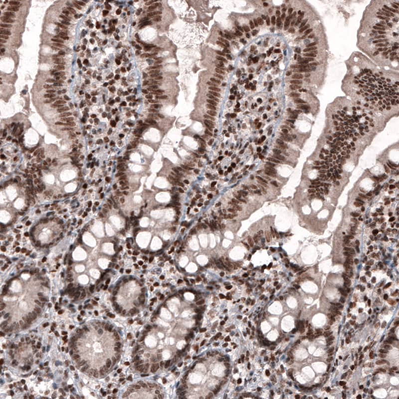
Staining of human small intestine shows strong nuclear immunoreactivity in glandular cells and in connective tissue cells.
Staining of U-2 OS cells using the Anti-SMCHD1 monoclonal antibody) .
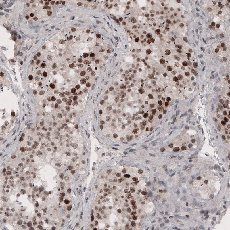
Staining of human testis shows moderate to strong nuclear positivity in seminiferous tubules cells.

Product Details

Summary
Reactivity HuSpecies Glossary
Applications ICC/IF, IHC
Clone
CL4270
Clonality
Monoclonal
Host
Mouse
Conjugate
Unconjugated
Format
Azide and BSA Free
Concentration
LYOPH

Order Details

SMCHD1 Antibody (CL4270) - Azide and BSA Free Summary

Description
Novus Biologicals Mouse SMCHD1 Antibody (CL4270) - Azide and BSA Free (NBP2-59046) is a monoclonal antibody validated for use in IHC and ICC/IF. All Novus Biologicals antibodies are covered by our 100% guarantee.
Immunogen
This antibody was generated using a recombinant protein sequence of A6NHR9, with the exact immunogen sequence remaining proprietary.
Isotype
IgG2b
Clonality
Monoclonal
Host
Mouse
Gene
SMCHD1
Purity
Protein A purified
Innovator's Reward
Test in a species/application not listed above to receive a full credit towards a future purchase.

Applications/Dilutions

Dilutions
  • Immunocytochemistry/ Immunofluorescence 2-10 ug/ml
  • Immunohistochemistry-Paraffin 1:50 - 1:200
Application Notes
For IHC-Paraffin, HIER pH 6 retrieval is recommended. Immunocytochemistry/Immunofluorescence Fixation Permeabilization: Use PFA/Triton X-100.

Packaging, Storage & Formulations

Storage
Store at 4C short term. Aliquot and store at -20C long term. Avoid freeze-thaw cycles.
Buffer
Lyophilized from a 0.2 um filtered solution in PBS with Trehalose
Preservative
No Preservative
Concentration
LYOPH
Purity
Protein A purified
Reconstitution Instructions
Centrifuge the vial of lyophilized antibody at 12,000 x g for 20 seconds. Reconstitute by adding sterile, distilled water to achieve a final antibody concentration of 1mg/ml.

Alternate Names for SMCHD1 Antibody (CL4270) - Azide and BSA Free

  • DKFZp686O0631
  • KIAA0650
  • structural maintenance of chromosomes flexible hinge domain containing 1
  • structural maintenance of chromosomes flexible hinge domain-containing protein 1

Limitations

This product is for research use only and is not approved for use in humans or in clinical diagnosis. Primary Antibodies are guaranteed for 1 year from date of receipt.

Customers Who Viewed This Item Also Viewed...

NB100-56519
Species: Bv, Hu, Mu, Po, Rt, Sh
Applications: ChIP, CyTOF-ready, Flow-IC, Flow, ICC/IF, IHC-FrFl, IHC, IHC-Fr,  IHC-P, IP, KD, Simple Western, WB
NBP2-16521
Species: Hu, Mu, Rt, Sq, Xp
Applications: ChIP, ICC/IF, IHC,  IHC-P, IP, KD, WB
NB100-55310
Species: Hu, Mu
Applications: IP, WB
NBP1-49552
Species: Hu
Applications: ELISA, ICC/IF, IHC, IHC-Fr,  IHC-P, Simple Western, WB
NB100-56340
Species: Hu, Mu, Rt
Applications: IHC, IHC-Fr,  IHC-P, KO, Simple Western, WB
NBP2-27098
Species: Hu, Pm
Applications: ICC/IF, IHC,  IHC-P, WB
NB120-13888
Species: Hu, Mu, Rt
Applications: ChIP, ChIP, CyTOF-ready, Flow, ICC/IF, IHC-WhMt, IHC, IHC-Fr,  IHC-P, KD, KO, WB
NB300-516
Species: Hu, Mu, Rt
Applications: ChIP, IHC,  IHC-P, KD, Simple Western, WB
NB600-279
Species: Hu
Applications: IHC,  IHC-P, IP, WB
NB100-93302
Species: Hu
Applications: ICC/IF, IHC,  IHC-P, IP, WB
NBP2-32901
Species: Hu, Rt
Applications: Flow, ICC/IF, IHC,  IHC-P, WB
NBP1-33527
Species: Hu, Mu, Rt
Applications: ICC/IF, IHC,  IHC-P, KO, Simple Western, WB
NB120-2928
Species: Hu, Mu, Pm, Rb, Rt, Sh
Applications: ICC/IF, IHC,  IHC-P, IP, WB
NBP2-20936
Species: Hu, Mu, Rt
Applications: ICC/IF, IHC,  IHC-P, KD, WB

Publications for SMCHD1 Antibody (NBP3-44089) (0)

There are no publications for SMCHD1 Antibody (NBP3-44089).
By submitting your publication information earn gift cards and discounts for future purchases.

Reviews for SMCHD1 Antibody (NBP3-44089) (0)

There are no reviews for SMCHD1 Antibody (NBP3-44089). By submitting a review you will receive an Amazon e-Gift Card or Novus Product Discount.
  • Review with no image -- $10/€7/£6/$10 CAD/¥70 Yuan/¥1110 Yen
  • Review with an image -- $25/€18/£15/$25 CAD/¥150 Yuan/¥2500 Yen

Product General Protocols

Find general support by application which include: protocols, troubleshooting, illustrated assays, videos and webinars.

Video Protocols

ICC/IF Video Protocol

FAQs for SMCHD1 Antibody (NBP3-44089) (0)

There are no specific FAQs related to this product. Read our general customer & technical service FAQs.

Secondary Antibodies

 

Isotype Controls

Additional SMCHD1 Products

Research Areas for SMCHD1 Antibody (NBP3-44089)

Find related products by research area.

Blogs on SMCHD1

There are no specific blogs for SMCHD1, but you can read our latest blog posts.

Customers Who Bought This Also Bought

Contact Information

Product PDFs

Calculators

Concentration Calculator

The concentration calculator allows you to quickly calculate the volume, mass or concentration of your vial. Simply enter your mass, volume, or concentration values for your reagent and the calculator will determine the rest.

=
÷

Review this Product

Be the first to review our SMCHD1 Antibody (CL4270) - Azide and BSA Free and receive a gift card or discount.

Bioinformatics

Gene Symbol SMCHD1