SmarcAL1 Antibody (PCRP-SMARCAL1-1C4) - Azide and BSA Free

Images

 
Analysis of Protein Array containing more than 19,000 full-length human proteins using SMARCAL1 Mouse Monoclonal Antibody (PCRP-SMARCAL1-1C4)
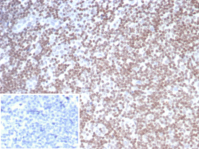
Formalin-fixed, paraffin-embedded human tonsil stained with SmarcAL1 antibody (PCRP-SMARCAL1-1C4). Inset: PBS instead of primary antibody; secondary only negative control.
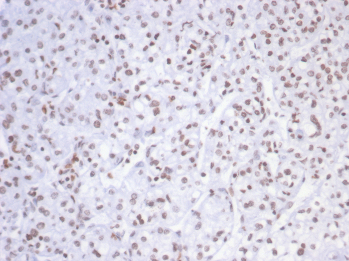
Formalin-fixed, paraffin-embedded human kidney carcinoma stained with SmarcAL1 antibody (PCRP-SMARCAL1-1C4). HIER: Tris/EDTA, pH9.0, 45min. Secondary: HRP-polymer, 30min. DAB, 5min.

Product Details

Summary
Reactivity HuSpecies Glossary
Applications IHC
Clone
PCRP-SMARCAL1-1C4
Clonality
Monoclonal
Host
Mouse
Conjugate
Unconjugated
Format
Azide and BSA Free
Concentration
1 mg/ml

Order Details

SmarcAL1 Antibody (PCRP-SMARCAL1-1C4) - Azide and BSA Free Summary

Description
Positive Controls: HeLa whole cell lysate. Human prostate or breast carcinoma.

Antibody with azide - store at 2 to 8C. Antibody without azide - store at -20 to -80C. Non-hazardous. No MSDS required.
Immunogen
Recombinant full-length human SmarcAL1 protein
Localization
Nucleus.
Isotype
IgG2c Kappa
Clonality
Monoclonal
Host
Mouse
Gene
SMARCAL1
Purity
Protein A or G purified
Innovator's Reward
Test in a species/application not listed above to receive a full credit towards a future purchase.

Applications/Dilutions

Dilutions
  • Immunohistochemistry-Paraffin 1-2 ug/ml
Application Notes
Immunohistochemistry (Formalin-fixed): 1-2ug/ml for 30 minutes. at RT. Staining of formalin-fixed tissues requires heating tissue sections in 10mM Tris with 1mM EDTA, pH 9.0, for 45 min at 95C followed by cooling at RT for 20 minutes.

Optimal dilution for a specific application should be determined.

Packaging, Storage & Formulations

Storage
Store at -20 to -70C. Avoid freeze-thaw cycles.
Buffer
10mM PBS
Preservative
No Preservative
Concentration
1 mg/ml
Purity
Protein A or G purified

Alternate Names for SmarcAL1 Antibody (PCRP-SMARCAL1-1C4) - Azide and BSA Free

  • ATP-driven annealing helicase
  • EC 3.6.1
  • EC 3.6.4.-
  • HARPSWI/SNF-related matrix-associated actin-dependent regulator of chromatinsubfamily A-like protein 1
  • HepA-related protein
  • HHARP
  • SIOD
  • SMARCA-like protein 1
  • subfamily a-like 1
  • Sucrose nonfermenting protein 2-like 1
  • SWI/SNF related, matrix associated, actin dependent regulator of chromatin

Background

SmarcAL1 is encoded by this gene is a member of the SWI/SNF family of proteins. Members of this family have helicase and ATPase activities and are thought to regulate transcription of certain genes by altering the chromatin structure around those genes. The encoded protein shows sequence similarity to the E. coli RNA polymerase-binding protein HepA. Mutations in this gene are a cause of Schimke immunoosseous dysplasia (SIOD), an autosomal recessive disorder with the diagnostic features of spondyloepiphyseal dysplasia, renal dysfunction, and T-cell immunodeficiency.

Limitations

This product is for research use only and is not approved for use in humans or in clinical diagnosis. Primary Antibodies are guaranteed for 1 year from date of receipt.

Customers Who Viewed This Item Also Viewed...

AF-252-PB
Species: Hu
Applications: IHC, WB
NBP2-61879
Species: Hu, Mu
Applications: ELISA, Flow, IHC,  IHC-P, WB
AF5738
Species: Hu
Applications: ICC, KO, Simple Western, WB
NBP3-13283
Species: Hu, Mu, Rt
Applications: ICC/IF, IHC,  IHC-P, WB
DVE00
Species: Hu
Applications: ELISA
NBP2-93301
Species: Hu, Mu, Rt
Applications: ELISA, WB
NBP2-45677
Species: Hu, Pm
Applications: IHC,  IHC-P, WB
NBP1-83077
Species: Hu
Applications: ICC/IF, IHC,  IHC-P, KD, WB
NBP1-76544
Species: Hu, Mu, Rt
Applications: ELISA, ICC/IF, IHC,  IHC-P, Simple Western, WB
H00004598-M02
Species: Hu
Applications: ELISA, IHC,  IHC-P, S-ELISA, WB
NBP2-59376
Species: Hu, Mu, Rt
Applications: ICC/IF, IHC,  IHC-P, IP, WB
H00000081-M01
Species: Hu, Pm, Mu, Rt
Applications: ELISA, ICC/IF, IHC,  IHC-P, WB
233-FB
Species: Hu
Applications: BA
MAB1455
Species: Hu
Applications: CyTOF-ready, Dual ISH-IHC, ICC, IHC, ICFlow, Simple Western, WB
NBP1-89766
Species: Hu, Mu, Rt
Applications: ICC/IF, IHC,  IHC-P, WB
NBP3-20733
Species: Hu
Applications: IHC

Publications for SmarcAL1 Antibody (NBP3-20733) (0)

There are no publications for SmarcAL1 Antibody (NBP3-20733).
By submitting your publication information earn gift cards and discounts for future purchases.

Reviews for SmarcAL1 Antibody (NBP3-20733) (0)

There are no reviews for SmarcAL1 Antibody (NBP3-20733). By submitting a review you will receive an Amazon e-Gift Card or Novus Product Discount.
  • Review with no image -- $10/€7/£6/$10 CAD/¥70 Yuan/¥1110 Yen
  • Review with an image -- $25/€18/£15/$25 CAD/¥150 Yuan/¥2500 Yen

Product General Protocols

Find general support by application which include: protocols, troubleshooting, illustrated assays, videos and webinars.

FAQs for SmarcAL1 Antibody (NBP3-20733) (0)

There are no specific FAQs related to this product. Read our general customer & technical service FAQs.

Secondary Antibodies

 

Isotype Controls

Additional SmarcAL1 Products

Research Areas for SmarcAL1 Antibody (NBP3-20733)

Find related products by research area.

Blogs on SmarcAL1

There are no specific blogs for SmarcAL1, but you can read our latest blog posts.

Customers Who Bought This Also Bought

Contact Information

Product PDFs

Calculators

Concentration Calculator

The concentration calculator allows you to quickly calculate the volume, mass or concentration of your vial. Simply enter your mass, volume, or concentration values for your reagent and the calculator will determine the rest.

=
÷

Review this Product

Be the first to review our SmarcAL1 Antibody (PCRP-SMARCAL1-1C4) - Azide and BSA Free and receive a gift card or discount.

Bioinformatics

Gene Symbol SMARCAL1