Smad4 Antibody (SP05-05)

Images

 
Western Blot: Smad4 Antibody (SP05-05) [NBP2-67372] - Western blot analysis of Smad4 on different lysates. Proteins were transferred to a PVDF membrane and blocked with 5% BSA in PBS for 1 hour at room temperature. The ...read more
Immunocytochemistry/ Immunofluorescence: Smad4 Antibody (SP05-05) [NBP2-67372] - Staining Smad4 in MCF-7 cells (green). The nuclear counter stain is DAPI (blue). Cells were fixed in paraformaldehyde, permeabilised with ...read more
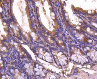
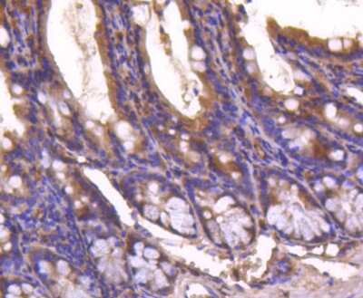
Immunohistochemistry-Paraffin: Smad4 Antibody (SP05-05) [NBP2-67372] - Analysis of paraffin-embedded mouse colon tissue using anti-Smad4 antibody. Counter stained with hematoxylin.
Flow Cytometry: Smad4 Antibody (SP05-05) [NBP2-67372] - Analysis of SH-SY-5Y cells with Smad4 antibody at 1/50 dilution (red) compared with an unlabelled control (cells without incubation with primary antibody; black). ...read more
Western Blot: Smad4 Antibody (SP05-05) [NBP2-67372] - Analysis of Smad4 on PC-12 cells lysates using anti-Smad4 antibody at 1/1,000 dilution.
Immunocytochemistry/ Immunofluorescence: Smad4 Antibody (SP05-05) [NBP2-67372] - Staining Smad4 in Hela cells (green). The nuclear counter stain is DAPI (blue). Cells were fixed in paraformaldehyde, permeabilised with ...read more
Immunocytochemistry/ Immunofluorescence: Smad4 Antibody (SP05-05) [NBP2-67372] - Staining Smad4 in SH-SY-5Y cells (green). The nuclear counter stain is DAPI (blue). Cells were fixed in paraformaldehyde, permeabilised ...read more
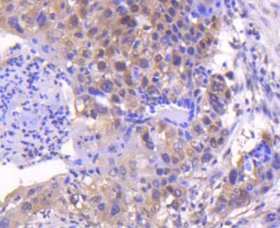
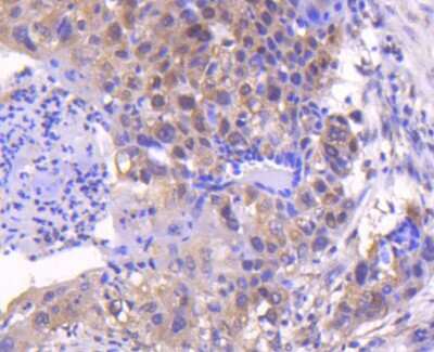
Immunohistochemistry-Paraffin: Smad4 Antibody (SP05-05) [NBP2-67372] - Analysis of paraffin-embedded human breast carcinoma tissue using anti-Smad4 antibody. Counter stained with hematoxylin.
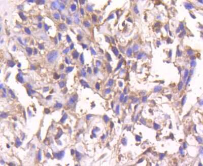
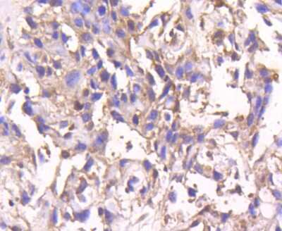
Immunohistochemistry-Paraffin: Smad4 Antibody (SP05-05) [NBP2-67372] - Analysis of paraffin-embedded human lung cancer tissue using anti-Smad4 antibody. Counter stained with hematoxylin.
Immunohistochemistry-Paraffin: Smad4 Antibody (SP05-05) [NBP2-67372] - Analysis of paraffin-embedded mouse brain tissue using anti-Smad4 antibody. Counter stained with hematoxylin.

Product Details

Summary
Product Discontinued
View other related Smad4 Primary Antibodies

Order Details


    • Catalog Number
      NBP2-67372
    • Availability
      Product Discontinued

    Can't find what you are looking for? Use our Antibody Concierge Service & we will help you locate your antibody!

    Or feel free to contact us for alternative products.

Smad4 Antibody (SP05-05) Summary

Additional Information
Recombinant Monoclonal Antibody.
Immunogen
Synthetic peptide within C-terminal human Smad4. (SwissProt: Q13485 Human; SwissProt: P97471 Mouse; SwissProt: O70437 Rat)
Localization
Cytoplasm, Nucleus.
Isotype
IgG
Clonality
Monoclonal
Host
Rabbit
Gene
SMAD4
Purity
Protein A purified
Innovator's Reward
Test in a species/application not listed above to receive a full credit towards a future purchase.

Applications/Dilutions

Dilutions
  • Flow Cytometry 1:50-1:100
  • Immunocytochemistry/ Immunofluorescence 1:50-1:200
  • Immunohistochemistry
  • Immunohistochemistry-Paraffin 1:50-1:200
  • Western Blot 1:500-1:2000
Publications
Read Publication using
NBP2-67372 in the following applications:

Packaging, Storage & Formulations

Storage
Store at 4C short term. Aliquot and store at -20C long term. Avoid freeze-thaw cycles.
Buffer
TBS (pH7.4), 0.05% BSA, 40% Glycerol
Preservative
0.05% Sodium Azide
Concentration
1 mg/ml
Purity
Protein A purified

Alternate Names for Smad4 Antibody (SP05-05)

  • DPC4
  • DPC4SMAD, mothers against DPP homolog 4 (Drosophila)
  • hSMAD4
  • JIP
  • MAD homolog 4
  • MADH4
  • MADH4mothers against decapentaplegic homolog 4
  • mothers against decapentaplegic homolog 4
  • mothers against decapentaplegic, Drosophila, homolog of, 4
  • SMAD 4
  • SMAD family member 4MAD, mothers against decapentaplegic homolog 4 (Drosophila)
  • SMAD, mothers against DPP homolog 4
  • Smad4

Background

Smad proteins, the mammalian homologs of the Drosophila Mothers against dpp (Mad) have been implicated as downstream effectors of TGFbeta/BMP signaling. Smad1 (also designated Madr1 or JV4-1), Smad5 and mammalian Smad8 (also designated Smad9 or MadH6) are effectors of BMP2 and BMP4 function while Smad2 (also designated Madr2 or JV18-1) and Smad3 are involved in TGFbeta and activin-mediated growth modulation. Smad4 (also designated DPC4) has been shown to mediate all of the above activities through interaction with various Smad family members. Smad6 and Smad7 regulate the response to activin/TGFbeta signaling by interfering with TGFbeta-mediated phosphorylation of other Smad family members.

Limitations

This product is for research use only and is not approved for use in humans or in clinical diagnosis. Primary Antibodies are guaranteed for 1 year from date of receipt.

Customers Who Viewed This Item Also Viewed...

AF3797
Species: Hu, Mu
Applications: ChIP, ICC, IHC, Simple Western, WB
NB100-56479
Species: Bv, Ca, Hu, Mu, Po, Pm, Rt
Applications: ICC/IF, IHC,  IHC-P, Simple Western, WB
NB200-103
Species: Hu, Mu, Rt, Xp(-), Ye
Applications: CyTOF-ready, ELISA, Flow-IC, Flow, ICC/IF, IHC, IHC-Fr,  IHC-P, IP, WB
7754-BH/CF
Species: Hu
Applications: BA
MAB2029
Species: Hu, Mu, Rt
Applications: IHC, Simple Western, WB
NB200-106
Species: Mu, Rt
Applications: ELISA, ICC/IF, IHC, IHC-Fr,  IHC-P, WB
AF2039
Species: Hu
Applications: IHC, Simple Western, WB
NBP1-85533
Species: Hu
Applications: ICC/IF, IHC,  IHC-P, WB
NBP2-29463
Species: Pm, Hu, Pm, Mu
Applications: Flow, ICC/IF, IHC,  IHC-P, WB
355-BM
Species: Hu, Mu, Rt
Applications: BA
AF3025
Species: Hu
Applications: ELISA, ICC, WB
NBP2-67471
Species: Hu, Mu, Rt
Applications: ICC/IF, IHC,  IHC-P, WB
NBP2-42864
Species: Hu, Mu, Rt
Applications: ICC/IF, IHC,  IHC-P, IP, WB
AF1230
Species: Hu, Mu, Rt
Applications: IHC, KO, WB
NB100-91662
Species: Hu, Mu, Rt
Applications: Flow, ICC/IF, IHC,  IHC-P, Simple Western, WB
NBP2-67394
Species: Hu, Mu, Rt
Applications: ICC/IF, IHC,  IHC-P, WB
314-BP
Species: Hu
Applications: BA, BA
NBP2-46085
Species: Hu
Applications: IHC,  IHC-P, WB
H00027065-M01
Species: Hu, Rt
Applications: ELISA, ICC/IF, S-ELISA, WB
NBP2-67372
Species: Hu, Mu, Rt
Applications: WB, Flow, ICC/IF, IHC

Publications for Smad4 Antibody (NBP2-67372)(1)

We have publications tested in 1 confirmed species: Human.

We have publications tested in 1 application: ICC/IF.


Filter By Application
ICC/IF
(1)
All Applications
Filter By Species
Human
(1)
All Species

Reviews for Smad4 Antibody (NBP2-67372) (0)

There are no reviews for Smad4 Antibody (NBP2-67372). By submitting a review you will receive an Amazon e-Gift Card or Novus Product Discount.
  • Review with no image -- $10/€7/£6/$10 CAD/¥70 Yuan/¥1110 Yen
  • Review with an image -- $25/€18/£15/$25 CAD/¥150 Yuan/¥2500 Yen

Product General Protocols

Find general support by application which include: protocols, troubleshooting, illustrated assays, videos and webinars.

Video Protocols

WB Video Protocol
ICC/IF Video Protocol

FAQs for Smad4 Antibody (NBP2-67372) (0)

There are no specific FAQs related to this product. Read our general customer & technical service FAQs.

Secondary Antibodies

 

Isotype Controls

Additional Smad4 Products

Research Areas for Smad4 Antibody (NBP2-67372)

Find related products by research area.

Blogs on Smad4

There are no specific blogs for Smad4, but you can read our latest blog posts.

Contact Information

Product PDFs

Calculators

Concentration Calculator

The concentration calculator allows you to quickly calculate the volume, mass or concentration of your vial. Simply enter your mass, volume, or concentration values for your reagent and the calculator will determine the rest.

=
÷

Review this Product

Be the first to review our Smad4 Antibody (SP05-05) and receive a gift card or discount.

Bioinformatics

Gene Symbol SMAD4