SLITRK5 Antibody - BSA Free

Images

 
Immunocytochemistry/ Immunofluorescence: SLITRK5 Antibody [NBP1-90798] - Immunofluorescent staining of human cell line A-431 shows localization to nucleoplasm & the Golgi apparatus.
Immunohistochemistry-Paraffin: SLITRK5 Antibody [NBP1-90798] - Staining of human cerebral cortex shows strong nuclear and cytoplasmic positivity in neuronal cell and glial cells.
Staining of human rectum shows strong nuclear and cytoplasmic positivity in glandular cells.
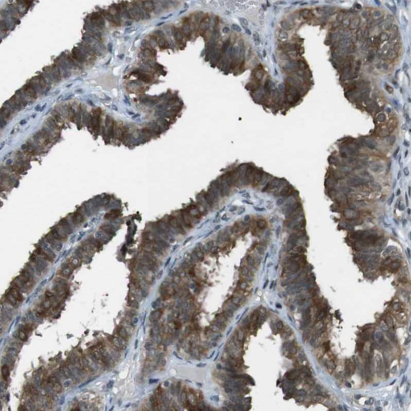
Staining of human fallopian tube shows strong cytoplasmic positivity in glandular cells.
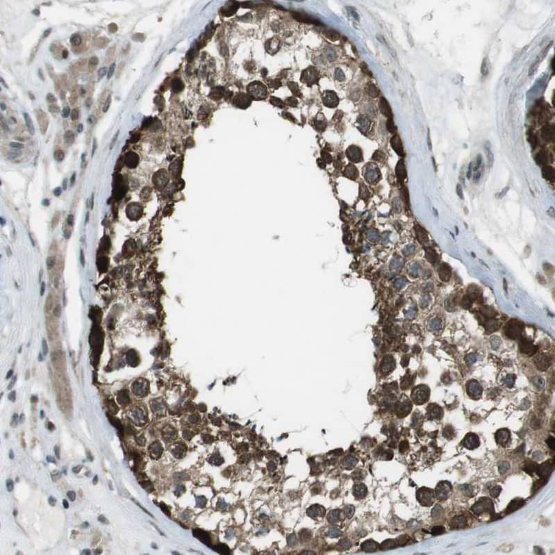
Staining of human testis shows strong nuclear and cytoplasmic positivity in cells in seminiferous ducts.
Staining of human cerebral cortex shows strong nuclear and cytoplasmic positivity in neurons.

Product Details

Summary
Reactivity Hu, MuSpecies Glossary
Applications ICC/IF, IHC
Clonality
Polyclonal
Host
Rabbit
Conjugate
Unconjugated
Format
BSA Free

Order Details

View Available Formulations
Catalog# & Formulation Size Price

SLITRK5 Antibody - BSA Free Summary

Description
Novus Biologicals Rabbit SLITRK5 Antibody - BSA Free (NBP1-90798) is a polyclonal antibody validated for use in IHC and ICC/IF. All Novus Biologicals antibodies are covered by our 100% guarantee.
Immunogen
This antibody was developed against Recombinant Protein corresponding to amino acids: LKSLIQIDLHDNPWDCTCDIVGMKLWVEQLKVGVLVDEVICKAPKKFAETDMRSIKSELLCPDYSDVVVSTPTPSSIQVPARTSAVTPAVRLNSTGAPASLGAGGGASSVPL
Predicted Species
Mouse (91%). Backed by our 100% Guarantee.
Isotype
IgG
Clonality
Polyclonal
Host
Rabbit
Gene
SLITRK5
Purity
Immunogen affinity purified
Innovator's Reward
Test in a species/application not listed above to receive a full credit towards a future purchase.

Applications/Dilutions

Dilutions
  • Immunocytochemistry/ Immunofluorescence 0.25-2 ug/ml
  • Immunohistochemistry 1:20 - 1:50
  • Immunohistochemistry-Paraffin 1:20 - 1:50
Application Notes
For IHC-Paraffin, HIER pH 6 retrieval is recommended. Immunocytochemistry/Immunofluorescence Fixation Permeabilization: Use PFA/Triton X-100.
Control Peptide
SLITRK5 Protein (NBP1-90798PEP)

Reactivity Notes

Immunogen displays the following percentage of sequence identity for non-tested species: Mouse (88%).

Packaging, Storage & Formulations

Storage
Store at 4C short term. Aliquot and store at -20C long term. Avoid freeze-thaw cycles.
Buffer
PBS (pH 7.2) and 40% Glycerol
Preservative
0.02% Sodium Azide
Purity
Immunogen affinity purified

Alternate Names for SLITRK5 Antibody - BSA Free

  • bA364G4.2
  • FLJ58374
  • KIAA0918
  • leucine-rich repeat-containing protein 11
  • LRRC11
  • SLIT and NTRK-like family, member 5
  • SLIT and NTRK-like protein 5
  • SLITRK5

Limitations

This product is for research use only and is not approved for use in humans or in clinical diagnosis. Primary Antibodies are guaranteed for 1 year from date of receipt.

Customers Who Viewed This Item Also Viewed...

NBP1-76876
Species: Hu, Mu, Rt
Applications: ELISA, ICC/IF, IHC,  IHC-P, WB
NBP1-49541
Species: Hu, Mu
Applications: ICC/IF, IHC, WB
NBP2-81840
Species: Hu, Mu, Rt
Applications: ELISA, ICC/IF, IHC,  IHC-P, WB
NBP2-83058
Species: Hu
Applications: WB
NBP2-81808
Species: Hu, Mu
Applications: ELISA, ICC/IF, IHC,  IHC-P, WB
DBD00
Species: Hu
Applications: ELISA
NBP1-80726
Species: Hu
Applications: ICC/IF, IHC,  IHC-P, WB
NBP2-56826
Species: Hu
Applications: ICC/IF
NBP2-55947
Species: Hu
Applications: ICC/IF
NBP1-76878
Species: Hu, Mu, Rt
Applications: ELISA, ICC/IF, IHC,  IHC-P, WB
MAB1005
Species: Hu
Applications: IHC, WB
NBP3-48749
Species: Hu, Mu, Rt
Applications: ICC/IF, IHC,  IHC-P, WB
AF1056
Species: Rt
Applications: IHC, WB
NBP2-24737
Species: Hu, Mu, Rt
Applications: ChIP, CyTOF-ready, Flow-IC, Flow, ICC/IF, IHC, IHC-Fr,  IHC-P, IP, Simple Western, WB
H00117581-M01
Species: Hu, Mu
Applications: ChIP, ELISA, ICC/IF, IHC,  IHC-P, WB
NBP1-32730
Species: Hu, Mu, Xp
Applications: ICC/IF, IHC,  IHC-P, WB
NBP1-84843
Species: Hu
Applications: ICC/IF, IHC,  IHC-P, WB
NBP1-90798
Species: Hu, Mu
Applications: ICC/IF, IHC

Publications for SLITRK5 Antibody (NBP1-90798) (0)

There are no publications for SLITRK5 Antibody (NBP1-90798).
By submitting your publication information earn gift cards and discounts for future purchases.

Reviews for SLITRK5 Antibody (NBP1-90798) (0)

There are no reviews for SLITRK5 Antibody (NBP1-90798). By submitting a review you will receive an Amazon e-Gift Card or Novus Product Discount.
  • Review with no image -- $10/€7/£6/$10 CAD/¥70 Yuan/¥1110 Yen
  • Review with an image -- $25/€18/£15/$25 CAD/¥150 Yuan/¥2500 Yen

Product General Protocols

Find general support by application which include: protocols, troubleshooting, illustrated assays, videos and webinars.

Video Protocols

ICC/IF Video Protocol

FAQs for SLITRK5 Antibody (NBP1-90798) (0)

There are no specific FAQs related to this product. Read our general customer & technical service FAQs.

Secondary Antibodies

 

Isotype Controls

Additional SLITRK5 Products

Research Areas for SLITRK5 Antibody (NBP1-90798)

Find related products by research area.

Blogs on SLITRK5

There are no specific blogs for SLITRK5, but you can read our latest blog posts.

Customers Who Bought This Also Bought

Contact Information

Product PDFs

Calculators

Concentration Calculator

The concentration calculator allows you to quickly calculate the volume, mass or concentration of your vial. Simply enter your mass, volume, or concentration values for your reagent and the calculator will determine the rest.

=
÷

Review this Product

Be the first to review our SLITRK5 Antibody - BSA Free and receive a gift card or discount.

Bioinformatics

Gene Symbol SLITRK5