SLC25A15 Antibody - BSA Free

Images

 
Sample (30 ug of whole cell lysate) A: Raji 12% SDS PAGE NBP2-20387 diluted at 1:1000
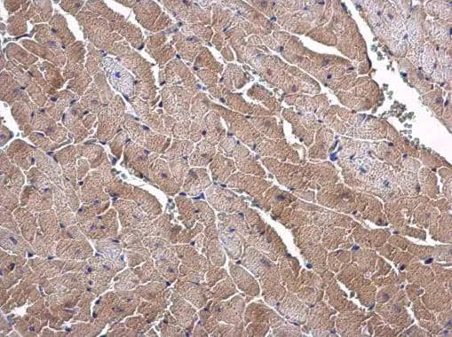
ORNT1 antibody [N1C3-2] detects ORNT1 protein at cytoplasm in mouse heart by immunohistochemical analysis. Sample: Paraffin-embedded mouse heart. ORNT1 antibody [N1C3-2] (NBP2-20387) diluted at 1:500. br>Antigen ...read more

Product Details

Summary
Reactivity Hu, Mu, Rt, Po, Bv, ShSpecies Glossary
Applications WB, IHC
Clonality
Polyclonal
Host
Rabbit
Conjugate
Unconjugated
Format
BSA Free

Order Details

SLC25A15 Antibody - BSA Free Summary

Description
Novus Biologicals Rabbit SLC25A15 Antibody - BSA Free (NBP2-20387) is a polyclonal antibody validated for use in IHC and WB. Anti-SLC25A15 Antibody: Cited in 2 publications. All Novus Biologicals antibodies are covered by our 100% guarantee.
Immunogen
Recombinant protein encompassing a sequence within the center region of human SLC25A15. The exact sequence is proprietary.
Localization
Mitochondrion inner membrane; Multi-pass membrane protein
Predicted Species
Rat (94%), Porcine (97%), Bovine (95%), Sheep (94%). Backed by our 100% Guarantee.
Isotype
IgG
Clonality
Polyclonal
Host
Rabbit
Gene
SLC25A15
Purity
Antigen Affinity-purified
Innovator's Reward
Test in a species/application not listed above to receive a full credit towards a future purchase.

Applications/Dilutions

Dilutions
  • Immunohistochemistry 1:100-1:1000
  • Immunohistochemistry-Paraffin 1:100-1:1000
  • Western Blot 1:500-1:3000
Theoretical MW
33 kDa.
Disclaimer note: The observed molecular weight of the protein may vary from the listed predicted molecular weight due to post translational modifications, post translation cleavages, relative charges, and other experimental factors.
Reviewed Applications
Read 1 Review rated 3
using
NBP2-20387 in the following applications:

Publications
Read Publications using
NBP2-20387 in the following applications:

  • 1 publication
  • WB
    2 publications

Reactivity Notes

Immunogen displays the following percentage of sequence identity for non-tested species: Chicken (81%).

Packaging, Storage & Formulations

Storage
Aliquot and store at -20C or -80C. Avoid freeze-thaw cycles.
Buffer
0.1M Tris, 0.1M Glycine, 20% Glycerol
Preservative
0.01% Thimerosal
Purity
Antigen Affinity-purified

Alternate Names for SLC25A15 Antibody - BSA Free

  • D13S327
  • mitochondrial ornithine transporter 1
  • ORC1
  • ornithine transporter 1
  • ORNT1HHH
  • solute carrier family 25 (mitochondrial carrier; ornithine transporter) member15
  • Solute carrier family 25 member 15

Background

The SLC25A15 gene encodes the mitochondrial ornithine transporter, which transports ornithine across the inner mitochondrial membrane from the cytosol to the mitochondrial matrix. This is a vital step in the urea cycle, which serves to eliminate toxic ammonium ions from the breakdown of nitrogen (Camacho et al., 1999 [PubMed 10369256]).[supplied by OMIM]

Limitations

This product is for research use only and is not approved for use in humans or in clinical diagnosis. Primary Antibodies are guaranteed for 1 year from date of receipt.

Customers Who Viewed This Item Also Viewed...

NBP3-45326
Species: Hu, Mu, Rt
Applications: ELISA, IHC, WB
NBP2-15837
Species: Hu, Mu, Rt
Applications: ICC/IF, IHC,  IHC-P, WB
H00004999-M01
Species: Hu
Applications: ELISA, IHC,  IHC-P, S-ELISA, WB
NBP2-19804
Species: Hu, Mu
Applications: ICC/IF, IHC,  IHC-P, WB
NB100-798
Species: Hu, Mu
Applications: PEP-ELISA, WB
NBP3-38152
Species: Hu, Mu, Rt
Applications: ELISA, IHC,  IHC-P, WB
NBP1-82476
Species: Hu
Applications: ICC/IF, IHC,  IHC-P
NB500-106
Species: Ch, Dr, Fi, Hu, Mar, Mu, Po, Pm, Rb, Rt, Ye, Ze
Applications: ChIP, ChIP, ELISA, Flow, ICC/IF, IHC-FrFl, IHC, IHC-Fr,  IHC-P, IP, Simple Western, WB
NB100-2567
Species: Hu
Applications: IHC,  IHC-P, IP, WB
NBP1-87039
Species: Hu
Applications: ChIP-EXO-SEQ, ICC/IF, IHC,  IHC-P, WB
H00004176-M01
Species: Hu
Applications: ELISA, ICC/IF, IHC,  IHC-P, PLA, WB
NB100-796
Species: Hu
Applications: IHC,  IHC-P, PEP-ELISA, WB
NBP1-33105
Species: Hu, Mu
Applications: ChIP, ICC/IF, IHC,  IHC-P, IP, WB
NBP1-85729
Species: Hu, Mu, Rt
Applications: ICC/IF, IHC,  IHC-P, WB
NBP3-15386
Species: Hu, Mu, Rt
Applications: ICC/IF, IHC,  IHC-P, IP, WB
NBP1-87408
Species: Hu, Mu
Applications: ICC/IF, IHC,  IHC-P, Simple Western, WB
NB110-57130
Species: ChHa, Hu, Mu, Pm, Rt
Applications: ChIP, DB, ELISA, Flow-IC, Flow, ICC/IF, IHC,  IHC-P, IP, KD, Simple Western, WB
NBP2-29463
Species: Pm, Hu, Pm, Mu
Applications: Flow, ICC/IF, IHC,  IHC-P, WB
⚠ WARNING: This product can expose you to chemicals including mercury, which is known to the State of California to cause reproductive toxicity with developmental effects.  For more information go to www.P65Warnings.ca.gov.

Publications for SLC25A15 Antibody (NBP2-20387)(2)

We have publications tested in 1 confirmed species: Human.

We have publications tested in 2 applications: IHC-P, WB.


Filter By Application
IHC-P
(1)
WB
(2)
All Applications
Filter By Species
Human
(2)
All Species

Review for SLC25A15 Antibody (NBP2-20387) (1) 31

Average Rating: 3
(Based on 1 review)
We have 1 review tested in 1 species: Human.

Reviews using NBP2-20387:
Filter by Applications
WB
(1)
All Applications
Filter by Species
Human
(1)
All Species
Images Ratings Applications Species Date Details
Western Blot SLC25A15 NBP2-20387
Enlarge
3
reviewed by:
Verified Customer
WB Human 07/26/2015
View

Summary

ApplicationWestern Blot
Sample Testedhela whole cell lysate, primary hepatocyte lysate
SpeciesHuman

Product General Protocols

Find general support by application which include: protocols, troubleshooting, illustrated assays, videos and webinars.

Video Protocols

WB Video Protocol

FAQs for SLC25A15 Antibody (NBP2-20387) (0)

There are no specific FAQs related to this product. Read our general customer & technical service FAQs.

Customers Who Bought This Also Bought

Contact Information

Product PDFs

Calculators

Concentration Calculator

The concentration calculator allows you to quickly calculate the volume, mass or concentration of your vial. Simply enter your mass, volume, or concentration values for your reagent and the calculator will determine the rest.

=
÷

Recent Reviews

3
5
0
4
0
3
1
2
0
1
0

Verified Customer
07/26/2015
Application: WB
Species: Human

Bioinformatics

Gene Symbol SLC25A15
Uniprot