SLC22A2/OCT2 Antibody (CL0631) - Azide and BSA Free

Images

 
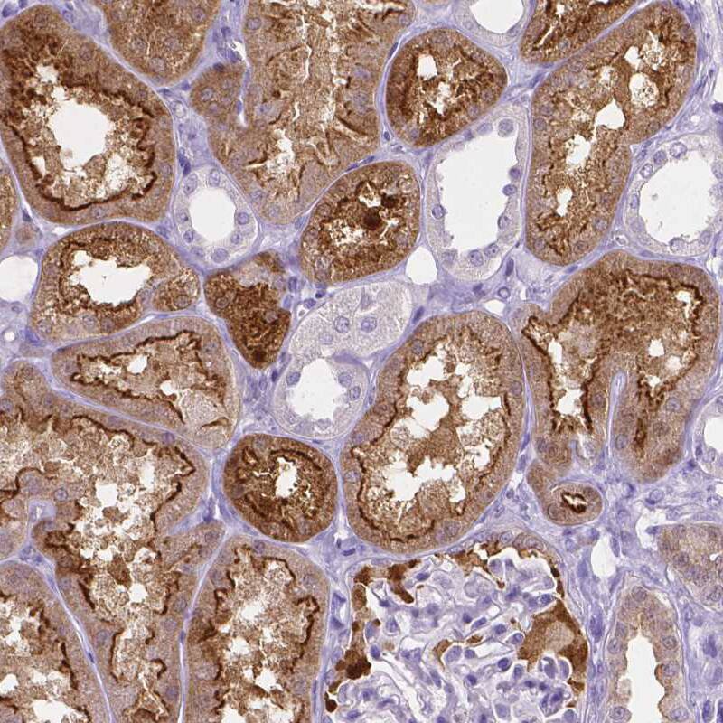
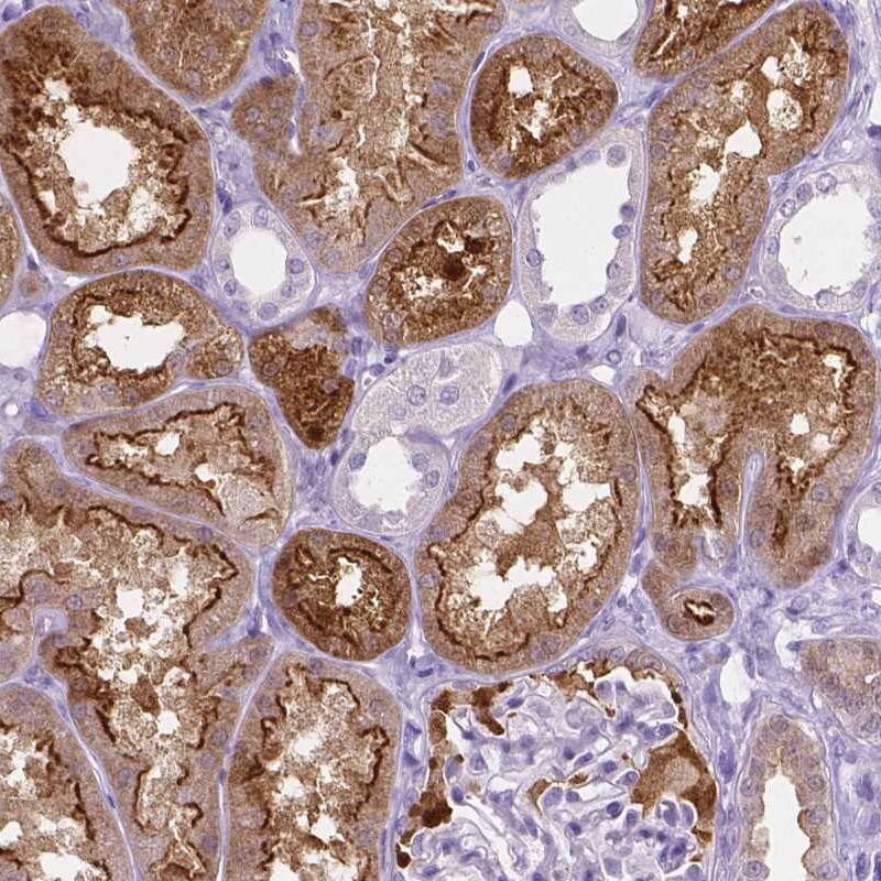
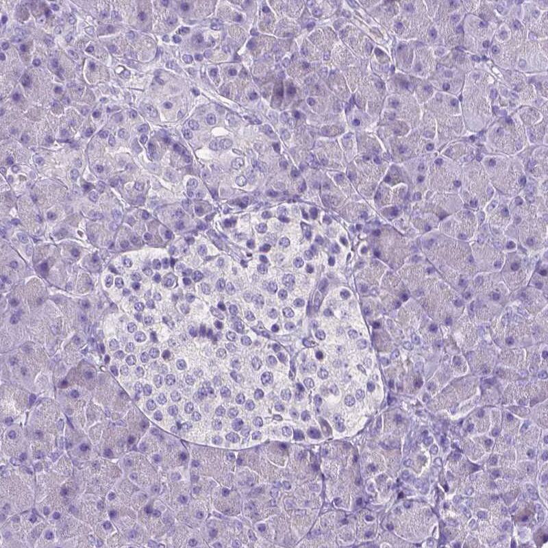
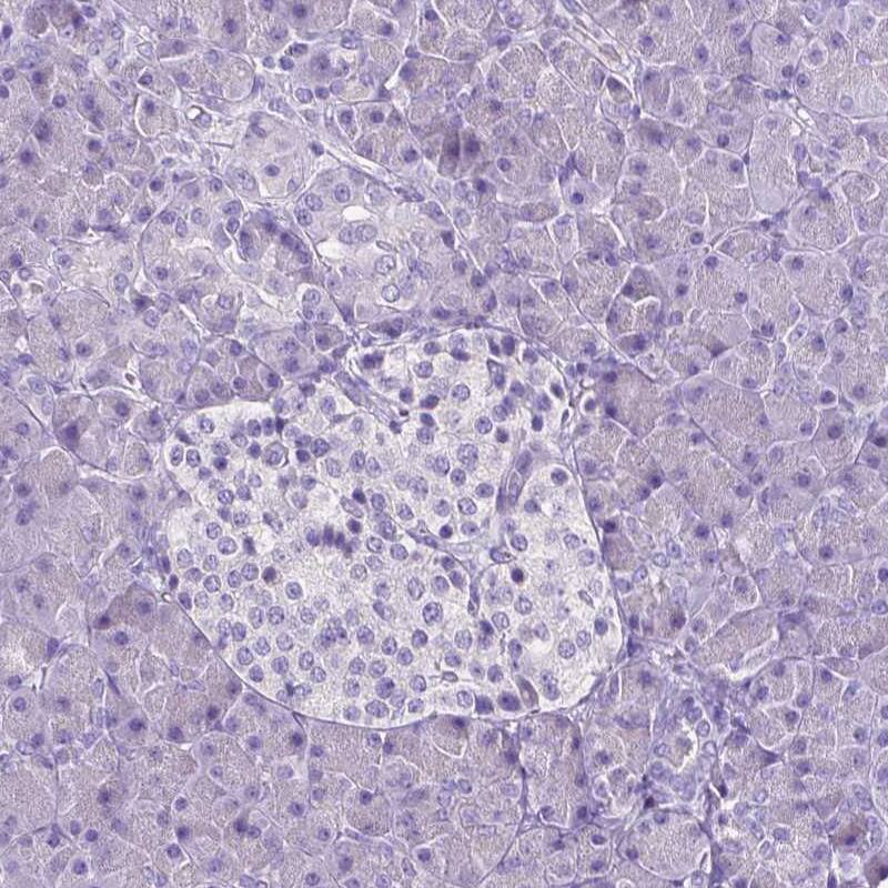
Orthogonal Strategies: Analysis in human kidney and pancreas tissues using NBP3-43922 antibody. Corresponding SLC22A2/OCT2 RNA-seq data are presented for the same tissues.
Staining of human cerebral cortex shows strong membranous positivity in astrocytes.
Staining of human kidney shows strong positivity in apical membrane in cells in tubules.
Staining of human pancreas shows no positivity in either exocrine or endocrine glandular cells as expected.

Product Details

Summary
Reactivity HuSpecies Glossary
Applications IHC
Clone
CL0631
Clonality
Monoclonal
Host
Mouse
Conjugate
Unconjugated
Format
Azide and BSA Free
Concentration
LYOPH
Validated by:
       

Orthogonal Strategies

 

Order Details

SLC22A2/OCT2 Antibody (CL0631) - Azide and BSA Free Summary

Description
Novus Biologicals Mouse SLC22A2/OCT2 Antibody (CL0631) - Azide and BSA Free (NBP2-52942) is a monoclonal antibody validated for use in IHC. All Novus Biologicals antibodies are covered by our 100% guarantee.
Immunogen
This antibody was generated using a recombinant protein sequence of O15244, with the exact immunogen sequence remaining proprietary.
Isotype
IgG2b
Clonality
Monoclonal
Host
Mouse
Gene
SLC22A2
Purity
Protein A purified
Innovator's Reward
Test in a species/application not listed above to receive a full credit towards a future purchase.

Applications/Dilutions

Dilutions
  • Immunohistochemistry-Paraffin 1:500 - 1:1000
Application Notes
For IHC-Paraffin, HIER pH 6 retrieval is recommended.

Packaging, Storage & Formulations

Storage
Store at 4C short term. Aliquot and store at -20C long term. Avoid freeze-thaw cycles.
Buffer
Lyophilized from a 0.2 um filtered solution in PBS with Trehalose
Preservative
No Preservative
Concentration
LYOPH
Purity
Protein A purified
Reconstitution Instructions
Centrifuge the vial of lyophilized antibody at 12,000 x g for 20 seconds. Reconstitute by adding sterile, distilled water to achieve a final antibody concentration of 1mg/ml.

Alternate Names for SLC22A2/OCT2 Antibody (CL0631) - Azide and BSA Free

  • hOCT2
  • MGC32628
  • OCT2
  • OCT2Organic cation transporter 2
  • SLC22A2
  • solute carrier family 22 (organic cation transporter), member 2
  • solute carrier family 22 member 2

Background

SLC22A2 - solute carrier family 22 (organic cation transporter), member 2

Limitations

This product is for research use only and is not approved for use in humans or in clinical diagnosis. Primary Antibodies are guaranteed for 1 year from date of receipt.

Customers Who Viewed This Item Also Viewed...

NBP1-51684
Species: Hu, Mu
Applications: EM, ELISA, Flow, ICC/IF, IHC, WB
NBP2-24677
Species: Ca, Eq, Hu, Pm
Applications: ICC/IF, IHC,  IHC-P, WB
NBP1-83976
Species: Hu
Applications: ICC/IF, IHC,  IHC-P
NBP1-87909
Species: Hu, Rt
Applications: IHC,  IHC-P
AF5486
Species: Hu, Mu, Rt
Applications: CyTOF-ready, Flow, ICC, Simple Western, WB
NBP2-62690
Species: Hu
Applications: IHC,  IHC-P
AF1759
Species: Hu, Mu
Applications: ChIP, ICC, IP, Simple Western, WB
NBP2-94796
Species: Hu, Mu, Rt
Applications: ELISA, ICC/IF, WB
NBP1-92396
Species: Hu
Applications: IHC,  IHC-P
NBP2-75752
Species: Hu
Applications: Flow, ICC/IF, IHC,  IHC-P, PA, WB
H00006583-A01
Species: Ca, Hu, Mu, Rt
Applications: ELISA, ICC/IF, IHC-WhMt, IHC, IHC-Fr, WB
NBP2-42202
Species: Hu, Mu, Rt
Applications: ICC/IF, IHC, WB
NB100-1607
Species: Hu, Mu, Rt
Applications: ICC/IF, IHC, IP, WB
NBP2-19388
Species: Hu
Applications: ICC/IF, IHC,  IHC-P, WB
NBP1-62660
Species: Hu
Applications: IHC,  IHC-P, WB
NBP2-67667
Species: Hu, Mu, Rt
Applications: ICC/IF, IHC, IHC-Fr,  IHC-P, WB
NBP2-75734
Species: Hu
Applications: ELISA, IHC,  IHC-P, PA, WB
NBP3-43922
Species: Hu
Applications: IHC

Publications for SLC22A2/OCT2 Antibody (NBP3-43922) (0)

There are no publications for SLC22A2/OCT2 Antibody (NBP3-43922).
By submitting your publication information earn gift cards and discounts for future purchases.

Reviews for SLC22A2/OCT2 Antibody (NBP3-43922) (0)

There are no reviews for SLC22A2/OCT2 Antibody (NBP3-43922). By submitting a review you will receive an Amazon e-Gift Card or Novus Product Discount.
  • Review with no image -- $10/€7/£6/$10 CAD/¥70 Yuan/¥1110 Yen
  • Review with an image -- $25/€18/£15/$25 CAD/¥150 Yuan/¥2500 Yen

Product General Protocols

Find general support by application which include: protocols, troubleshooting, illustrated assays, videos and webinars.

FAQs for SLC22A2/OCT2 Antibody (NBP3-43922) (0)

There are no specific FAQs related to this product. Read our general customer & technical service FAQs.

Customers Who Bought This Also Bought

Contact Information

Product PDFs

Calculators

Concentration Calculator

The concentration calculator allows you to quickly calculate the volume, mass or concentration of your vial. Simply enter your mass, volume, or concentration values for your reagent and the calculator will determine the rest.

=
÷

Review this Product

Be the first to review our SLC22A2/OCT2 Antibody (CL0631) - Azide and BSA Free and receive a gift card or discount.

Bioinformatics

Gene Symbol SLC22A2