SIN3A Antibody (JA94-31)

Images

 
Western Blot: SIN3A Antibody (JA94-31) [NBP2-67146] - Analysis of mSin3A on 293T cell using anti-mSin3A antibody at 1/1,000 dilution.
Immunocytochemistry/ Immunofluorescence: SIN3A Antibody (JA94-31) [NBP2-67146] - Staining mSin3A in NIH-3T3 cells (green). The nuclear counter stain is DAPI (blue). Cells were fixed in paraformaldehyde, permeabilised ...read more
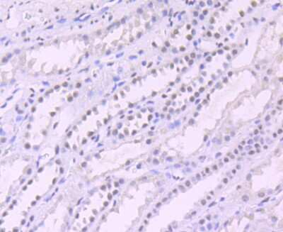
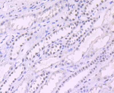
Immunohistochemistry-Paraffin: SIN3A Antibody (JA94-31) [NBP2-67146] - Analysis of paraffin-embedded human kidney tissue using anti-mSin3A antibody. Counter stained with hematoxylin.
Flow Cytometry: SIN3A Antibody (JA94-31) [NBP2-67146] - Analysis of MCF-7 cells with mSin3A antibody at 1/100 dilution (red) compared with an unlabelled control (cells without incubation with primary antibody; black).
Immunocytochemistry/ Immunofluorescence: SIN3A Antibody (JA94-31) [NBP2-67146] - Staining mSin3A in Hela cells (green). The nuclear counter stain is DAPI (blue). Cells were fixed in paraformaldehyde, permeabilised with ...read more
Immunocytochemistry/ Immunofluorescence: SIN3A Antibody (JA94-31) [NBP2-67146] - Staining mSin3A in MCF-7 cells (green). The nuclear counter stain is DAPI (blue). Cells were fixed in paraformaldehyde, permeabilised with ...read more

Product Details

Summary
Product Discontinued
View other related SIN3A Primary Antibodies

Order Details


    • Catalog Number
      NBP2-67146
    • Availability
      Product Discontinued

    Can't find what you are looking for? Use our Antibody Concierge Service & we will help you locate your antibody!

    Or feel free to contact us for alternative products.

SIN3A Antibody (JA94-31) Summary

Additional Information
Recombinant Monoclonal Antibody.
Immunogen
Synthetic peptide within Human SIN3A aa 1224-1273 / 1273. (SwissProt: Q96ST3 Human; SwissProt: Q60520 Mouse; Entrez Gene: 363067 Rat)
Localization
Nucleus.
Isotype
IgG
Clonality
Monoclonal
Host
Rabbit
Gene
SIN3A
Purity
Protein A purified
Innovator's Reward
Test in a species/application not listed above to receive a full credit towards a future purchase.

Applications/Dilutions

Dilutions
  • Flow Cytometry 1:50-1:100
  • Immunocytochemistry/ Immunofluorescence 1:50-1:200
  • Immunohistochemistry
  • Immunohistochemistry-Paraffin 1:50
  • Western Blot 1:500-1:2000

Packaging, Storage & Formulations

Storage
Store at 4C short term. Aliquot and store at -20C long term. Avoid freeze-thaw cycles.
Buffer
TBS (pH7.4), 0.05% BSA, 40% Glycerol
Preservative
0.05% Sodium Azide
Concentration
1 mg/ml
Purity
Protein A purified

Alternate Names for SIN3A Antibody (JA94-31)

  • DKFZp434K2235
  • FLJ90319
  • Histone deacetylase complex subunit Sin3a
  • KIAA0700
  • paired amphipathic helix protein Sin3a
  • SIN3 homolog A, transcription regulator (yeast)
  • SIN3 homolog A, transcriptional regulator (yeast)
  • SIN3A
  • Transcriptional corepressor Sin3a
  • transcriptional co-repressor Sin3A
  • transcriptional regulator, SIN3A

Background

Sin3A is encoded by this gene is a transcriptional regulatory protein. It contains paired amphipathic helix (PAH) domains, which are important for protein-protein interactions and may mediate repression by the Mad-Max complex.

Limitations

This product is for research use only and is not approved for use in humans or in clinical diagnosis. Primary Antibodies are guaranteed for 1 year from date of receipt.

Customers Who Viewed This Item Also Viewed...

NB100-56340
Species: Hu, Mu, Rt
Applications: IHC, IHC-Fr,  IHC-P, KO, Simple Western, WB
NBP2-03993
Species: Bv, Ca, Hu, Mu, Pm
Applications: WB
NBP1-28863
Species: Hu
Applications: ELISA, ICC/IF, IHC,  IHC-P, WB
NB100-56326
Species: Hu, Mu
Applications: ICC/IF, IHC,  IHC-P, WB
NBP1-87109
Species: Hu, Mu
Applications: ICC/IF, IHC,  IHC-P, KD, WB
NB120-5802
Species: Hu, Mu
Applications: ChIP, ICC/IF, IHC,  IHC-P, IP, Simple Western, WB
NB100-381
Species: Hu
Applications: ChIP, IP, WB
NBP1-89979
Species: Hu
Applications: ChIP-EXO-SEQ, IHC,  IHC-P
NBP2-20367
Species: Hu, Mu
Applications: ICC/IF, IHC,  IHC-P, IP, WB
NBP1-32775
Species: Hu, Mar, Mu, Rt
Applications: ChIP, ICC/IF, IHC,  IHC-P, IP, WB
NB600-302
Species: Bv, Dr, Hu, Mu
Applications: ChIP, ELISA, Flow-IC, Flow, IB, ICC/IF, IHC, IHC-Fr,  IHC-P, IP, PLA, S-ELISA, Simple Western, WB
NB100-616
Species: Hu, Mu, Md, Pm, Rt
Applications: ChIP, EM, Flow-IC, Flow, ICC/IF, IP, In vitro, KD, WB
NB500-487
Species: Bv, Hu, Mu, Rt
Applications: IHC,  IHC-P, IP, WB
NBP3-09392
Species: Hu, Mu
Applications: WB
NBP1-76729
Species: Hu
Applications: ELISA, ICC/IF, WB
MAB3228
Species: Hu, Mu, Rt
Applications: ICC, KO, WB
NB100-757
Species: Hu
Applications: ChIP, IHC,  IHC-P, WB
NLS5411
Species: Ha, Hu, Pm, Mu, Pm, Rb, Rt
Applications: ICC/IF, IHC,  IHC-P

Publications for SIN3A Antibody (NBP2-67146) (0)

There are no publications for SIN3A Antibody (NBP2-67146).
By submitting your publication information earn gift cards and discounts for future purchases.

Reviews for SIN3A Antibody (NBP2-67146) (0)

There are no reviews for SIN3A Antibody (NBP2-67146). By submitting a review you will receive an Amazon e-Gift Card or Novus Product Discount.
  • Review with no image -- $10/€7/£6/$10 CAD/¥70 Yuan/¥1110 Yen
  • Review with an image -- $25/€18/£15/$25 CAD/¥150 Yuan/¥2500 Yen

Product General Protocols

Find general support by application which include: protocols, troubleshooting, illustrated assays, videos and webinars.

Video Protocols

WB Video Protocol
ICC/IF Video Protocol

FAQs for SIN3A Antibody (NBP2-67146) (0)

There are no specific FAQs related to this product. Read our general customer & technical service FAQs.

Secondary Antibodies

 

Isotype Controls

Additional SIN3A Products

Array NBP2-67146

Research Areas for SIN3A Antibody (NBP2-67146)

Find related products by research area.

Blogs on SIN3A

There are no specific blogs for SIN3A, but you can read our latest blog posts.

Contact Information

Product PDFs

Calculators

Concentration Calculator

The concentration calculator allows you to quickly calculate the volume, mass or concentration of your vial. Simply enter your mass, volume, or concentration values for your reagent and the calculator will determine the rest.

=
÷

Review this Product

Be the first to review our SIN3A Antibody (JA94-31) and receive a gift card or discount.

Bioinformatics

Gene Symbol SIN3A