SGPP1 Antibody

Images

 
Immunohistochemistry-Paraffin: SGPP1 Antibody [NBP2-13303] - Staining of human skeletal muscle shows very weak cytoplasmic positivity in myocytes.
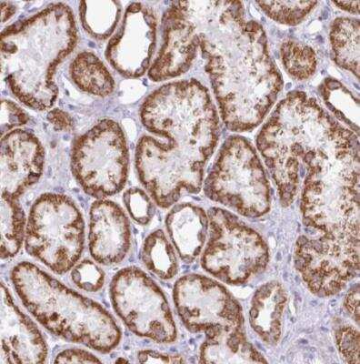
Immunohistochemistry-Paraffin: SGPP1 Antibody [NBP2-13303] - Staining of human kidney shows strong granular cytoplasmic positivity in cells in tubules.
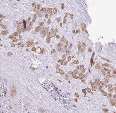
Immunohistochemistry-Paraffin: SGPP1 Antibody [NBP2-13303] - Staining of human placenta shows moderate membranous positivity in decidula cells.
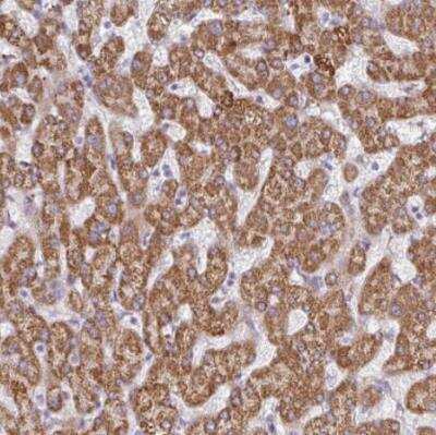
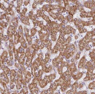
Immunohistochemistry-Paraffin: SGPP1 Antibody [NBP2-13303] - Staining of human liver shows strong granular cytoplasmic positivity in hepatocytes.

Product Details

Summary
Product Discontinued
View other related SGPP1 Primary Antibodies

Order Details


    • Catalog Number
      NBP2-13303
    • Availability
      Product Discontinued

    Can't find what you are looking for? Use our Antibody Concierge Service & we will help you locate your antibody!

    Or feel free to contact us for alternative products.

SGPP1 Antibody Summary

Immunogen
This antibody was developed against Recombinant Protein corresponding to amino acids: KITIPLACKIFNIPCDDIRKARQHMEVELPYR
Isotype
IgG
Clonality
Polyclonal
Host
Rabbit
Gene
SGPP1
Purity
Immunogen affinity purified
Innovator's Reward
Test in a species/application not listed above to receive a full credit towards a future purchase.

Applications/Dilutions

Dilutions
  • Immunocytochemistry/ Immunofluorescence 0.25-2 ug/ml
  • Immunohistochemistry 1:200 - 1:500
  • Immunohistochemistry-Paraffin 1:200 - 1:500
Application Notes
For IHC-Paraffin, HIER pH 6 retrieval is recommended. ICC/IF, Fixation/Permeabilization: PFA/Triton X-100

Reactivity Notes

Immunogen displays the following percentage of sequence identity for non-tested species: Mouse (84%), Rat (81%)

Packaging, Storage & Formulations

Storage
Store at 4C short term. Aliquot and store at -20C long term. Avoid freeze-thaw cycles.
Buffer
PBS (pH 7.2) and 40% Glycerol
Preservative
0.02% Sodium Azide
Purity
Immunogen affinity purified

Alternate Names for SGPP1 Antibody

  • sphingosine-1-phosphate phosphatase 1

Limitations

This product is for research use only and is not approved for use in humans or in clinical diagnosis. Primary Antibodies are guaranteed for 1 year from date of receipt.

Customers Who Viewed This Item Also Viewed...

4014-SP
Species: Hu
Applications: BA
MAB1419
Species: Hu, Rt
Applications: CyTOF-ready, ICC, IHC, ICFlow
AF942
Species: Mu
Applications: CyTOF-ready, ICC, IHC, ICFlow, WB
355-BM
Species: Hu, Mu, Rt
Applications: BA
BBA10
Species: Hu
Applications: CyTOF-ready, Flow, IHC, IP, KO, Simple Western, WB
NBP1-91258
Species: Bv, Ca, Eq, Fe, Hu, Mu, Po, Rt
Applications: ICC/IF, IHC, IHC-Fr,  IHC-P, Simple Western, WB
DY805
Species: Hu
Applications: ELISA
NB110-3638
Species: Hu, Mu, Rt
Applications: ELISA, Flow, ICC/IF, IHC, IHC-Fr,  IHC-P, RI, WB
NBP2-92749
Species: Hu, Mu
Applications: ELISA, WB
DCC270
Species: Hu
Applications: ELISA
NBP1-89133
Species: Hu
Applications: ICC/IF, IHC,  IHC-P, WB
NBP3-25358
Species: Hu, Mu, Rt
Applications: IHC,  IHC-P, WB
DPI00
Species: Hu
Applications: ELISA
NBP3-15742
Species: Hu, Mu, Rt
Applications: IHC,  IHC-P, WB
NBP2-67471
Species: Hu, Mu, Rt
Applications: ICC/IF, IHC,  IHC-P, WB
MAB7665
Species: Hu
Applications: IHC, WB
DCP00
Species: Hu
Applications: ELISA
NBP2-13303
Species: Hu
Applications: ICC/IF, IHC

Publications for SGPP1 Antibody (NBP2-13303) (0)

There are no publications for SGPP1 Antibody (NBP2-13303).
By submitting your publication information earn gift cards and discounts for future purchases.

Reviews for SGPP1 Antibody (NBP2-13303) (0)

There are no reviews for SGPP1 Antibody (NBP2-13303). By submitting a review you will receive an Amazon e-Gift Card or Novus Product Discount.
  • Review with no image -- $10/€7/£6/$10 CAD/¥70 Yuan/¥1110 Yen
  • Review with an image -- $25/€18/£15/$25 CAD/¥150 Yuan/¥2500 Yen

Product General Protocols

Find general support by application which include: protocols, troubleshooting, illustrated assays, videos and webinars.

Video Protocols

ICC/IF Video Protocol

FAQs for SGPP1 Antibody (NBP2-13303) (0)

There are no specific FAQs related to this product. Read our general customer & technical service FAQs.

Contact Information

Product PDFs

Calculators

Concentration Calculator

The concentration calculator allows you to quickly calculate the volume, mass or concentration of your vial. Simply enter your mass, volume, or concentration values for your reagent and the calculator will determine the rest.

=
÷

Review this Product

Be the first to review our SGPP1 Antibody and receive a gift card or discount.

Bioinformatics

Gene Symbol SGPP1