SGLT1/SLC5A1 Antibody

Images

 
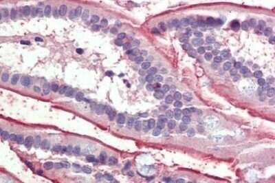
Immunohistochemistry-Paraffin: SGLT1/SLC5A1 Antibody [NBP1-52559] - Analysis of anti-SLC5A1 / SGLT1 antibody with human small intestine at concentration 3.75 ug/ml.

Product Details

Summary
Product Discontinued
View other related SGLT1/SLC5A1 Primary Antibodies

Order Details


    • Catalog Number
      NBP1-52559
    • Availability
      Product Discontinued

    Can't find what you are looking for? Use our Antibody Concierge Service & we will help you locate your antibody!

    Or feel free to contact us for alternative products.

SGLT1/SLC5A1 Antibody Summary

Immunogen
Synthetic peptide C-KETIEIETQVPEKKK from an internal region of human SGLT1/SLC5A1 (NP_000334.1).
Epitope
C-KETIEIETQVPEKKK from an internal region
Predicted Species
Primate (93%). Backed by our 100% Guarantee.
Isotype
IgG
Clonality
Polyclonal
Host
Goat
Gene
SLC5A1
Purity
Immunogen affinity purified
Innovator's Reward
Test in a species/application not listed above to receive a full credit towards a future purchase.

Applications/Dilutions

Dilutions
  • Immunohistochemistry
  • Immunohistochemistry-Paraffin 3.75 ug/ml

Reactivity Notes

Predicted cross-reactivity based on sequence identity: Gibbon (93%), Monkey (87%), Bat (80%).

Packaging, Storage & Formulations

Storage
Store at -20C. Avoid freeze-thaw cycles.
Buffer
TBS (pH 7.3) and 0.5% BSA
Preservative
0.02% Sodium Azide
Concentration
0.5 mg/ml
Purity
Immunogen affinity purified

Alternate Names for SGLT1/SLC5A1 Antibody

  • D22S675
  • High affinity sodium-glucose cotransporter
  • Na+/glucose cotransporter 1
  • NAGT
  • NAGTsodium/glucose cotransporter 1
  • SGLT1
  • SGLT1Na(+)/glucose cotransporter 1
  • SLC5A1
  • solute carrier family 5 (sodium/glucose cotransporter), member 1
  • Solute carrier family 5 member 1

Background

Glucose transporters are integral membrane proteins that mediate the transport of glucose and structurally related substances across cellular membranes. Two families of glucose transporter have been identified: the facilitated diffusion glucose transporter family (GLUT family), also known as 'uniporters,' and the sodium dependent glucose transporter family (SGLT family), also known as 'cotransporters' or 'symporters'. The SGLT1 gene encodes a protein that is involved in the active transport of glucose and galactose into eukaryotic and some prokaryotic cells.

Limitations

This product is for research use only and is not approved for use in humans or in clinical diagnosis. Primary Antibodies are guaranteed for 1 year from date of receipt.

Customers Who Viewed This Item Also Viewed...

NBP2-22218
Species: Hu, Mu
Applications: ICC/IF, IHC,  IHC-P, WB
NBP1-92384
Species: Ca, Hu, Mu, Tn
Applications: ICC/IF, IHC,  IHC-P, WB
NB110-39113
Species: Hu, Mu, Rb, Rt
Applications: ChIP, ChIP, Flow-IC, Flow, ICC/IF, IHC, IHC-Fr,  IHC-P, In vitro, Simple Western, WB
NBP1-47980
Species: Hu, Pm
Applications: Flow, IHC,  IHC-P, IP, WB
NBP1-92005
Species: Hu
Applications: ICC/IF, IHC,  IHC-P
MAB1417
Species: Bv, Hu, Mu
Applications: ICC, IHC
NBP1-49533
Species: Hu, Mu, Pl, Rt
Applications: Flow-IC, Flow, ICC/IF, IHC,  IHC-P, KD, WB
NBP3-12238
Species: Hu, Mu, Rt
Applications: ELISA, ICC/IF, IHC,  IHC-P, IP, WB
NBP2-45731
Species: Ca, Hu, Pm
Applications: IHC,  IHC-P, WB
NBP1-82574
Species: Hu, Mu, Po
Applications: ICC/IF, IHC, IHC-Fr,  IHC-P, PAGE, WB
NBP1-80811
Species: Hu
Applications: ICC/IF, IHC,  IHC-P
NBP1-86422
Species: Hu, Mu
Applications: IHC,  IHC-P
MAB1415
Species: Hu
Applications: CyTOF-ready, Flow, ICC
NBP2-82026
Species: Hu, Mu, Rt
Applications: ELISA, ICC/IF, IHC,  IHC-P, WB
AF3200
Species: Hu
Applications: IHC, WB
NBP2-15373
Species: Hu, Mu
Applications: WB
NBP1-82862
Species: Hu
Applications: ICC/IF, IHC,  IHC-P
NBP2-59319
Species: Hu, Rt
Applications: ICC/IF, IP, WB
AF2335
Species: Mu
Applications: CyTOF-ready, Flow, ICC, IHC, IP, WB
NBP1-52559
Species: Hu, Pm
Applications: IHC

Publications for SGLT1/SLC5A1 Antibody (NBP1-52559) (0)

There are no publications for SGLT1/SLC5A1 Antibody (NBP1-52559).
By submitting your publication information earn gift cards and discounts for future purchases.

Reviews for SGLT1/SLC5A1 Antibody (NBP1-52559) (0)

There are no reviews for SGLT1/SLC5A1 Antibody (NBP1-52559). By submitting a review you will receive an Amazon e-Gift Card or Novus Product Discount.
  • Review with no image -- $10/€7/£6/$10 CAD/¥70 Yuan/¥1110 Yen
  • Review with an image -- $25/€18/£15/$25 CAD/¥150 Yuan/¥2500 Yen

Product General Protocols

Find general support by application which include: protocols, troubleshooting, illustrated assays, videos and webinars.

FAQs for SGLT1/SLC5A1 Antibody (NBP1-52559) (0)

There are no specific FAQs related to this product. Read our general customer & technical service FAQs.

Secondary Antibodies

 

Isotype Controls

Additional SGLT1/SLC5A1 Products

Research Areas for SGLT1/SLC5A1 Antibody (NBP1-52559)

Find related products by research area.

Blogs on SGLT1/SLC5A1

There are no specific blogs for SGLT1/SLC5A1, but you can read our latest blog posts.

Contact Information

Product PDFs

Calculators

Concentration Calculator

The concentration calculator allows you to quickly calculate the volume, mass or concentration of your vial. Simply enter your mass, volume, or concentration values for your reagent and the calculator will determine the rest.

=
÷

Review this Product

Be the first to review our SGLT1/SLC5A1 Antibody and receive a gift card or discount.

Bioinformatics

Gene Symbol SLC5A1
Entrez
Uniprot