SERINC1 Antibody - BSA Free

Images

 
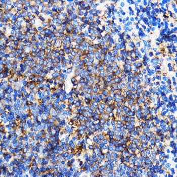
Immunohistochemistry: SERINC1 Antibody [NBP3-35855] - Immunohistochemistry analysis of paraffin-embedded Rat spleen using SERINC1 Rabbit pAb at dilution of 1:100 (40x lens). Microwave antigen retrieval performed with ...read more
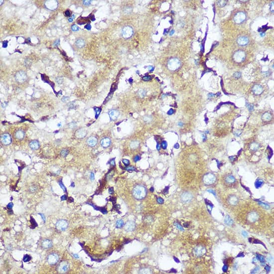
Immunohistochemistry: SERINC1 Antibody [NBP3-35855] - Immunohistochemistry analysis of paraffin-embedded Human liver using SERINC1 Rabbit pAb at dilution of 1:100 (40x lens). Microwave antigen retrieval performed with ...read more
Western Blot: SERINC1 Antibody [NBP3-35855] - Western blot analysis of various lysates using SERINC1 Rabbit pAb at 1:1000 dilution.Secondary antibody: HRP-conjugated Goat anti-Rabbit IgG (H+L) at 1:10000 ...read more
Immunohistochemistry: SERINC1 Antibody [NBP3-35855] - Immunohistochemistry analysis of paraffin-embedded Mouse spleen using SERINC1 Rabbit pAb at dilution of 1:100 (40x lens). Microwave antigen retrieval performed with ...read more

Product Details

Summary
Reactivity Hu, Mu, RtSpecies Glossary
Applications WB, ELISA, IHC
Clonality
Polyclonal
Host
Rabbit
Conjugate
Unconjugated
Format
BSA Free

Order Details

View Available Formulations
Catalog# & Formulation Size Price

SERINC1 Antibody - BSA Free Summary

Description
Novus Biologicals Rabbit SERINC1 Antibody - BSA Free (NBP3-35855) is a polyclonal antibody validated for use in IHC, WB and ELISA. All Novus Biologicals antibodies are covered by our 100% guarantee.
Immunogen
A synthetic peptide corresponding to a sequence within amino acids 350-453 of human SERINC1 (NP_065806.1).

Sequence:
ESTLIEDGGARSDGSLEDGDDVHRAVDNERDGVTYSYSFFHFMLFLASLYIMMTLTNWYRYEPSREMKSQWTAVWVKISSSWIGIVLYVWTLVAPLVLTNRDFD
Isotype
IgG
Clonality
Polyclonal
Host
Rabbit
Gene
SERINC1
Purity
Affinity purified
Innovator's Reward
Test in a species/application not listed above to receive a full credit towards a future purchase.

Applications/Dilutions

Dilutions
  • ELISA
  • Immunohistochemistry
  • Immunohistochemistry-Paraffin 1:50 - 1:200
  • Western Blot 1:500 - 1:2000
Theoretical MW
50 kDa.
Disclaimer note: The observed molecular weight of the protein may vary from the listed predicted molecular weight due to post translational modifications, post translation cleavages, relative charges, and other experimental factors.

Packaging, Storage & Formulations

Storage
Store at -20C. Avoid freeze-thaw cycles.
Buffer
PBS (pH 7.3), 50% glycerol
Preservative
0.01% Thimerosal
Purity
Affinity purified

Alternate Names for SERINC1 Antibody - BSA Free

  • KIAA1253TDE2
  • serine incorporator 1
  • TDE1LTMS-2
  • tumor differentially expressed 2
  • Tumor differentially expressed protein 1-like
  • Tumor differentially expressed protein 2

Background

Enhances the incorporation of serine into phosphatidylserine and sphingolipids

Limitations

This product is for research use only and is not approved for use in humans or in clinical diagnosis. Primary Antibodies are guaranteed for 1 year from date of receipt.

Customers Who Viewed This Item Also Viewed...

NBP1-78977
Species: Hu, Mu, Rt
Applications: Flow-IC, Flow, ICC/IF, IHC,  IHC-P, IM, IP, Simple Western, WB
NBP2-13296
Species: Hu
Applications: IHC,  IHC-P, WB
NBP3-25721
Species: Ca, Fe, Hu, Mu, Rt
Applications: ICC/IF, IHC,  IHC-P, WB
NBP2-24479
Species: Bv, Ca, Eq, Hu, Mu, Pm, Rt
Applications: ICC/IF, IHC,  IHC-P, WB
AF650
Species: Hu
Applications: CyTOF-ready, Flow, IHC, WB
NBP2-36776
Species: Hu
Applications: ICC/IF, IHC,  IHC-P, KD, WB
NBP1-87416
Species: Hu
Applications: ICC/IF, IHC,  IHC-P, WB
NBP3-48739
Species: Hu
Applications: ICC/IF, IHC,  IHC-P, WB
H00003845-M01
Species: Hu, Mu
Applications: ELISA, ICC/IF, IP, WB
NBP2-34247
Species: Ch(-), Hu, Mu(-), Pm, Rt(-)
Applications: Flow-IC, Flow, ICC/IF
NBP2-38323
Species: Hu
Applications: ICC/IF, IHC,  IHC-P, WB
NBP2-38369
Species: Hu
Applications: IHC,  IHC-P
NBP3-35145
Species: Hu, Mu, Rt
Applications: ELISA, ICC/IF, IHC,  IHC-P, WB
NBP2-45646
Species: Ca, Hu, Mu, Rt
Applications: IHC,  IHC-P, WB
NBP2-52406
Species: Hu
Applications: ELISA, IHC,  IHC-P, WB
NBP1-88527
Species: Hu, Mu, Rt
Applications: IHC,  IHC-P, WB
NB100-56725
Species: Hu, Mu
Applications: Flow-IC, Flow, IHC,  IHC-P, IP, WB
NBP3-35855
Species: Hu, Mu, Rt
Applications: WB, ELISA, IHC

Publications for SERINC1 Antibody (NBP3-35855) (0)

There are no publications for SERINC1 Antibody (NBP3-35855).
By submitting your publication information earn gift cards and discounts for future purchases.

Reviews for SERINC1 Antibody (NBP3-35855) (0)

There are no reviews for SERINC1 Antibody (NBP3-35855). By submitting a review you will receive an Amazon e-Gift Card or Novus Product Discount.
  • Review with no image -- $10/€7/£6/$10 CAD/¥70 Yuan/¥1110 Yen
  • Review with an image -- $25/€18/£15/$25 CAD/¥150 Yuan/¥2500 Yen

Product General Protocols

Find general support by application which include: protocols, troubleshooting, illustrated assays, videos and webinars.

Video Protocols

WB Video Protocol

FAQs for SERINC1 Antibody (NBP3-35855) (0)

There are no specific FAQs related to this product. Read our general customer & technical service FAQs.

Secondary Antibodies

 

Isotype Controls

Additional SERINC1 Products

Research Areas for SERINC1 Antibody (NBP3-35855)

Find related products by research area.

Blogs on SERINC1

There are no specific blogs for SERINC1, but you can read our latest blog posts.

Customers Who Bought This Also Bought

Contact Information

Product PDFs

Calculators

Concentration Calculator

The concentration calculator allows you to quickly calculate the volume, mass or concentration of your vial. Simply enter your mass, volume, or concentration values for your reagent and the calculator will determine the rest.

=
÷

Review this Product

Be the first to review our SERINC1 Antibody - BSA Free and receive a gift card or discount.

Bioinformatics

Gene Symbol SERINC1