SATB2 Antibody (CL0323) - Azide and BSA Free

Images

 
Lane 1: Marker [kDa]Lane 2: Negative control (vector only transfected HEK293T lysate) Lane 3: SATB2 Over-expression Lysate (Co-expressed with a C-terminal myc-DDK tag (~3.1 kDa) in mammalian HEK293T cells)
Lane 1: Marker [kDa]Lane 2: Human cell line HEL
Staining of human liver shows absence of staining (negative control).
Staining of human cerebral cortex shows moderate nuclear immunoreactivity in neuronal cells.
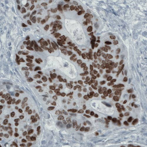
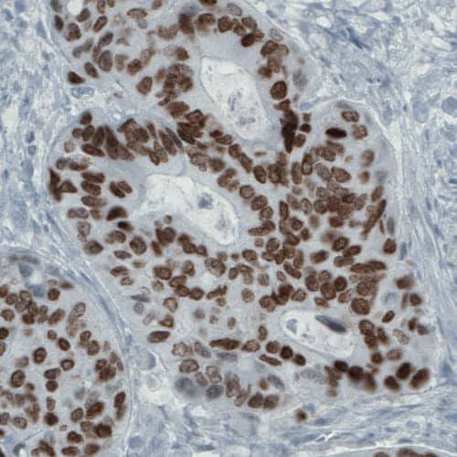
Staining of human colorectal cancer shows nuclear immunoreactivity in tumor cells.
Staining of human rectum shows strong nuclear positivity in glandular cells.
Staining of U-2 OS cells using the Anti-SATB2 monoclonal antibody) .

Product Details

Summary
Reactivity HuSpecies Glossary
Applications WB, ICC/IF, IHC
Clone
CL0323
Clonality
Monoclonal
Host
Mouse
Conjugate
Unconjugated
Format
Azide and BSA Free
Concentration
LYOPH

Order Details

SATB2 Antibody (CL0323) - Azide and BSA Free Summary

Description
Novus Biologicals Mouse SATB2 Antibody (CL0323) - Azide and BSA Free (NBP2-52916) is a monoclonal antibody validated for use in IHC, WB and ICC/IF. All Novus Biologicals antibodies are covered by our 100% guarantee.
Immunogen
This antibody was generated using a recombinant protein sequence of Q9UPW6, with the exact immunogen sequence remaining proprietary.
Isotype
IgG1
Clonality
Monoclonal
Host
Mouse
Gene
SATB2
Purity
Protein A purified
Innovator's Reward
Test in a species/application not listed above to receive a full credit towards a future purchase.

Applications/Dilutions

Dilutions
  • Immunocytochemistry/ Immunofluorescence 2-10 ug/ml
  • Immunohistochemistry-Paraffin 1:500 - 1:1000
  • Western Blot 1 ug/ml
Application Notes
For IHC-Paraffin, HIER pH 6 retrieval is recommended. For Immunocytochemistry/ Immunofluorescence/IF, PFA/Triton X-100 is recommended for fixation/permeabilization.

Packaging, Storage & Formulations

Storage
Store at 4C short term. Aliquot and store at -20C long term. Avoid freeze-thaw cycles.
Buffer
Lyophilized from a 0.2 um filtered solution in PBS with Trehalose
Preservative
No Preservative
Concentration
LYOPH
Purity
Protein A purified
Reconstitution Instructions
Centrifuge the vial of lyophilized antibody at 12,000 x g for 20 seconds. Reconstitute by adding sterile, distilled water to achieve a final antibody concentration of 1mg/ml.

Alternate Names for SATB2 Antibody (CL0323) - Azide and BSA Free

  • DNA-binding protein SATB2
  • FLJ32076
  • KIAA1034FLJ21474
  • MGC119474
  • MGC119477
  • SATB family member 2
  • SATB homeobox 2
  • Special AT-rich sequence-binding protein 2

Background

SATB2 binds to DNA, at nuclear matrix- or scaffold-associated regions. Thought to recognize the sugar-phosphate structure of double-stranded DNA. Transcription factor controlling nuclear gene expression, by binding to matrix attachment regions (MARs) of DNA and

Limitations

This product is for research use only and is not approved for use in humans or in clinical diagnosis. Primary Antibodies are guaranteed for 1 year from date of receipt.

Customers Who Viewed This Item Also Viewed...

NB100-2600
Species: Hu, Mu, Rt
Applications: ICC/IF, IHC, IHC-Fr,  IHC-P
NBP2-15108
Species: Hu, Mu, Rt
Applications: ChIP, IHC,  IHC-P, WB
NBP1-26612
Species: Hu
Applications: IP (-), WB
423-F8
Species: Hu, Mu
Applications: BA
NBP2-15133
Species: Mu, Rt
Applications: ICC/IF, IHC, IHC-Fr,  IHC-P, WB
NBP2-67309
Species: Hu, Rt
Applications: Flow, ICC/IF, IHC,  IHC-P, IP, WB
MAB1419
Species: Hu, Rt
Applications: CyTOF-ready, ICC, IHC, ICFlow
NBP2-83054
Species: Hu
Applications: WB
NBL1-10680
Species: Hu
Applications: WB
4014-SP
Species: Hu
Applications: BA
H00002263-M01
Species: Bv, Hu
Applications: ELISA, ICC/IF, IHC,  IHC-P, S-ELISA, WB
355-BM
Species: Hu, Mu, Rt
Applications: BA
NBP2-50465
Species: Hu
Applications: CyTOF-ready, Flow-CS, Flow, IHC,  IHC-P
AF3635
Species: Mu
Applications: IHC, WB
H00055907-M01
Species: Hu, Mu, Rt
Applications: ELISA, ICC/IF, IHC,  IHC-P, S-ELISA, WB

Publications for SATB2 Antibody (NBP3-43950) (0)

There are no publications for SATB2 Antibody (NBP3-43950).
By submitting your publication information earn gift cards and discounts for future purchases.

Reviews for SATB2 Antibody (NBP3-43950) (0)

There are no reviews for SATB2 Antibody (NBP3-43950). By submitting a review you will receive an Amazon e-Gift Card or Novus Product Discount.
  • Review with no image -- $10/€7/£6/$10 CAD/¥70 Yuan/¥1110 Yen
  • Review with an image -- $25/€18/£15/$25 CAD/¥150 Yuan/¥2500 Yen

Product General Protocols

Find general support by application which include: protocols, troubleshooting, illustrated assays, videos and webinars.

Video Protocols

WB Video Protocol
ICC/IF Video Protocol

FAQs for SATB2 Antibody (NBP3-43950) (0)

There are no specific FAQs related to this product. Read our general customer & technical service FAQs.

Secondary Antibodies

 

Isotype Controls

Additional SATB2 Products

Array NBP3-43950

Research Areas for SATB2 Antibody (NBP3-43950)

Find related products by research area.

Blogs on SATB2

There are no specific blogs for SATB2, but you can read our latest blog posts.

Customers Who Bought This Also Bought

Contact Information

Product PDFs

Calculators

Concentration Calculator

The concentration calculator allows you to quickly calculate the volume, mass or concentration of your vial. Simply enter your mass, volume, or concentration values for your reagent and the calculator will determine the rest.

=
÷

Review this Product

Be the first to review our SATB2 Antibody (CL0323) - Azide and BSA Free and receive a gift card or discount.

Bioinformatics

Gene Symbol SATB2