S100A6 Antibody (754102)

Images

 
Western blot shows lysates of HeLa human cervical epithelial carcinoma cell line, RAW 264.7 mouse monocyte/macrophage cell line, and NIH-3T3 mouse embryonic fibroblast cell line. PVDF membrane was probed with 2 µg/mL ...read more
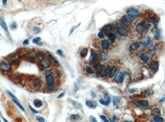
S100A6 was detected in immersion fixed paraffin-embedded sections of human kidney using Mouse Anti-Human S100A6 Monoclonal Antibody (Catalog # MAB7467) at 15 µg/mL overnight at 4 °C. Before incubation with the primary ...read more

Product Details

Summary
Reactivity HuSpecies Glossary
Applications WB, IHC
Clone
754102
Clonality
Monoclonal
Host
Mouse
Conjugate
Unconjugated
Concentration
LYOPH

Order Details

S100A6 Antibody (754102) Summary

Immunogen
E. coli-derived recombinant human S100A6
Met1-Gly90
Accession # P06703
Specificity
Detects human S100A6 in direct ELISAs and Western blots. In direct ELISAs, approximately 50% cross-reactivity with recombinant mouse S100A6 and no cross-reactivity with recombinant human (rh) S100A1, rhS100A4, or rhS100B is observed.
Source
N/A
Isotype
IgG2a
Clonality
Monoclonal
Host
Mouse
Gene
S100A6
Purity Statement
Protein A or G purified from hybridoma culture supernatant
Innovator's Reward
Test in a species/application not listed above to receive a full credit towards a future purchase.

Applications/Dilutions

Dilutions
  • Immunohistochemistry 8-25 ug/mL
  • Western Blot 2 ug/mL
Reviewed Applications
Read 1 Review rated 5
using
MAB7467 in the following applications:

Packaging, Storage & Formulations

Storage
Use a manual defrost freezer and avoid repeated freeze-thaw cycles.
  • 12 months from date of receipt, -20 to -70 °C as supplied.
  • 1 month, 2 to 8 °C under sterile conditions after reconstitution.
  • 6 months, -20 to -70 °C under sterile conditions after reconstitution.
Buffer
Lyophilized from a 0.2 μm filtered solution in PBS with Trehalose. *Small pack size (SP) is supplied either lyophilized or as a 0.2 µm filtered solution in PBS.
Preservative
No Preservative
Concentration
LYOPH
Reconstitution Instructions
Sterile PBS to a final concentration of 0.5 mg/mL.

Notes

This product is produced by and ships from R&D Systems, Inc., a Bio-Techne brand.

Alternate Names for S100A6 Antibody (754102)

  • 2A9
  • CABP
  • CACY
  • CACY5B10
  • calcyclin
  • Growth factor-inducible protein 2A9
  • MLN 4
  • PRA
  • PRAS100 calcium binding protein A6 (calcyclin)
  • Prolactin receptor-associated protein
  • protein S100-A6
  • S100 calcium binding protein A6
  • S100 calcium-binding protein A6 (calcyclin)
  • S100 calcium-binding protein A6
  • S100A6

Background

S100A6, also called PRA (prolactin receptor-associated protein) and calcyclin, is a 10 kDa member of the S100 family of calcium-binding proteins. Human S100A6 is 90 amino acids (aa) in length and contains two calcium-binding EF-hand domains (aa 12 - 47 and 48 - 83). Intracellularly, S100A6 will both noncovalently homodimerize and heterodimerize with S100B plus SGT1. Extracellularly, it is secreted via a noncanonical pathway and binds to RAGE, inducing apoptosis. It is expressed by neurons, endothelium, fibroblasts and glandular epithelia. Human S100A6 shares 95% aa sequence identity with mouse and rat S100A6. This antibody detects mouse S100A6 in Western Blots. Mouse cross-reactivity has not been tested in Immunohistochemistry

Limitations

This product is for research use only and is not approved for use in humans or in clinical diagnosis. Primary Antibodies are guaranteed for 1 year from date of receipt.

Customers Who Viewed This Item Also Viewed...

AF4277
Species: Mu
Applications: ELISA(Cap), ELISA(Det), ELISA(Sta), IHC, IP, WB
NBP1-30027
Species: Hu, Mu, Rt
Applications: ICC/IF, IHC,  IHC-P, WB
AF009
Species: Hu
Applications: IHC, WB
AF5415
Species: Hu
Applications: ICC, IHC, Simple Western, WB
AF1513
Species: Mu
Applications: CyTOF-ready, Flow, IHC, IP, Simple Western, WB
H00005555-P01
Species: Hu
Applications: ELISA, AP, PA, PAGE, WB
NBP1-87102
Species: Hu, Mu, Rt
Applications: ICC/IF, IHC,  IHC-P, WB
NB100-1533
Species: Hu, Mu, Po, Rt, Sh
Applications: Flow, ICC/IF, IHC,  IHC-P, PEP-ELISA, WB
NBP1-87103
Species: Hu, Mu
Applications: IHC,  IHC-P, WB
AF3366
Species: Hu
Applications: ICC, IHC, Simple Western, WB
DAN00
Species: Hu
Applications: ELISA
NBP2-13304
Species: Hu
Applications: ICC/IF, IHC,  IHC-P, WB
NBP2-47602
Species: Hu
Applications: ICC/IF, IHC,  IHC-P
AF1445
Species: Mu, Rt
Applications: ELISA(Cap), ELISA(Det), ELISA(Sta), IHC, Neut, Simple Western, WB
NBP3-38499
Species: Hu, Mu, Rt
Applications: ELISA, ICC/IF, WB
NBP2-01763
Species: Hu, Mu, Rt
Applications: Flow, IHC,  IHC-P, WB
NBP3-46899
Species: Hu
Applications: ELISA, ICC/IF, WB
H00002038-M01
Species: Hu
Applications: ELISA, ICC/IF, WB
NBP2-57362
Species: Hu
Applications: ICC/IF, WB
MAB7467
Species: Hu
Applications: WB, IHC

Publications for S100A6 Antibody (MAB7467) (0)

There are no publications for S100A6 Antibody (MAB7467).
By submitting your publication information earn gift cards and discounts for future purchases.

Review for S100A6 Antibody (MAB7467) (1) 51

Average Rating: 5
(Based on 1 review)
We have 1 review tested in 1 species: Human.

Reviews using MAB7467:
Filter by Applications
 IHC-P
(1)
All Applications
Filter by Species
Human
(1)
All Species
Images Ratings Applications Species Date Details
Immunohistochemistry-Paraffin S100A6 MAB7467
Enlarge
5
reviewed by:
Verified Customer
 IHC-P Human 04/11/2022
View

Summary

ApplicationImmunohistochemistry-Paraffin
Sample TestedKidney tissue
SpeciesHuman
Lot754102

Comments

CommentsPrimary antibody dilution 1:100

Product General Protocols

Find general support by application which include: protocols, troubleshooting, illustrated assays, videos and webinars.

Video Protocols

WB Video Protocol

FAQs for S100A6 Antibody (MAB7467) (0)

There are no specific FAQs related to this product. Read our general customer & technical service FAQs.

Secondary Antibodies

 

Isotype Controls

Additional S100A6 Products

Blogs on S100A6.

S100A6: Playing Roles in Cancer, Apoptosis & Transcription Regulation
S100A6 antibodies detect a small calcium binding protein with 2 EF-hand structures and belongs to the S100 family. Calcium binding induces a conformational change of the protein which in turn permits its interaction with several target proteins. It is...  Read full blog post.

Customers Who Bought This Also Bought

Contact Information

Product PDFs

Calculators

Concentration Calculator

The concentration calculator allows you to quickly calculate the volume, mass or concentration of your vial. Simply enter your mass, volume, or concentration values for your reagent and the calculator will determine the rest.

=
÷

Recent Reviews

5
5
1
4
0
3
0
2
0
1
0

Verified Customer
04/11/2022
Application:  IHC-P
Species: Human

Bioinformatics

Gene Symbol S100A6
Uniprot