S100A4 Antibody (S100A4/2750R) - Azide and BSA Free

Images

 
Western Blot: S100A4 Antibody (S100A4/2750R) - Azide and BSA Free [NBP3-08460] - Western Blot Analysis of human HeLa cell lysate using S100A4 Recombinant Rabbit Monoclonal Antibody (S100A4/2750R).
Immunocytochemistry/ Immunofluorescence: S100A4 Antibody (S100A4/2750R) - Azide and BSA Free [NBP3-08460] - Immunofluorescence staining of A549 cells using S100A4 Recombinant Rabbit Monoclonal Antibody (S100A4/2750R) ...read more
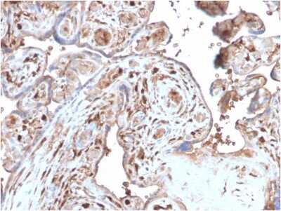
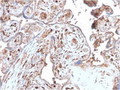
Immunohistochemistry-Paraffin: S100A4 Antibody (S100A4/2750R) - Azide and BSA Free [NBP3-08460] - Formalin-fixed, paraffin-embedded human Placenta stained with S100A4 Recombinant Rabbit Monoclonal Antibody ...read more
Flow Cytometry: S100A4 Antibody (S100A4/2750R) - Azide and BSA Free [NBP3-08460] - Flow Cytometric Analysis of A549 cells using S100A4 Recombinant Rabbit Monoclonal Antibody (S100A4/2750R) followed by goat anti-rabbit ...read more

Product Details

Summary
Reactivity Hu, MuSpecies Glossary
Applications WB, Flow, ICC/IF, IHC
Clone
S100A4/2750R
Clonality
Monoclonal
Host
Rabbit
Conjugate
Unconjugated
Format
Azide and BSA Free
Concentration
1 mg/ml

Order Details

S100A4 Antibody (S100A4/2750R) - Azide and BSA Free Summary

Description
1.0 mg/ml of antibody purified from Bioreactor Concentrate by Protein A/G. Prepared in 10mM PBS WITHOUT BSA & azide. Also available at 200 ug/ml WITH BSA & azide (NBP3-07587).

Antibody with azide - store at 2 to 8C. Antibody without azide - store at -20 to -80C.
Additional Information
Recombinant Monoclonal Antibody
Immunogen
Recombinant fragment of human S100A4 protein (around aa1-200) (exact sequence is proprietary) (Uniprot: P26447)
Localization
Cytoplasmic and Nuclear
Marker
Marker of Tumor Metastasis
Isotype
IgG
Clonality
Monoclonal
Host
Rabbit
Gene
S100A4
Purity
Protein A or G purified
Innovator's Reward
Test in a species/application not listed above to receive a full credit towards a future purchase.

Applications/Dilutions

Dilutions
  • Flow Cytometry 1-2 ug/million cells
  • Immunocytochemistry/ Immunofluorescence 1-2 ug/ml
  • Immunohistochemistry
  • Immunohistochemistry-Paraffin
  • Western Blot 1-2 ug/ml
Application Notes
Immunohistochemistry Formalin-fixed: 1-2ug/ml for 30 minutes at RT. Staining of formalin-fixed tissues requires heating tissue sections in 10mM Tris with 1mM EDTA, pH 9.0, for 45 min at 95C followed by cooling at RT for 20 minutes.

Packaging, Storage & Formulations

Storage
Store at -20 to -80C. Avoid freeze-thaw cycles.
Buffer
10 mM PBS
Preservative
No Preservative
Concentration
1 mg/ml
Purity
Protein A or G purified

Alternate Names for S100A4 Antibody (S100A4/2750R) - Azide and BSA Free

  • 18A2
  • 42A
  • Calvasculin
  • CAPL
  • CAPLS100 calcium binding protein A4 (calcium protein, calvasculin, metastasin
  • fibroblast-specific protein-1,42A
  • FSP1
  • leukemia multidrug resistance associated protein
  • malignant transformation suppression 1
  • Metastasin
  • MTS1
  • murine placental homolog)
  • P9KA
  • PEL98
  • Placental calcium-binding protein
  • Protein Mts1
  • protein S100-A4
  • S100 calcium binding protein A4
  • S100 calcium-binding protein A4 (calcium protein, calvasculin, metastasin, murine placental homolog)
  • S100 calcium-binding protein A4
  • S100A4

Background

S100A4 is encoded by this gene is a member of the S100 family of proteins containing 2 EF-hand calcium-binding motifs. S100 proteins are localized in the cytoplasm and/or nucleus of a wide range of cells, and involved in the regulation of a number of cellular processes such as cell cycle progression and differentiation. S100 genes include at least 13 members which are located as a cluster on chromosome 1q21. This protein may function in motility, invasion, and tubulin polymerization. Chromosomal rearrangements and altered expression of this gene have been implicated in tumor metastasis. Multiple alternatively spliced variants, encoding the same protein, have been identified.

Limitations

This product is for research use only and is not approved for use in humans or in clinical diagnosis. Primary Antibodies are guaranteed for 1 year from date of receipt.

Customers Who Viewed This Item Also Viewed...

NB200-106
Species: Mu, Rt
Applications: ELISA, ICC/IF, IHC, IHC-Fr,  IHC-P, WB
NBP2-45603
Species: Hu, Mu, Rt
Applications: Flow, IHC,  IHC-P, WB
NBP1-87103
Species: Hu, Mu
Applications: IHC,  IHC-P, WB
NBP1-87102
Species: Hu, Mu, Rt
Applications: ICC/IF, IHC,  IHC-P, WB
NBP2-00776
Species: Ca, Hu, Pm, Mu, Rt
Applications: Flow, ICC/IF, IHC,  IHC-P, WB
NB200-103
Species: Hu, Mu, Rt, Xp(-), Ye
Applications: CyTOF-ready, ELISA, Flow-IC, Flow, ICC/IF, IHC, IHC-Fr,  IHC-P, IP, WB
NBP1-31308
Species: Bv, Hu, Mu, Rt
Applications: ICC/IF, IHC,  IHC-P, Simple Western, WB
AF748
Species: Hu, Mu
Applications: CyTOF-ready, Dual ISH-IHC, Flow, ICC, IHC, Simple Western, WB
NBP1-83976
Species: Hu
Applications: ICC/IF, IHC,  IHC-P
NB100-807
Species: Hu
Applications: ICC/IF, PEP-ELISA, WB
NBP1-89388
Species: Hu, Mu, Rt
Applications: ICC/IF, IHC,  IHC-P, Simple Western, WB
NB300-223
Species: Bv, Ca, Ch, Eq, Hu, Mu, Po, Rt
Applications: ICC/IF, IHC, IHC-Fr,  IHC-P, WB
MAB6495
Species: Hu
Applications: ICC, Simple Western, WB
NBP1-82454
Species: Hu, Mu
Applications: ICC/IF, IHC,  IHC-P, WB
DMP900
Species: Hu
Applications: ELISA
NBP2-29463
Species: Pm, Hu, Pm, Mu
Applications: Flow, ICC/IF, IHC,  IHC-P, WB
MMP200
Species: Ca, Hu, Mu, Po, Rt
Applications: ELISA
NBP2-79899
Species: Hu
Applications: CyTOF-ready, Flow, ICC/IF, IHC,  IHC-P, PA, WB
H00029107-M08
Species: Hu
Applications: ELISA, ICC/IF, KD, S-ELISA, WB
NBP3-38209
Species: Hu, Rt
Applications: ELISA, ICC/IF, IHC,  IHC-P, IP, WB

Publications for S100A4 Antibody (NBP3-08460) (0)

There are no publications for S100A4 Antibody (NBP3-08460).
By submitting your publication information earn gift cards and discounts for future purchases.

Reviews for S100A4 Antibody (NBP3-08460) (0)

There are no reviews for S100A4 Antibody (NBP3-08460). By submitting a review you will receive an Amazon e-Gift Card or Novus Product Discount.
  • Review with no image -- $10/€7/£6/$10 CAD/¥70 Yuan/¥1110 Yen
  • Review with an image -- $25/€18/£15/$25 CAD/¥150 Yuan/¥2500 Yen

Product General Protocols

Find general support by application which include: protocols, troubleshooting, illustrated assays, videos and webinars.

Video Protocols

WB Video Protocol
ICC/IF Video Protocol

FAQs for S100A4 Antibody (NBP3-08460) (0)

There are no specific FAQs related to this product. Read our general customer & technical service FAQs.

Secondary Antibodies

 

Isotype Controls

Additional S100A4 Products

Research Areas for S100A4 Antibody (NBP3-08460)

Find related products by research area.

Blogs on S100A4.

Epithelial-Mesenchymal Transition (EMT) Markers
Epithelial-Mesenchymal Transition (EMT) is the trans-differentiation of stationary epithelial cells into motile mesenchymal cells. During EMT, epithelial cells lose their junctions and apical-basal polarity, reorganize their cytoskeleton, undergo a...  Read full blog post.

Customers Who Bought This Also Bought

Contact Information

Product PDFs

Calculators

Concentration Calculator

The concentration calculator allows you to quickly calculate the volume, mass or concentration of your vial. Simply enter your mass, volume, or concentration values for your reagent and the calculator will determine the rest.

=
÷

Review this Product

Be the first to review our S100A4 Antibody (S100A4/2750R) - Azide and BSA Free and receive a gift card or discount.

Bioinformatics

Gene Symbol S100A4