RPP25 Antibody - BSA Free

Images

 
Western Blot: RPP25 Antibody [NBP1-92349] - Lane 1: Marker [kDa] 250, 130, 100, 70, 55, 35, 25, 15, 10Lane 2: Human cell line SK-MEL-30
Immunocytochemistry/ Immunofluorescence: RPP25 Antibody [NBP1-92349] - Immunofluorescent staining of human cell line SiHa shows localization to nucleoplasm & microtubule organizing center.
Immunohistochemistry-Paraffin: RPP25 Antibody [NBP1-92349] - Staining of human testis shows moderate nuclear positivity in Leydig cells.
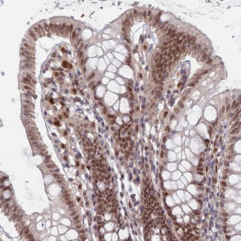
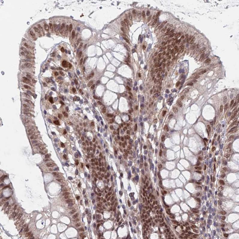
Immunohistochemistry-Paraffin: RPP25 Antibody [NBP1-92349] - Staining of human colon shows moderate nuclear positivity in glandular cells.
Immunohistochemistry-Paraffin: RPP25 Antibody [NBP1-92349] - Staining of human kidney shows weak to moderate nuclear positivity in cells in tubules.
Immunohistochemistry-Paraffin: RPP25 Antibody [NBP1-92349] - Staining of human skeletal muscle shows no nuclear positivity in myocytes.
Staining of human colon shows moderate nuclear positivity in glandular cells.
Lane 1: Marker [kDa] 250, 130, 100, 70, 55, 35, 25, 15, 10Lane 2: Human cell line SK-MEL-30

Product Details

Summary
Reactivity HuSpecies Glossary
Applications WB, ICC/IF, IHC
Clonality
Polyclonal
Host
Rabbit
Conjugate
Unconjugated
Format
BSA Free

Order Details

View Available Formulations
Catalog# & Formulation Size Price

RPP25 Antibody - BSA Free Summary

Description
Novus Biologicals Rabbit RPP25 Antibody - BSA Free (NBP1-92349) is a polyclonal antibody validated for use in IHC, WB and ICC/IF. All Novus Biologicals antibodies are covered by our 100% guarantee.
Immunogen
This antibody was developed against Recombinant Protein corresponding to amino acids: ASLSVLKNVPGLAILLSKDALDPRQPGYQPPNPHPGPSSPPAAPASKRSLGEPAAGEGSAKRSQPEP
Isotype
IgG
Clonality
Polyclonal
Host
Rabbit
Gene
RPP25
Purity
Immunogen affinity purified
Innovator's Reward
Test in a species/application not listed above to receive a full credit towards a future purchase.

Applications/Dilutions

Dilutions
  • Immunocytochemistry/ Immunofluorescence 0.25-2 ug/ml
  • Immunohistochemistry 1:50 - 1:200
  • Immunohistochemistry-Paraffin 1:50-1:200
  • Western Blot 0.04-0.4 ug/ml
Application Notes
For IHC-Paraffin, HIER pH 6 retrieval is recommended. Immunocytochemistry/Immunofluorescence Fixation Permeabilization: Use PFA/Triton X-100.
Control Peptide
RPP25 Protein (NBP1-92349PEP)

Reactivity Notes

Immunogen displays the following percentage of sequence identity for non-tested species: Mouse (84%), Rat (85%)

Packaging, Storage & Formulations

Storage
Store at 4C short term. Aliquot and store at -20C long term. Avoid freeze-thaw cycles.
Buffer
PBS (pH 7.2) and 40% Glycerol
Preservative
0.02% Sodium Azide
Purity
Immunogen affinity purified

Alternate Names for RPP25 Antibody - BSA Free

  • FLJ20374
  • ribonuclease P 25kDa subunit
  • ribonuclease P protein subunit p25
  • ribonuclease P/MRP 25kDa subunit
  • RNase P protein subunit p25

Background

RPP25 is a component of ribonuclease P, a protein complex that generates mature tRNA molecules by cleaving their 5'-ends. Also a component of RNase MRP. This subunit binds to RNA

Limitations

This product is for research use only and is not approved for use in humans or in clinical diagnosis. Primary Antibodies are guaranteed for 1 year from date of receipt.

Customers Who Viewed This Item Also Viewed...

NBP1-92282
Species: Hu
Applications: ICC/IF, IHC,  IHC-P, WB
NBP1-57072
Species: Hu, Mu
Applications: WB
NBP2-38160
Species: Hu
Applications: ICC/IF, IHC,  IHC-P
NBP3-46186
Species: Hu, Mu, Rt
Applications: ELISA, IHC, IP, WB
NBP2-93109
Species: Hu, Mu, Rt
Applications: IHC,  IHC-P, WB
NB400-156
Species: Hu, Mu, Rt
Applications: CyTOF-ready, Dual ISH-IHC, ELISA, Flow, ICC/IF, IHC, IP, Simple Western, WB
NBP2-13260
Species: Hu
Applications: ICC/IF, KD, WB
NBP3-46935
Species: Hu, Mu, Rt
Applications: ELISA, ICC/IF, WB
NBP1-80965
Species: Hu
Applications: ICC/IF, IHC,  IHC-P, WB
NBP3-46668
Species: Hu, Mu, Rt
Applications: ELISA, IHC, WB
NBP1-88765
Species: Hu
Applications: ICC/IF, IHC,  IHC-P, WB
NBP1-80658
Species: Hu
Applications: ICC/IF, IHC,  IHC-P
NBP1-32870
Species: Ch, Hu
Applications: IHC,  IHC-P, IP, KD, WB
NBP1-84957
Species: Hu
Applications: IHC,  IHC-P, WB
H00000518-P01
Species: Hu
Applications: ELISA, AP, PA, WB
NBP2-57100
Species: Hu
Applications: ICC/IF
NBP2-16686
Species: Hu
Applications: ICC/IF, IHC,  IHC-P, KO, WB
NBP2-93603
Species: Hu, Mu
Applications: WB
NBP3-46933
Species: Hu, Mu, Rt
Applications: ELISA, IHC, IP, WB
AF4004
Species: Hu, Mu, Rt
Applications: IHC, WB

Publications for RPP25 Antibody (NBP1-92349) (0)

There are no publications for RPP25 Antibody (NBP1-92349).
By submitting your publication information earn gift cards and discounts for future purchases.

Reviews for RPP25 Antibody (NBP1-92349) (0)

There are no reviews for RPP25 Antibody (NBP1-92349). By submitting a review you will receive an Amazon e-Gift Card or Novus Product Discount.
  • Review with no image -- $10/€7/£6/$10 CAD/¥70 Yuan/¥1110 Yen
  • Review with an image -- $25/€18/£15/$25 CAD/¥150 Yuan/¥2500 Yen

Product General Protocols

Find general support by application which include: protocols, troubleshooting, illustrated assays, videos and webinars.

Video Protocols

WB Video Protocol
ICC/IF Video Protocol

FAQs for RPP25 Antibody (NBP1-92349) (0)

There are no specific FAQs related to this product. Read our general customer & technical service FAQs.

Customers Who Bought This Also Bought

Contact Information

Product PDFs

Calculators

Concentration Calculator

The concentration calculator allows you to quickly calculate the volume, mass or concentration of your vial. Simply enter your mass, volume, or concentration values for your reagent and the calculator will determine the rest.

=
÷

Review this Product

Be the first to review our RPP25 Antibody - BSA Free and receive a gift card or discount.

Bioinformatics

Gene Symbol RPP25