RB1 Antibody (RB1/7080R) - Azide and BSA Free

Images

 
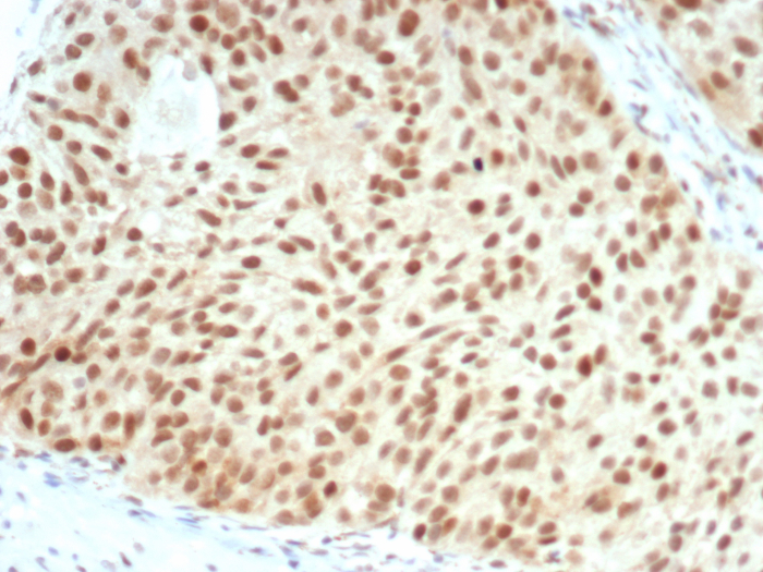
Formalin-fixed, paraffin-embedded human bladder carcinoma stained with RB1 antibody (RB1/7080R). HIER: Tris/EDTA, pH9.0, 45min. Secondary: HRP-polymer, 30min. DAB, 5min.

Product Details

Summary
Reactivity Hu, MuSpecies Glossary
Applications IHC
Clone
RB1/7080R
Clonality
Monoclonal
Host
Rabbit
Conjugate
Unconjugated
Format
Azide and BSA Free
Concentration
1 mg/ml

Order Details

RB1 Antibody (RB1/7080R) - Azide and BSA Free Summary

Description
Positive Controls: HeLa, A431 or BT-20 cells. Breast or Colon carcinoma.

Antibody with azide - store at 2 to 8C. Antibody without azide - store at -20 to -80C. Non-hazardous. No MSDS required.
Additional Information
Recombinant Monoclonal Antibody
Immunogen
Recombinant human full-length RB1 protein
Epitope
aa 703-772
Localization
Nucleus.
Specificity
Recognizes a 105kDa phosphoprotein, identified as retinoblastoma (Rb) gene product Its epitope is localized between aa 703-772 It shows no cross reaction with p107 or p130 It specifically stains the nuclei of BT-20 cells and primary human foreskin fibroblast (HFF) cells It does not stain the Rb-negative BT549 cells It reacts with the hyperphosphorylated as well as the un (under) phosphorylated form of the Rb protein
Isotype
IgG Kappa
Clonality
Monoclonal
Host
Rabbit
Gene
RB1
Purity
Protein A or G purified
Innovator's Reward
Test in a species/application not listed above to receive a full credit towards a future purchase.

Applications/Dilutions

Dilutions
  • Immunohistochemistry-Paraffin 1-2 ug/ml
Application Notes
Immunohistochemistry (Formalin-fixed): 1-2ug/ml for 30 minutes. at RT. Staining of formalin-fixed tissues requires heating tissue sections in 10mM Tris with 1mM EDTA, pH 9.0, for 45 min at 95C followed by cooling at RT for 20 minutes.

Optimal dilution for a specific application should be determined.

Packaging, Storage & Formulations

Storage
Store at -20 to -70C. Avoid freeze-thaw cycles.
Buffer
10mM PBS
Preservative
No Preservative
Concentration
1 mg/ml
Purity
Protein A or G purified

Alternate Names for RB1 Antibody (RB1/7080R) - Azide and BSA Free

  • OSRC
  • osteosarcoma
  • p105-Rb
  • pp110
  • pRb
  • RB
  • RB1
  • retinoblastoma 1
  • retinoblastoma suspectibility protein
  • retinoblastoma-associated protein

Background

Rb is a tumor suppressor nuclear phosphoprotein capable of binding to DNA. It is phosphorylated on serine and threonine, but not on tyrosine residues. It forms a complex with SV40 large T antigen, adenovirus E1A, and human papilloma virus-16 E. Rb protein may act by regulating transcription and loss of ts function leads to uncontrolled cell growth. Aberrations in the RB gene have been implicated in cancers of breast, colon, prostate, kidney, nasopharynx, and leukemia.

Limitations

This product is for research use only and is not approved for use in humans or in clinical diagnosis. Primary Antibodies are guaranteed for 1 year from date of receipt.

Customers Who Viewed This Item Also Viewed...

NB200-103
Species: Hu, Mu, Rt, Xp(-), Ye
Applications: CyTOF-ready, ELISA, Flow-IC, Flow, ICC/IF, IHC, IHC-Fr,  IHC-P, IP, WB
NB200-106
Species: Mu, Rt
Applications: ELISA, ICC/IF, IHC, IHC-Fr,  IHC-P, WB
NBP2-29463
Species: Pm, Hu, Pm, Mu
Applications: Flow, ICC/IF, IHC,  IHC-P, WB
NBP1-31308
Species: Bv, Hu, Mu, Rt
Applications: ICC/IF, IHC,  IHC-P, Simple Western, WB
NBP2-32840
Species: Hu, Pm, Mu, Rt
Applications: Flow, ICC/IF, IHC,  IHC-P, WB
NBP2-00776
Species: Ca, Hu, Pm, Mu, Rt
Applications: Flow, ICC/IF, IHC,  IHC-P, WB
NBP2-46085
Species: Hu
Applications: IHC,  IHC-P, WB
H00027065-M01
Species: Hu, Rt
Applications: ELISA, ICC/IF, S-ELISA, WB
NBP2-67899
Species: Hu, Mu, Rt
Applications: Flow, ICC/IF, IHC,  IHC-P, IP, WB
NBP1-82455
Species: Hu
Applications: ICC/IF, IHC,  IHC-P, WB
NBP2-33735
Species: Hu
Applications: ICC/IF, IHC,  IHC-P, WB
NBP1-90949
Species: Hu
Applications: IHC,  IHC-P, WB
NBP3-26876
Species: Hu
Applications: IHC,  IHC-P
NBP2-47561
Species: Hu
Applications: ICC/IF, IHC,  IHC-P, WB
NBP1-80616
Species: Hu, Mu, Rt
Applications: IHC,  IHC-P, WB
NBP2-03198
Species: Hu
Applications: Flow, ICC/IF, IHC,  IHC-P, WB
AF1555
Species: Hu
Applications: WB
AF6897
Species: Hu, Mu
Applications: IHC, Simple Western, WB
NB600-302
Species: Bv, Dr, Hu, Mu
Applications: ChIP, ELISA, Flow-IC, Flow, IB, ICC/IF, IHC, IHC-Fr,  IHC-P, IP, PLA, S-ELISA, Simple Western, WB
NB500-106
Species: Ch, Dr, Fi, Hu, Mar, Mu, Po, Pm, Rb, Rt, Ye, Ze
Applications: ChIP, ChIP, ELISA, Flow, ICC/IF, IHC-FrFl, IHC, IHC-Fr,  IHC-P, IP, Simple Western, WB

Publications for RB1 Antibody (NBP3-20811) (0)

There are no publications for RB1 Antibody (NBP3-20811).
By submitting your publication information earn gift cards and discounts for future purchases.

Reviews for RB1 Antibody (NBP3-20811) (0)

There are no reviews for RB1 Antibody (NBP3-20811). By submitting a review you will receive an Amazon e-Gift Card or Novus Product Discount.
  • Review with no image -- $10/€7/£6/$10 CAD/¥70 Yuan/¥1110 Yen
  • Review with an image -- $25/€18/£15/$25 CAD/¥150 Yuan/¥2500 Yen

Product General Protocols

Find general support by application which include: protocols, troubleshooting, illustrated assays, videos and webinars.

FAQs for RB1 Antibody (NBP3-20811) (0)

There are no specific FAQs related to this product. Read our general customer & technical service FAQs.

Customers Who Bought This Also Bought

Contact Information

Product PDFs

Calculators

Concentration Calculator

The concentration calculator allows you to quickly calculate the volume, mass or concentration of your vial. Simply enter your mass, volume, or concentration values for your reagent and the calculator will determine the rest.

=
÷

Review this Product

Be the first to review our RB1 Antibody (RB1/7080R) - Azide and BSA Free and receive a gift card or discount.

Bioinformatics

Gene Symbol RB1