RAB2B Antibody - BSA Free

Images

 
Western Blot: RAB2B Antibody [NBP1-31631] - Various tissue extracts (50 ug) were separated by 12% SDS-PAGE, and the membrane was blotted with RAB2B antibody diluted at 1:1000. The HRP-conjugated anti-rabbit IgG antibody ...read more
Immunocytochemistry/ Immunofluorescence: RAB2B Antibody [NBP1-31631] - Paraformaldehyde-fixed HeLa, using antibody at 1:200 dilution.
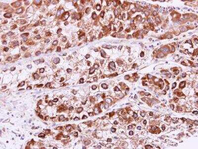
Immunohistochemistry-Paraffin: RAB2B Antibody [NBP1-31631] - Human liver carcinoma. RAB2B antibody dilution: 1:250. Antigen Retrieval: Trilogy (EDTA based, pH 8.0) buffer, 15min.
Western Blot: RAB2B Antibody [NBP1-31631] - Sample(30 ug whole cell lysate)A: Hep G2 12% SDS PAGE, antibody diluted at 1:500.

Product Details

Summary
Reactivity Hu, MuSpecies Glossary
Applications WB, ICC/IF, IHC
Clonality
Polyclonal
Host
Rabbit
Conjugate
Unconjugated
Format
BSA Free

Order Details

RAB2B Antibody - BSA Free Summary

Description
Novus Biologicals Rabbit RAB2B Antibody - BSA Free (NBP1-31631) is a polyclonal antibody validated for use in IHC, WB and ICC/IF. All Novus Biologicals antibodies are covered by our 100% guarantee.
Immunogen
Full length human RAB2B Recombinant protein.
Localization
Cell membrane, Lipid-anchor, Cytoplasmic side (Potential), Endoplasmic reticulum membrane (Potential), Golgi apparatus membrane
Isotype
IgG
Clonality
Polyclonal
Host
Rabbit
Gene
RAB2B
Purity
Antigen Affinity-purified
Innovator's Reward
Test in a species/application not listed above to receive a full credit towards a future purchase.

Applications/Dilutions

Dilutions
  • Immunocytochemistry/ Immunofluorescence 1:100-1:1000
  • Immunohistochemistry 1:100-1:1000
  • Immunohistochemistry-Paraffin 1:100-1:1000
  • Western Blot 1:500-1:3000
Theoretical MW
24 kDa.
Disclaimer note: The observed molecular weight of the protein may vary from the listed predicted molecular weight due to post translational modifications, post translation cleavages, relative charges, and other experimental factors.

Packaging, Storage & Formulations

Storage
Aliquot and store at -20C or -80C. Avoid freeze-thaw cycles.
Buffer
0.1M Tris, 0.1M Glycine, 10% Glycerol
Preservative
0.01% Thimerosal
Purity
Antigen Affinity-purified

Alternate Names for RAB2B Antibody - BSA Free

  • FLJ14824
  • member RAB2B
  • RAB2B, member RAS oncogene family
  • ras-related protein Rab-2B

Background

Members of the Rab protein family are nontransforming monomeric GTP-binding proteins of the Ras superfamily that contain 4 highly conserved regions involved in GTP binding and hydrolysis. Rab proteins are prenylated, membrane-bound proteins involved in vesicular fusion and trafficking; see MIM 179508.[supplied by OMIM]

Limitations

This product is for research use only and is not approved for use in humans or in clinical diagnosis. Primary Antibodies are guaranteed for 1 year from date of receipt.

Customers Who Viewed This Item Also Viewed...

NBP3-46833
Species: Hu, Mu, Rt
Applications: ELISA, IHC, WB
NB300-605
Species: Hu, Mu, Po, Rt
Applications: Flow, IB, ICC/IF, IHC, IHC-Fr,  IHC-P, In vitro, WB
M6000B
Species: Mu
Applications: ELISA
NBP1-76917
Species: Hu, Mu, Rt
Applications: ELISA, ICC/IF, IHC,  IHC-P, WB
NBP2-45497
Species: Ca, Hu, Pm, Mu, Rt
Applications: ICC/IF, IHC,  IHC-P, WB
MAB140
Species: Hu
Applications: CyTOF-ready, Dual ISH-IHC, ELISA(Cap), ELISA(Det), ELISA(Sta), Flow, IHC, Neut
NBP2-03971
Species: Bv, Ca, Ch, ChHa, Eq, Hu, Mu, Po, Pm, Rb, Rt
Applications: IHC,  IHC-P, WB
DIP100
Species: Hu
Applications: ELISA
NBP1-91991
Species: Hu, Mu, Rt
Applications: ICC/IF, IHC,  IHC-P, WB
NBP2-47415
Species: Hu
Applications: ICC/IF, IHC,  IHC-P, WB
NBP2-61825
Species: Hu, Rt
Applications: ELISA, Flow, ICC/IF, IHC,  IHC-P, WB
NB100-689
Species: Hu, Rt
Applications: IHC, IHC-Fr,  IHC-P, Simple Western, WB
NBP2-13188
Species: Hu
Applications: IHC,  IHC-P
NBP2-02340
Species: Hu, Pm, Mu, Rt
Applications: Flow, ICC/IF, IHC,  IHC-P, WB
NBP3-27140
Species: Hu
Applications: ELISA, Flow, WB
DRN00B
Species: Hu
Applications: ELISA
NBP1-31631
Species: Hu, Mu
Applications: WB, ICC/IF, IHC
⚠ WARNING: This product can expose you to chemicals including mercury, which is known to the State of California to cause reproductive toxicity with developmental effects.  For more information go to www.P65Warnings.ca.gov.

Publications for RAB2B Antibody (NBP1-31631) (0)

There are no publications for RAB2B Antibody (NBP1-31631).
By submitting your publication information earn gift cards and discounts for future purchases.

Reviews for RAB2B Antibody (NBP1-31631) (0)

There are no reviews for RAB2B Antibody (NBP1-31631). By submitting a review you will receive an Amazon e-Gift Card or Novus Product Discount.
  • Review with no image -- $10/€7/£6/$10 CAD/¥70 Yuan/¥1110 Yen
  • Review with an image -- $25/€18/£15/$25 CAD/¥150 Yuan/¥2500 Yen

Product General Protocols

Find general support by application which include: protocols, troubleshooting, illustrated assays, videos and webinars.

Video Protocols

WB Video Protocol
ICC/IF Video Protocol

FAQs for RAB2B Antibody (NBP1-31631) (0)

There are no specific FAQs related to this product. Read our general customer & technical service FAQs.

Secondary Antibodies

 

Isotype Controls

Additional RAB2B Products

Research Areas for RAB2B Antibody (NBP1-31631)

Find related products by research area.

Blogs on RAB2B

There are no specific blogs for RAB2B, but you can read our latest blog posts.

Customers Who Bought This Also Bought

Contact Information

Product PDFs

Calculators

Concentration Calculator

The concentration calculator allows you to quickly calculate the volume, mass or concentration of your vial. Simply enter your mass, volume, or concentration values for your reagent and the calculator will determine the rest.

=
÷

Review this Product

Be the first to review our RAB2B Antibody - BSA Free and receive a gift card or discount.

Bioinformatics

Gene Symbol RAB2B