RAB19B Antibody - BSA Free

Images

 
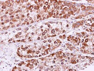
Immunohistochemistry-Paraffin: RAB19B Antibody [NBP2-13188] Staining of human rectum shows strong cytoplasmic positivity in glandular cells.

Product Details

Summary
Reactivity Hu, Mu, RtSpecies Glossary
Applications IHC
Clonality
Polyclonal
Host
Rabbit
Conjugate
Unconjugated
Format
BSA Free

Order Details

View Available Formulations
Catalog# & Formulation Size Price

RAB19B Antibody - BSA Free Summary

Description
Novus Biologicals Rabbit RAB19B Antibody - BSA Free (NBP2-13188) is a polyclonal antibody validated for use in IHC. All Novus Biologicals antibodies are covered by our 100% guarantee.
Immunogen
This antibody was developed against Recombinant Protein corresponding to amino acids: LIGNKCDLWEKRHVLFEDACTLAEKYGLLAVLETSAKES
Predicted Species
Mouse (95%), Rat (97%). Backed by our 100% Guarantee.
Isotype
IgG
Clonality
Polyclonal
Host
Rabbit
Gene
RAB19
Purity
Immunogen affinity purified
Innovator's Reward
Test in a species/application not listed above to receive a full credit towards a future purchase.

Applications/Dilutions

Dilutions
  • Immunohistochemistry 1:50 - 1:200
  • Immunohistochemistry-Paraffin 1:50 - 1:200
Application Notes
For IHC-Paraffin, HIER pH 6 retrieval is recommended.
Control Peptide
RAB19B Protein (NBP2-13188PEP)

Packaging, Storage & Formulations

Storage
Store at 4C short term. Aliquot and store at -20C long term. Avoid freeze-thaw cycles.
Buffer
PBS (pH 7.2) and 40% Glycerol
Preservative
0.02% Sodium Azide
Purity
Immunogen affinity purified

Alternate Names for RAB19B Antibody - BSA Free

  • RAB19, member RAS oncogene family
  • RAB19BGTP-binding protein RAB19B
  • ras-related protein Rab-19

Background

RAB19B, also known as Ras-related protein Rab-19, is a 24 kDa 217 amino acid protein with a longer 30kDa 264 isoform. RAB19B belongs to the Rab family and can be found in the cell membrane. Current research on RAB19B is being conducted in relation to the diseases pilocytic astrocytoma and astrocytoma. RAB19B is linked to the transport pathway where it interacts with RANBP1, RANBP2, RANGAP1, ARHGDIA and KPNB1.

Limitations

This product is for research use only and is not approved for use in humans or in clinical diagnosis. Primary Antibodies are guaranteed for 1 year from date of receipt.

Customers Who Viewed This Item Also Viewed...

NBP2-61825
Species: Hu, Rt
Applications: ELISA, Flow, ICC/IF, IHC,  IHC-P, WB
NBP1-86528
Species: Hu
Applications: IHC,  IHC-P
NBP2-25160
Species: Bv, Ca, Eq, Hu, Mu, Po, Rt
Applications: ICC/IF, IHC, WB
AF887
Species: Hu, Mu, Rt
Applications: CyTOF-ready, IHC, ICFlow, Simple Western, WB
NBP1-80789
Species: Hu
Applications: IHC,  IHC-P, KD, WB
NBP2-45497
Species: Ca, Hu, Pm, Mu, Rt
Applications: ICC/IF, IHC,  IHC-P, WB
NB200-106
Species: Mu, Rt
Applications: ELISA, ICC/IF, IHC, IHC-Fr,  IHC-P, WB
AF1230
Species: Hu, Mu, Rt
Applications: IHC, KO, WB
NBP1-47668
Species: Hu, Pm, Mu, Rt
Applications: Flow, ICC/IF, IHC,  IHC-P, IP, WB
AF467
Species: Hu, Mu
Applications: CyTOF-ready, Flow, ICC, IHC, Simple Western, WB
NBP2-61832
Species: Hu, Pm, Mu, Rt
Applications: ELISA, Flow, ICC/IF, IHC,  IHC-P, WB
NBP2-23392
Species: Hu
Applications: PAGE, WB
NBP3-16825
Species: Hu
Applications: ICC/IF, WB
NBP3-32885
Species: Hu, Mu, Rt
Applications: ICC/IF, WB
NBP1-91991
Species: Hu, Mu, Rt
Applications: ICC/IF, IHC,  IHC-P, WB
H00339122-M01
Species: Hu
Applications: ELISA, IHC,  IHC-P, WB
NBP1-31631
Species: Hu, Mu
Applications: ICC/IF, IHC,  IHC-P, WB
H00008826-M01
Species: Hu
Applications: ELISA, ICC/IF, IHC,  IHC-P, KD, S-ELISA, WB

Publications for RAB19B Antibody (NBP2-13188) (0)

There are no publications for RAB19B Antibody (NBP2-13188).
By submitting your publication information earn gift cards and discounts for future purchases.

Reviews for RAB19B Antibody (NBP2-13188) (0)

There are no reviews for RAB19B Antibody (NBP2-13188). By submitting a review you will receive an Amazon e-Gift Card or Novus Product Discount.
  • Review with no image -- $10/€7/£6/$10 CAD/¥70 Yuan/¥1110 Yen
  • Review with an image -- $25/€18/£15/$25 CAD/¥150 Yuan/¥2500 Yen

Product General Protocols

Find general support by application which include: protocols, troubleshooting, illustrated assays, videos and webinars.

FAQs for RAB19B Antibody (NBP2-13188) (0)

There are no specific FAQs related to this product. Read our general customer & technical service FAQs.

Secondary Antibodies

 

Isotype Controls

Additional RAB19B Products

Research Areas for RAB19B Antibody (NBP2-13188)

Find related products by research area.

Blogs on RAB19B

There are no specific blogs for RAB19B, but you can read our latest blog posts.

Customers Who Bought This Also Bought

Contact Information

Product PDFs

Calculators

Concentration Calculator

The concentration calculator allows you to quickly calculate the volume, mass or concentration of your vial. Simply enter your mass, volume, or concentration values for your reagent and the calculator will determine the rest.

=
÷

Review this Product

Be the first to review our RAB19B Antibody - BSA Free and receive a gift card or discount.

Bioinformatics

Gene Symbol RAB19