PTP1B/PTPN1 Antibody

Images

 
Western Blot: PTP1B/PTPN1 Antibody [NBP2-89139] - Analysis of PTP1B on recombinant protein lysate using anti-PTP1B antibody at 1/5,000 dilution.
Immunocytochemistry/ Immunofluorescence: PTP1B/PTPN1 Antibody [NBP2-89139] - Staining PTP1B in Siha cells (green). The nuclear counter stain is DAPI (blue). Cells were fixed in paraformaldehyde, permeabilised with 0.25% ...read more
Immunohistochemistry-Paraffin: PTP1B/PTPN1 Antibody [NBP2-89139] - Analysis of mouse fallopian tubes tissue using anti-PTP1B antibody. Counter stained with hematoxylin.
Immunocytochemistry/ Immunofluorescence: PTP1B/PTPN1 Antibody [NBP2-89139] - Staining PTP1B in LOVO cells (green). The nuclear counter stain is DAPI (blue). Cells were fixed in paraformaldehyde, permeabilised with 0.25% ...read more
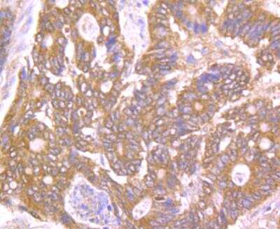
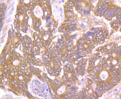
Immunohistochemistry-Paraffin: PTP1B/PTPN1 Antibody [NBP2-89139] - Analysis of paraffin-embedded human colon cancer tissue using anti-PTP1B antibody. Counter stained with hematoxylin.
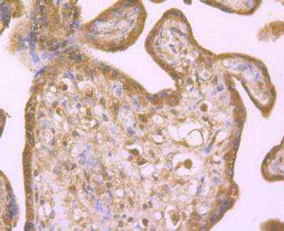
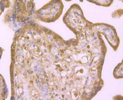
Immunohistochemistry-Paraffin: PTP1B/PTPN1 Antibody [NBP2-89139] - Analysis of paraffin-embedded human placenta tissue using anti-PTP1B antibody. Counter stained with hematoxylin.

Product Details

Summary
Product Discontinued
View other related PTP1B/PTPN1 Primary Antibodies

Order Details


    • Catalog Number
      NBP2-89139
    • Availability
      Product Discontinued

    Can't find what you are looking for? Use our Antibody Concierge Service & we will help you locate your antibody!

    Or feel free to contact us for alternative products.

PTP1B/PTPN1 Antibody Summary

Immunogen
Recombinant protein within Human PTP1B/PTPN1 aa 1-191 / 435. (SwissProt: P18031 Human; SwissProt: P35821 Mouse)
Localization
Endoplasmic reticulum.
Isotype
IgG
Clonality
Polyclonal
Host
Rabbit
Gene
PTPN1
Purity
Immunogen affinity purified
Innovator's Reward
Test in a species/application not listed above to receive a full credit towards a future purchase.

Applications/Dilutions

Dilutions
  • Immunocytochemistry/ Immunofluorescence 1:500-1:2000
  • Immunohistochemistry
  • Immunohistochemistry-Paraffin 1:100-1:500
  • Western Blot 1:1000-1:5000
Theoretical MW
50 kDa.
Disclaimer note: The observed molecular weight of the protein may vary from the listed predicted molecular weight due to post translational modifications, post translation cleavages, relative charges, and other experimental factors.

Packaging, Storage & Formulations

Storage
Store at 4C short term. Aliquot and store at -20C long term. Avoid freeze-thaw cycles.
Buffer
PBS (pH7.4), 0.2% BSA, 50% Glycerol
Preservative
0.05% Sodium Azide
Concentration
1 mg/ml
Purity
Immunogen affinity purified

Alternate Names for PTP1B/PTPN1 Antibody

  • EC 3.1.3.48
  • protein tyrosine phosphatase 1B
  • protein tyrosine phosphatase, non-receptor type 1
  • Protein-tyrosine phosphatase 1B
  • PTP1B
  • PTP-1B
  • PTP1Bprotein tyrosine phosphatase, placental
  • PTPN1
  • tyrosine-protein phosphatase non-receptor type 1

Background

The non-transmembrane protein tyrosine phosphatase, PTP1B, comprises 435 amino acids, of which the C-terminal 114 residues have been implicated in controlling both localization and function of this enzyme. Increased phosphorylation of PTP1B is seen to accompany the transition from G2 to M phase of the cell cycle. Immunofluorescence experiments indicate that PTP-1B is localized predominantly in the endoplasmic reticulum (ER). Subcellular fractionation is consistent with this localization and establishes that PTP-1B is tightly associated with microsomal membranes, with its phosphatase domain oriented towards the cytoplasm. The finding of a tyrosine phosphatase on the ER suggests new possibilities for cellular events controlled by tyrosine phosphorylation (2). It has also been shown that PTP1B is a novel substrate for Akt and that phosphorylation of PTP1B by Akt at Ser(50) may negatively modulate its phosphatase activity creating a positive feedback mechanism for insulin signaling (3).

Limitations

This product is for research use only and is not approved for use in humans or in clinical diagnosis. Primary Antibodies are guaranteed for 1 year from date of receipt.

Customers Who Viewed This Item Also Viewed...

MAB1417
Species: Bv, Hu, Mu
Applications: ICC, IHC
NBP2-12793
Species: Hu, Mu
Applications: IHC,  IHC-P, IP, WB
AF1657
Species: Mu
Applications: WB
MAB7475
Species: Hu, Rt
Applications: WB
H00005250-B02P
Species: Hu
Applications: ICC/IF, WB
MAB1930
Species: Hu, Mu, Rt
Applications: WB
NB100-82001
Species: Hu, Mu, Po, Rt
Applications: ICC/IF, IHC,  IHC-P, Simple Western, WB
AF887
Species: Hu, Mu, Rt
Applications: CyTOF-ready, IHC, ICFlow, Simple Western, WB
DLP00
Species: Hu
Applications: ELISA
DYC1825-2
Species: Hu, Mu, Rt
Applications: ELISA
AF231
Species: Hu
Applications: CyTOF-ready, Dual ISH-IHC, ELISA(Cap), ELISA(Det), ELISA(Sta), Flow, ICC, IHC, IP, Simple Western, WB
AF2685
Species: Hu
Applications: IHC, Simple Western, WB
NBP1-83276
Species: Hu, Rt
Applications: ICC/IF, IHC,  IHC-P, WB
NBP2-59451
Species: Hu
Applications: ELISA, Flow, ICC/IF, MiAr, Simple Western, WB
AF1230
Species: Hu, Mu, Rt
Applications: IHC, KO, WB
NBP2-42172
Species: Hu, Mu, Rt
Applications: ICC/IF, WB
AF3790
Species: Hu, Mu
Applications: ICC, Simple Western, WB
236-EG
Species: Hu
Applications: BA
AF114
Species: Mu
Applications: CyTOF-ready, Flow, ICC, IHC, WB
NBP2-89139
Species: Hu, Mu
Applications: WB, ICC/IF, IHC

Publications for PTP1B/PTPN1 Antibody (NBP2-89139) (0)

There are no publications for PTP1B/PTPN1 Antibody (NBP2-89139).
By submitting your publication information earn gift cards and discounts for future purchases.

Reviews for PTP1B/PTPN1 Antibody (NBP2-89139) (0)

There are no reviews for PTP1B/PTPN1 Antibody (NBP2-89139). By submitting a review you will receive an Amazon e-Gift Card or Novus Product Discount.
  • Review with no image -- $10/€7/£6/$10 CAD/¥70 Yuan/¥1110 Yen
  • Review with an image -- $25/€18/£15/$25 CAD/¥150 Yuan/¥2500 Yen

Product General Protocols

Find general support by application which include: protocols, troubleshooting, illustrated assays, videos and webinars.

Video Protocols

WB Video Protocol
ICC/IF Video Protocol

FAQs for PTP1B/PTPN1 Antibody (NBP2-89139) (0)

There are no specific FAQs related to this product. Read our general customer & technical service FAQs.

Contact Information

Product PDFs

Calculators

Concentration Calculator

The concentration calculator allows you to quickly calculate the volume, mass or concentration of your vial. Simply enter your mass, volume, or concentration values for your reagent and the calculator will determine the rest.

=
÷

Review this Product

Be the first to review our PTP1B/PTPN1 Antibody and receive a gift card or discount.

Bioinformatics

Gene Symbol PTPN1