PTH Antibody (3H9) - N-terminal - IHC-Prediluted

Images

 
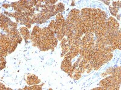
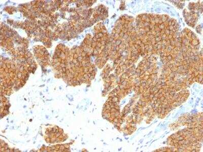
Immunohistochemistry-Paraffin: PTH Antibody (3H9) - IHC-Prediluted [NBP2-48374] - Formalin-fixed, paraffin-embedded human Parathyroid Gland stained with PTH Mouse Monoclonal Antibody (3H9).

Product Details

Summary
Reactivity HuSpecies Glossary
Applications IHC
Clone
3H9
Clonality
Monoclonal
Host
Mouse
Conjugate
Unconjugated
Format
IHC-Prediluted

Order Details

PTH Antibody (3H9) - N-terminal - IHC-Prediluted Summary

Description
The prediluted antibody does not require any mixing, dilution, reconstitution, or titration; the antibody is ready-to-use and optimized for staining.
Immunogen
A synthetic peptide around aa 1-34 of human mature-PTH-polypeptide (exact sequence is proprietary) (Uniprot: P01270)
Localization
Cytoplasmic and Secreted
Specificity
Epitope of this monoclonal antibody maps in between aa 1-34. PTH is a hormone produced by the parathyroid gland that regulates the concentration of calcium and phosphorus in extracellular fluid. This hormone elevates blood Ca2+ levels by dissolving the salts in bone and preventing their renal excretion. It is produced in the parathyroid gland as an 84 amino acid single chain polypeptide. It can also be secreted as N-terminal truncated fragments or C-terminal fragments after intracellular degradation, as in case of hypercalcemia. Defects in this gene are a cause of familial isolated hypoparathyroidism (FIH); also called autosomal dominant hypoparathyroidism or autosomal dominant hypocalcemia. FIH is characterized by hypocalcemia and hyperphosphatemia due to inadequate secretion of parathyroid hormone. Symptoms are seizures, tetany and cramps. FIH exist both as autosomal dominant and recessive forms of hypoparathyroidism.
Isotype
IgG2b Kappa
Clonality
Monoclonal
Host
Mouse
Gene
PTH
Purity
Protein A or G purified
Innovator's Reward
Test in a species/application not listed above to receive a full credit towards a future purchase.

Applications/Dilutions

Dilutions
  • Immunohistochemistry
  • Immunohistochemistry-Paraffin 0.25-0.5ug/ml
Application Notes
Immunohistochemistry (Formalin-fixed): 1-2ug/ml for 30 minutes at RT. Staining of formalin-fixed tissues requires heating tissue sections in 10mM Tris with 1mM EDTA, pH 9.0, for 45 min at 95C followed by cooling at RT for 20 minutes.
Optimal dilution for a specific application should be determined.
Theoretical MW
9 kDa.
Disclaimer note: The observed molecular weight of the protein may vary from the listed predicted molecular weight due to post translational modifications, post translation cleavages, relative charges, and other experimental factors.

Reactivity Notes

Predicted to react with Mouse. Rat. Rabbit. Bovine. Canine. Porcine. Deer. Orangutan.

Packaging, Storage & Formulations

Storage
Store at 4C.
Buffer
10 mM PBS with 0.05% BSA
Preservative
0.05% Sodium Azide
Purity
Protein A or G purified

Alternate Names for PTH Antibody (3H9) - N-terminal - IHC-Prediluted

  • Parathormone
  • Parathyrin
  • parathyroid hormone 1
  • parathyroid hormone
  • PTH
  • PTH1

Background

Parathyroid hormone (PTH), which is also designated parathyrin, is an 84 amino acid single chain peptide that functions to regulate calcium metabolism by raising blood levels of calcium through various mechanisms. PTH stimulates bone formation to increase bone mass and strength in rats and humans. Within the PTH molecule, the essential activity is associated with the first 34 amino acids at the amino-terminus of the molecule. The gene encoding PTH maps to human chromosome 11p15.3-p15.1. Parathyroid hormone-related protein (PTH-rP) is an autocrine factor that is structurally related to PTH yet, unlike PTH, which is synthesized only by the parathyroid cells, PTH-rP is synthesized by several cell types. PTH-rP regulates endochondral bone development and epithelial-mesenchymal interactions during the formation of the mammary glands and teeth. Isolated from the culture medium of a human lung cancer cell line, PTH-rP produces PTH-like effects that are characterized as humoral hypercalcemia of malignancy.

Limitations

This product is for research use only and is not approved for use in humans or in clinical diagnosis. Primary Antibodies are guaranteed for 1 year from date of receipt.

Customers Who Viewed This Item Also Viewed...

MAB1419
Species: Hu, Rt
Applications: CyTOF-ready, ICC, IHC, ICFlow
MAB6734
Species: Hu
Applications: IHC
NB120-14817
Species: Hu, Rt
Applications: ICC/IF, IHC, S-ELISA, WB
NB300-164
Species: Ca, Hu, Mu, Po, Pm, Rt(-)
Applications: Dual ISH-IHC, ICC/IF, IHC, IHC-Fr,  IHC-P, IP, KO, PLA, WB
NBP1-89953
Species: Hu, Mu
Applications: ICC/IF, IHC,  IHC-P
MAB1455
Species: Hu
Applications: CyTOF-ready, Dual ISH-IHC, ICC, IHC, ICFlow, Simple Western, WB
291-G1
Species: Hu
Applications: BA
MAB26291
Species: Mu
Applications: IHC
NB120-19347
Species: Bv, Hu, Mu, Po, Rt
Applications: ELISA, ICC/IF, IHC, IHC-Fr,  IHC-P, WB
MAB1417
Species: Bv, Hu, Mu
Applications: ICC, IHC
DY805
Species: Hu
Applications: ELISA
M6000B
Species: Mu
Applications: ELISA
NBP1-40067
Species: Bv, Ca, Eq, Hu, Pm, Mu, Po, Pm
Applications: ICC/IF, IHC,  IHC-P, WB
NB110-3638
Species: Hu, Mu, Rt
Applications: ELISA, Flow, ICC/IF, IHC, IHC-Fr,  IHC-P, RI, WB
NBP2-92749
Species: Hu, Mu
Applications: ELISA, WB
DCC270
Species: Hu
Applications: ELISA
NBP1-89133
Species: Hu
Applications: ICC/IF, IHC,  IHC-P, WB
NBP3-25358
Species: Hu, Mu, Rt
Applications: IHC,  IHC-P, WB
DPI00
Species: Hu
Applications: ELISA
NBP2-48374
Species: Hu
Applications: IHC

Publications for PTH Antibody (NBP2-48374) (0)

There are no publications for PTH Antibody (NBP2-48374).
By submitting your publication information earn gift cards and discounts for future purchases.

Reviews for PTH Antibody (NBP2-48374) (0)

There are no reviews for PTH Antibody (NBP2-48374). By submitting a review you will receive an Amazon e-Gift Card or Novus Product Discount.
  • Review with no image -- $10/€7/£6/$10 CAD/¥70 Yuan/¥1110 Yen
  • Review with an image -- $25/€18/£15/$25 CAD/¥150 Yuan/¥2500 Yen

Product General Protocols

Find general support by application which include: protocols, troubleshooting, illustrated assays, videos and webinars.

FAQs for PTH Antibody (NBP2-48374) (0)

There are no specific FAQs related to this product. Read our general customer & technical service FAQs.

Secondary Antibodies

 

Isotype Controls

Additional PTH Products

Research Areas for PTH Antibody (NBP2-48374)

Find related products by research area.

Blogs on PTH

There are no specific blogs for PTH, but you can read our latest blog posts.

Customers Who Bought This Also Bought

Contact Information

Product PDFs

Calculators

Concentration Calculator

The concentration calculator allows you to quickly calculate the volume, mass or concentration of your vial. Simply enter your mass, volume, or concentration values for your reagent and the calculator will determine the rest.

=
÷

Review this Product

Be the first to review our PTH Antibody (3H9) - N-terminal - IHC-Prediluted and receive a gift card or discount.

Bioinformatics

Gene Symbol PTH