PRAME Antibody (CL5148) - Azide and BSA Free

Images

 
Orthogonal Strategies: Analysis in human testis and cervix, uterine tissues using NBP3-44111 antibody. Corresponding PRAME RNA-seq data are presented for the same tissues.
Staining of human cerebral cortex shows no positivity in neurons as expected.
Staining of human endometrium shows moderate nuclear positivity in glandular cells.
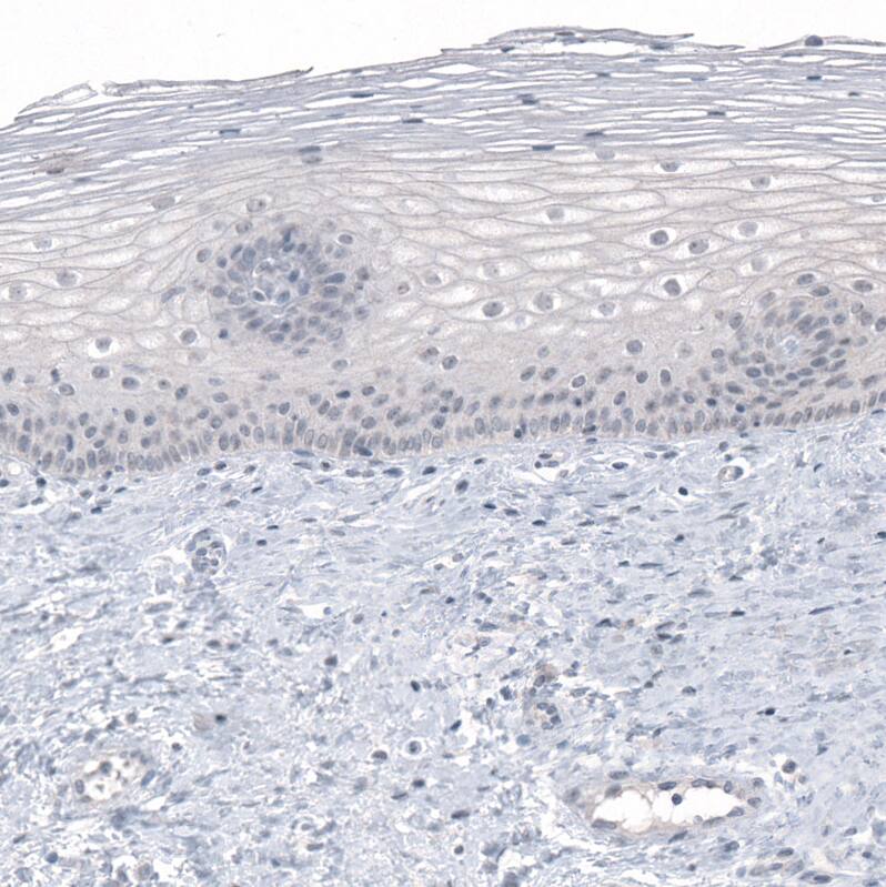
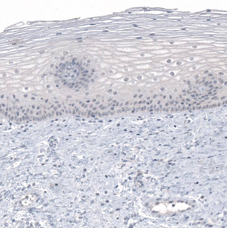
Staining of human uterine cervix shows no positivity in squamous epithelial cells as expected.
Analysis in human cell line U-2 OS.
Staining of human testis shows strong nuclear positivity in a subset of cells in seminiferous ducts.

Product Details

Summary
Reactivity HuSpecies Glossary
Applications WB, IHC
Clone
CL5148
Clonality
Monoclonal
Host
Mouse
Conjugate
Unconjugated
Format
Azide and BSA Free
Concentration
LYOPH
Validated by:
       

Orthogonal Strategies

 

Order Details

PRAME Antibody (CL5148) - Azide and BSA Free Summary

Description
Novus Biologicals Mouse PRAME Antibody (CL5148) - Azide and BSA Free (NBP2-61149) is a monoclonal antibody validated for use in IHC and WB. All Novus Biologicals antibodies are covered by our 100% guarantee.
Immunogen
This antibody was generated using a recombinant protein sequence of P78395, with the exact immunogen sequence remaining proprietary.
Isotype
IgG1
Clonality
Monoclonal
Host
Mouse
Gene
PRAME
Purity
Protein A purified
Innovator's Reward
Test in a species/application not listed above to receive a full credit towards a future purchase.

Applications/Dilutions

Dilutions
  • Immunohistochemistry-Paraffin 1:50 - 1:200
  • Western Blot 1 ug/ml
Application Notes
For IHC-Paraffin, HIER pH 6 retrieval is recommended.

Packaging, Storage & Formulations

Storage
Store at 4C short term. Aliquot and store at -20C long term. Avoid freeze-thaw cycles.
Buffer
Lyophilized from a 0.2 um filtered solution in PBS with Trehalose
Preservative
No Preservative
Concentration
LYOPH
Purity
Protein A purified
Reconstitution Instructions
Centrifuge the vial of lyophilized antibody at 12,000 x g for 20 seconds. Reconstitute by adding sterile, distilled water to achieve a final antibody concentration of 1mg/ml.

Alternate Names for PRAME Antibody (CL5148) - Azide and BSA Free

  • cancer/testis antigen 130
  • MAPEOIP4CT130
  • melanoma antigen preferentially expressed in tumors
  • OIP-4
  • Opa-interacting protein 4
  • Opa-interacting protein OIP4
  • preferentially expressed antigen in melanoma
  • Preferentially expressed antigen of melanoma

Background

PRAME encodes an antigen that is predominantly expressed in human melanomas and that is recognized by cytolytic T lymphocytes. It is not expressed in normal tissues, except testis. This expression pattern is similar to that of other CT antigens, such as MAGE, BAGE and GAGE. However, unlike these other CT antigens, this gene is also expressed in acute leukemias. Recent data from Epping et.al., (Cell, Vol. 122: 835) suggest that overexpression of PRAME frequently observed in human cancers confers growth or survival advantages by antagonizing RAR signaling.

Limitations

This product is for research use only and is not approved for use in humans or in clinical diagnosis. Primary Antibodies are guaranteed for 1 year from date of receipt.

Customers Who Viewed This Item Also Viewed...

NBP1-76538
Species: Hu, Mu, Po, Rt
Applications: ELISA, Flow, ICC/IF, IHC,  IHC-P, WB
NBP1-47714
Species: Hu
Applications: Flow, ICC/IF, IHC,  IHC-P, WB
NB110-60011
Species: Hu
Applications: ICC/IF, IHC, IHC-Fr,  IHC-P, IP, Simple Western, WB
NBP2-32972
Species: Ch, Pm, Hu, Pm, Mu, Rt, Sh
Applications: Flow, ICC/IF, IHC,  IHC-P, WB
NBP2-29463
Species: Pm, Hu, Pm, Mu
Applications: Flow, ICC/IF, IHC,  IHC-P, WB
NBP1-25966
Species: Hu
Applications: Flow, ICC/IF, IHC, IHC-Fr,  IHC-P, WB
NBP1-30151
Species: Ca, Hu, Mu
Applications: ICC/IF, IHC,  IHC-P
NB100-64775
Species: Hu
Applications: CyTOF-ready, ELISA, Flow, Func, IHC, IHC-Fr, IHC-P (-), IP
H00003126-P01
Species: Hu
Applications: ELISA, AP, PA, WB
NB100-417
Species: Hu, Mu, Pl, Rt
Applications: ChIP, Dual ISH-IHC, ELISA, Flow, GS, IB, ICC/IF, IHC, IHC-Fr,  IHC-P, IP, MiAr, PLA, Simple Western, WB
AF4117
Species: Rt
Applications: IHC, WB
NBP2-05158
Species: Hu
Applications: WB
NB500-201
Species: Ca, Fe, Gp, Ha, Hu, Mu, Rt
Applications: ChIP, Dual ISH-IHC, ELISA, Flow, ICC/IF, IHC, IHC-Fr,  IHC-P, IP, KD, Simple Western, WB
MAB812
Species: Hu
Applications: CyTOF-ready, Flow
AF6897
Species: Hu, Mu
Applications: IHC, Simple Western, WB
H00006275-M01
Species: Hu, Mu
Applications: ELISA, ICC/IF, IHC, WB

Publications for PRAME Antibody (NBP3-44111) (0)

There are no publications for PRAME Antibody (NBP3-44111).
By submitting your publication information earn gift cards and discounts for future purchases.

Reviews for PRAME Antibody (NBP3-44111) (0)

There are no reviews for PRAME Antibody (NBP3-44111). By submitting a review you will receive an Amazon e-Gift Card or Novus Product Discount.
  • Review with no image -- $10/€7/£6/$10 CAD/¥70 Yuan/¥1110 Yen
  • Review with an image -- $25/€18/£15/$25 CAD/¥150 Yuan/¥2500 Yen

Product General Protocols

Find general support by application which include: protocols, troubleshooting, illustrated assays, videos and webinars.

Video Protocols

WB Video Protocol

FAQs for PRAME Antibody (NBP3-44111) (0)

There are no specific FAQs related to this product. Read our general customer & technical service FAQs.

Secondary Antibodies

 

Isotype Controls

Additional PRAME Products

Research Areas for PRAME Antibody (NBP3-44111)

Find related products by research area.

Blogs on PRAME

There are no specific blogs for PRAME, but you can read our latest blog posts.

Customers Who Bought This Also Bought

Contact Information

Product PDFs

Calculators

Concentration Calculator

The concentration calculator allows you to quickly calculate the volume, mass or concentration of your vial. Simply enter your mass, volume, or concentration values for your reagent and the calculator will determine the rest.

=
÷

Review this Product

Be the first to review our PRAME Antibody (CL5148) - Azide and BSA Free and receive a gift card or discount.

Bioinformatics

Gene Symbol PRAME