POU2F2 Antibody (OCT2/7073R) - Azide and BSA Free

Images

 
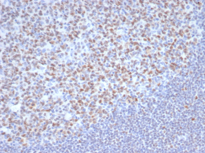
Formalin-fixed, paraffin-embedded human tonsil stained with OCT2 antibody (OCT2/7073R). HIER: Tris/EDTA, pH9.0, 45min. Secondary: HRP-polymer, 30min. DAB, 5min.
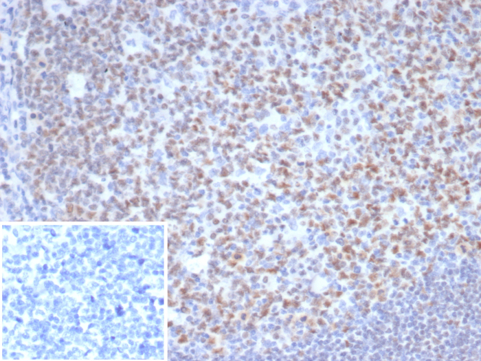
Formalin-fixed, paraffin-embedded human tonsil stained with OCT2 antibody (OCT2/7073R). Inset: PBS instead of primary antibody; secondary only negative control.

Product Details

Summary
Reactivity HuSpecies Glossary
Applications IHC
Clone
OCT2/7073R
Clonality
Monoclonal
Host
Rabbit
Conjugate
Unconjugated
Format
Azide and BSA Free
Concentration
1 mg/ml

Order Details

POU2F2 Antibody (OCT2/7073R) - Azide and BSA Free Summary

Description
1.0 mg/ml of antibody purified from Bioreactor Concentrate by Protein A/G. Prepared in 10mM PBS WITHOUT BSA & azide. Also available at 200 ug/ml WITH BSA & azide (NBP3-13743).

Antibody with azide - store at 2 to 8C. Antibody without azide - store at -20 to -80 C.
Additional Information
Recombinant Monoclonal Antibody
Immunogen
Recombinant fragment of human POU2F2 protein (around aa 112-297) (exact sequence is proprietary) (Uniprot: P09086)
Localization
Nucleus
Marker
B-Cell Marker
Isotype
IgG Kappa
Clonality
Monoclonal
Host
Rabbit
Gene
POU2F2
Purity
Protein A or G purified
Innovator's Reward
Test in a species/application not listed above to receive a full credit towards a future purchase.

Applications/Dilutions

Dilutions
  • Immunohistochemistry-Paraffin 1-2 ug/ml
Application Notes
Immunohistochemistry (Formalin-fixed): 1-2ug/ml for 30 minutes at RT. Staining of formalin-fixed tissues requires heating tissue sections in 10mM Tris with 1mM EDTA, pH 9.0, for 45 min at 95C followed by cooling at RT for 20 minutes
Theoretical MW
60 kDa.
Disclaimer note: The observed molecular weight of the protein may vary from the listed predicted molecular weight due to post translational modifications, post translation cleavages, relative charges, and other experimental factors.

Packaging, Storage & Formulations

Storage
Store at -20 to -80C. Avoid freeze-thaw cycles.
Buffer
10mM PBS
Preservative
No Preservative
Concentration
1 mg/ml
Purity
Protein A or G purified

Alternate Names for POU2F2 Antibody (OCT2/7073R) - Azide and BSA Free

  • homeobox protein
  • Lymphoid-restricted immunoglobulin octamer-binding protein NF-A2
  • OCT2
  • Octamer-binding protein 2
  • Octamer-binding transcription factor 2
  • OTF2
  • OTF-2
  • POU class 2 homeobox 2
  • POU domain, class 2, transcription factor 2

Background

Octamer transcription factor-2 (Oct-2) is a transcription factor that specifically binds to the octamer motif (5'- ATTTCAT-3'). Mostly expressed in B cells, Oct-2 posses a "leucine zipper" domain and belongs to the POU family of transcription factors (1-3). Additionally, Oct-2 regulates transcription in a number of tissues in addition to activating immunoglobulin gene expression.

Limitations

This product is for research use only and is not approved for use in humans or in clinical diagnosis. Primary Antibodies are guaranteed for 1 year from date of receipt.

Customers Who Viewed This Item Also Viewed...

NBP2-24677
Species: Ca, Eq, Hu, Pm
Applications: ICC/IF, IHC,  IHC-P, WB
NBP1-51684
Species: Hu, Mu
Applications: EM, ELISA, Flow, ICC/IF, IHC, WB
NBP2-75752
Species: Hu
Applications: Flow, ICC/IF, IHC,  IHC-P, PA, WB
NB100-68209
Species: Hu
Applications: IP, KD, WB
MAB6547
Species: Hu
Applications: Flow, IHC, mIF
AF1759
Species: Hu, Mu
Applications: ChIP, ICC, IP, Simple Western, WB
NBP1-83976
Species: Hu
Applications: ICC/IF, IHC,  IHC-P
NBP2-67471
Species: Hu, Mu, Rt
Applications: ICC/IF, IHC,  IHC-P, WB
NBP2-27163
Species: Bv, Ca, Eq, Hu, Mu, Pm
Applications: Flow, WB
AF5486
Species: Hu, Mu, Rt
Applications: CyTOF-ready, Flow, ICC, Simple Western, WB
MAB3487
Species: Hu, Mu
Applications: Flow, ICC, IHC, mIF, Simple Western, WB
NBP1-87909
Species: Hu, Rt
Applications: IHC,  IHC-P
NBP2-50037
Species: Hu, Mu, Rt
Applications: ICC/IF, IHC, KO, WB
NBP2-54591
Species: Hu
Applications: CyTOF-ready, Flow, ICC/IF, IHC,  IHC-P, PA
202-IL
Species: Hu
Applications: BA
NBP2-67309
Species: Hu, Rt
Applications: Flow, ICC/IF, IHC,  IHC-P, IP, WB
NBP2-62690
Species: Hu
Applications: IHC,  IHC-P
NB100-56583
Species: Hu, Rb, Rt
Applications: Flow, IHC,  IHC-P, KO, Simple Western, WB

Publications for POU2F2 Antibody (NBP3-14146) (0)

There are no publications for POU2F2 Antibody (NBP3-14146).
By submitting your publication information earn gift cards and discounts for future purchases.

Reviews for POU2F2 Antibody (NBP3-14146) (0)

There are no reviews for POU2F2 Antibody (NBP3-14146). By submitting a review you will receive an Amazon e-Gift Card or Novus Product Discount.
  • Review with no image -- $10/€7/£6/$10 CAD/¥70 Yuan/¥1110 Yen
  • Review with an image -- $25/€18/£15/$25 CAD/¥150 Yuan/¥2500 Yen

Product General Protocols

Find general support by application which include: protocols, troubleshooting, illustrated assays, videos and webinars.

FAQs for POU2F2 Antibody (NBP3-14146) (0)

There are no specific FAQs related to this product. Read our general customer & technical service FAQs.

Secondary Antibodies

 

Isotype Controls

Additional POU2F2 Products

Research Areas for POU2F2 Antibody (NBP3-14146)

Find related products by research area.

Blogs on POU2F2

There are no specific blogs for POU2F2, but you can read our latest blog posts.

Customers Who Bought This Also Bought

Contact Information

Product PDFs

Calculators

Concentration Calculator

The concentration calculator allows you to quickly calculate the volume, mass or concentration of your vial. Simply enter your mass, volume, or concentration values for your reagent and the calculator will determine the rest.

=
÷

Review this Product

Be the first to review our POU2F2 Antibody (OCT2/7073R) - Azide and BSA Free and receive a gift card or discount.

Bioinformatics

Gene Symbol POU2F2