Podoplanin Antibody (JM31-21)

Images

 
Western Blot: Podoplanin Antibody (JM31-21) [NBP2-67070] - Analysis of Podoplanin on human lung cells lysates using anti-Podoplanin antibody at 1/500 dilution.
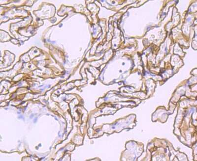
Immunohistochemistry-Paraffin: Podoplanin Antibody (JM31-21) [NBP2-67070] - Analysis of paraffin-embedded human lung tissue using anti-Podoplanin antibody. Counter stained with hematoxylin.
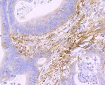
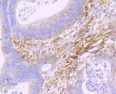
Immunohistochemistry-Paraffin: Podoplanin Antibody (JM31-21) [NBP2-67070] - Analysis of paraffin-embedded human colon cancer tissue using anti-Podoplanin antibody. Counter stained with hematoxylin.

Product Details

Summary
Product Discontinued
View other related Podoplanin Primary Antibodies

Order Details


    • Catalog Number
      NBP2-67070
    • Availability
      Product Discontinued

    Can't find what you are looking for? Use our Antibody Concierge Service & we will help you locate your antibody!

    Or feel free to contact us for alternative products.

Podoplanin Antibody (JM31-21) Summary

Additional Information
Recombinant Monoclonal Antibody.
Immunogen
Synthetic peptide within Human Podoplanin aa 35-75 / 162. (SwissProt: Q86YL7 Human)
Localization
Cell junction, Cell membrane, Cell projection, Cytoplasm, Membrane.
Isotype
IgG
Clonality
Monoclonal
Host
Rabbit
Gene
PDPN
Purity
Protein A purified
Innovator's Reward
Test in a species/application not listed above to receive a full credit towards a future purchase.

Applications/Dilutions

Dilutions
  • Immunohistochemistry
  • Immunohistochemistry-Paraffin 1:50-1:200
  • Western Blot 1:500-1:1000

Packaging, Storage & Formulations

Storage
Store at 4C short term. Aliquot and store at -20C long term. Avoid freeze-thaw cycles.
Buffer
TBS (pH7.4), 0.05% BSA, 40% Glycerol
Preservative
0.05% Sodium Azide
Concentration
1 mg/ml
Purity
Protein A purified

Alternate Names for Podoplanin Antibody (JM31-21)

  • 36-KD
  • Aggrus
  • Gp36
  • Gp38
  • GP40
  • HT1A-1
  • hT1alpha-1
  • hT1alpha-2
  • lung type I cell membrane associated glycoprotein
  • lung type-I cell membrane-associated glycoprotein (T1A-2)
  • OTS 8
  • OTS8
  • PA2.26 antigen
  • PDPN
  • Podoplanin
  • RANDAM-2
  • T1A
  • T1A-2
  • T1-alpha

Background

Podoplanin is a well-recognized lymphatic endothelium marker, which can be used to reliably distinguish lymphatic vessels from blood vessels. Podoplanin is a 38 kDa membrane mucoprotein that was originally detected on the surface of rat glomerular epithelial cells (podocytes) and was found to be linked to flattening of foot processes that occurs in glomerular diseases. Podoplanin shows features of a membrane mucoprotein with several conserved O-glycosylation sites. Currently, it is of unknown biological function. Because heavily O-glycosylated mucoproteins were identified recently as counterreceptors for selectins that mediate adhesion of inflammatory cells, it is possible that podoplanin plays a similar role in lymphatic endothelia.

Limitations

This product is for research use only and is not approved for use in humans or in clinical diagnosis. Primary Antibodies are guaranteed for 1 year from date of receipt.

Customers Who Viewed This Item Also Viewed...

AF2125
Species: Mu
Applications: Dual ISH-IHC, IHC, WB
DVEC00
Species: Hu
Applications: ELISA
NBP2-92630
Species: Hu, Mu, Rt
Applications: ELISA, ICC/IF, IHC,  IHC-P, WB
AF743
Species: Mu
Applications: CyTOF-ready, Flow, WB
AF1718
Species: Hu, Mu, Rt
Applications: WB
DKK300
Species: Hu
Applications: ELISA
AF3628
Species: Hu, Mu, Rt
Applications: CyTOF-ready, Flow, ICC, IHC, Simple Western, WB
NB110-41083
Species: Hu
Applications: ELISA, WB
AF4117
Species: Rt
Applications: IHC, WB
NBP1-89284
Species: Hu, Po
Applications: ICC/IF, IHC,  IHC-P, KD, WB
DVE00
Species: Hu
Applications: ELISA
H00005324-M02
Species: Hu, Mu
Applications: ELISA, IHC,  IHC-P, WB
NBP1-32920
Species: Hu, Mu
Applications: ICC/IF, IHC,  IHC-P, KD, WB
AF4036
Species: Hu
Applications: Simple Western, WB
NBP3-48658
Species: Ca, Fe, Hu, Mu, Rt, Ze
Applications: ICC/IF, IHC,  IHC-P, WB
NBP2-67070
Species: Hu
Applications: WB, IHC

Publications for Podoplanin Antibody (NBP2-67070) (0)

There are no publications for Podoplanin Antibody (NBP2-67070).
By submitting your publication information earn gift cards and discounts for future purchases.

Reviews for Podoplanin Antibody (NBP2-67070) (0)

There are no reviews for Podoplanin Antibody (NBP2-67070). By submitting a review you will receive an Amazon e-Gift Card or Novus Product Discount.
  • Review with no image -- $10/€7/£6/$10 CAD/¥70 Yuan/¥1110 Yen
  • Review with an image -- $25/€18/£15/$25 CAD/¥150 Yuan/¥2500 Yen

Product General Protocols

Find general support by application which include: protocols, troubleshooting, illustrated assays, videos and webinars.

Video Protocols

WB Video Protocol

FAQs for Podoplanin Antibody (NBP2-67070) (0)

There are no specific FAQs related to this product. Read our general customer & technical service FAQs.

Secondary Antibodies

 

Isotype Controls

Additional Podoplanin Products

Research Areas for Podoplanin Antibody (NBP2-67070)

Find related products by research area.

Blogs on Podoplanin.

Spheroids vs. Organoids: Which 3D Cell Culture Model is Best for You?
By Jennifer Jones, M.S.Spheroids and organoids are two words that, like “butter” and “margarine”, are often referred to interchangeably but have distinct meanings. The progression and adopt...  Read full blog post.

Meningeal lymphatics: recent discovery defying the concept of central nervous system 'immune privilege'
By Jennifer Sokolowski, MD, PhD. Identification and characterization of meningeal lymphaticsThe recent discovery of a lymphatic system in the meninges surrounding the brain and spinal cord has spurred a surge of int...  Read full blog post.

Podoplanin (OST8, Glycoprotein (Gp) 36 or 38, Lung Type I Cell Membrane Associated Glycoprotein)
Podoplanin is a mucin-type 1 transmembrane glycoprotein found in a wide range of tissues. It appears to be differentially expressed in endothelial cells of lymphatic but not blood vessel origin. In normal skin and kidney, podoplanin co-localizes with ...  Read full blog post.

Contact Information

Product PDFs

Calculators

Concentration Calculator

The concentration calculator allows you to quickly calculate the volume, mass or concentration of your vial. Simply enter your mass, volume, or concentration values for your reagent and the calculator will determine the rest.

=
÷

Review this Product

Be the first to review our Podoplanin Antibody (JM31-21) and receive a gift card or discount.

Bioinformatics

Gene Symbol PDPN