PLK1 Antibody

Images

 
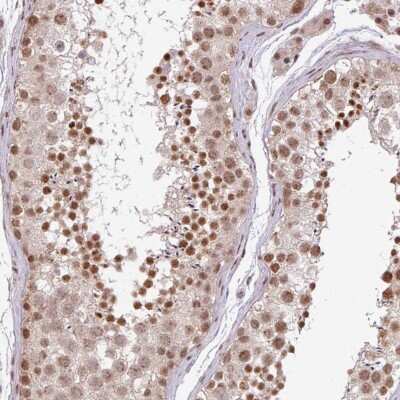
Immunohistochemistry-Paraffin: PLK1 Antibody [NBP2-49074] - Staining of human testis shows nuclear positivity in cells in seminiferous ducts and Leydig cells.

Product Details

Summary
Product Discontinued
View other related PLK1 Primary Antibodies

Order Details


    • Catalog Number
      NBP2-49074
    • Availability
      Product Discontinued

    Can't find what you are looking for? Use our Antibody Concierge Service & we will help you locate your antibody!

    Or feel free to contact us for alternative products.

PLK1 Antibody Summary

Immunogen
This antibody was developed against a recombinant protein corresponding to amino acids: AKCFEISDADTKEVFAGKIVPKSLLLKPHQREKMSMEISIHRSLAHQHVVGFHGFFEDNDFVFVVLELCRRRSLLELHKRRKALTEP
Predicted Species
Mouse (97%), Rat (97%). Backed by our 100% Guarantee.
Isotype
IgG
Clonality
Polyclonal
Host
Rabbit
Gene
PLK1
Purity
Immunogen affinity purified
Innovator's Reward
Test in a species/application not listed above to receive a full credit towards a future purchase.

Applications/Dilutions

Dilutions
  • Immunohistochemistry 1:50 - 1:200
  • Immunohistochemistry-Paraffin 1:50 - 1:200
Application Notes
For IHC-Paraffin, HIER pH 6 retrieval is recommended.

Packaging, Storage & Formulations

Storage
Store at 4C short term. Aliquot and store at -20C long term. Avoid freeze-thaw cycles.
Buffer
PBS (pH 7.2) and 40% Glycerol
Preservative
0.02% Sodium Azide
Purity
Immunogen affinity purified

Alternate Names for PLK1 Antibody

  • cell cycle regulated protein kinase
  • EC 2.7.11
  • EC 2.7.11.21
  • PLK
  • PLK1
  • PLK-1
  • polo (Drosophia)-like kinase
  • polo like kinase
  • polo-like kinase 1polo-like kinase (Drosophila)
  • Serine/threonine-protein kinase 13
  • serine/threonine-protein kinase PLK1
  • STPK13

Background

Considerable evidence indicates that a Polo-Like Kinase (PLK) plays an important role in cell cycle regulation. PLK is also required for bipolar spindle formation, activation of the anaphase-promoting complex/cyclosome, and cytokinesis. Recent work led to the identification of a PLKK that is thought to be responsible for activation of PLK. Recent work (Erikson, et al., 2004) has shown that PLKK is in turn activated by phosphorylation at three sites (Ser482, Ser486 and Ser490). Thus activation of PLK is thought to involve a kinase cascade involving the phosphorylation of Ser482,486,490 in PLKK.

Limitations

This product is for research use only and is not approved for use in humans or in clinical diagnosis. Primary Antibodies are guaranteed for 1 year from date of receipt.

Customers Who Viewed This Item Also Viewed...

NBP1-85729
Species: Hu, Mu, Rt
Applications: ICC/IF, IHC,  IHC-P, WB
AF6000
Species: Hu, Mu
Applications: IHC, Simple Western, WB
NB200-103
Species: Hu, Mu, Rt, Xp(-), Ye
Applications: CyTOF-ready, ELISA, Flow-IC, Flow, ICC/IF, IHC, IHC-Fr,  IHC-P, IP, WB
MAB4459
Species: Hu, Mu, Rt
Applications: WB
NBP2-29463
Species: Pm, Hu, Pm, Mu
Applications: Flow, ICC/IF, IHC,  IHC-P, WB
AF4197
Species: Hu
Applications: WB
NBP2-33466
Species: Hu
Applications: ICC/IF, IHC,  IHC-P, WB
NBP3-04961
Species: Hu, Mu, Rt
Applications: ELISA, ICC/IF, WB
NBP1-51843
Species: Hu, Mu
Applications: ICC/IF, IHC,  IHC-P, Simple Western, WB
NB100-464
Species: Hu, Mu
Applications: IHC,  IHC-P, IP, WB
NBP3-30941
Species: Hu, Rt
Applications: IHC, WB
NB100-91662
Species: Hu, Mu, Rt
Applications: Flow, ICC/IF, IHC,  IHC-P, Simple Western, WB
AF4885
Species: Mu
Applications: IP, WB
NB500-106
Species: Ch, Dr, Fi, Hu, Mar, Mu, Po, Pm, Rb, Rt, Ye, Ze
Applications: ChIP, ChIP, ELISA, Flow, ICC/IF, IHC-FrFl, IHC, IHC-Fr,  IHC-P, IP, Simple Western, WB
NBP1-33402
Species: Hu
Applications: ICC/IF, WB
NB100-294
Species: Hu, Mu, Rt
Applications: ICC/IF, IHC,  IHC-P, IP, MiAr, WB
NBP1-84671
Species: Hu
Applications: ChIP-EXO-SEQ, IHC,  IHC-P, WB
NBP2-46085
Species: Hu
Applications: IHC,  IHC-P, WB
H00027065-M01
Species: Hu, Rt
Applications: ELISA, ICC/IF, S-ELISA, WB
NBP1-85720
Species: Hu
Applications: ICC/IF, IHC,  IHC-P, WB

Publications for PLK1 Antibody (NBP2-49074) (0)

There are no publications for PLK1 Antibody (NBP2-49074).
By submitting your publication information earn gift cards and discounts for future purchases.

Reviews for PLK1 Antibody (NBP2-49074) (0)

There are no reviews for PLK1 Antibody (NBP2-49074). By submitting a review you will receive an Amazon e-Gift Card or Novus Product Discount.
  • Review with no image -- $10/€7/£6/$10 CAD/¥70 Yuan/¥1110 Yen
  • Review with an image -- $25/€18/£15/$25 CAD/¥150 Yuan/¥2500 Yen

Product General Protocols

Find general support by application which include: protocols, troubleshooting, illustrated assays, videos and webinars.

FAQs for PLK1 Antibody (NBP2-49074) (0)

There are no specific FAQs related to this product. Read our general customer & technical service FAQs.

Contact Information

Product PDFs

Calculators

Concentration Calculator

The concentration calculator allows you to quickly calculate the volume, mass or concentration of your vial. Simply enter your mass, volume, or concentration values for your reagent and the calculator will determine the rest.

=
÷

Review this Product

Be the first to review our PLK1 Antibody and receive a gift card or discount.

Bioinformatics

Gene Symbol PLK1