PIG3 Antibody (OTI3B11) - Azide and BSA Free

Images

 
Western Blot: PIG3 Antibody (OTI3B11) - Azide and BSA Free [NBP2-73400] - HEK293T cells were transfected with the pCMV6-ENTRY control (Left lane) or pCMV6-ENTRY PIG3 (Right lane) cDNA for 48 hrs and lysed. Equivalent ...read more
Immunohistochemistry: PIG3 Antibody (OTI3B11) - Azide and BSA Free [NBP2-73400] - Staining of paraffin-embedded Human breast tissue using anti-PIG3 mouse monoclonal antibody.
Immunohistochemistry: PIG3 Antibody (OTI3B11) - Azide and BSA Free [NBP2-73400] - Staining of paraffin-embedded Carcinoma of Human thyroid tissue using anti-PIG3 mouse monoclonal antibody.
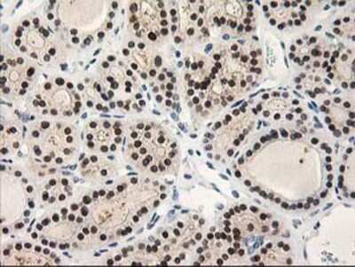
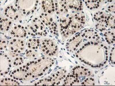
Immunohistochemistry: PIG3 Antibody (OTI3B11) - Azide and BSA Free [NBP2-73400] - Staining of paraffin-embedded Human Kidney tissue using anti-PIG3 mouse monoclonal antibody.

Product Details

Summary
Reactivity HuSpecies Glossary
Applications WB, IHC
Clone
OTI3B11
Clonality
Monoclonal
Host
Mouse
Conjugate
Unconjugated
Format
Azide and BSA Free
Concentration
LYOPH

Order Details

PIG3 Antibody (OTI3B11) - Azide and BSA Free Summary

Description
Novus Biologicals Mouse PIG3 Antibody (OTI3B11) - Azide and BSA Free (NBP2-01301) is a monoclonal antibody validated for use in IHC and WB. All Novus Biologicals antibodies are covered by our 100% guarantee.
Immunogen
Full length human recombinant protein of human TP53I3(NP_671713) produced in HEK293T cell.
Isotype
IgG1
Clonality
Monoclonal
Host
Mouse
Gene
TP53I3
Purity
Immunogen affinity purified
Innovator's Reward
Test in a species/application not listed above to receive a full credit towards a future purchase.

Applications/Dilutions

Dilutions
  • Immunohistochemistry 1:150
  • Immunohistochemistry-Paraffin
  • Western Blot 1:2000
Theoretical MW
35.4 kDa.
Disclaimer note: The observed molecular weight of the protein may vary from the listed predicted molecular weight due to post translational modifications, post translation cleavages, relative charges, and other experimental factors.

Packaging, Storage & Formulations

Storage
Store at -20C. Avoid freeze-thaw cycles.
Buffer
Lyophilized from PBS (pH 7.3) with 8% Trehalose
Preservative
No Preservative
Concentration
LYOPH
Purity
Immunogen affinity purified
Reconstitution Instructions
we recommend adding 100uL distilled water to a final antibody concentration of about 1 mg/mL. To use this carrier-free antibody for conjugation experiment, we strongly recommend performing another round of desalting process.

Alternate Names for PIG3 Antibody (OTI3B11) - Azide and BSA Free

  • p53-induced gene 3 protein
  • PIG3quinone oxidoreductase homolog
  • quinone oxidoreductase PIG3
  • tumor protein p53 inducible protein 3
  • Tumor protein p53-inducible protein 3

Background

May be involved in the generation of reactive oxygen species (ROS). Has low NADPH-dependent naphtoquinone reductase activity, with a preference for 1,2-naphtoquinone over 1,4-naphtoquinone. Has low NADPH-dependent diamine reductase activity

Limitations

This product is for research use only and is not approved for use in humans or in clinical diagnosis. Primary Antibodies are guaranteed for 1 year from date of receipt.

Customers Who Viewed This Item Also Viewed...

NB200-103
Species: Hu, Mu, Rt, Xp(-), Ye
Applications: CyTOF-ready, ELISA, Flow-IC, Flow, ICC/IF, IHC, IHC-Fr,  IHC-P, IP, WB
NBP2-29463
Species: Pm, Hu, Pm, Mu
Applications: Flow, ICC/IF, IHC,  IHC-P, WB
NBP2-46085
Species: Hu
Applications: IHC,  IHC-P, WB
H00027065-M01
Species: Hu, Rt
Applications: ELISA, ICC/IF, S-ELISA, WB
NB100-2736
Species: Hu, Mu, Rt
Applications: IHC, IHC-Fr,  IHC-P, IP, WB
AF820
Species: Hu, Mu
Applications: ICC, IHC, KO, Simple Western, WB
NBP1-76639
Species: Hu, Rt
Applications: ELISA, ICC/IF, IHC,  IHC-P, WB
AF6897
Species: Hu, Mu
Applications: IHC, Simple Western, WB
NB100-56618
Species: Hu, Mu
Applications: Flow-CS, Flow, ICC/IF, IHC,  IHC-P, WB
NB600-1159
Species: Hu, Mu, Rt
Applications: Flow, ICC/IF, IHC,  IHC-P, WB
AF5510
Species: Hu
Applications: WB
DGD150
Species: Hu
Applications: ELISA
AF3788
Species: Hu
Applications: WB
AF7355
Species: Hu
Applications: ICC, Simple Western, WB
NB100-56098
Species: Ca, Hu, Mu, Rt
Applications: IHC,  IHC-P, IP, WB
NBP2-68858
Species: Hu
Applications: IHC,  IHC-P
MAB868
Species: Hu
Applications: WB
NBP2-73400
Species: Hu
Applications: WB, IHC

Publications for PIG3 Antibody (NBP2-73400) (0)

There are no publications for PIG3 Antibody (NBP2-73400).
By submitting your publication information earn gift cards and discounts for future purchases.

Reviews for PIG3 Antibody (NBP2-73400) (0)

There are no reviews for PIG3 Antibody (NBP2-73400). By submitting a review you will receive an Amazon e-Gift Card or Novus Product Discount.
  • Review with no image -- $10/€7/£6/$10 CAD/¥70 Yuan/¥1110 Yen
  • Review with an image -- $25/€18/£15/$25 CAD/¥150 Yuan/¥2500 Yen

Product General Protocols

Find general support by application which include: protocols, troubleshooting, illustrated assays, videos and webinars.

Video Protocols

WB Video Protocol

FAQs for PIG3 Antibody (NBP2-73400) (0)

There are no specific FAQs related to this product. Read our general customer & technical service FAQs.

Secondary Antibodies

 

Isotype Controls

Additional PIG3 Products

Research Areas for PIG3 Antibody (NBP2-73400)

Find related products by research area.

Blogs on PIG3

There are no specific blogs for PIG3, but you can read our latest blog posts.

Customers Who Bought This Also Bought

Contact Information

Product PDFs

Calculators

Concentration Calculator

The concentration calculator allows you to quickly calculate the volume, mass or concentration of your vial. Simply enter your mass, volume, or concentration values for your reagent and the calculator will determine the rest.

=
÷

Review this Product

Be the first to review our PIG3 Antibody (OTI3B11) - Azide and BSA Free and receive a gift card or discount.

Bioinformatics

Gene Symbol TP53I3