PI 3-Kinase p110 delta Antibody (JM83-24)

Images

 
Western Blot: PI 3-Kinase p110 delta Antibody (JM83-24) [NBP2-67055] - Analysis of PI 3-Kinase p110 delta on rat spleen tissue lysates. Proteins were transferred to a PVDF membrane and blocked with 5% BSA in PBS for 1 ...read more
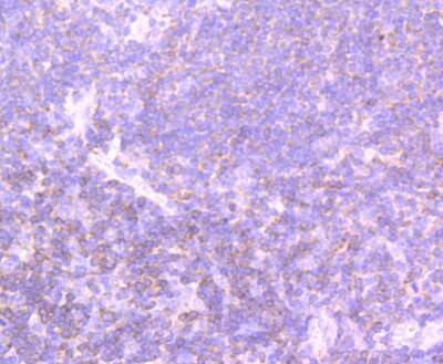
Immunohistochemistry-Paraffin: PI 3-Kinase p110 delta Antibody (JM83-24) [NBP2-67055] - Analysis of paraffin-embedded human tonsil tissue using anti-PI 3 Kinase p110 delta antibody. Counter stained with hematoxylin.
Western Blot: PI 3-Kinase p110 delta Antibody (JM83-24) [NBP2-67055] - Analysis of PI 3 Kinase p110 delta on mouse spleen tissue lysate using anti-PI 3 Kinase p110 delta antibody at 1/1,000 dilution.
Western Blot: PI 3-Kinase p110 delta Antibody (JM83-24) [NBP2-67055] - Analysis of PI 3-Kinase p110 delta on mouse spleen tissue lysates with Rabbit anti-PI 3-Kinase p110 delta antibody at 1/500 dilution. ...read more
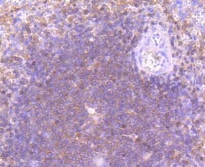
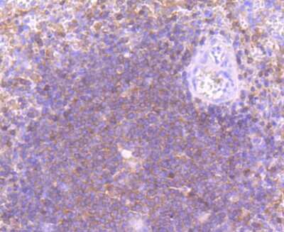
Immunohistochemistry-Paraffin: PI 3-Kinase p110 delta Antibody (JM83-24) [NBP2-67055] - Analysis of paraffin-embedded human spleen tissue using anti-PI 3 Kinase p110 delta antibody. Counter stained with hematoxylin.

Product Details

Summary
Product Discontinued
View other related PI 3-Kinase p110 delta Primary Antibodies

Order Details


    • Catalog Number
      NBP2-67055
    • Availability
      Product Discontinued

    Can't find what you are looking for? Use our Antibody Concierge Service & we will help you locate your antibody!

    Or feel free to contact us for alternative products.

PI 3-Kinase p110 delta Antibody (JM83-24) Summary

Additional Information
Recombinant Monoclonal Antibody.
Immunogen
Synthetic peptide within Human PI 3-Kinase p110 delta aa 197-246 / 1044. (SwissProt: O00329 Human; SwissProt: O35904 Mouse; SwissProt: D4A5Q1 Rat)
Localization
Cytoplasm.
Isotype
IgG
Clonality
Monoclonal
Host
Rabbit
Gene
PIK3CD
Purity
Protein A purified
Innovator's Reward
Test in a species/application not listed above to receive a full credit towards a future purchase.

Applications/Dilutions

Dilutions
  • Immunohistochemistry
  • Immunohistochemistry-Paraffin 1:50-1:200
  • Western Blot 1:500

Packaging, Storage & Formulations

Storage
Store at 4C short term. Aliquot and store at -20C long term. Avoid freeze-thaw cycles.
Buffer
TBS (pH7.4), 0.05% BSA, 40% Glycerol
Preservative
0.05% Sodium Azide
Concentration
1 mg/ml
Purity
Protein A purified

Alternate Names for PI 3-Kinase p110 delta Antibody (JM83-24)

  • EC 2.7.1
  • EC 2.7.1.153
  • p110D
  • P110DELTA
  • Phosphatidylinositol-4,5-bisphosphate 3-kinase 110 kDa catalytic subunit delta
  • phosphatidylinositol-4,5-bisphosphate 3-kinase catalytic subunit delta isoform
  • phosphoinositide-3-kinase C
  • phosphoinositide-3-kinase, catalytic, delta polypeptide
  • PI 3Kinase p110 delta
  • PI 3-Kinase p110 delta
  • PI3K
  • PI3K-delta
  • PI3-kinase p110 subunit delta
  • PI3-kinase subunit delta
  • PIK3CD
  • PtdIns-3-kinase subunit delta
  • PtdIns-3-kinase subunit p110-delta

Background

PI3-Kinases (PI3-Ks) are a family of lipid kinases that are implicated in signal transduction. PI3-K consists of two subunits; p85 and p110. The p85 subunit localize PI3-K activity to the plasma membrane while the p110 subunit contains the catalytic domain of PI3-K. Four isoforms of p110 has been found; the alpha, beta, gamma, and the delta subunit. The delta isoform is predominantly expressed in leukocytes and has been shown to interact with p85 and GTP-bound Ras via its SH2/SH3 domain.

Limitations

This product is for research use only and is not approved for use in humans or in clinical diagnosis. Primary Antibodies are guaranteed for 1 year from date of receipt.

Customers Who Viewed This Item Also Viewed...

AF887
Species: Hu, Mu, Rt
Applications: CyTOF-ready, IHC, ICFlow, Simple Western, WB
AF1230
Species: Hu, Mu, Rt
Applications: IHC, KO, WB
NB600-607
Species: Hu, Rt
Applications: ELISA, IHC,  IHC-P, WB
DYC1825-2
Species: Hu, Mu, Rt
Applications: ELISA
AF467
Species: Hu, Mu
Applications: CyTOF-ready, Flow, ICC, IHC, Simple Western, WB
MAB6210
Species: Hu
Applications: Simple Western, WB
AF847
Species: Hu, Mu, Rt
Applications: CyTOF-ready, IHC, ICFlow, KO, Simple Western, WB
AF231
Species: Hu
Applications: CyTOF-ready, Dual ISH-IHC, ELISA(Cap), ELISA(Det), ELISA(Sta), Flow, ICC, IHC, IP, Simple Western, WB
MAB1417
Species: Bv, Hu, Mu
Applications: ICC, IHC
DVE00
Species: Hu
Applications: ELISA
NB100-56583
Species: Hu, Rb, Rt
Applications: Flow, IHC,  IHC-P, KO, Simple Western, WB
MAB17761
Species: Hu, Mu, Rt
Applications: ICC, WB
291-G1
Species: Hu
Applications: BA
236-EG
Species: Hu
Applications: BA
AF2685
Species: Hu
Applications: IHC, Simple Western, WB
NBP2-67055
Species: Hu, Mu, Rt
Applications: WB, IHC

Publications for PI 3-Kinase p110 delta Antibody (NBP2-67055) (0)

There are no publications for PI 3-Kinase p110 delta Antibody (NBP2-67055).
By submitting your publication information earn gift cards and discounts for future purchases.

Reviews for PI 3-Kinase p110 delta Antibody (NBP2-67055) (0)

There are no reviews for PI 3-Kinase p110 delta Antibody (NBP2-67055). By submitting a review you will receive an Amazon e-Gift Card or Novus Product Discount.
  • Review with no image -- $10/€7/£6/$10 CAD/¥70 Yuan/¥1110 Yen
  • Review with an image -- $25/€18/£15/$25 CAD/¥150 Yuan/¥2500 Yen

Product General Protocols

Find general support by application which include: protocols, troubleshooting, illustrated assays, videos and webinars.

Video Protocols

WB Video Protocol

FAQs for PI 3-Kinase p110 delta Antibody (NBP2-67055) (0)

There are no specific FAQs related to this product. Read our general customer & technical service FAQs.

Secondary Antibodies

 

Isotype Controls

Additional PI 3-Kinase p110 delta Products

Research Areas for PI 3-Kinase p110 delta Antibody (NBP2-67055)

Find related products by research area.

Blogs on PI 3-Kinase p110 delta.

PI3 Kinase p110 delta - A cell-type specific lipid kinase with essential roles in leukocyte biology
Phosphatidylinositol 3-kinases (PI3Ks) are a group of lipid kinases with important roles in signal transduction. PI3Ks are involved in signal propagation for diverse receptors including tyrosine kinase receptors and G-protein coupled receptors. Cla...  Read full blog post.

Contact Information

Product PDFs

Calculators

Concentration Calculator

The concentration calculator allows you to quickly calculate the volume, mass or concentration of your vial. Simply enter your mass, volume, or concentration values for your reagent and the calculator will determine the rest.

=
÷

Review this Product

Be the first to review our PI 3-Kinase p110 delta Antibody (JM83-24) and receive a gift card or discount.

Bioinformatics

Gene Symbol PIK3CD