PDSS2 Antibody (OTI1D12) - Azide and BSA Free

Images

 
Western Blot: PDSS2 Antibody (OTI1D12) - Azide and BSA Free [NBP2-73323] - Analysis of extracts (35ug) from 9 different cell lines by using anti-PDSS2 monoclonal antibody.
Immunohistochemistry: PDSS2 Antibody (OTI1D12) - Azide and BSA Free [NBP2-73323] - Staining of paraffin-embedded Human Kidney tissue using anti-PDSS2 mouse monoclonal antibody.
Flow Cytometry: PDSS2 Antibody (OTI1D12) - Azide and BSA Free [NBP2-73323] - HEK293T cells transfected with either overexpression plasmid (Red) or empty vector control plasmid (Blue) were immunostaining by anti-PDSS2 ...read more
Western Blot: PDSS2 Antibody (OTI1D12) - Azide and BSA Free [NBP2-73323] - HEK293T cells were transfected with the pCMV6-ENTRY control (Left lane) or pCMV6-ENTRY PDSS2 (Right lane) cDNA for 48 hrs and lysed. Equivalent ...read more
Immunohistochemistry: PDSS2 Antibody (OTI1D12) - Azide and BSA Free [NBP2-73323] - Staining of paraffin-embedded Adenocarcinoma of Human endometrium tissue using anti-PDSS2 mouse monoclonal antibody.
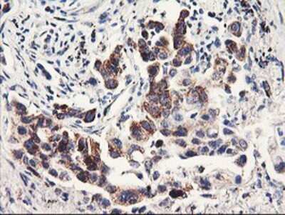
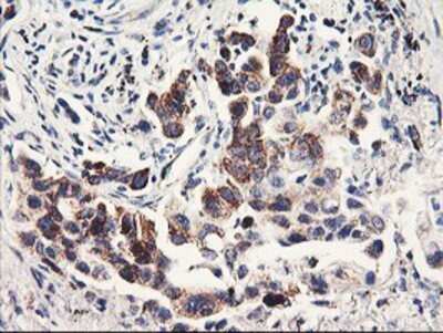
Immunohistochemistry: PDSS2 Antibody (OTI1D12) - Azide and BSA Free [NBP2-73323] - Staining of paraffin-embedded Carcinoma of Human lung tissue using anti-PDSS2 mouse monoclonal antibody.
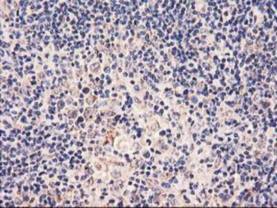
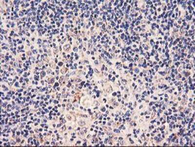
Immunohistochemistry: PDSS2 Antibody (OTI1D12) - Azide and BSA Free [NBP2-73323] - Staining of paraffin-embedded Human lymphoma tissue using anti-PDSS2 mouse monoclonal antibody.

Product Details

Summary
Reactivity Hu, Mu, Rt, Pm, PmSpecies Glossary
Applications WB, Flow, IHC, CyTOF-ready
Clone
OTI1D12
Clonality
Monoclonal
Host
Mouse
Conjugate
Unconjugated
Format
Azide and BSA Free
Concentration
LYOPH

Order Details

PDSS2 Antibody (OTI1D12) - Azide and BSA Free Summary

Description
Novus Biologicals Mouse PDSS2 Antibody (OTI1D12) - Azide and BSA Free (NBP2-01512) is a monoclonal antibody validated for use in IHC, WB and Flow. All Novus Biologicals antibodies are covered by our 100% guarantee.
Immunogen
Full length human recombinant protein of human PDSS2(NP_065114) produced in HEK293T cell.
Isotype
IgG1
Clonality
Monoclonal
Host
Mouse
Gene
PDSS2
Purity
Immunogen affinity purified
Innovator's Reward
Test in a species/application not listed above to receive a full credit towards a future purchase.

Applications/Dilutions

Dilutions
  • CyTOF-ready
  • Flow Cytometry 1:100
  • Immunohistochemistry 1:150
  • Immunohistochemistry-Paraffin
  • Western Blot 1:500-2000
Theoretical MW
43.9 kDa.
Disclaimer note: The observed molecular weight of the protein may vary from the listed predicted molecular weight due to post translational modifications, post translation cleavages, relative charges, and other experimental factors.

Reactivity Notes

Please note that this antibody is reactive to Mouse and derived from the same host, Mouse. Mouse-On-Mouse blocking reagent may be needed for IHC and ICC experiments to reduce high background signal. You can find these reagents under catalog numbers PK-2200-NB and MP-2400-NB. Please contact Technical Support if you have any questions.

Packaging, Storage & Formulations

Storage
Store at -20C. Avoid freeze-thaw cycles.
Buffer
Lyophilized from PBS (pH 7.3) with 8% Trehalose
Preservative
No Preservative
Concentration
LYOPH
Purity
Immunogen affinity purified
Reconstitution Instructions
we recommend adding 100uL distilled water to a final antibody concentration of about 1 mg/mL. To use this carrier-free antibody for conjugation experiment, we strongly recommend performing another round of desalting process.

Alternate Names for PDSS2 Antibody (OTI1D12) - Azide and BSA Free

  • All-trans-decaprenyl-diphosphate synthase subunit 2
  • bA59I9.3
  • C6orf210decaprenyl-diphosphate synthase subunit 2
  • Candidate tumor suppressor protein
  • chromosome 6 open reading frame 210
  • Decaprenyl pyrophosphate synthase subunit 2
  • decaprenyl pyrophosphate synthetase subunit 2
  • DLP1hDLP1
  • EC 2.5.1.91
  • prenyl (decaprenyl) diphosphate synthase, subunit 2
  • subunit 2 of decaprenyl diphosphate synthase

Background

The isoprenoid chain of ubiquinone (coenzyme Q) varies in length between species and is determined by trans-polyprenyl diphosphate synthase. Humans possess a heterotetrameric decaprenyl diphosphate synthase composed of DPS1 (PDSS1; MIM 607429) and DLP1 (PDSS2) that produces Q10 ubiquinone (Saiki et al., 2005 [PubMed 16262699]).[supplied by OMIM]

Limitations

This product is for research use only and is not approved for use in humans or in clinical diagnosis. Primary Antibodies are guaranteed for 1 year from date of receipt.

Customers Who Viewed This Item Also Viewed...

NB110-55288
Species: Fi, Hu, Mu, Pm, Rt
Applications: Flow-IC, Flow, ICC/IF, IHC,  IHC-P, IP, Simple Western, WB
NBP3-47447
Species: Hu, Rt
Applications: ELISA, IHC, WB
NBP2-16148
Species: Hu, Mu
Applications: ICC/IF, IHC,  IHC-P, WB
NBP1-76651
Species: Hu, Mu, Rt
Applications: ELISA, ICC/IF, IHC,  IHC-P, WB
NBP2-02477
Species: Ca, Hu, Pm, Mu, Rt
Applications: Flow, ICC/IF, IHC,  IHC-P, IP, WB
NBP1-85664
Species: Hu, Mu, Rt
Applications: ICC/IF, IHC,  IHC-P, WB
NBP1-85511
Species: Hu, Mu
Applications: IHC,  IHC-P, WB
NBP2-56780
Species: Hu
Applications: ICC/IF, WB
NBP2-34294
Species: Hu, Mu, Rt
Applications: Flow, IHC,  IHC-P
NBP2-13750
Species: Hu
Applications: IHC,  IHC-P, WB
NB300-268
Species: Bv, Ce, Hu, I, Mu, Pl
Applications: Flow-IC, Flow, ICC/IF, IHC, IHC-Fr,  IHC-P, IP, KO, WB
NBP2-93577
Species: Hu, Mu
Applications: ICC/IF, WB
NB110-60491
Species: Hu, Mu
Applications: ELISA, Flow, IHC, IHC-Fr,  IHC-P, IP, KO, Simple Western, WB
MAB1417
Species: Bv, Hu, Mu
Applications: ICC, IHC
H00009927-M03
Species: Hu, Rt
Applications: ELISA, IHC,  IHC-P, RNAi, WB
H00008800-P01
Species: Hu
Applications: ELISA, AP, PA, WB

Publications for PDSS2 Antibody (NBP2-73323) (0)

There are no publications for PDSS2 Antibody (NBP2-73323).
By submitting your publication information earn gift cards and discounts for future purchases.

Reviews for PDSS2 Antibody (NBP2-73323) (0)

There are no reviews for PDSS2 Antibody (NBP2-73323). By submitting a review you will receive an Amazon e-Gift Card or Novus Product Discount.
  • Review with no image -- $10/€7/£6/$10 CAD/¥70 Yuan/¥1110 Yen
  • Review with an image -- $25/€18/£15/$25 CAD/¥150 Yuan/¥2500 Yen

Product General Protocols

Find general support by application which include: protocols, troubleshooting, illustrated assays, videos and webinars.

Video Protocols

WB Video Protocol

FAQs for PDSS2 Antibody (NBP2-73323) (0)

There are no specific FAQs related to this product. Read our general customer & technical service FAQs.

Customers Who Bought This Also Bought

Contact Information

Product PDFs

Calculators

Concentration Calculator

The concentration calculator allows you to quickly calculate the volume, mass or concentration of your vial. Simply enter your mass, volume, or concentration values for your reagent and the calculator will determine the rest.

=
÷

Review this Product

Be the first to review our PDSS2 Antibody (OTI1D12) - Azide and BSA Free and receive a gift card or discount.

Bioinformatics

Gene Symbol PDSS2